Hamburger Menu Button
Thermo Fisher Scientific Logo
登录
没有账号?建立账号 注册
  • 产品
    • 抗体
    • 引物合成
    • GeneArt Gene Synthesis Instant Designer
    • TaqMan Assay and Array Search
    • PCR 设备和耗材
    • 色谱柱和纯化柱
    • 实验室离心机
    • 分子生物学试剂和试剂盒
    • 实验室塑料耗材及用品
    • 查看所有产品分类
  • 应用和技术
    • 色谱
    • 细胞转染和培养
    • 实时荧光定量PCR
    • 质谱
    • 实验室塑料耗材及用品
    • 电子显微镜
    • 蛋白质生物学
    • PCR
    • RNAi
    • 环境
    • 查看所有应用和技术
  • 服务
    • 定制服务
    • 企业级实验室信息化服务
    • 金融&租赁服务
    • 仪器服务
    • OEM和商业供应
    • 培训服务
    • 360° CDMO 和 CRO 服务
    • CDMO 服务
    • 临床试验 CRO 服务
    • Unity Lab Services
    • 查看所有帮助和支持
  • 帮助和支持
    • 学习中心
    • 联系我们
    • 更改国家或地区
    • 查看所有帮助和支持
  • 热门产品
    • TaqMan Real-Time PCR Assays
      TaqMan 实时荧光定量 PCR 试剂盒
    • Antibodies
      抗体
    • Oligos, Primers & Probes
      寡核苷酸、引物、探针
    • GeneArt Gene Synthesis
      GeneArt 基因合成
    • Cell Culture Plastics
      细胞培养耗材
  • Who We Serve
    • 抗体治疗解决方案
    • 细胞与基因治疗解决方案
    • 学术科研
    • 工业与应用
  • 联系我们
  • 货号直购
  • 订单查询
  • 查找文件&证书
Thermo Fisher Scientific Logo

Search

搜索全部或下列指定分类
Search button
          • 联系我们
          • 货号直购
          • 登录
            登录
            没有账号?建立账号 注册
            • 我的账号
            • 订单
            • 会员中心
            • 账单及发票查询
            • 定制产品及项目
          • Primary Antibodies ›
          • CD61 (Integrin beta 3) Antibodies

          Invitrogen

          CD61 (Integrin beta 3) Polyclonal Antibody

          3个已发表图片
          2 篇参考文献
          查看其他81个CD61 (Integrin beta 3)抗体

          {{$productOrderCtrl.translations['antibody.pdp.commerceCard.promotion.promotions']}}

          {{$productOrderCtrl.translations['antibody.pdp.commerceCard.promotion.viewpromo']}}

          {{$productOrderCtrl.translations['antibody.pdp.commerceCard.promotion.promocode']}}: {{promo.promoCode}} {{promo.promoTitle}} {{promo.promoDescription}}. {{$productOrderCtrl.translations['antibody.pdp.commerceCard.promotion.learnmore']}}

          说明书
          证书
          实验方案
          问题与答案
          技术支持
          说明书
          证书
          实验方案
          问题与答案
          技术支持
          说明书
          证书
          实验方案
          问题与答案
          技术支持

          Cite CD61 (Integrin beta 3) Polyclonal Antibody

          Additional Information:
          {{banner.description}}
          {{$ctrl.isSkuNotesCollapsed ? 'View more' : 'View less'}}
          • 抗体检测数据 (6)
          • 已发表图片 (3)
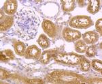
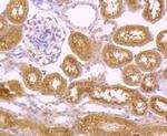
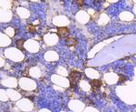
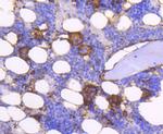
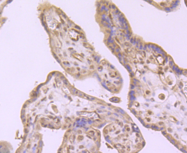
          CD61 (Integrin beta 3) Antibody in Immunohistochemistry (Paraffin) (IHC (P))
          Group 53 Created with Sketch.
          CD61 (Integrin beta 3) Antibody in Immunohistochemistry (Paraffin) (IHC (P))
          Group 53 Created with Sketch.

          图: 1 / 9

          {{ $ctrl.currentElement.advancedVerification.fullName }}
          {{ $ctrl.currentElement.advancedVerification.text }}

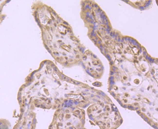
          CD61 (Integrin beta 3) Antibody (PA5-85926) in IHC (P)

          Immunohistochemical analysis of CD61 (Integrin beta 3) of paraffin-embedded Human placenta tissue using a CD61-Integrin-beta-3 Polyclonal antibody (Product #PA5-85926). Counter stained with hematoxylin. {{ $ctrl.currentElement.advancedVerification.fullName }} 验证信息 View more
          已发表图片由___提供 benchsci-logo
          PMID: {{$ctrl.currentElement.benchSciPubmedId}}
          查看产品

          {{$ctrl.videoDesc}}

          {{$ctrl.videoLongDesc}}

          CD61 (Integrin beta 3) Antibody in Immunohistochemistry (Paraffin) (IHC (P))
          CD61 (Integrin beta 3) Antibody in Immunohistochemistry (Paraffin) (IHC (P))
          CD61 (Integrin beta 3) Antibody in Immunohistochemistry (Paraffin) (IHC (P))
          CD61 (Integrin beta 3) Antibody in Immunohistochemistry (Paraffin) (IHC (P))
          CD61 (Integrin beta 3) Antibody in Immunohistochemistry (Paraffin) (IHC (P))
          CD61 (Integrin beta 3) Antibody in Western Blot (WB)
          CD61 (Integrin beta 3) Antibody in Immunohistochemistry (Paraffin) (IHC (P))
          CD61 (Integrin beta 3) Antibody in Immunohistochemistry (Paraffin) (IHC (P))
          CD61 (Integrin beta 3) Antibody in Western Blot (WB)
          CD61 (Integrin beta 3) Polyclonal Antibody

          产品信息

          PA5-85926

          应用
          建议稀释比
          已发表文章

          免疫印迹 (WB)

          1:500-1:1,000
          查看1篇已发表文章 1篇已发表文章

          免疫组化(石蜡) (IHC (P))

          1:50-1:200
          查看1篇已发表文章 1篇已发表文章
          产品规格

          种属反应

          Human, Mouse, Rat

          已发表种属

          Mouse

          宿主/亚型

          Rabbit / IgG

          分类

          Polyclonal

          类型

          Antibody

          抗原

          Synthetic peptide within Human Integrin beta-3 aa 481-530.
          3D表位/免疫原

          偶联物

          Unconjugated Unconjugated Unconjugated

          形式

          Liquid

          浓度

          1 mg/mL

          规格

          100 µg

          纯化类型

          Antigen affinity chromatography

          保存液

          PBS, pH 7.4, with 50% Glycerol, 0.2% BSA

          内含物

          0.05% sodium azide

          保存条件

          Store at 4°C short term. For long term storage, store at -20°C, avoiding freeze/thaw cycles.

          运输条件

          Ambient (domestic); Wet ice (international)

          RRID

          AB_2802727

          靶标信息

          CD61, also known as GPIIIa or ITGB3, is a 105 kDa glycoprotein expressed on activated T cells, granulocytes, megakaryocytes, platelets, and their precursors. It plays a crucial role in platelet aggregation and functions as a receptor for fibrinogen, fibronectin, von Willebrand factor, vitronectin, and thrombospondin. CD61 forms heterodimeric complexes by associating non-covalently with integrin alpha subunits: alphaV (CD51) to create the Vitronectin Receptor and alphaIIb (CD41) to form gpIIb/IIIa. These complexes are responsible for adhesion to extracellular matrix components, facilitating cell adhesion and cell-surface mediated signaling. CD61 is expressed on platelets and megakaryocytes in association with CD41, and on endothelial cells, monocytes, and osteoclasts in association with CD51. The protein product of CD61 is composed of an alpha chain and a beta chain, which can combine with multiple partners to form different integrins. Its involvement in cell adhesion and signaling underscores its importance in normal physiological processes. Dysfunction of CD61 is associated with diseases such as Glanzmann Thrombasthenia and Platelet type-16 Bleeding Disorder, highlighting its critical role in hemostasis and platelet function.

          仅用于科研。不用于诊断过程。未经明确授权不得转售。

          生物信息学

          蛋白别名: antigen CD61; CD61; glycoprotein IIIa precursor; GPIIIa; integrin beta 3; integrin beta 3 (Cd61); integrin beta chain, beta 3; Integrin beta-3; integrin beta-3 subunit; integrin, beta 3 (platelet glycoprotein IIIa, antigen CD61); plate glycoprotein IIIa (GPIIIa); platelet gpIIIa; Platelet membrane glycoprotein IIIa

          查看更多 收起

          基因别名: BDPLT16; BDPLT2; BDPLT24; CD61; GP3A; GPIIIa; GT; GT2; INGRB3; ITGB3

          查看更多 收起

          UniProt ID: (Human) P05106, (Rat) Q8R2H2, (Mouse) O54890

          查看更多 收起

          Entrez Gene ID: (Human) 3690, (Rat) 29302, (Mouse) 16416

          查看更多 收起

          功能
          virus receptor activity fibronectin binding protease binding protein disulfide isomerase activity protein kinase C binding platelet-derived growth factor receptor binding integrin binding protein binding coreceptor activity fibroblast growth factor binding enzyme binding C-X3-C chemokine binding insulin-like growth factor I binding neuregulin binding identical protein binding vascular endothelial growth factor receptor 2 binding metal ion binding cell adhesion molecule binding extracellular matrix binding fibrinogen binding peptide binding receptor activity integrin
          参与通路
          angiogenesis positive regulation of endothelial cell proliferation positive regulation of cell-matrix adhesion positive regulation of leukocyte migration cell-substrate junction assembly cell adhesion cell-matrix adhesion integrin-mediated signaling pathway embryo implantation blood coagulation regulation of G-protein coupled receptor protein signaling pathway positive regulation of cell proliferation positive regulation of endothelial cell migration positive regulation of gene expression negative regulation of macrophage derived foam cell differentiation positive regulation of fibroblast migration negative regulation of lipid storage negative regulation of low-density lipoprotein particle clearance response to activity smooth muscle cell migration positive regulation of smooth muscle cell migration cell migration platelet activation positive regulation of cell migration positive regulation of vascular endothelial growth factor receptor signaling pathway cell-substrate adhesion negative regulation of lipid transport regulation of protein localization regulation of actin cytoskeleton organization cell adhesion mediated by integrin positive regulation of cell adhesion mediated by integrin positive regulation of osteoblast proliferation heterotypic cell-cell adhesion substrate adhesion-dependent cell spreading tube development wound healing, spreading of epidermal cells response to platelet-derived growth factor cellular response to platelet-derived growth factor stimulus apolipoprotein A-I-mediated signaling pathway wound healing apoptotic cell clearance regulation of bone resorption positive regulation of angiogenesis positive regulation of bone resorption viral entry into host cell platelet-derived growth factor receptor signaling pathway positive regulation of fibroblast proliferation mesodermal cell differentiation positive regulation of smooth muscle cell proliferation negative regulation of lipoprotein metabolic process regulation of developmental process negative chemotaxis regulation of transport regulation of release of sequestered calcium ion into cytosol regulation of serotonin uptake angiogenesis involved in wound healing regulation of biological quality positive regulation of ERK1 and ERK2 cascade platelet aggregation cellular response to mechanical stimulus cellular response to xenobiotic stimulus positive regulation of glomerular mesangial cell proliferation blood coagulation, fibrin clot formation maintenance of postsynaptic specialization structure regulation of postsynaptic neurotransmitter receptor internalization regulation of postsynaptic neurotransmitter receptor diffusion trapping positive regulation of substrate adhesion-dependent cell spreading positive regulation of adenylate cyclase-inhibiting opioid receptor signaling pathway positive regulation of vascular endothelial growth factor signaling pathway regulation of trophoblast cell migration regulation of extracellular matrix organization cellular response to insulin-like growth factor stimulus negative regulation of endothelial cell apoptotic process positive regulation of T cell migration protein folding cellular calcium ion homeostasis response to radiation cell growth regulation of cell migration activation of protein kinase activity cellular response to drug positive regulation of MAPK cascade negative regulation of low-density lipoprotein particle receptor biosynthetic process positive regulation of peptidyl-tyrosine phosphorylation negative regulation of cell death positive regulation of osteoclast differentiation cell projection morphogenesis
          It has to be done as per old AB suggested Products section.

          Disclaimer

          Close

          Clicking the images or links will redirect you to a website hosted by BenchSci that provides third-party scientific content. Neither the content nor the BenchSci technology and processes for selection have been evaluated by us; we are providing them as-is and without warranty of any kind, including for use or application of the Thermo Fisher Scientific products presented.

          guarantee_icon

          性能保障

          只要您发现Invitrogen抗体在实验中的表现与网站或说明书的所述内容不符,您即可享受免费退换货服务。*

          了解更多
          help_icon

          随时为您服务

          获取常见问题的专家解答,或者直接联系我们的技术专家,咨询应用、设备、常规产品使用问题。

          联系技术支持
          订购 Plus Icon Minus Icon
          • 订单状态查询
          • 订单支持
          • 货号直购
          • 现货供应中心
          • 电子采购
          支持 Plus Icon Minus Icon
          • 帮助&支持
          • 联系我们 - 400 820 8982
          • 技术支持中心
          • 查找文件&证书
          • 报告网站问题
          资源 Plus Icon Minus Icon
          • 学习中心
          • 促销
          • 活动&研讨会
          • 社交媒体
          关于赛默飞 Plus Icon Minus Icon
          • 关于我们
          • 招聘 招聘
          • 投资者关系 投资者关系
          • 新闻 新闻
          • 社会责任 社会责任
          • 商标
          • 政策和通知
          品牌 Plus Icon Minus Icon
          • Thermo Scientific
          • Applied Biosystems
          • Invitrogen
          • Gibco
          • Ion Torrent
          • Unity Lab Services
          • Patheon
          • PPD
          • 服务条款
          • 隐私政策
          • 定价和运输保险政策
          © 2006-2026 Thermo Fisher Scientific Inc. All rights reserved. All trademarks are the property of Thermo Fisher Scientific and its subsidiaries unless otherwise specified.
          China flag icon
          China
          本网站销售的所有产品均不得用于人类或动物之临床诊断或治疗,仅可用于工业或者科研等非医疗目的。
             电子营业执照 | 经营证照公示 | ICP备案号:沪ICP备11003924号 | 沪公网安备 31011502006935号

          Your items have has been added!


          Host server : magellan-search-green-6479c7f679-v472f:80/100.66.78.195:80.
          git-commit: b70c0dceb888abc3b0dcebb5bc3a5b8753e7e816
          git-url: https://github.com/thermofisher/magellan-search
          git-branch: release/2.50.0-Offline