Hamburger Menu Button
Thermo Fisher Scientific Logo
登录
没有账号?建立账号 注册
  • 产品
    • 抗体
    • 引物合成
    • GeneArt Gene Synthesis Instant Designer
    • TaqMan Assay and Array Search
    • PCR 设备和耗材
    • 色谱柱和纯化柱
    • 实验室离心机
    • 分子生物学试剂和试剂盒
    • 实验室塑料耗材及用品
    • 查看所有产品分类
  • 应用和技术
    • 色谱
    • 细胞转染和培养
    • 实时荧光定量PCR
    • 质谱
    • 实验室塑料耗材及用品
    • 电子显微镜
    • 蛋白质生物学
    • PCR
    • RNAi
    • 环境
    • 查看所有应用和技术
  • 服务
    • 定制服务
    • 企业级实验室信息化服务
    • 金融&租赁服务
    • 仪器服务
    • OEM和商业供应
    • 培训服务
    • 360° CDMO 和 CRO 服务
    • CDMO 服务
    • 临床试验 CRO 服务
    • Unity Lab Services
    • 查看所有帮助和支持
  • 帮助和支持
    • 学习中心
    • 联系我们
    • 更改国家或地区
    • 查看所有帮助和支持
  • 热门产品
    • TaqMan Real-Time PCR Assays
      TaqMan 实时荧光定量 PCR 试剂盒
    • Antibodies
      抗体
    • Oligos, Primers & Probes
      寡核苷酸、引物、探针
    • GeneArt Gene Synthesis
      GeneArt 基因合成
    • Cell Culture Plastics
      细胞培养耗材
  • Who We Serve
    • 抗体治疗解决方案
    • 细胞与基因治疗解决方案
    • 学术科研
    • 工业与应用
  • 联系我们
  • 货号直购
  • 订单查询
  • 查找文件&证书
Thermo Fisher Scientific Logo

Search

搜索全部或下列指定分类
Search button
          • 联系我们
          • 货号直购
          • 登录
            登录
            没有账号?建立账号 注册
            • 我的账号
            • 订单
            • 账单及发票查询
            • 定制产品及项目
          • Primary Antibodies ›
          • CD38 Antibodies

          NeoBiotechnologies

          CD38 (ADP Ribosyl Cyclase I) Recombinant Rabbit Monoclonal Antibody (CD38, 4247R)

          查看其他151个CD38抗体

          {{$productOrderCtrl.translations['antibody.pdp.commerceCard.promotion.promotions']}}

          {{$productOrderCtrl.translations['antibody.pdp.commerceCard.promotion.viewpromo']}}

          {{$productOrderCtrl.translations['antibody.pdp.commerceCard.promotion.promocode']}}: {{promo.promoCode}} {{promo.promoTitle}} {{promo.promoDescription}}. {{$productOrderCtrl.translations['antibody.pdp.commerceCard.promotion.learnmore']}}

          说明书
          证书
          实验方案
          问题与答案
          技术支持
          说明书
          证书
          实验方案
          问题与答案
          技术支持
          说明书
          证书
          实验方案
          问题与答案
          技术支持

          Cite CD38 (ADP Ribosyl Cyclase I) Recombinant Rabbit Monoclonal Antibody (CD38, 4247R)

          Additional Information:
          {{banner.description}}
          {{$ctrl.isSkuNotesCollapsed ? 'View more' : 'View less'}}
          • 抗体检测数据 (3)
          CD38 (ADP Ribosyl Cyclase I) Antibody in Immunohistochemistry (Paraffin) (IHC (P))
          Group 53 Created with Sketch.
          CD38 (ADP Ribosyl Cyclase I) Antibody in Immunohistochemistry (Paraffin) (IHC (P))
          Group 53 Created with Sketch.

          图: 1 / 3

          {{ $ctrl.currentElement.advancedVerification.fullName }}
          {{ $ctrl.currentElement.advancedVerification.text }}

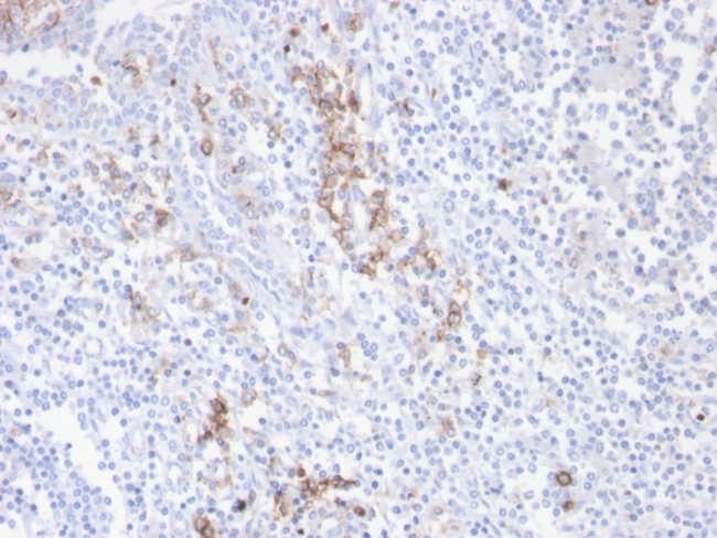
          CD38 (ADP Ribosyl Cyclase I) Antibody (952-RBM7-P1) in IHC (P)

          Immunohistochemistry (Paraffin) analysis performed in formalin fixed, paraffin-embedded human tonsil using CD38 (ADP Ribosyl Cyclase I) Recombinant Monoclonal Antibody (Product # 952-RBM7-P1). {{ $ctrl.currentElement.advancedVerification.fullName }} 验证信息 View more
          已发表图片由___提供 benchsci-logo
          PMID: {{$ctrl.currentElement.benchSciPubmedId}}
          查看产品

          {{$ctrl.videoDesc}}

          {{$ctrl.videoLongDesc}}

          CD38 (ADP Ribosyl Cyclase I) Antibody in Immunohistochemistry (Paraffin) (IHC (P))
          CD38 (ADP Ribosyl Cyclase I) Antibody in Immunohistochemistry (Paraffin) (IHC (P))
          CD38 (ADP Ribosyl Cyclase I) Antibody in Western Blot (WB)
          CD38 (ADP Ribosyl Cyclase I) Recombinant Rabbit Monoclonal Antibody (CD38, 4247R)

          产品信息

          952-RBM7-P1

          应用
          建议稀释比
          已发表文章

          免疫印迹 (WB)

          1-2 µg/mL
          -

          免疫组化(石蜡) (IHC (P))

          1-2 µg/mL
          -
          产品规格

          种属反应

          Human

          宿主/亚型

          Rabbit / IgG

          Expression System

          HEK293 cells

          分类

          Recombinant Monoclonal

          类型

          Antibody

          克隆号

          CD38, 4247R

          抗原

          Recombinant fragment (around aa200-300) of human CD38 protein
          3D表位/免疫原

          偶联物

          Unconjugated Unconjugated Unconjugated

          形式

          Liquid

          浓度

          200 µg/mL

          规格

          100 µg

          纯化类型

          Protein A/G

          保存液

          PBS, pH 7.4, with 0.05% BSA

          内含物

          0.05% sodium azide

          保存条件

          4°C

          运输条件

          Ambient (domestic); Wet ice (international)

          产品详细信息

          Immunohistochemistry (PFA fixed): incubate antibody for 30 min RT. Staining of formalin-fixed tissues requires heating tissue sections in 10mM Tris with 1mM EDTA, pH 9.0, for 45 min at 95 degrees C followed by cooling at RT for 20 minutes.

          靶标信息

          CD38 is a multifunctional ectoenzyme and type II transmembrane glycoprotein involved in various cellular processes. It catalyzes the conversion of NAD into secondary messengers such as nicotinic acid adenine dinucleotide phosphate (NAADP) and cyclic ADP-ribose (cADPR). CD38 plays a crucial role in B cell development, with expression levels fluctuating from high in immature cells to low in intermediate ones, and back to high in mature B cells. It is also present in a variety of tissues and hematopoietic cells, including T cells, NK cells, and monocytes, and is used to phenotype leukemias and monitor HIV-1 progression. The CD34+CD38- population is considered to define the most pluripotent hematopoietic stem cells. In addition to its surface expression, CD38 has been identified in the nucleus, where it may regulate calcium levels. It functions as a multi-catalytic ectoenzyme, serving roles as an ADP-ribosyl cyclase, cyclic ADP-ribose hydrolase, and possibly NAD+ glycohydrolase, or as a cell surface receptor. CD38 is involved in the activation, proliferation, and differentiation of mature lymphocytes and mediates apoptosis of myeloid and lymphoid progenitor cells. It also participates in cell adhesion, signal transduction, and calcium signaling. Antibodies to CD38 are valuable for subtyping lymphomas and leukemias, detecting plasma cells (such as in myelomas), and marking activated B and T cells. CD38 is expressed at high levels in the pancreas, liver, kidney, malignant lymphoma, and neuroblastoma. Dysfunctions in CD38 are associated with diseases like chronic lymphocytic leukemia and Richter's Syndrome.

          仅用于科研。不用于诊断过程。未经明确授权不得转售。

          篇参考文献 (0)

          您是否在文献中引用过该产品?请点击下方按钮邮件告知我们。
          引用该产品

          生物信息学

          蛋白别名: 2'-phospho-ADP-ribosyl cyclase; 2'-phospho-ADP-ribosyl cyclase/2'-phospho-cyclic-ADP-ribose transferase; 2'-phospho-cyclic-ADP-ribose transferase; ADP-ribosyl cyclase 1; ADP-ribosyl cyclase/cyclic ADP-ribose hydrolase 1; ADPRC 1; cADPR hydrolase 1; CD38; CD38 antigen (p45); CD38 antigen p45; cluster of differentiation 38; Cyclic ADP-ribose hydrolase 1; ecto-nicotinamide adenine dinucleotide glycohydrolase; lymphocyte differentiation antigen CD38; NAD(+) nucleosidase; NAD+ nucleosidase; T10; unnamed protein product

          查看更多 收起

          基因别名: ADPRC 1; ADPRC1; cADPR1; CD38

          查看更多 收起

          UniProt ID: (Human) P28907

          查看更多 收起

          Entrez Gene ID: (Human) 952

          查看更多 收起

          功能
          transferase activity hydrolase activity hydrolase activity, acting on glycosyl bonds phosphorus-oxygen lyase activity identical protein binding NAD+ nucleotidase, cyclic ADP-ribose generating
          参与通路
          response to hypoxia signal transduction positive regulation of cytosolic calcium ion concentration female pregnancy positive regulation of cell proliferation response to xenobiotic stimulus response to hormone negative regulation of neuron projection development artery smooth muscle contraction NAD metabolic process positive regulation of cell growth positive regulation of B cell proliferation positive regulation of insulin secretion response to estradiol response to retinoic acid response to progesterone response to hydroperoxide response to cytokine B cell proliferation negative regulation of apoptotic process negative regulation of bone resorption negative regulation of transcription, DNA-templated positive regulation of transcription, DNA-templated positive regulation of vasoconstriction B cell receptor signaling pathway long term synaptic depression response to interleukin-1 apoptotic signaling pathway
          It has to be done as per old AB suggested Products section.

          Disclaimer

          Close

          Clicking the images or links will redirect you to a website hosted by BenchSci that provides third-party scientific content. Neither the content nor the BenchSci technology and processes for selection have been evaluated by us; we are providing them as-is and without warranty of any kind, including for use or application of the Thermo Fisher Scientific products presented.

          guarantee_icon

          性能保障

          只要您发现Invitrogen抗体在实验中的表现与网站或说明书的所述内容不符,您即可享受免费退换货服务。*

          了解更多
          help_icon

          随时为您服务

          获取常见问题的专家解答,或者直接联系我们的技术专家,咨询应用、设备、常规产品使用问题。

          联系技术支持
          订购 Plus Icon Minus Icon
          • 订单状态查询
          • 订单支持
          • 货号直购
          • 现货供应中心
          • 电子采购
          支持 Plus Icon Minus Icon
          • 帮助&支持
          • 联系我们 - 400 820 8982
          • 技术支持中心
          • 查找文件&证书
          • 报告网站问题
          资源 Plus Icon Minus Icon
          • 学习中心
          • 促销
          • 活动&研讨会
          • 社交媒体
          关于赛默飞 Plus Icon Minus Icon
          • 关于我们
          • 招聘 招聘
          • 投资者关系 投资者关系
          • 新闻 新闻
          • 社会责任 社会责任
          • 商标
          • 政策和通知
          品牌 Plus Icon Minus Icon
          • Thermo Scientific
          • Applied Biosystems
          • Invitrogen
          • Gibco
          • Ion Torrent
          • Unity Lab Services
          • Patheon
          • PPD
          • 服务条款
          • 隐私政策
          • 定价和运输保险政策
          © 2006-2026 Thermo Fisher Scientific Inc. All rights reserved. All trademarks are the property of Thermo Fisher Scientific and its subsidiaries unless otherwise specified.
          China flag icon
          China
          本网站销售的所有产品均不得用于人类或动物之临床诊断或治疗,仅可用于工业或者科研等非医疗目的。
             电子营业执照 | 经营证照公示 | ICP备案号:沪ICP备11003924号 | 沪公网安备 31011502006935号

          Your items have has been added!


          Host server : magellan-search-green-b49b87d85-pgj68:80/100.66.79.163:80.
          git-commit: 5b8c860b7cdb41e9cfe07630520f6b51e109d38e
          git-url: https://github.com/thermofisher/magellan-search
          git-branch: release/2.47.0-Offline