Hamburger Menu Button
Thermo Fisher Scientific Logo
登录
没有账号?建立账号 注册
  • 产品
    • 抗体
    • 引物合成
    • GeneArt Gene Synthesis Instant Designer
    • TaqMan Assay and Array Search
    • PCR 设备和耗材
    • 色谱柱和纯化柱
    • 实验室离心机
    • 分子生物学试剂和试剂盒
    • 实验室塑料耗材及用品
    • 查看所有产品分类
  • 应用和技术
    • 色谱
    • 细胞转染和培养
    • 实时荧光定量PCR
    • 质谱
    • 实验室塑料耗材及用品
    • 电子显微镜
    • 蛋白质生物学
    • PCR
    • RNAi
    • 环境
    • 查看所有应用和技术
  • 服务
    • 定制服务
    • 企业级实验室信息化服务
    • 金融&租赁服务
    • 仪器服务
    • OEM和商业供应
    • 培训服务
    • 360° CDMO 和 CRO 服务
    • CDMO 服务
    • 临床试验 CRO 服务
    • Unity Lab Services
    • 查看所有帮助和支持
  • 帮助和支持
    • 学习中心
    • 联系我们
    • 更改国家或地区
    • 查看所有帮助和支持
  • 热门产品
    • TaqMan Real-Time PCR Assays
      TaqMan 实时荧光定量 PCR 试剂盒
    • Antibodies
      抗体
    • Oligos, Primers & Probes
      寡核苷酸、引物、探针
    • GeneArt Gene Synthesis
      GeneArt 基因合成
    • Cell Culture Plastics
      细胞培养耗材
  • Who We Serve
    • 抗体治疗解决方案
    • 细胞与基因治疗解决方案
    • 学术科研
    • 工业与应用
  • 联系我们
  • 货号直购
  • 订单查询
  • 查找文件&证书
Thermo Fisher Scientific Logo

Search

搜索全部或下列指定分类
Search button
          • 联系我们
          • 货号直购
          • 登录
            登录
            没有账号?建立账号 注册
            • 我的账号
            • 订单
            • 会员中心
            • 账单及发票查询
            • 定制产品及项目
          • Primary Antibodies ›
          • CD35 Antibodies

          NeoBiotechnologies

          CD35/CR1 (Follicular Dendritic Cell Marker) Monoclonal Antibody (CR1/6383)

          查看其他83个CD35抗体

          {{$productOrderCtrl.translations['antibody.pdp.commerceCard.promotion.promotions']}}

          {{$productOrderCtrl.translations['antibody.pdp.commerceCard.promotion.viewpromo']}}

          {{$productOrderCtrl.translations['antibody.pdp.commerceCard.promotion.promocode']}}: {{promo.promoCode}} {{promo.promoTitle}} {{promo.promoDescription}}. {{$productOrderCtrl.translations['antibody.pdp.commerceCard.promotion.learnmore']}}

          说明书
          证书
          实验方案
          问题与答案
          技术支持
          说明书
          证书
          实验方案
          问题与答案
          技术支持
          说明书
          证书
          实验方案
          问题与答案
          技术支持

          Cite CD35/CR1 (Follicular Dendritic Cell Marker) Monoclonal Antibody (CR1/6383)

          Additional Information:
          {{banner.description}}
          {{$ctrl.isSkuNotesCollapsed ? 'View more' : 'View less'}}
          • 抗体检测数据 (4)
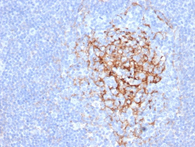
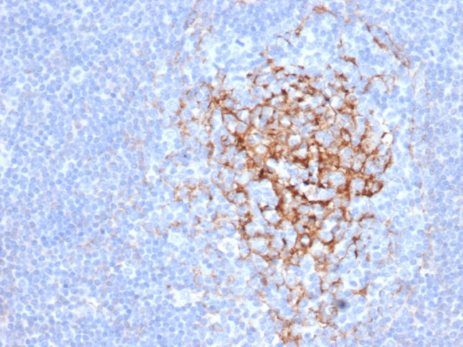
          CD35/CR1 (Follicular Dendritic Cell Marker) Antibody in Immunohistochemistry (Paraffin) (IHC (P))
          Group 53 Created with Sketch.
          CD35/CR1 (Follicular Dendritic Cell Marker) Antibody in Immunohistochemistry (Paraffin) (IHC (P))
          Group 53 Created with Sketch.

          图: 1 / 4

          {{ $ctrl.currentElement.advancedVerification.fullName }}
          {{ $ctrl.currentElement.advancedVerification.text }}

          CD35/CR1 (Follicular Dendritic Cell Marker) Antibody (1378-MSM13-P1) in IHC (P)

          Formalin-fixed, paraffin-embedded human tonsil stained with CD35 Mouse Monoclonal Antibody (CR1/6383) at 2 µg/mL. {{ $ctrl.currentElement.advancedVerification.fullName }} 验证信息 View more
          已发表图片由___提供 benchsci-logo
          PMID: {{$ctrl.currentElement.benchSciPubmedId}}
          查看产品

          {{$ctrl.videoDesc}}

          {{$ctrl.videoLongDesc}}

          CD35/CR1 (Follicular Dendritic Cell Marker) Antibody in Immunohistochemistry (Paraffin) (IHC (P))
          CD35/CR1 (Follicular Dendritic Cell Marker) Antibody in Immunohistochemistry (Paraffin) (IHC (P))
          CD35/CR1 (Follicular Dendritic Cell Marker) Antibody in Peptide array (ARRAY)
          CD35/CR1 (Follicular Dendritic Cell Marker) Antibody in SDS-PAGE (SDS-PAGE)
          CD35/CR1 (Follicular Dendritic Cell Marker) Monoclonal Antibody (CR1/6383)

          产品信息

          1378-MSM13-P1

          应用
          建议稀释比
          已发表文章

          免疫组化(石蜡) (IHC (P))

          1-2 µg/mL
          -

          肽阵列 (Array)

          Assay-dependent
          -
          产品规格

          种属反应

          Human

          宿主/亚型

          Mouse / IgG1, kappa

          分类

          Monoclonal

          类型

          Antibody

          克隆号

          CR1/6383

          抗原

          Recombinant fragment (within aa650-850) of human CD35.
          3D表位/免疫原

          偶联物

          Unconjugated Unconjugated Unconjugated

          形式

          Liquid

          浓度

          200 µg/mL

          规格

          100 µg

          纯化类型

          Protein A/G

          保存液

          PBS with 0.05% BSA

          内含物

          0.05% sodium azide

          保存条件

          4°C

          运输条件

          Ambient (domestic); Wet ice (international)

          产品详细信息

          Antibody is stable for 24 months.

          Positive Control: Follicular dendritic cells (FDC) in tonsil. Cellular Localization: Cell surface

          Specificity Comments: CD35, complement receptor 1, is a cell membrane-bound, monomeric glycoprotein on numerous cell types including erythrocytes, leukocytes, glomerular podocytes, and follicular dendritic cells. The primary function of CD35 is to serve as the cellular receptor for C3b and C4b, the most important components of the complement system leading to clearance of foreign macromolecules.CD35 antigen is found on erythrocytes, B cells, a subset of T cells, monocytes, as well as eosinophils, and neutrophils. Anti-CD35 is considered a mature B-cell marker which labels follicular dendritic reticulum cells and tumors derived from such cells such as follicular dendritic cell tumor/sarcoma.

          靶标信息

          CD35 (CR1, Complement Receptor 1) is a cell membrane-bound, monomeric glycoprotein and its primary function is to serve as the cellular receptor for C3b and C4b, the most important components of the complement system leading to clearance of foreign macromolecules. CD35 protein mediates cellular binding to particles and immune complexes that have activated complement. The CD35 complex is four different allotypes (C,A,B,D) C is 160 kDa; A is 190 kDa; B is 220 kDa and D is 250 kDa. CD35 is involved in the processing of immune complexes, promoting of binding and phagocytosis of C3b complexes and inhibition of complement activation. CD35 is on neutrophils, eosinophils, monocytes, B-cells, some NK-cells, erythrocytes, myeloid leukemias, follicular dendritic reticulum cells and is negative on basophils. Decreases in expression of CD35 protein and/or mutations in its gene have been associated with gallbladder carcinomas, mesangiocapillary glomerulonephritis, systemic lupus erythematosus and sarcoidosis. Mutations in the CD35 gene have also been associated with a reduction in Plasmodium falciparum rosetting, conferring protection against severe malaria. Alternate allele-specific splice variants encoding different isoforms of CD35 have been characterized. An additional secreted form of CD35 have also been described but has not been fully characterized.

          仅用于科研。不用于诊断过程。未经明确授权不得转售。

          篇参考文献 (0)

          您是否在文献中引用过该产品?请点击下方按钮邮件告知我们。
          引用该产品

          生物信息学

          蛋白别名: C3 binding protein; C3-binding protein; C3b/C4b receptor; CD35; CD35 antigen; complement component (3b/4b) receptor 1 (Knops blood group); Complement Component (3b/4b) receptor 1 including Knops blood group system; complement receptor 1; Complement receptor type 1; CR1 receptor; Knops blood group antigen; unnamed protein product

          查看更多 收起

          基因别名: C3BR; C4BR; CD35; CR1; KN

          查看更多 收起

          UniProt ID: (Human) P17927

          查看更多 收起

          Entrez Gene ID: (Human) 1378

          查看更多 收起

          功能
          virus receptor activity complement binding complement component C3b binding complement component C4b binding complement component C4b receptor activity complement receptor activity complement component C3b receptor activity protein binding
          参与通路
          positive regulation of activation of membrane attack complex negative regulation of activation of membrane attack complex immune system process complement receptor mediated signaling pathway immune complex clearance by erythrocytes T cell mediated immunity negative regulation of immunoglobulin production complement activation, alternative pathway complement activation, classical pathway plasma membrane organization positive regulation of cell proliferation regulation of complement activation negative regulation of interferon-gamma production negative regulation of interleukin-2 production negative regulation of T cell proliferation innate immune response positive regulation of regulatory T cell differentiation negative regulation of complement activation negative regulation of complement activation, alternative pathway negative regulation of complement activation, classical pathway viral entry into host cell negative regulation of serine-type endopeptidase activity positive regulation of serine-type endopeptidase activity negative regulation of plasma cell differentiation regulation of complement-dependent cytotoxicity negative regulation of complement-dependent cytotoxicity ATP export
          It has to be done as per old AB suggested Products section.

          Disclaimer

          Close

          Clicking the images or links will redirect you to a website hosted by BenchSci that provides third-party scientific content. Neither the content nor the BenchSci technology and processes for selection have been evaluated by us; we are providing them as-is and without warranty of any kind, including for use or application of the Thermo Fisher Scientific products presented.

          guarantee_icon

          性能保障

          只要您发现Invitrogen抗体在实验中的表现与网站或说明书的所述内容不符,您即可享受免费退换货服务。*

          了解更多
          help_icon

          随时为您服务

          获取常见问题的专家解答,或者直接联系我们的技术专家,咨询应用、设备、常规产品使用问题。

          联系技术支持
          订购 Plus Icon Minus Icon
          • 订单状态查询
          • 订单支持
          • 货号直购
          • 现货供应中心
          • 电子采购
          支持 Plus Icon Minus Icon
          • 帮助&支持
          • 联系我们 - 400 820 8982
          • 技术支持中心
          • 查找文件&证书
          • 报告网站问题
          资源 Plus Icon Minus Icon
          • 学习中心
          • 促销
          • 活动&研讨会
          • 社交媒体
          关于赛默飞 Plus Icon Minus Icon
          • 关于我们
          • 招聘 招聘
          • 投资者关系 投资者关系
          • 新闻 新闻
          • 社会责任 社会责任
          • 商标
          • 政策和通知
          品牌 Plus Icon Minus Icon
          • Thermo Scientific
          • Applied Biosystems
          • Invitrogen
          • Gibco
          • Ion Torrent
          • Unity Lab Services
          • Patheon
          • PPD
          • 服务条款
          • 隐私政策
          • 定价和运输保险政策
          © 2006-2026 Thermo Fisher Scientific Inc. All rights reserved. All trademarks are the property of Thermo Fisher Scientific and its subsidiaries unless otherwise specified.
          China flag icon
          China
          本网站销售的所有产品均不得用于人类或动物之临床诊断或治疗,仅可用于工业或者科研等非医疗目的。
             电子营业执照 | 经营证照公示 | ICP备案号:沪ICP备11003924号 | 沪公网安备 31011502006935号

          Your items have has been added!


          Host server : magellan-search-green-6479c7f679-2z78h:80/100.66.76.236:80.
          git-commit: b70c0dceb888abc3b0dcebb5bc3a5b8753e7e816
          git-url: https://github.com/thermofisher/magellan-search
          git-branch: release/2.50.0-Offline