Hamburger Menu Button
Thermo Fisher Scientific Logo
登录
没有账号?建立账号 注册
  • 产品
    • 抗体
    • 引物合成
    • GeneArt Gene Synthesis Instant Designer
    • TaqMan Assay and Array Search
    • PCR 设备和耗材
    • 色谱柱和纯化柱
    • 实验室离心机
    • 分子生物学试剂和试剂盒
    • 实验室塑料耗材及用品
    • 查看所有产品分类
  • 应用和技术
    • 色谱
    • 细胞转染和培养
    • 实时荧光定量PCR
    • 质谱
    • 实验室塑料耗材及用品
    • 电子显微镜
    • 蛋白质生物学
    • PCR
    • RNAi
    • 环境
    • 查看所有应用和技术
  • 服务
    • 定制服务
    • 企业级实验室信息化服务
    • 金融&租赁服务
    • 仪器服务
    • OEM和商业供应
    • 培训服务
    • 360° CDMO 和 CRO 服务
    • CDMO 服务
    • 临床试验 CRO 服务
    • Unity Lab Services
    • 查看所有帮助和支持
  • 帮助和支持
    • 学习中心
    • 联系我们
    • 更改国家或地区
    • 查看所有帮助和支持
  • 热门产品
    • TaqMan Real-Time PCR Assays
      TaqMan 实时荧光定量 PCR 试剂盒
    • Antibodies
      抗体
    • Oligos, Primers & Probes
      寡核苷酸、引物、探针
    • GeneArt Gene Synthesis
      GeneArt 基因合成
    • Cell Culture Plastics
      细胞培养耗材
  • Who We Serve
    • 抗体治疗解决方案
    • 细胞与基因治疗解决方案
    • 学术科研
    • 工业与应用
  • 联系我们
  • 货号直购
  • 订单查询
  • 查找文件&证书
Thermo Fisher Scientific Logo

Search

搜索全部或下列指定分类
Search button
          • 联系我们
          • 货号直购
          • 登录
            登录
            没有账号?建立账号 注册
            • 我的账号
            • 订单
            • 会员中心
            • 账单及发票查询
            • 定制产品及项目
          • Primary Antibodies ›
          • Integrin alpha V (CD51) Antibodies

          Invitrogen

          CD51 Polyclonal Antibody

          查看其他33个Integrin alpha V (CD51)抗体

          {{$productOrderCtrl.translations['antibody.pdp.commerceCard.promotion.promotions']}}

          {{$productOrderCtrl.translations['antibody.pdp.commerceCard.promotion.viewpromo']}}

          {{$productOrderCtrl.translations['antibody.pdp.commerceCard.promotion.promocode']}}: {{promo.promoCode}} {{promo.promoTitle}} {{promo.promoDescription}}. {{$productOrderCtrl.translations['antibody.pdp.commerceCard.promotion.learnmore']}}

          说明书
          证书
          实验方案
          问题与答案
          技术支持
          说明书
          证书
          实验方案
          问题与答案
          技术支持
          说明书
          证书
          实验方案
          问题与答案
          技术支持

          Cite CD51 Polyclonal Antibody

          Additional Information:
          {{banner.description}}
          {{$ctrl.isSkuNotesCollapsed ? 'View more' : 'View less'}}
          • 抗体检测数据 (2)
          CD51 Antibody in Immunocytochemistry (ICC/IF)
          Group 53 Created with Sketch.
          CD51 Antibody in Immunocytochemistry (ICC/IF)
          Group 53 Created with Sketch.

          图: 1 / 2

          {{ $ctrl.currentElement.advancedVerification.fullName }}
          {{ $ctrl.currentElement.advancedVerification.text }}

          CD51 Antibody (PA5-82171) in ICC/IF

          Immunofluorecent analysis of CD51 in human cell line A-431 using CD51 Polyclonal Antibody (Product # PA5-82171). Staining shows localization to cytosol and focal adhesion sites. {{ $ctrl.currentElement.advancedVerification.fullName }} 验证信息 View more
          已发表图片由___提供 benchsci-logo
          PMID: {{$ctrl.currentElement.benchSciPubmedId}}
          查看产品

          {{$ctrl.videoDesc}}

          {{$ctrl.videoLongDesc}}

          CD51 Antibody in Immunocytochemistry (ICC/IF)
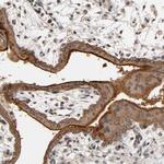
          CD51 Antibody in Immunohistochemistry (Paraffin) (IHC (P))
          CD51 Polyclonal Antibody

          产品信息

          PA5-82171

          应用
          建议稀释比
          已发表文章

          免疫组化(石蜡) (IHC (P))

          1:200-1:500
          -

          免疫细胞化学 (ICC/IF)

          0.25-2 µg/mL
          -
          产品规格

          种属反应

          Human

          宿主/亚型

          Rabbit / IgG

          分类

          Polyclonal

          类型

          Antibody

          抗原

          Recombinant protein corresponding to Human ITGAV. Recombinant protein control fragment (Product #RP-88635).
          3D表位/免疫原

          偶联物

          Unconjugated Unconjugated Unconjugated

          形式

          Liquid

          浓度

          0.1 mg/mL

          规格

          10 µg

          纯化类型

          Antigen affinity chromatography

          保存液

          PBS, pH 7.2, with 40% glycerol

          内含物

          0.02% sodium azide

          保存条件

          Store at 4°C short term. For long term storage, store at -20°C, avoiding freeze/thaw cycles.

          运输条件

          Ambient (domestic); Wet ice (international)

          RRID

          AB_2789332

          产品详细信息

          Immunogen sequence: DHLITKRDLA LSEGDIHTLG CGVAQCLKIV CQVGRLDRGK SAILYVKSLL WTETFMNKEN QNHSYSLKSS ASFNVIEFPY KNLPIEDITN STLVTTNVTW G

          Highest antigen sequence indentity to the following orthologs: Mouse - 88%, Rat - 90%.

          靶标信息

          ITAGV encodes integrin alpha chain V. Integrins are heterodimeric integral membrane proteins composed of an alpha chain and a beta chain. The I-domain containing integrin alpha V undergoes post-translational cleavage to yield disulfide-linked heavy and light chains, that combine with multiple integrin beta chains to form different integrins. Among the known associating beta chains (beta chains 1,3,5,6, and 8, 'ITGB1', 'ITGB3', 'ITGB5', 'ITGB6', and 'ITGB8'), each can interact with extracellular matrix ligands, the alpha V beta 3 integrin, perhaps the most studied of these, is referred to as the Vitronectin receptor (VNR). In addition to adhesion, many integrins are known to facilitate signal transduction. The ITGB3 protein product is the integrin beta chain beta 3. Integrins are integral cell-surface proteins composed of an alpha chain and a beta chain. A given chain may combine with multiple partners resulting in different integrins. Integrin beta 3 is found along with the alpha IIb chain in platelets. Integrins are known to participate in cell adhesion as well as cell-surface mediated signalling.

          仅用于科研。不用于诊断过程。未经明确授权不得转售。

          篇参考文献 (0)

          您是否在文献中引用过该产品?请点击下方按钮邮件告知我们。
          引用该产品

          生物信息学

          蛋白别名: antigen identified by monoclonal antibody L230; CD51; Integrin alpha-V; integrin alphaVbeta3; integrin, alpha V (vitronectin receptor, alpha polypeptide, antigen CD51); unnamed protein product; vitronectin alpha subunit precursor; Vitronectin receptor; Vitronectin receptor subunit alpha

          查看更多 收起

          基因别名: CD51; ITGAV; MSK8; VNRA; VTNR

          查看更多 收起

          UniProt ID: (Human) P06756

          查看更多 收起

          Entrez Gene ID: (Human) 3685

          查看更多 收起

          功能
          virus receptor activity opsonin binding fibronectin binding protease binding protein kinase C binding receptor binding integrin binding protein binding coreceptor activity fibroblast growth factor binding C-X3-C chemokine binding insulin-like growth factor I binding signaling receptor activity neuregulin binding metal ion binding transforming growth factor beta binding extracellular matrix binding extracellular matrix protein binding
          参与通路
          angiogenesis blood vessel development vasculogenesis formation of primary germ layer cell adhesion cell-matrix adhesion positive regulation of cytosolic calcium ion concentration integrin-mediated signaling pathway positive regulation of cell proliferation tissue development negative regulation of macrophage derived foam cell differentiation negative regulation of lipid storage negative regulation of low-density lipoprotein particle clearance cell migration positive regulation of cell migration cell-substrate adhesion negative regulation of lipid transport cell adhesion mediated by integrin positive regulation of osteoblast proliferation heterotypic cell-cell adhesion substrate adhesion-dependent cell spreading wound healing, spreading of epidermal cells endodermal cell differentiation apolipoprotein A-I-mediated signaling pathway apoptotic cell clearance positive regulation of cell adhesion viral entry into host cell negative regulation of lipoprotein metabolic process regulation of phagocytosis negative chemotaxis positive regulation of small GTPase mediated signal transduction ERK1 and ERK2 cascade calcium ion transmembrane transport transforming growth factor beta production entry into host cell by a symbiont-containing vacuole extrinsic apoptotic signaling pathway in absence of ligand cell-cell adhesion positive regulation of intracellular signal transduction negative regulation of entry of bacterium into host cell negative regulation of extrinsic apoptotic signaling pathway
          It has to be done as per old AB suggested Products section.

          Disclaimer

          Close

          Clicking the images or links will redirect you to a website hosted by BenchSci that provides third-party scientific content. Neither the content nor the BenchSci technology and processes for selection have been evaluated by us; we are providing them as-is and without warranty of any kind, including for use or application of the Thermo Fisher Scientific products presented.

          guarantee_icon

          性能保障

          只要您发现Invitrogen抗体在实验中的表现与网站或说明书的所述内容不符,您即可享受免费退换货服务。*

          了解更多
          help_icon

          随时为您服务

          获取常见问题的专家解答,或者直接联系我们的技术专家,咨询应用、设备、常规产品使用问题。

          联系技术支持
          订购 Plus Icon Minus Icon
          • 订单状态查询
          • 订单支持
          • 货号直购
          • 现货供应中心
          • 电子采购
          支持 Plus Icon Minus Icon
          • 帮助&支持
          • 联系我们 - 400 820 8982
          • 技术支持中心
          • 查找文件&证书
          • 报告网站问题
          资源 Plus Icon Minus Icon
          • 学习中心
          • 促销
          • 活动&研讨会
          • 社交媒体
          关于赛默飞 Plus Icon Minus Icon
          • 关于我们
          • 招聘 招聘
          • 投资者关系 投资者关系
          • 新闻 新闻
          • 社会责任 社会责任
          • 商标
          • 政策和通知
          品牌 Plus Icon Minus Icon
          • Thermo Scientific
          • Applied Biosystems
          • Invitrogen
          • Gibco
          • Ion Torrent
          • Unity Lab Services
          • Patheon
          • PPD
          • 服务条款
          • 隐私政策
          • 定价和运输保险政策
          © 2006-2026 Thermo Fisher Scientific Inc. All rights reserved. All trademarks are the property of Thermo Fisher Scientific and its subsidiaries unless otherwise specified.
          China flag icon
          China
          本网站销售的所有产品均不得用于人类或动物之临床诊断或治疗,仅可用于工业或者科研等非医疗目的。
             电子营业执照 | 经营证照公示 | ICP备案号:沪ICP备11003924号 | 沪公网安备 31011502006935号

          Your items have has been added!


          Host server : magellan-search-blue-7c59b9b899-49tpj:80/100.66.77.222:80.
          git-commit: 8ef7cf686e3c81d28b13492708ce56d167b2f995
          git-url: https://github.com/thermofisher/magellan-search
          git-branch: release/2.49.0-Offline