Hamburger Menu Button
Thermo Fisher Scientific Logo
登录
没有账号?建立账号 注册
  • 产品
    • 抗体
    • 引物合成
    • GeneArt Gene Synthesis Instant Designer
    • TaqMan Assay and Array Search
    • PCR 设备和耗材
    • 色谱柱和纯化柱
    • 实验室离心机
    • 分子生物学试剂和试剂盒
    • 实验室塑料耗材及用品
    • 查看所有产品分类
  • 应用和技术
    • 色谱
    • 细胞转染和培养
    • 实时荧光定量PCR
    • 质谱
    • 实验室塑料耗材及用品
    • 电子显微镜
    • 蛋白质生物学
    • PCR
    • RNAi
    • 环境
    • 查看所有应用和技术
  • 服务
    • 定制服务
    • 企业级实验室信息化服务
    • 金融&租赁服务
    • 仪器服务
    • OEM和商业供应
    • 培训服务
    • 360° CDMO 和 CRO 服务
    • CDMO 服务
    • 临床试验 CRO 服务
    • Unity Lab Services
    • 查看所有帮助和支持
  • 帮助和支持
    • 学习中心
    • 联系我们
    • 更改国家或地区
    • 查看所有帮助和支持
  • 热门产品
    • TaqMan Real-Time PCR Assays
      TaqMan 实时荧光定量 PCR 试剂盒
    • Antibodies
      抗体
    • Oligos, Primers & Probes
      寡核苷酸、引物、探针
    • GeneArt Gene Synthesis
      GeneArt 基因合成
    • Cell Culture Plastics
      细胞培养耗材
  • Who We Serve
    • 抗体治疗解决方案
    • 细胞与基因治疗解决方案
    • 学术科研
    • 工业与应用
  • 联系我们
  • 货号直购
  • 订单查询
  • 查找文件&证书
Thermo Fisher Scientific Logo

Search

搜索全部或下列指定分类
Search button
          • 联系我们
          • 货号直购
          • 登录
            登录
            没有账号?建立账号 注册
            • 我的账号
            • 订单
            • 会员中心
            • 账单及发票查询
            • 定制产品及项目
          • Primary Antibodies ›
          • LRP1 (CD91) Antibodies

          NeoBiotechnologies

          CD91/LDL Receptor Related Protein 1 (LRP1) Recombinant Rabbit Monoclonal Antibody (LRP1/8947R)

          查看其他45个LRP1 (CD91)抗体

          {{$productOrderCtrl.translations['antibody.pdp.commerceCard.promotion.promotions']}}

          {{$productOrderCtrl.translations['antibody.pdp.commerceCard.promotion.viewpromo']}}

          {{$productOrderCtrl.translations['antibody.pdp.commerceCard.promotion.promocode']}}: {{promo.promoCode}} {{promo.promoTitle}} {{promo.promoDescription}}. {{$productOrderCtrl.translations['antibody.pdp.commerceCard.promotion.learnmore']}}

          说明书
          证书
          实验方案
          问题与答案
          技术支持
          说明书
          证书
          实验方案
          问题与答案
          技术支持
          说明书
          证书
          实验方案
          问题与答案
          技术支持

          Cite CD91/LDL Receptor Related Protein 1 (LRP1) Recombinant Rabbit Monoclonal Antibody (LRP1/8947R)

          Additional Information:
          {{banner.description}}
          {{$ctrl.isSkuNotesCollapsed ? 'View more' : 'View less'}}
          • 抗体检测数据 (1)
          CD91/LDL Receptor Related Protein 1 (LRP1) Antibody in Immunohistochemistry (Paraffin) (IHC (P))
          Group 53 Created with Sketch.
          CD91/LDL Receptor Related Protein 1 (LRP1) Antibody in Immunohistochemistry (Paraffin) (IHC (P))
          Group 53 Created with Sketch.

          图: 1 / 1

          {{ $ctrl.currentElement.advancedVerification.fullName }}
          {{ $ctrl.currentElement.advancedVerification.text }}

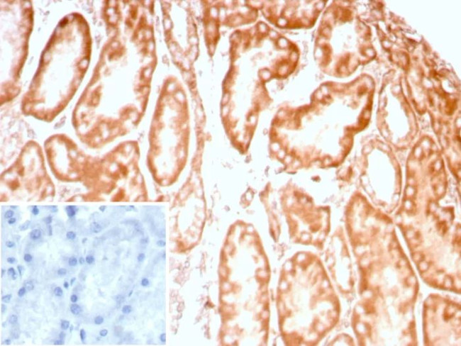
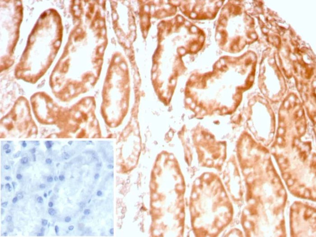
          CD91/LDL Receptor Related Protein 1 (LRP1) Antibody (4035-RBM7-P1ABX) in IHC (P)

          Formalin-fixed, paraffin-embedded human kidney stained with CD91/LRP1 Recombinant Rabbit Monoclonal Antibody (LRP1/8947R) Inset: PBS instead of primary antibody; secondary only negative control. {{ $ctrl.currentElement.advancedVerification.fullName }} 验证信息 View more
          已发表图片由___提供 benchsci-logo
          PMID: {{$ctrl.currentElement.benchSciPubmedId}}
          查看产品

          {{$ctrl.videoDesc}}

          {{$ctrl.videoLongDesc}}

          CD91/LDL Receptor Related Protein 1 (LRP1) Antibody in Immunohistochemistry (Paraffin) (IHC (P))

          产品信息

          4035-RBM7-P1ABX

          应用
          建议稀释比
          已发表文章

          免疫组化(石蜡) (IHC (P))

          1-2 µg/mL
          -
          产品规格

          种属反应

          Human

          宿主/亚型

          Rabbit / IgG, kappa

          Expression System

          CHO cells

          分类

          Recombinant Monoclonal

          类型

          Antibody

          克隆号

          LRP1/8947R

          抗原

          Recombinant fragment of human LRP1 protein (exact sequence is proprietary)

          偶联物

          Unconjugated Unconjugated Unconjugated

          形式

          Liquid

          浓度

          1 mg/mL

          规格

          100 µg

          纯化类型

          Protein A/G

          保存液

          PBS

          内含物

          no preservative

          保存条件

          -20°C or -80°C if preferred

          运输条件

          Ambient (domestic); Wet ice (international)

          产品详细信息

          Positive Control: brain or lung. Human liver

          Cellular Location: Cytoplasm. Nucleus. Cell surface.

          靶标信息

          CD91 is a 600 kDa type I transmembrane protein composed of an alpha and beta chain. The alpha chain interacts with a variety of structurally and functionally diverse ligands, while the beta chain contains two tyrosine phosphorylation motifs that interact with adaptor and signaling proteins. This receptor is expressed by cells in the monocytic lineage, dendritic cells, hepatocytes, fibroblasts, adipocytes, neurons, and syncytiotrophoblasts. CD91 plays a crucial role in several cellular processes, including ligand endocytosis and trafficking to lysosomes, intracellular signaling, lipid homeostasis, and clearance of apoptotic cells. It is involved in cross-presenting antigens via MHC class I molecules on antigen-presenting cells after endocytosis of heat shock protein-peptide complexes. Additionally, CD91 is essential for the A2M-mediated clearance of secreted amyloid precursor protein and beta-amyloid, the main component of amyloid plaques found in Alzheimer patients. Expression of CD91 decreases with age and is found to be lower in brain tissue from Alzheimer patients compared to controls. The receptor also plays a role in cell migration and activating signaling cascades, highlighting its importance in both immune function and disease processes.

          仅用于科研。不用于诊断过程。未经明确授权不得转售。

          篇参考文献 (0)

          您是否在文献中引用过该产品?请点击下方按钮邮件告知我们。
          引用该产品

          生物信息学

          蛋白别名: A2MR; Alpha-2-macroglobulin receptor; APOER; Apolipoprotein E receptor; CD91; FLJ16451; low density lipoprotein receptor-related protein 1; LRP-1; MGC88725; Prolow-density lipoprotein receptor-related protein 1; TbetaR-V/LRP-1/IGFBP-3 receptor; type V tgf-beta receptor

          查看更多 收起

          基因别名: A2MR; APOER; APR; CD91; DDH3; IGFBP-3R; IGFBP3R; IGFBP3R1; KPA; LRP; LRP1; LRP1A; TGFBR5

          查看更多 收起

          UniProt ID: (Human) Q07954

          查看更多 收起

          Entrez Gene ID: (Human) 4035

          查看更多 收起

          功能
          beta-amyloid binding RNA binding low-density lipoprotein receptor activity scavenger receptor activity calcium ion binding protein binding alpha-2 macroglobulin receptor activity apolipoprotein receptor activity clathrin heavy chain binding apolipoprotein binding signaling receptor activity cargo receptor activity heparan sulfate proteoglycan binding macromolecular complex binding metal ion binding lipoprotein particle receptor binding
          参与通路
          retinoid metabolic process astrocyte activation involved in immune response lipid metabolic process endocytosis receptor-mediated endocytosis phagocytosis lysosomal transport enzyme linked receptor protein signaling pathway negative regulation of macromolecule metabolic process negative regulation of gene expression regulation of extracellular matrix disassembly positive regulation of cholesterol efflux negative regulation of smooth muscle cell migration regulation of endocytosis negative regulation of Wnt signaling pathway receptor internalization positive regulation of lipid transport regulation of actin cytoskeleton organization aorta morphogenesis lipoprotein transport apoptotic cell clearance transcytosis positive regulation of endocytosis positive regulation of transport regulation of protein metabolic process negative regulation of SMAD protein import into nucleus beta-amyloid clearance amyloid-beta clearance by transcytosis amyloid-beta clearance by cellular catabolic process transport across blood-brain barrier positive regulation of beta-amyloid clearance regulation of extracellular matrix organization positive regulation of reverse cholesterol transport positive regulation of protein localization to plasma membrane positive regulation of transcytosis cellular response to beta-amyloid positive regulation of lysosomal protein catabolic process negative regulation of platelet-derived growth factor receptor-beta signaling pathway
          It has to be done as per old AB suggested Products section.

          Disclaimer

          Close

          Clicking the images or links will redirect you to a website hosted by BenchSci that provides third-party scientific content. Neither the content nor the BenchSci technology and processes for selection have been evaluated by us; we are providing them as-is and without warranty of any kind, including for use or application of the Thermo Fisher Scientific products presented.

          guarantee_icon

          性能保障

          只要您发现Invitrogen抗体在实验中的表现与网站或说明书的所述内容不符,您即可享受免费退换货服务。*

          了解更多
          help_icon

          随时为您服务

          获取常见问题的专家解答,或者直接联系我们的技术专家,咨询应用、设备、常规产品使用问题。

          联系技术支持
          订购 Plus Icon Minus Icon
          • 订单状态查询
          • 订单支持
          • 货号直购
          • 现货供应中心
          • 电子采购
          支持 Plus Icon Minus Icon
          • 帮助&支持
          • 联系我们 - 400 820 8982
          • 技术支持中心
          • 查找文件&证书
          • 报告网站问题
          资源 Plus Icon Minus Icon
          • 学习中心
          • 促销
          • 活动&研讨会
          • 社交媒体
          关于赛默飞 Plus Icon Minus Icon
          • 关于我们
          • 招聘 招聘
          • 投资者关系 投资者关系
          • 新闻 新闻
          • 社会责任 社会责任
          • 商标
          • 政策和通知
          品牌 Plus Icon Minus Icon
          • Thermo Scientific
          • Applied Biosystems
          • Invitrogen
          • Gibco
          • Ion Torrent
          • Unity Lab Services
          • Patheon
          • PPD
          • 服务条款
          • 隐私政策
          • 定价和运输保险政策
          © 2006-2026 Thermo Fisher Scientific Inc. All rights reserved. All trademarks are the property of Thermo Fisher Scientific and its subsidiaries unless otherwise specified.
          China flag icon
          China
          本网站销售的所有产品均不得用于人类或动物之临床诊断或治疗,仅可用于工业或者科研等非医疗目的。
             电子营业执照 | 经营证照公示 | ICP备案号:沪ICP备11003924号 | 沪公网安备 31011502006935号

          Your items have has been added!


          Host server : magellan-search-green-6479c7f679-zb4k5:80/100.66.74.142:80.
          git-commit: b70c0dceb888abc3b0dcebb5bc3a5b8753e7e816
          git-url: https://github.com/thermofisher/magellan-search
          git-branch: release/2.50.0-Offline