Hamburger Menu Button
Thermo Fisher Scientific Logo
登录
没有账号?建立账号 注册
  • 产品
    • 抗体
    • 引物合成
    • GeneArt Gene Synthesis Instant Designer
    • TaqMan Assay and Array Search
    • PCR 设备和耗材
    • 色谱柱和纯化柱
    • 实验室离心机
    • 分子生物学试剂和试剂盒
    • 实验室塑料耗材及用品
    • 查看所有产品分类
  • 应用和技术
    • 色谱
    • 细胞转染和培养
    • 实时荧光定量PCR
    • 质谱
    • 实验室塑料耗材及用品
    • 电子显微镜
    • 蛋白质生物学
    • PCR
    • RNAi
    • 环境
    • 查看所有应用和技术
  • 服务
    • 定制服务
    • 企业级实验室信息化服务
    • 企业服务
    • 金融&租赁服务
    • 仪器服务
    • OEM和商业供应
    • 培训服务
    • 360° CDMO 和 CRO 服务
    • CDMO 服务
    • 临床试验 CRO 服务
    • 查看所有帮助和支持
  • 帮助和支持
    • 学习中心
    • 联系我们
    • 更改国家或地区
    • 查看所有帮助和支持
  • 热门产品
    • TaqMan Real-Time PCR Assays
      TaqMan 实时荧光定量 PCR 试剂盒
    • Antibodies
      抗体
    • Oligos, Primers & Probes
      寡核苷酸、引物、探针
    • GeneArt Gene Synthesis
      GeneArt 基因合成
    • Cell Culture Plastics
      细胞培养耗材
  • 联系我们
  • 货号直购
  • 订单查询
  • 查找文件&证书
Thermo Fisher Scientific Logo

Search

搜索全部或下列指定分类
Search button
          • 联系我们
          • 货号直购
          • 登录
            登录
            没有账号?建立账号 注册
            • 我的账号
            • 订单
            • 账单及发票查询
            • 定制产品及项目

          Disclaimer

          Clicking the images or links will redirect you to a website hosted by BenchSci that provides third-party scientific content. Neither the content nor the BenchSci technology and processes for selection have been evaluated by us; we are providing them as-is and without warranty of any kind, including for use or application of the Thermo Fisher Scientific products presented.

          • Primary Antibodies ›
          • CDH11 Antibodies

          Invitrogen

          CDH11 Monoclonal Antibody (5B2H5)

          高级验证
          41个已发表图片
          61 篇参考文献
          查看其他37个CDH11抗体

          {{$productOrderCtrl.translations['antibody.pdp.commerceCard.promotion.promotions']}}

          {{$productOrderCtrl.translations['antibody.pdp.commerceCard.promotion.viewpromo']}}

          {{$productOrderCtrl.translations['antibody.pdp.commerceCard.promotion.promocode']}}: {{promo.promoCode}} {{promo.promoTitle}} {{promo.promoDescription}}. {{$productOrderCtrl.translations['antibody.pdp.commerceCard.promotion.learnmore']}}

          说明书
          证书
          实验方案
          问题与答案
          技术支持
          说明书
          证书
          实验方案
          问题与答案
          技术支持
          说明书
          证书
          实验方案
          问题与答案
          技术支持

          Cite CDH11 Monoclonal Antibody (5B2H5)

          • 抗体检测数据 (4)
          • 已发表图片 (41)
          • 高级验证 (2)
          CDH11 Antibody in Western Blot, Immunoprecipitation (WB, IP)
          Group 53 Created with Sketch.
          CDH11 Antibody in Western Blot, Immunoprecipitation (WB, IP)
          Group 53 Created with Sketch.

          图: 1 / 47

          {{ $ctrl.currentElement.advancedVerification.fullName }}
          {{ $ctrl.currentElement.advancedVerification.text }}

          CDH11 Antibody (32-1700) in WB, IP

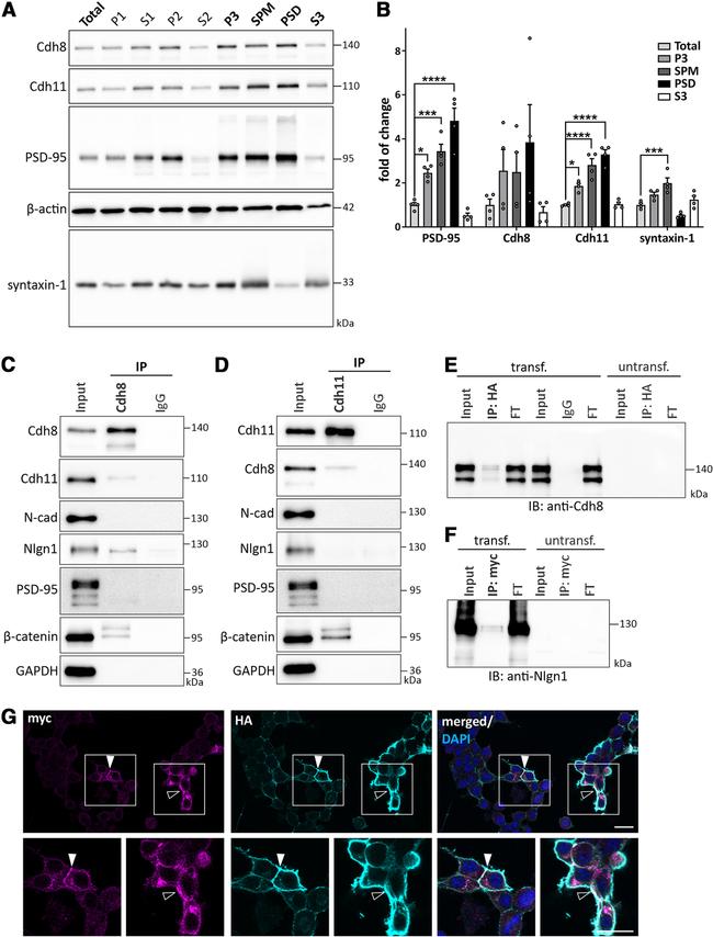
          eNeuro 2021 - Figure 3. Cadherin-8 and cadherin-11 are expressed in synaptic compartments and cadherin-8 interacts with neuroligin-1. A , Forebrain tissues were subjected to synaptic fractionation analysis to determine the subcellular localization of cadherin-8 and cadherin-11. Markers (PSD-95 and syntaxin-1) were probed as control for purity of the fractionation. Total: total protein input, P1: nuclear, S1: cytosol/memb... View More {{ $ctrl.currentElement.advancedVerification.fullName }} 验证信息 View more
          已发表图片由___提供 benchsci-logo
          PMID: {{$ctrl.currentElement.benchSciPubmedId}}
          查看产品

          {{$ctrl.videoDesc}}

          {{$ctrl.videoLongDesc}}

          CDH11 Antibody in Western Blot (WB)
          CDH11 Antibody in Western Blot (WB)
          CDH11 Antibody in Western Blot (WB)
          CDH11 Antibody in Western Blot (WB)
          CDH11 Antibody in Immunocytochemistry (ICC/IF)
          CDH11 Antibody in Western Blot, Immunocytochemistry (WB, ICC/IF)
          CDH11 Antibody in Western Blot, Immunocytochemistry (WB, ICC/IF)
          CDH11 Antibody in Western Blot, Immunocytochemistry (WB, ICC/IF)
          CDH11 Antibody in Immunocytochemistry (ICC/IF)
          CDH11 Antibody in Immunohistochemistry (Paraffin) (IHC (P))
          CDH11 Antibody in Immunohistochemistry (Paraffin) (IHC (P))
          CDH11 Antibody in Immunohistochemistry (IHC)
          CDH11 Antibody in Western Blot, Immunohistochemistry (WB, IHC)
          CDH11 Antibody in Immunohistochemistry (IHC)
          CDH11 Antibody in Immunohistochemistry (IHC)
          CDH11 Antibody in Immunohistochemistry (IHC)
          CDH11 Antibody in Western Blot, Immunohistochemistry (WB, IHC)
          CDH11 Antibody in Immunohistochemistry (IHC)
          CDH11 Antibody in Western Blot, Immunohistochemistry (WB, IHC)
          CDH11 Antibody in Western Blot, Immunohistochemistry (WB, IHC)
          CDH11 Antibody in Immunohistochemistry (IHC)
          CDH11 Antibody in Immunohistochemistry (IHC)
          CDH11 Antibody in Western Blot (WB)
          CDH11 Antibody in Western Blot, Immunoprecipitation (WB, IP)
          CDH11 Antibody in Western Blot (WB)
          CDH11 Antibody in Western Blot (WB)
          CDH11 Antibody in Western Blot (WB)
          CDH11 Antibody in Western Blot (WB)
          CDH11 Antibody in Western Blot (WB)
          CDH11 Antibody in Western Blot (WB)
          CDH11 Antibody in Western Blot (WB)
          CDH11 Antibody in Western Blot (WB)
          CDH11 Antibody in Western Blot (WB)
          CDH11 Antibody in Western Blot (WB)
          CDH11 Antibody in Western Blot (WB)
          CDH11 Antibody in Western Blot (WB)
          CDH11 Antibody in Western Blot (WB)
          CDH11 Antibody in Western Blot (WB)
          CDH11 Antibody in Western Blot (WB)
          CDH11 Antibody in Western Blot (WB)
          CDH11 Antibody in Western Blot (WB)
          CDH11 Antibody in Western Blot (WB)
          CDH11 Antibody in Western Blot (WB)
          CDH11 Antibody in Flow Cytometry (Flow)
          CDH11 Antibody in ChIP Assay (ChIP)
          CDH11 Antibody
          CDH11 Antibody

          产品信息

          32-1700

          应用
          建议稀释比
          已发表文章

          免疫印迹 (WB)

          2-4 µg/mL
          查看24篇已发表文章 24篇已发表文章

          免疫组化 (IHC)

          5-10 µg/mL
          查看12篇已发表文章 12篇已发表文章

          免疫组化(石蜡) (IHC (P))

          -
          查看3篇已发表文章 3篇已发表文章

          免疫组织化学(多聚甲醛固定) (IHC (PFA))

          -
          查看1篇已发表文章 1篇已发表文章

          免疫组化(冰冻) (IHC (F))

          -
          查看1篇已发表文章 1篇已发表文章

          免疫细胞化学 (ICC/IF)

          -
          查看7篇已发表文章 7篇已发表文章

          流式细胞分析 (Flow)

          -
          查看1篇已发表文章 1篇已发表文章

          免疫沉淀 (IP)

          5 µg
          查看1篇已发表文章 1篇已发表文章

          染色质免疫沉淀 实验 (ChIP)

          -
          查看1篇已发表文章 1篇已发表文章

          Proximity Ligation Assay (PLA) (PLA)

          -
          查看1篇已发表文章 1篇已发表文章

          亲和纯化 (AP)

          -
          查看2篇已发表文章 2篇已发表文章

          其他PubMed (Misc)

          -
          查看7篇已发表文章 7篇已发表文章
          产品规格

          种属反应

          Human, Mouse

          已发表种属

          Bovine, C. elegans, Chicken, Dog, Human, Mouse, Pig, Rat

          宿主/亚型

          Mouse / IgG1, kappa

          分类

          Monoclonal

          类型

          Antibody

          克隆号

          5B2H5

          抗原

          Recombinant protein derived from an intracellular sequence of the human Cadherin 11 protein.

          偶联物

          Unconjugated Unconjugated Unconjugated

          形式

          Liquid

          浓度

          0.5 mg/mL

          纯化类型

          Protein A

          保存液

          PBS, pH 7.4

          内含物

          0.1% sodium azide

          保存条件

          -20°C

          运输条件

          Ambient (domestic); Wet ice (international)

          RRID

          AB_2533068

          产品详细信息

          This antibody is specific for the ~110 kDa Cadherin 11 protein. Cross-reactivity with other Cadherin family members has not been observed. This antibody is confirmed reactive with human and mouse Cadherin 11. Reactivity was confirmed on western blots using MDA.MB231 cells (human) and mouse L fibroblast lysates.

          For Immunohistochemistry of frozen sections, incubate 30-60 minutes at room temperature or overnight at 4°C.

          靶标信息

          This gene encodes a type II classical cadherin from the cadherin superfamily, integral membrane proteins that mediate calcium-dependent cell-cell adhesion. All cadherins are single-pass transmembrane proteins with a variable number of 110 amino acid extracellular cadherin (EC) domains. Classical cadherins contain five large N-terminal EC domains, a single membrane-spanning domain, and a small, highly conserved C-terminal cytoplasmic domain. Based on amino acid alignment, classical cadherins are divided into type I and type II subgroups. Type I cadherins, including cadherins E (epithelial), N (neural), P (placental), and R (retinal) cadherin differ from type I cadherins in their specific amino acid sequences. Type II cadherins include human cadherin-5, -6, -8, -11, and -12. Type II cadherins are defined based on their lack of a HAV cell adhesion recognition sequence specific to type I cadherins. Cadherin-11 (OB-Cadherin) is a marker of the loosely connected and migratory cellular elements of the mesenchyme. Strong expression of Cadherin-11 has been noted in brain, spinal cord, bone marrow and bone cells, and is regulated in human endometrial glandular epithelial and stromal cells. Expression of this particular cadherin in osteoblastic cell lines, and its upregulation during differentiation, suggests a specific function in bone development and maintenance. A variant Cadherin-11 gene (variant form) encodes a truncated protein with an unusual cytoplasmic domain not present in other cadherins. The variant protein is generated by alternative splicing, utilizing a 179 bp intronic sequence. Recently, Cadherin-11 mRNA and protein were found to be expressed in most invasive breast cancer cell lines tested but not in non-invasive cell lines, suggesting that Cadherin-11 may be a marker for aggressive, invasive tumor subsets.

          仅用于科研。不用于诊断过程。未经明确授权不得转售。

          生物信息学

          蛋白别名: Cadherin; cadherin 11, type 2, OB-cadherin (osteoblast); Cadherin-11; OB Cadherin; OB-cadherin; OSF-4; Osteoblast cadherin; osteoblast-cadherin

          查看更多 收起

          基因别名: Cad-11; CAD11; CDH11; CDHOB; OB; OSF-4

          查看更多 收起

          UniProt ID: (Human) P55287, (Mouse) P55288

          查看更多 收起

          Entrez Gene ID: (Human) 1009, (Mouse) 12552

          查看更多 收起

          功能
          calcium ion binding metal ion binding cadherin
          参与通路
          skeletal system development ossification cell adhesion homophilic cell adhesion via plasma membrane adhesion molecules corticospinal tract morphogenesis adherens junction organization
          It has to be done as per old AB suggested Products section.
          guarantee_icon

          性能保障

          只要您发现Invitrogen抗体在实验中的表现与网站或说明书的所述内容不符,您即可享受免费退换货服务。*

          了解更多
          help_icon

          随时为您服务

          获取常见问题的专家解答,或者直接联系我们的技术专家,咨询应用、设备、常规产品使用问题。

          联系技术支持
          订购 Plus Icon Minus Icon
          • 订单状态查询
          • 订单支持
          • 货号直购
          • 现货供应中心
          • 电子采购
          支持 Plus Icon Minus Icon
          • 帮助&支持
          • 联系我们 - 400 820 8982
          • 技术支持中心
          • 查找文件&证书
          • 报告网站问题
          资源 Plus Icon Minus Icon
          • 学习中心
          • 促销
          • 活动&研讨会
          • 社交媒体
          关于赛默飞 Plus Icon Minus Icon
          • 关于我们
          • 招聘 招聘
          • 投资者关系 投资者关系
          • 新闻 新闻
          • 社会责任 社会责任
          • 商标
          • 政策和通知
          品牌 Plus Icon Minus Icon
          • Thermo Scientific
          • Applied Biosystems
          • Invitrogen
          • Gibco
          • Ion Torrent
          • Patheon
          • PPD
          • 服务条款
          • 隐私政策
          • 定价和运输保险政策
          © 2006-2026 Thermo Fisher Scientific Inc. All rights reserved. All trademarks are the property of Thermo Fisher Scientific and its subsidiaries unless otherwise specified.
          China flag icon
          China
          本网站销售的所有产品均不得用于人类或动物之临床诊断或治疗,仅可用于工业或者科研等非医疗目的。
             电子营业执照 | 经营证照公示 | ICP备案号:沪ICP备11003924号 | 沪公网安备 31011502006935号

          Your items have has been added!


          Host server : magellan-search-blue-55ff9ddd88-8jdkq:80/100.66.75.107:80.
          git-commit: d366ff9721d93504b2ac26a183b2b3e3d0e7d9ec
          git-url: https://github.com/thermofisher/magellan-search
          git-branch: release/2.42.0-2026.01.03-1.0