Hamburger Menu Button
Thermo Fisher Scientific Logo
登录
没有账号?建立账号 注册
  • 产品
    • 抗体
    • 引物合成
    • GeneArt Gene Synthesis Instant Designer
    • TaqMan Assay and Array Search
    • PCR 设备和耗材
    • 色谱柱和纯化柱
    • 实验室离心机
    • 分子生物学试剂和试剂盒
    • 实验室塑料耗材及用品
    • 查看所有产品分类
  • 应用和技术
    • 色谱
    • 细胞转染和培养
    • 实时荧光定量PCR
    • 质谱
    • 实验室塑料耗材及用品
    • 电子显微镜
    • 蛋白质生物学
    • PCR
    • RNAi
    • 环境
    • 查看所有应用和技术
  • 服务
    • 定制服务
    • 企业级实验室信息化服务
    • 企业服务
    • 金融&租赁服务
    • 仪器服务
    • OEM和商业供应
    • 培训服务
    • 360° CDMO 和 CRO 服务
    • CDMO 服务
    • 临床试验 CRO 服务
    • 查看所有帮助和支持
  • 帮助和支持
    • 学习中心
    • 联系我们
    • 更改国家或地区
    • 查看所有帮助和支持
  • 热门产品
    • TaqMan Real-Time PCR Assays
      TaqMan 实时荧光定量 PCR 试剂盒
    • Antibodies
      抗体
    • Oligos, Primers & Probes
      寡核苷酸、引物、探针
    • GeneArt Gene Synthesis
      GeneArt 基因合成
    • Cell Culture Plastics
      细胞培养耗材
  • 联系我们
  • 货号直购
  • 订单查询
  • 查找文件&证书
Thermo Fisher Scientific Logo

Search

搜索全部或下列指定分类
Search button
          • 联系我们
          • 货号直购
          • 登录
            登录
            没有账号?建立账号 注册
            • 我的账号
            • 订单
            • 账单及发票查询
            • 定制产品及项目

          Disclaimer

          Clicking the images or links will redirect you to a website hosted by BenchSci that provides third-party scientific content. Neither the content nor the BenchSci technology and processes for selection have been evaluated by us; we are providing them as-is and without warranty of any kind, including for use or application of the Thermo Fisher Scientific products presented.

          • Primary Antibodies ›
          • CHRNA7 Antibodies

          Proteintech

          CHRNA7 Recombinant Rabbit Monoclonal Antibody (2A10)

          查看其他14个CHRNA7抗体

          {{$productOrderCtrl.translations['antibody.pdp.commerceCard.promotion.promotions']}}

          {{$productOrderCtrl.translations['antibody.pdp.commerceCard.promotion.viewpromo']}}

          {{$productOrderCtrl.translations['antibody.pdp.commerceCard.promotion.promocode']}}: {{promo.promoCode}} {{promo.promoTitle}} {{promo.promoDescription}}. {{$productOrderCtrl.translations['antibody.pdp.commerceCard.promotion.learnmore']}}

          说明书
          证书
          实验方案
          问题与答案
          技术支持
          说明书
          证书
          实验方案
          问题与答案
          技术支持
          说明书
          证书
          实验方案
          问题与答案
          技术支持

          Cite CHRNA7 Recombinant Rabbit Monoclonal Antibody (2A10)

          • 抗体检测数据 (7)
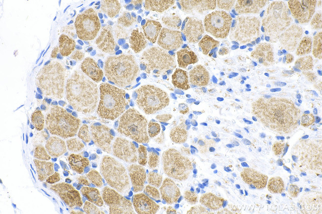
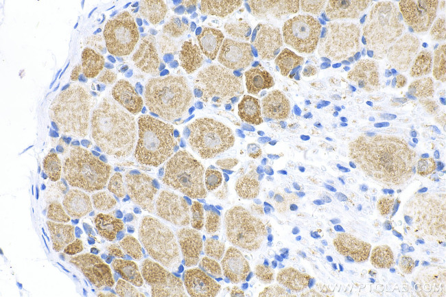
          CHRNA7 Antibody in Immunohistochemistry (Paraffin) (IHC (P))
          Group 53 Created with Sketch.
          CHRNA7 Antibody in Immunohistochemistry (Paraffin) (IHC (P))
          Group 53 Created with Sketch.

          图: 1 / 7

          {{ $ctrl.currentElement.advancedVerification.fullName }}
          {{ $ctrl.currentElement.advancedVerification.text }}

          CHRNA7 Antibody (82848-3-RR) in IHC (P)

          Immunohistochemical analysis of paraffin-embedded rat dorsal root ganglion tissue slide using 82848-3-RR (CHRNA7 antibody) at dilution of 1:500 (under 40x lens). Heat mediated antigen retrieval with Tris-EDTA buffer (pH 9.0). {{ $ctrl.currentElement.advancedVerification.fullName }} 验证信息 View more
          已发表图片由___提供 benchsci-logo
          PMID: {{$ctrl.currentElement.benchSciPubmedId}}
          查看产品

          {{$ctrl.videoDesc}}

          {{$ctrl.videoLongDesc}}

          CHRNA7 Antibody in Immunohistochemistry (Paraffin) (IHC (P))
          CHRNA7 Antibody in Immunohistochemistry (Paraffin) (IHC (P))
          CHRNA7 Antibody in Immunohistochemistry (Paraffin) (IHC (P))
          CHRNA7 Antibody in Immunohistochemistry (Paraffin) (IHC (P))
          CHRNA7 Antibody in Western Blot (WB)
          CHRNA7 Antibody in Western Blot (WB)
          CHRNA7 Antibody in Surface plasmon resonance (SPR)
          CHRNA7 Recombinant Rabbit Monoclonal Antibody (2A10)

          产品信息

          82848-3-RR

          应用
          建议稀释比
          已发表文章

          免疫印迹 (WB)

          1:1,000-1:5,000
          -

          免疫组化(石蜡) (IHC (P))

          1:250-1:1,000
          -

          酶联免疫吸附实验 (ELISA)

          Assay-dependent
          -

          Surface plasmon resonance (SPR)

          Assay-dependent
          -
          产品规格

          种属反应

          Mouse, Rat

          宿主/亚型

          Rabbit / IgG

          Expression System

          CHO cells

          分类

          Recombinant Monoclonal

          类型

          Antibody

          克隆号

          2A10

          抗原

          CHRNA7 (48 kDa) fusion protein Ag15980
          查看免疫原

          偶联物

          Unconjugated Unconjugated Unconjugated

          形式

          Liquid

          浓度

          1 mg/mL

          纯化类型

          Protein A

          保存液

          PBS, pH 7.3, with 50% glycerol

          内含物

          0.02% sodium azide

          保存条件

          -20°C

          运输条件

          Wet ice

          产品详细信息

          Immunogen sequence: TVIVLQYHHH DPDGGKMPKW TRVILLNWCA WFLRMKRPGE DKVRPACQHK QRRCSLASVE MSAVAPPPAS NGNLLYIGFR GLDGVHCVPT PDSGVVCGRM ACSPTHDEHL LHGGQPPEGD PDLAKILEEV RYIANRFRCQ DESEAVCSEW KFAACVVDRL CLMAFSVFTI ICTIGILMSA PNFVEAVSKD FA

          靶标信息

          Chromosome 15 encodes over 700 genes and comprises nearly 3% of the human genome. CHRFAM7A, a fusion protein comprised of FAM7A and AChR alpha7, is encoded by the CHRFAM7A gene, which is located on a region of human chromosome 15 that is associated with several neuropsychiatric disorders, such as schizophrenia and bipolar affective disorder. CHRFAM7A, also known as D-10 or CHRNA7, is a 412 amino acid multi-pass membrane protein that belongs to the nicotinic acetylcholine receptor (nAChR) subfamily of ligand-gated ion channel proteins, a protein superfamily that mediates signal transmission at synapses. CHRFAM7A is expressed in the hippocampus. Alternative splicing of the CHRFAM7A gene produces two splice variants.

          仅用于科研。不用于诊断过程。未经明确授权不得转售。

          篇参考文献 (0)

          您是否在文献中引用过该产品?请点击下方按钮邮件告知我们。
          引用该产品

          生物信息学

          蛋白别名: acetylcholine receptor; acetylcholine receptor alpha 7 neural; alpha7 nicotinic receptor; alpha7-nAChR; bungarotoxin alpha; C holinergic receptor nicotinic alpha polypeptide 7 (neuronal nicotinic acetycholine receptor alpha 7) (bungarotoxin alpha); C holinergic receptor, nicotinic, alpha polypeptide 7 (neuronal nicotinic acetycholine receptor alpha 7) (bungarotoxin alpha); cholinergic receptor; cholinergic receptor, nicotinic, alpha polypeptide 7; CHRFAM7A; CHRNA7-DR1; D-10; nAChR alpha7; Neuronal acetylcholine receptor subunit alpha-7; neuronal nicotinic acetycholine receptor alpha 7; nicotinic receptor alpha 7 subunit

          查看更多 收起

          基因别名: Acra7; alpha7; BTX; Chrna7; nAchR; nAChRa7; NARAD

          查看更多 收起

          UniProt ID: (Rat) Q05941, (Mouse) P49582

          查看更多 收起

          Entrez Gene ID: (Rat) 25302, (Mouse) 11441

          查看更多 收起

          功能
          beta-amyloid binding acetylcholine-activated cation-selective channel activity protein binding drug binding adenylate cyclase binding acetylcholine receptor activity toxic substance binding chloride channel regulator activity protein kinase binding acetylcholine-gated cation channel activity acetylcholine binding protein homodimerization activity ATPase binding scaffold protein binding ion channel activity extracellular ligand-gated ion channel activity ligand-gated ion channel
          参与通路
          activation of MAPK activity response to hypoxia positive regulation of heart rate involved in baroreceptor response to decreased systemic arterial blood pressure ion transport calcium ion transport cellular calcium ion homeostasis endocytosis signal transduction synaptic transmission, cholinergic memory positive regulation of cell proliferation associative learning regulation of norepinephrine secretion neuronal action potential sperm motility response to food regulation of synaptic transmission, dopaminergic negative regulation of interleukin-1 beta production negative regulation of interleukin-6 production negative regulation of tumor necrosis factor production ion transmembrane transport response to nicotine behavioral response to nicotine T cell activation B cell activation regulation of membrane potential dopamine biosynthetic process ovulation cycle response to ethanol positive regulation of angiogenesis behavioral response to ethanol regulation of inflammatory response negative regulation of inflammatory response cognition generation of ovulation cycle rhythm cation transmembrane transport transport
          It has to be done as per old AB suggested Products section.
          guarantee_icon

          性能保障

          只要您发现Invitrogen抗体在实验中的表现与网站或说明书的所述内容不符,您即可享受免费退换货服务。*

          了解更多
          help_icon

          随时为您服务

          获取常见问题的专家解答,或者直接联系我们的技术专家,咨询应用、设备、常规产品使用问题。

          联系技术支持
          订购 Plus Icon Minus Icon
          • 订单状态查询
          • 订单支持
          • 货号直购
          • 现货供应中心
          • 电子采购
          支持 Plus Icon Minus Icon
          • 帮助&支持
          • 联系我们 - 400 820 8982
          • 技术支持中心
          • 查找文件&证书
          • 报告网站问题
          资源 Plus Icon Minus Icon
          • 学习中心
          • 促销
          • 活动&研讨会
          • 社交媒体
          关于赛默飞 Plus Icon Minus Icon
          • 关于我们
          • 招聘 招聘
          • 投资者关系 投资者关系
          • 新闻 新闻
          • 社会责任 社会责任
          • 商标
          • 政策和通知
          品牌 Plus Icon Minus Icon
          • Thermo Scientific
          • Applied Biosystems
          • Invitrogen
          • Gibco
          • Ion Torrent
          • Patheon
          • PPD
          • 服务条款
          • 隐私政策
          • 定价和运输保险政策
          © 2006-2026 Thermo Fisher Scientific Inc. All rights reserved. All trademarks are the property of Thermo Fisher Scientific and its subsidiaries unless otherwise specified.
          China flag icon
          China
          本网站销售的所有产品均不得用于人类或动物之临床诊断或治疗,仅可用于工业或者科研等非医疗目的。
             电子营业执照 | 经营证照公示 | ICP备案号:沪ICP备11003924号 | 沪公网安备 31011502006935号

          Your items have has been added!


          Host server : magellan-search-blue-55ff9ddd88-lffdw:80/100.66.79.31:80.
          git-commit: d366ff9721d93504b2ac26a183b2b3e3d0e7d9ec
          git-url: https://github.com/thermofisher/magellan-search
          git-branch: release/2.42.0-2026.01.03-1.0