Hamburger Menu Button
Thermo Fisher Scientific Logo
登录
没有账号?建立账号 注册
  • 产品
    • 抗体
    • 引物合成
    • GeneArt Gene Synthesis Instant Designer
    • TaqMan Assay and Array Search
    • PCR 设备和耗材
    • 色谱柱和纯化柱
    • 实验室离心机
    • 分子生物学试剂和试剂盒
    • 实验室塑料耗材及用品
    • 查看所有产品分类
  • 应用和技术
    • 色谱
    • 细胞转染和培养
    • 实时荧光定量PCR
    • 质谱
    • 实验室塑料耗材及用品
    • 电子显微镜
    • 蛋白质生物学
    • PCR
    • RNAi
    • 环境
    • 查看所有应用和技术
  • 服务
    • 定制服务
    • 企业级实验室信息化服务
    • 金融&租赁服务
    • 仪器服务
    • OEM和商业供应
    • 培训服务
    • 360° CDMO 和 CRO 服务
    • CDMO 服务
    • 临床试验 CRO 服务
    • Unity Lab Services
    • 查看所有帮助和支持
  • 帮助和支持
    • 学习中心
    • 联系我们
    • 更改国家或地区
    • 查看所有帮助和支持
  • 热门产品
    • TaqMan Real-Time PCR Assays
      TaqMan 实时荧光定量 PCR 试剂盒
    • Antibodies
      抗体
    • Oligos, Primers & Probes
      寡核苷酸、引物、探针
    • GeneArt Gene Synthesis
      GeneArt 基因合成
    • Cell Culture Plastics
      细胞培养耗材
  • Who We Serve
    • 抗体治疗解决方案
    • 细胞与基因治疗解决方案
    • 学术科研
    • 工业与应用
  • 联系我们
  • 货号直购
  • 订单查询
  • 查找文件&证书
Thermo Fisher Scientific Logo

Search

搜索全部或下列指定分类
Search button
          • 联系我们
          • 货号直购
          • 登录
            登录
            没有账号?建立账号 注册
            • 我的账号
            • 订单
            • 会员中心
            • 账单及发票查询
            • 定制产品及项目
          • Primary Antibodies ›
          • CDK1 Antibodies

          Invitrogen

          CDK1 Monoclonal Antibody (POH-1)

          2个已发表图片
          7 篇参考文献
          查看其他68个CDK1抗体

          {{$productOrderCtrl.translations['antibody.pdp.commerceCard.promotion.promotions']}}

          {{$productOrderCtrl.translations['antibody.pdp.commerceCard.promotion.viewpromo']}}

          {{$productOrderCtrl.translations['antibody.pdp.commerceCard.promotion.promocode']}}: {{promo.promoCode}} {{promo.promoTitle}} {{promo.promoDescription}}. {{$productOrderCtrl.translations['antibody.pdp.commerceCard.promotion.learnmore']}}

          说明书
          证书
          实验方案
          问题与答案
          技术支持
          说明书
          证书
          实验方案
          问题与答案
          技术支持
          说明书
          证书
          实验方案
          问题与答案
          技术支持

          Cite CDK1 Monoclonal Antibody (POH-1)

          Additional Information:
          {{banner.description}}
          {{$ctrl.isSkuNotesCollapsed ? 'View more' : 'View less'}}
          • 抗体检测数据 (2)
          • 已发表图片 (2)
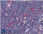
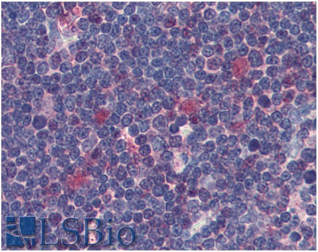
          CDK1 Antibody in Immunohistochemistry (Paraffin) (IHC (P))
          Group 53 Created with Sketch.
          CDK1 Antibody in Immunohistochemistry (Paraffin) (IHC (P))
          Group 53 Created with Sketch.

          图: 1 / 4

          {{ $ctrl.currentElement.advancedVerification.fullName }}
          {{ $ctrl.currentElement.advancedVerification.text }}

          CDK1 Antibody (MA1-19057) in IHC (P)

          Immunohistochemistry staining of human thymus (paraffin sections) using anti-Cdk1 (clone POH-1) Monoclonal antibody (Product # MA1-19057). {{ $ctrl.currentElement.advancedVerification.fullName }} 验证信息 View more
          已发表图片由___提供 benchsci-logo
          PMID: {{$ctrl.currentElement.benchSciPubmedId}}
          查看产品

          {{$ctrl.videoDesc}}

          {{$ctrl.videoLongDesc}}

          CDK1 Antibody in Immunohistochemistry (Paraffin) (IHC (P))
          CDK1 Antibody in Western Blot (WB)
          CDK1 Antibody in Western Blot (WB)
          CDK1 Antibody in Western Blot (WB)
          CDK1 Monoclonal Antibody (POH-1)

          产品信息

          MA1-19057

          应用
          建议稀释比
          已发表文章

          免疫印迹 (WB)

          1-2 µg/mL
          查看6篇已发表文章 6篇已发表文章

          免疫组化(石蜡) (IHC (P))

          10 µg/mL
          -

          免疫细胞化学 (ICC/IF)

          Assay-dependent
          查看1篇已发表文章 1篇已发表文章

          免疫沉淀 (IP)

          Assay-dependent
          -
          产品规格

          种属反应

          Bovine, Human, Non-human primate

          已发表种属

          Bovine, Human

          宿主/亚型

          Mouse / IgG2a

          分类

          Monoclonal

          类型

          Antibody

          克隆号

          POH-1

          抗原

          Bacterially expressed full-length human Cdk1 protein
          3D表位/免疫原

          偶联物

          Unconjugated Unconjugated Unconjugated
          • Alexa Fluor 488 
          • Request custom conjugation

          形式

          Liquid

          浓度

          1 mg/mL

          规格

          100 µg

          纯化类型

          Protein A

          保存液

          PBS, pH 7.4

          内含物

          15mM sodium azide

          保存条件

          4°C, do not freeze

          运输条件

          Ambient (domestic); Wet ice (international)

          RRID

          AB_1075472

          产品详细信息

          This antibody detects Cdk1 (p34Cdc2; an intracellular antigen). Staining of Cdk1 reflects the proliferating potential of respective tissue.

          This antibody will not cross-react with Drosophila, mouse, Xenopus or rat.

          靶标信息

          CDK1 or Cell Division Control protein 1 is essential for the completion of START, the controlling event in the cell cycle that is required to initiate mitosis. CDK1 is a catalytic subunit of a protein kinase complex, called the M-Phase Promoting Factor that induces entry into mitosis and is universal among eukaryotes. Phosphorylation of Bcl-2 in G2/M phase-arrested cells following photodynamic therapy with hypericin involves a CDK1-mediated signal and delays the onset of apoptosis. Therapeutic potential of CDK inhibitor NU2058 in androgen-independent prostate cancer has also been demonstrated.

          仅用于科研。不用于诊断过程。未经明确授权不得转售。

          生物信息学

          蛋白别名: ABL1; CDK1; cell cycle controller CDC2; Cell division control protein 2 homolog; cell division cycle 2, G1 to S and G2 to M; Cell division protein kinase 1; Cyclin-dependent kinase 1; DKFZp686L20222; KCIP-1; MGC111195; MGC53829; OTTHUMP00000019660; P34 CDK1; P34 MGC111195; p34 protein kinase; Protein 1054; unnamed protein product

          查看更多 收起

          基因别名: CDC2; CDC28A; CDK1; CDKN1; P34CDC2

          查看更多 收起

          UniProt ID: (Bovine) P48734, (Human) P06493

          查看更多 收起

          Entrez Gene ID: (Bovine) 281061, (Human) 983

          查看更多 收起

          功能
          chromatin binding cyclin-dependent protein serine/threonine kinase activity ATP binding cyclin binding Hsp70 protein binding histone kinase activity nucleotide binding virus receptor activity protein kinase activity protein serine/threonine kinase activity protein binding RNA polymerase II carboxy-terminal domain kinase activity kinase activity transferase activity cyclin-dependent protein kinase activity protein serine kinase activity non-receptor serine/threonine protein kinase
          参与通路
          apoptotic process cell proliferation positive regulation of G2/M transition of mitotic cell cycle histone phosphorylation peptidyl-serine phosphorylation peptidyl-threonine phosphorylation epithelial cell differentiation protein localization to kinetochore regulation of circadian rhythm negative regulation of apoptotic process rhythmic process cell division Golgi disassembly positive regulation of protein localization to nucleus positive regulation of mitochondrial ATP synthesis coupled electron transport G1/S transition of mitotic cell cycle G2/M transition of mitotic cell cycle microtubule cytoskeleton organization DNA replication DNA repair chromatin remodeling regulation of transcription from RNA polymerase II promoter cellular response to DNA damage stimulus nuclear envelope organization mitotic nuclear envelope disassembly mitotic G2 DNA damage checkpoint centrosome cycle pronuclear fusion response to toxic substance positive regulation of gene expression negative regulation of gene expression regulation of Schwann cell differentiation response to amine response to activity cell migration protein deubiquitination chromosome condensation positive regulation of protein import into nucleus response to hydrogen peroxide mitotic cell cycle phase transition response to ethanol positive regulation of DNA replication regulation of embryonic development thymidine biosynthetic process response to cadmium ion response to copper ion viral entry into host cell microtubule polymerization fibroblast proliferation response to axon injury ventricular cardiac muscle cell development positive regulation of cardiac muscle cell proliferation cilium disassembly positive regulation of mitotic sister chromatid segregation protein-containing complex assembly cellular response to hydrogen peroxide ERK1 and ERK2 cascade DNA strand resection involved in replication fork processing regulation of mitotic attachment of spindle microtubules to kinetochore microtubule cytoskeleton organization involved in mitosis DNA synthesis involved in mitotic DNA replication protein localization to site of double-strand break mitotic DNA-dependent DNA replication
          It has to be done as per old AB suggested Products section.

          Disclaimer

          Close

          Clicking the images or links will redirect you to a website hosted by BenchSci that provides third-party scientific content. Neither the content nor the BenchSci technology and processes for selection have been evaluated by us; we are providing them as-is and without warranty of any kind, including for use or application of the Thermo Fisher Scientific products presented.

          guarantee_icon

          性能保障

          只要您发现Invitrogen抗体在实验中的表现与网站或说明书的所述内容不符,您即可享受免费退换货服务。*

          了解更多
          help_icon

          随时为您服务

          获取常见问题的专家解答,或者直接联系我们的技术专家,咨询应用、设备、常规产品使用问题。

          联系技术支持
          订购 Plus Icon Minus Icon
          • 订单状态查询
          • 订单支持
          • 货号直购
          • 现货供应中心
          • 电子采购
          支持 Plus Icon Minus Icon
          • 帮助&支持
          • 联系我们 - 400 820 8982
          • 技术支持中心
          • 查找文件&证书
          • 报告网站问题
          资源 Plus Icon Minus Icon
          • 学习中心
          • 促销
          • 活动&研讨会
          • 社交媒体
          关于赛默飞 Plus Icon Minus Icon
          • 关于我们
          • 招聘 招聘
          • 投资者关系 投资者关系
          • 新闻 新闻
          • 社会责任 社会责任
          • 商标
          • 政策和通知
          品牌 Plus Icon Minus Icon
          • Thermo Scientific
          • Applied Biosystems
          • Invitrogen
          • Gibco
          • Ion Torrent
          • Unity Lab Services
          • Patheon
          • PPD
          • 服务条款
          • 隐私政策
          • 定价和运输保险政策
          © 2006-2026 Thermo Fisher Scientific Inc. All rights reserved. All trademarks are the property of Thermo Fisher Scientific and its subsidiaries unless otherwise specified.
          China flag icon
          China
          本网站销售的所有产品均不得用于人类或动物之临床诊断或治疗,仅可用于工业或者科研等非医疗目的。
             电子营业执照 | 经营证照公示 | ICP备案号:沪ICP备11003924号 | 沪公网安备 31011502006935号

          Your items have has been added!


          Host server : magellan-search-green-6479c7f679-jmhj8:80/100.66.74.142:80.
          git-commit: b70c0dceb888abc3b0dcebb5bc3a5b8753e7e816
          git-url: https://github.com/thermofisher/magellan-search
          git-branch: release/2.50.0-Offline