Hamburger Menu Button
Thermo Fisher Scientific Logo
登录
没有账号?建立账号 注册
  • 产品
    • 抗体
    • 引物合成
    • GeneArt Gene Synthesis Instant Designer
    • TaqMan Assay and Array Search
    • PCR 设备和耗材
    • 色谱柱和纯化柱
    • 实验室离心机
    • 分子生物学试剂和试剂盒
    • 实验室塑料耗材及用品
    • 查看所有产品分类
  • 应用和技术
    • 色谱
    • 细胞转染和培养
    • 实时荧光定量PCR
    • 质谱
    • 实验室塑料耗材及用品
    • 电子显微镜
    • 蛋白质生物学
    • PCR
    • RNAi
    • 环境
    • 查看所有应用和技术
  • 服务
    • 定制服务
    • 企业级实验室信息化服务
    • 金融&租赁服务
    • 仪器服务
    • OEM和商业供应
    • 培训服务
    • 360° CDMO 和 CRO 服务
    • CDMO 服务
    • 临床试验 CRO 服务
    • Unity Lab Services
    • 查看所有帮助和支持
  • 帮助和支持
    • 学习中心
    • 联系我们
    • 更改国家或地区
    • 查看所有帮助和支持
  • 热门产品
    • TaqMan Real-Time PCR Assays
      TaqMan 实时荧光定量 PCR 试剂盒
    • Antibodies
      抗体
    • Oligos, Primers & Probes
      寡核苷酸、引物、探针
    • GeneArt Gene Synthesis
      GeneArt 基因合成
    • Cell Culture Plastics
      细胞培养耗材
  • Who We Serve
    • 抗体治疗解决方案
    • 细胞与基因治疗解决方案
    • 学术科研
    • 工业与应用
  • 联系我们
  • 货号直购
  • 订单查询
  • 查找文件&证书
Thermo Fisher Scientific Logo

Search

搜索全部或下列指定分类
Search button
          • 联系我们
          • 货号直购
          • 登录
            登录
            没有账号?建立账号 注册
            • 我的账号
            • 订单
            • 会员中心
            • 账单及发票查询
            • 定制产品及项目
          • Primary Antibodies ›
          • CD49b (Integrin alpha 2) Antibodies

          Invitrogen

          CD49b (Integrin alpha 2) Recombinant Rabbit Monoclonal Antibody (SN0752)

          1个已发表图片
          1 篇参考文献
          查看其他51个CD49b (Integrin alpha 2)抗体

          {{$productOrderCtrl.translations['antibody.pdp.commerceCard.promotion.promotions']}}

          {{$productOrderCtrl.translations['antibody.pdp.commerceCard.promotion.viewpromo']}}

          {{$productOrderCtrl.translations['antibody.pdp.commerceCard.promotion.promocode']}}: {{promo.promoCode}} {{promo.promoTitle}} {{promo.promoDescription}}. {{$productOrderCtrl.translations['antibody.pdp.commerceCard.promotion.learnmore']}}

          说明书
          证书
          实验方案
          问题与答案
          技术支持
          说明书
          证书
          实验方案
          问题与答案
          技术支持
          说明书
          证书
          实验方案
          问题与答案
          技术支持

          Cite CD49b (Integrin alpha 2) Recombinant Rabbit Monoclonal Antibody (SN0752)

          Additional Information:
          {{banner.description}}
          {{$ctrl.isSkuNotesCollapsed ? 'View more' : 'View less'}}
          • 抗体检测数据 (10)
          • 已发表图片 (1)
          CD49b (Integrin alpha 2) Antibody in Immunocytochemistry (ICC/IF)
          Group 53 Created with Sketch.
          CD49b (Integrin alpha 2) Antibody in Immunocytochemistry (ICC/IF)
          Group 53 Created with Sketch.

          图: 1 / 11

          {{ $ctrl.currentElement.advancedVerification.fullName }}
          {{ $ctrl.currentElement.advancedVerification.text }}

          CD49b (Integrin alpha 2) Antibody (MA5-32306) in ICC/IF

          Immunocytochemical analysis of CD49b (Integrin alpha 2) in MCF-7 cells using a CD49b (Integrin alpha 2) Monoclonal antibody (Product # MA5-32306) as seen in green. The nuclear counter stain is DAPI (blue). Cells were fixed in paraformaldehyde, permeabilised with 0.25% Triton X100/PBS. {{ $ctrl.currentElement.advancedVerification.fullName }} 验证信息 View more
          已发表图片由___提供 benchsci-logo
          PMID: {{$ctrl.currentElement.benchSciPubmedId}}
          查看产品

          {{$ctrl.videoDesc}}

          {{$ctrl.videoLongDesc}}

          CD49b (Integrin alpha 2) Antibody in Immunocytochemistry (ICC/IF)
          CD49b (Integrin alpha 2) Antibody in Immunocytochemistry (ICC/IF)
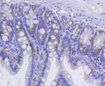
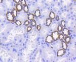
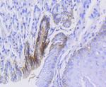
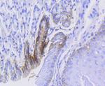
          CD49b (Integrin alpha 2) Antibody in Immunohistochemistry (Paraffin) (IHC (P))
          CD49b (Integrin alpha 2) Antibody in Immunohistochemistry (Paraffin) (IHC (P))
          CD49b (Integrin alpha 2) Antibody in Immunohistochemistry (Paraffin) (IHC (P))
          CD49b (Integrin alpha 2) Antibody in Immunohistochemistry (Paraffin) (IHC (P))
          CD49b (Integrin alpha 2) Antibody in Immunohistochemistry (Paraffin) (IHC (P))
          CD49b (Integrin alpha 2) Antibody in Western Blot (WB)
          CD49b (Integrin alpha 2) Antibody in Western Blot (WB)
          CD49b (Integrin alpha 2) Antibody in Flow Cytometry (Flow)
          CD49b (Integrin alpha 2) Antibody in Western Blot (WB)
          CD49b (Integrin alpha 2) Recombinant Rabbit Monoclonal Antibody (SN0752)

          产品信息

          MA5-32306

          应用
          建议稀释比
          已发表文章

          免疫印迹 (WB)

          1:1,000-1:2,000
          查看1篇已发表文章 1篇已发表文章

          免疫组化(石蜡) (IHC (P))

          1:50-1:200
          -

          免疫细胞化学 (ICC/IF)

          1:100-1:500
          -

          流式细胞分析 (Flow)

          1:1,000
          -
          产品规格

          种属反应

          Human, Mouse, Rat

          已发表种属

          Human

          宿主/亚型

          Rabbit / IgG

          Expression System

          HEK293 cells

          分类

          Recombinant Monoclonal

          类型

          Antibody

          克隆号

          SN0752

          抗原

          Synthetic peptide within Human Integrin alpha 2 aa 1,132-1,181.
          3D表位/免疫原

          偶联物

          Unconjugated Unconjugated Unconjugated

          形式

          Liquid

          浓度

          0.98 mg/mL

          规格

          98 µg

          纯化类型

          Protein A

          保存液

          TBS, pH 7.4, with 40% Glycerol, 0.05% BSA

          内含物

          0.05% sodium azide

          保存条件

          Store at 4°C short term. For long term storage, store at -20°C, avoiding freeze/thaw cycles.

          运输条件

          Ambient (domestic); Wet ice (international)

          RRID

          AB_2809588

          产品详细信息

          Recombinant rabbit monoclonal antibodies are produced using in vitro expression systems. The expression systems are developed by cloning in the specific antibody DNA sequences from immunoreactive rabbits. Then, individual clones are screened to select the best candidates for production. The advantages of using recombinant rabbit monoclonal antibodies include: better specificity and sensitivity, lot-to-lot consistency, animal origin-free formulations, and broader immunoreactivity to diverse targets due to larger rabbit immune repertoire.

          靶标信息

          CD49b (Integrin alpha 2, Integrin alpha 2 chain, VLA-2 alpha chain, HM alpha 2) is a member of the integrin family. It is a glycoprotein with molecular weight of 150 kD, and it complexes with CD29 (Integrin beta 1) to form the heterodimeric integrin VLA-2 (integrin alpha 2 beta 1, or GPIa/IIa) complex. VLA-2 is an extracellular receptor for laminin, collagen, and fibronectin, and interaction with its ligands results in the activation of intracellular signaling pathways. It has reported roles in VEGF-induced angiogenesis in vivo, as well as adhesion and lymphocyte activation. CD49b is expressed by NK cells, NK-T cells, monocytes, platelets, and epithelial cells. It is also expressed on adaptive immune cells such as T and B cells, specifically on a subset of CD4+ T cells in the spleen, on intraepithelial and lamina propria lymphocytes in the intestine, as well as on a population of peripheral CD4+ type 1 T regulatory (Tr1) cells that co-express LAG-3.

          仅用于科研。不用于诊断过程。未经明确授权不得转售。

          生物信息学

          蛋白别名: alpha 2 integrin; alpha 2 subunit of VLA-2 receptor; BDPLT9; CD49 antigen-like family member B; CD49b; Collagen receptor; glycoprotein Ia; GPIa; human platelet alloantigen 5; human platelet alloantigen system 5; Integrin alpha-2; integrin, alpha 2 (CD49B, alpha 2 subunit of VLA-2 receptor); platelet antigen Br; platelet glycoprotein GPIa; Platelet membrane glycoprotein Ia; unnamed protein product; very late activation protein 2 receptor, alpha-2 subunit; very late activation receptor alpha-2 subunit; very late activation receptor subunit alpha-2; VLA-2 receptor, alpha 2 subunit; VLA-2 subunit alpha; VLA2 receptor

          查看更多 收起

          基因别名: BR; CD49B; DX5; GPIa; HPA-5; ITGA2; VLA-2; VLAA2

          查看更多 收起

          UniProt ID: (Human) P17301, (Mouse) Q62469

          查看更多 收起

          Entrez Gene ID: (Human) 3673, (Mouse) 16398, (Rat) 170921

          查看更多 收起

          功能
          beta-amyloid binding virus receptor activity integrin binding protein binding collagen binding signaling receptor activity collagen receptor activity laminin binding heparan sulfate proteoglycan binding macromolecular complex binding metal ion binding collagen binding involved in cell-matrix adhesion protein complex binding protein heterodimerization activity cell adhesion molecule binding integrin
          参与通路
          response to hypoxia positive regulation of leukocyte migration substrate-dependent cell migration hypotonic response cell adhesion cell-matrix adhesion integrin-mediated signaling pathway female pregnancy blood coagulation response to xenobiotic stimulus organ morphogenesis positive regulation of epithelial cell migration response to amine response to muscle activity positive regulation of smooth muscle cell migration extracellular matrix organization mammary gland development positive regulation of cell projection organization cell-substrate adhesion positive regulation of collagen biosynthetic process response to L-ascorbic acid cell adhesion mediated by integrin collagen-activated signaling pathway skin morphogenesis positive regulation of translation positive regulation of cell adhesion positive regulation of smooth muscle contraction viral entry into host cell focal adhesion assembly mesodermal cell differentiation positive regulation of smooth muscle cell proliferation positive regulation of positive chemotaxis detection of mechanical stimulus involved in sensory perception of pain positive regulation of transmission of nerve impulse positive regulation of phagocytosis, engulfment hepatocyte differentiation response to parathyroid hormone cellular response to mechanical stimulus cellular response to estradiol stimulus cell-cell adhesion positive regulation of alkaline phosphatase activity positive regulation of collagen binding positive regulation of DNA binding establishment of protein localization positive regulation of inflammatory response movement of cell or subcellular component cell proliferation response to organic cyclic compound wound healing response to drug cellular response to organic cyclic compound
          It has to be done as per old AB suggested Products section.

          Disclaimer

          Close

          Clicking the images or links will redirect you to a website hosted by BenchSci that provides third-party scientific content. Neither the content nor the BenchSci technology and processes for selection have been evaluated by us; we are providing them as-is and without warranty of any kind, including for use or application of the Thermo Fisher Scientific products presented.

          guarantee_icon

          性能保障

          只要您发现Invitrogen抗体在实验中的表现与网站或说明书的所述内容不符,您即可享受免费退换货服务。*

          了解更多
          help_icon

          随时为您服务

          获取常见问题的专家解答,或者直接联系我们的技术专家,咨询应用、设备、常规产品使用问题。

          联系技术支持
          订购 Plus Icon Minus Icon
          • 订单状态查询
          • 订单支持
          • 货号直购
          • 现货供应中心
          • 电子采购
          支持 Plus Icon Minus Icon
          • 帮助&支持
          • 联系我们 - 400 820 8982
          • 技术支持中心
          • 查找文件&证书
          • 报告网站问题
          资源 Plus Icon Minus Icon
          • 学习中心
          • 促销
          • 活动&研讨会
          • 社交媒体
          关于赛默飞 Plus Icon Minus Icon
          • 关于我们
          • 招聘 招聘
          • 投资者关系 投资者关系
          • 新闻 新闻
          • 社会责任 社会责任
          • 商标
          • 政策和通知
          品牌 Plus Icon Minus Icon
          • Thermo Scientific
          • Applied Biosystems
          • Invitrogen
          • Gibco
          • Ion Torrent
          • Unity Lab Services
          • Patheon
          • PPD
          • 服务条款
          • 隐私政策
          • 定价和运输保险政策
          © 2006-2026 Thermo Fisher Scientific Inc. All rights reserved. All trademarks are the property of Thermo Fisher Scientific and its subsidiaries unless otherwise specified.
          China flag icon
          China
          本网站销售的所有产品均不得用于人类或动物之临床诊断或治疗,仅可用于工业或者科研等非医疗目的。
             电子营业执照 | 经营证照公示 | ICP备案号:沪ICP备11003924号 | 沪公网安备 31011502006935号

          Your items have has been added!


          Host server : magellan-search-green-6479c7f679-zb4k5:80/100.66.74.142:80.
          git-commit: b70c0dceb888abc3b0dcebb5bc3a5b8753e7e816
          git-url: https://github.com/thermofisher/magellan-search
          git-branch: release/2.50.0-Offline