Hamburger Menu Button
Thermo Fisher Scientific Logo
登录
没有账号?建立账号 注册
  • 产品
    • 抗体
    • 引物合成
    • GeneArt Gene Synthesis Instant Designer
    • TaqMan Assay and Array Search
    • PCR 设备和耗材
    • 色谱柱和纯化柱
    • 实验室离心机
    • 分子生物学试剂和试剂盒
    • 实验室塑料耗材及用品
    • 查看所有产品分类
  • 应用和技术
    • 色谱
    • 细胞转染和培养
    • 实时荧光定量PCR
    • 质谱
    • 实验室塑料耗材及用品
    • 电子显微镜
    • 蛋白质生物学
    • PCR
    • RNAi
    • 环境
    • 查看所有应用和技术
  • 服务
    • 定制服务
    • 企业级实验室信息化服务
    • 金融&租赁服务
    • 仪器服务
    • OEM和商业供应
    • 培训服务
    • 360° CDMO 和 CRO 服务
    • CDMO 服务
    • 临床试验 CRO 服务
    • Unity Lab Services
    • 查看所有帮助和支持
  • 帮助和支持
    • 学习中心
    • 联系我们
    • 更改国家或地区
    • 查看所有帮助和支持
  • 热门产品
    • TaqMan Real-Time PCR Assays
      TaqMan 实时荧光定量 PCR 试剂盒
    • Antibodies
      抗体
    • Oligos, Primers & Probes
      寡核苷酸、引物、探针
    • GeneArt Gene Synthesis
      GeneArt 基因合成
    • Cell Culture Plastics
      细胞培养耗材
  • Who We Serve
    • 抗体治疗解决方案
    • 细胞与基因治疗解决方案
    • 学术科研
    • 工业与应用
  • 联系我们
  • 货号直购
  • 订单查询
  • 查找文件&证书
Thermo Fisher Scientific Logo

Search

搜索全部或下列指定分类
Search button
          • 联系我们
          • 货号直购
          • 登录
            登录
            没有账号?建立账号 注册
            • 我的账号
            • 订单
            • 账单及发票查询
            • 定制产品及项目
          • Primary Antibodies ›
          • CHRNA7 Antibodies

          Proteintech

          CHRNA7 Polyclonal Antibody

          18 篇参考文献
          查看其他14个CHRNA7抗体

          {{$productOrderCtrl.translations['antibody.pdp.commerceCard.promotion.promotions']}}

          {{$productOrderCtrl.translations['antibody.pdp.commerceCard.promotion.viewpromo']}}

          {{$productOrderCtrl.translations['antibody.pdp.commerceCard.promotion.promocode']}}: {{promo.promoCode}} {{promo.promoTitle}} {{promo.promoDescription}}. {{$productOrderCtrl.translations['antibody.pdp.commerceCard.promotion.learnmore']}}

          说明书
          证书
          实验方案
          问题与答案
          技术支持
          说明书
          证书
          实验方案
          问题与答案
          技术支持
          说明书
          证书
          实验方案
          问题与答案
          技术支持

          Cite CHRNA7 Polyclonal Antibody

          Additional Information:
          {{banner.description}}
          {{$ctrl.isSkuNotesCollapsed ? 'View more' : 'View less'}}
          • 抗体检测数据 (10)
          CHRNA7 Antibody in Immunohistochemistry (Paraffin) (IHC (P))
          Group 53 Created with Sketch.
          CHRNA7 Antibody in Immunohistochemistry (Paraffin) (IHC (P))
          Group 53 Created with Sketch.

          图: 1 / 10

          {{ $ctrl.currentElement.advancedVerification.fullName }}
          {{ $ctrl.currentElement.advancedVerification.text }}

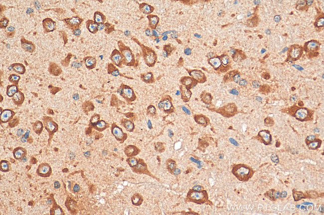
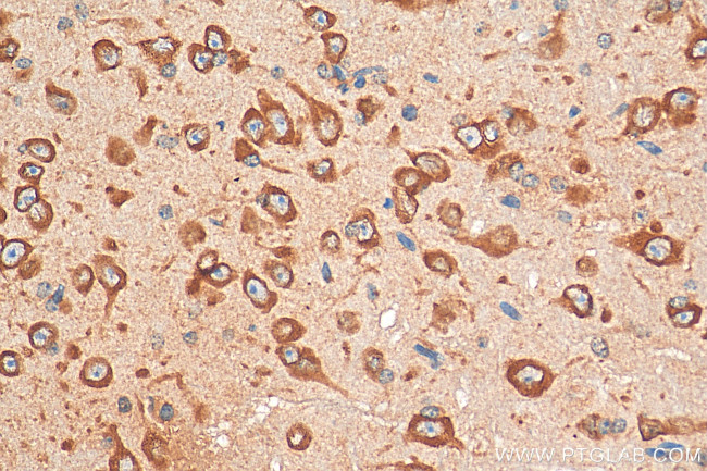
          CHRNA7 Antibody (21379-1-AP) in IHC (P)

          Immunohistochemical analysis of paraffin-embedded Mouse brain tissue slide using (Product # 21379-1-AP) CHRNA7 antibody at dilution of 1:200 (under 40x lens). Heat mediated antigen retrieval with Tris-EDTA buffer (pH 9.0). {{ $ctrl.currentElement.advancedVerification.fullName }} 验证信息 View more
          已发表图片由___提供 benchsci-logo
          PMID: {{$ctrl.currentElement.benchSciPubmedId}}
          查看产品

          {{$ctrl.videoDesc}}

          {{$ctrl.videoLongDesc}}

          CHRNA7 Antibody in Immunohistochemistry (Paraffin) (IHC (P))
          CHRNA7 Antibody in Immunohistochemistry (Paraffin) (IHC (P))
          CHRNA7 Antibody in Immunohistochemistry (Paraffin) (IHC (P))
          CHRNA7 Antibody in Immunohistochemistry (Paraffin) (IHC (P))
          CHRNA7 Antibody in Western Blot (WB)
          CHRNA7 Antibody in Western Blot (WB)
          CHRNA7 Antibody in Western Blot (WB)
          CHRNA7 Antibody in Western Blot (WB)
          CHRNA7 Antibody in Western Blot (WB)
          CHRNA7 Antibody in Flow Cytometry (Flow)
          CHRNA7 Polyclonal Antibody

          产品信息

          21379-1-AP

          应用
          建议稀释比
          已发表文章

          免疫印迹 (WB)

          1:1,000-1:4,000
          查看12篇已发表文章 12篇已发表文章

          免疫组化(石蜡) (IHC (P))

          1:50-1:500
          -

          免疫细胞化学 (ICC/IF)

          -
          查看4篇已发表文章 4篇已发表文章

          流式细胞分析 (Flow)

          0.2 µg/1x10^6 cells
          查看1篇已发表文章 1篇已发表文章

          不适用 (N/A)

          -
          查看1篇已发表文章 1篇已发表文章
          产品规格

          种属反应

          Human, Mouse, Rat

          已发表种属

          Human, Mouse

          宿主/亚型

          Rabbit / IgG

          分类

          Polyclonal

          类型

          Antibody

          抗原

          CHRNA7 Fusion Protein Ag15980 (130-321 aa encoded by BC037571)
          3D表位/免疫原

          偶联物

          Unconjugated Unconjugated Unconjugated

          形式

          Liquid

          浓度

          0.23 mg/mL

          规格

          34.5 µg

          纯化类型

          Antigen affinity chromatography

          保存液

          PBS, pH 7.3, with 50% glycerol

          内含物

          0.02% sodium azide

          保存条件

          -20°C

          运输条件

          Wet ice (domestic); Dry ice (international)

          产品详细信息

          Immunogen sequence: TVIVLQYHH HDPDGGKMPK WTRVILLNWC AWFLRMKRPG EDKVRPACQH KQRRCSLASV EMSAVAPPPA SNGNLLYIGF RGLDGVHCVP TPDSGVVCGR MACSPTHDEH LLHGGQPPEG DPDLAKILEE VRYIANRFRC QDESEAVCSE WKFAACVVDR LCLMAFSVFT IICTIGILMS APNFVEAVSK DFA (130-321 aa encoded by BC037571)

          靶标信息

          Chromosome 15 encodes over 700 genes and comprises nearly 3% of the human genome. CHRFAM7A, a fusion protein comprised of FAM7A and AChR alpha7, is encoded by the CHRFAM7A gene, which is located on a region of human chromosome 15 that is associated with several neuropsychiatric disorders, such as schizophrenia and bipolar affective disorder. CHRFAM7A, also known as D-10 or CHRNA7, is a 412 amino acid multi-pass membrane protein that belongs to the nicotinic acetylcholine receptor (nAChR) subfamily of ligand-gated ion channel proteins, a protein superfamily that mediates signal transmission at synapses. CHRFAM7A is expressed in the hippocampus. Alternative splicing of the CHRFAM7A gene produces two splice variants.

          仅用于科研。不用于诊断过程。未经明确授权不得转售。

          生物信息学

          蛋白别名: a7 nicotinic acetylcholine receptor; acetylcholine receptor; acetylcholine receptor alpha 7 neural; alpha 7 neuronal nicotinic acetylcholine receptor; alpha-7 nicotinic cholinergic receptor subunit; alpha7 nicotinic receptor; alpha7-nAChR; bungarotoxin alpha; C holinergic receptor nicotinic alpha polypeptide 7 (neuronal nicotinic acetycholine receptor alpha 7) (bungarotoxin alpha); C holinergic receptor, nicotinic, alpha polypeptide 7 (neuronal nicotinic acetycholine receptor alpha 7) (bungarotoxin alpha); cholinergic receptor; cholinergic receptor, nicotinic alpha 7; cholinergic receptor, nicotinic, alpha 7 (neuronal); cholinergic receptor, nicotinic, alpha polypeptide 7; CHRFAM7A; CHRNA7-DR1; cytotransmitter gated ion channel; D-10; nAChR alpha7; nAChR7; neuronal acetylcholine receptor protein, alpha-7 chain; Neuronal acetylcholine receptor subunit alpha-7; neuronal nicotinic acetycholine receptor alpha 7; Nicotinic acetylcholine receptor subunit alpha-7; nicotinic receptor alpha 7 subunit; unnamed protein product

          查看更多 收起

          基因别名: Acra7; alpha7; BTX; CHRNA7; CHRNA7-2; nAchR; nAChR7; NACHRA7; NARAD

          查看更多 收起

          UniProt ID: (Human) P36544, (Rat) Q05941, (Mouse) P49582

          查看更多 收起

          Entrez Gene ID: (Human) 1139, (Rat) 25302, (Mouse) 11441

          查看更多 收起

          功能
          beta-amyloid binding transmembrane signaling receptor activity ion channel activity extracellular ligand-gated ion channel activity calcium channel activity protein binding acetylcholine receptor activity toxic substance binding chloride channel regulator activity acetylcholine-gated cation channel activity acetylcholine binding protein homodimerization activity acetylcholine-activated cation-selective channel activity drug binding adenylate cyclase binding protein kinase binding ATPase binding scaffold protein binding ligand-gated ion channel
          参与通路
          response to hypoxia ion transport calcium ion transport cellular calcium ion homeostasis signal transduction I-kappaB kinase/NF-kappaB signaling chemical synaptic transmission synaptic transmission, cholinergic learning or memory memory short-term memory positive regulation of cell proliferation signal transduction involved in regulation of gene expression negative regulation of tumor necrosis factor production ion transmembrane transport response to nicotine regulation of membrane potential negative regulation of I-kappaB kinase/NF-kappaB signaling positive regulation of MAPK cascade positive regulation of angiogenesis synapse organization cognition sensory processing positive regulation of protein metabolic process excitatory postsynaptic potential synaptic transmission involved in micturition positive regulation of ERK1 and ERK2 cascade calcium ion transmembrane transport acetylcholine receptor signaling pathway dendritic spine organization modulation of excitatory postsynaptic potential dendrite arborization negative regulation of cytokine production involved in inflammatory response positive regulation of long-term synaptic potentiation positive regulation of beta-amyloid formation negative regulation of beta-amyloid formation regulation of amyloid precursor protein catabolic process response to amyloid-beta response to acetylcholine negative regulation of 3'-UTR-mediated mRNA stabilization regulation of amyloid fibril formation ligand-gated ion channel signaling pathway positive regulation of excitatory postsynaptic potential activation of MAPK activity positive regulation of heart rate involved in baroreceptor response to decreased systemic arterial blood pressure endocytosis associative learning regulation of norepinephrine secretion neuronal action potential sperm motility response to food regulation of synaptic transmission, dopaminergic negative regulation of interleukin-1 beta production negative regulation of interleukin-6 production behavioral response to nicotine T cell activation B cell activation dopamine biosynthetic process ovulation cycle response to ethanol behavioral response to ethanol regulation of inflammatory response negative regulation of inflammatory response generation of ovulation cycle rhythm cation transmembrane transport transport
          It has to be done as per old AB suggested Products section.

          Disclaimer

          Close

          Clicking the images or links will redirect you to a website hosted by BenchSci that provides third-party scientific content. Neither the content nor the BenchSci technology and processes for selection have been evaluated by us; we are providing them as-is and without warranty of any kind, including for use or application of the Thermo Fisher Scientific products presented.

          guarantee_icon

          性能保障

          只要您发现Invitrogen抗体在实验中的表现与网站或说明书的所述内容不符,您即可享受免费退换货服务。*

          了解更多
          help_icon

          随时为您服务

          获取常见问题的专家解答,或者直接联系我们的技术专家,咨询应用、设备、常规产品使用问题。

          联系技术支持
          订购 Plus Icon Minus Icon
          • 订单状态查询
          • 订单支持
          • 货号直购
          • 现货供应中心
          • 电子采购
          支持 Plus Icon Minus Icon
          • 帮助&支持
          • 联系我们 - 400 820 8982
          • 技术支持中心
          • 查找文件&证书
          • 报告网站问题
          资源 Plus Icon Minus Icon
          • 学习中心
          • 促销
          • 活动&研讨会
          • 社交媒体
          关于赛默飞 Plus Icon Minus Icon
          • 关于我们
          • 招聘 招聘
          • 投资者关系 投资者关系
          • 新闻 新闻
          • 社会责任 社会责任
          • 商标
          • 政策和通知
          品牌 Plus Icon Minus Icon
          • Thermo Scientific
          • Applied Biosystems
          • Invitrogen
          • Gibco
          • Ion Torrent
          • Unity Lab Services
          • Patheon
          • PPD
          • 服务条款
          • 隐私政策
          • 定价和运输保险政策
          © 2006-2026 Thermo Fisher Scientific Inc. All rights reserved. All trademarks are the property of Thermo Fisher Scientific and its subsidiaries unless otherwise specified.
          China flag icon
          China
          本网站销售的所有产品均不得用于人类或动物之临床诊断或治疗,仅可用于工业或者科研等非医疗目的。
             电子营业执照 | 经营证照公示 | ICP备案号:沪ICP备11003924号 | 沪公网安备 31011502006935号

          Your items have has been added!


          Host server : magellan-search-green-b49b87d85-8dsbr:80/100.66.76.150:80.
          git-commit: 5b8c860b7cdb41e9cfe07630520f6b51e109d38e
          git-url: https://github.com/thermofisher/magellan-search
          git-branch: release/2.47.0-Offline