Hamburger Menu Button
Thermo Fisher Scientific Logo
登录
没有账号?建立账号 注册
  • 产品
    • 抗体
    • 引物合成
    • GeneArt Gene Synthesis Instant Designer
    • TaqMan Assay and Array Search
    • PCR 设备和耗材
    • 色谱柱和纯化柱
    • 实验室离心机
    • 分子生物学试剂和试剂盒
    • 实验室塑料耗材及用品
    • 查看所有产品分类
  • 应用和技术
    • 色谱
    • 细胞转染和培养
    • 实时荧光定量PCR
    • 质谱
    • 实验室塑料耗材及用品
    • 电子显微镜
    • 蛋白质生物学
    • PCR
    • RNAi
    • 环境
    • 查看所有应用和技术
  • 服务
    • 定制服务
    • 企业级实验室信息化服务
    • 金融&租赁服务
    • 仪器服务
    • OEM和商业供应
    • 培训服务
    • 360° CDMO 和 CRO 服务
    • CDMO 服务
    • 临床试验 CRO 服务
    • Unity Lab Services
    • 查看所有帮助和支持
  • 帮助和支持
    • 学习中心
    • 联系我们
    • 更改国家或地区
    • 查看所有帮助和支持
  • 热门产品
    • TaqMan Real-Time PCR Assays
      TaqMan 实时荧光定量 PCR 试剂盒
    • Antibodies
      抗体
    • Oligos, Primers & Probes
      寡核苷酸、引物、探针
    • GeneArt Gene Synthesis
      GeneArt 基因合成
    • Cell Culture Plastics
      细胞培养耗材
  • Who We Serve
    • 抗体治疗解决方案
    • 细胞与基因治疗解决方案
    • 学术科研
    • 工业与应用
  • 联系我们
  • 货号直购
  • 订单查询
  • 查找文件&证书
Thermo Fisher Scientific Logo

Search

搜索全部或下列指定分类
Search button
          • 联系我们
          • 货号直购
          • 登录
            登录
            没有账号?建立账号 注册
            • 我的账号
            • 订单
            • 会员中心
            • 账单及发票查询
            • 定制产品及项目
          • Primary Antibodies ›
          • CITED2 Antibodies

          Invitrogen

          CITED2 Monoclonal Antibody (JA22)

          3 篇参考文献
          查看其他12个CITED2抗体

          {{$productOrderCtrl.translations['antibody.pdp.commerceCard.promotion.promotions']}}

          {{$productOrderCtrl.translations['antibody.pdp.commerceCard.promotion.viewpromo']}}

          {{$productOrderCtrl.translations['antibody.pdp.commerceCard.promotion.promocode']}}: {{promo.promoCode}} {{promo.promoTitle}} {{promo.promoDescription}}. {{$productOrderCtrl.translations['antibody.pdp.commerceCard.promotion.learnmore']}}

          说明书
          证书
          实验方案
          问题与答案
          技术支持
          说明书
          证书
          实验方案
          问题与答案
          技术支持
          说明书
          证书
          实验方案
          问题与答案
          技术支持

          Cite CITED2 Monoclonal Antibody (JA22)

          Additional Information:
          {{banner.description}}
          {{$ctrl.isSkuNotesCollapsed ? 'View more' : 'View less'}}
          • 抗体检测数据 (3)
          CITED2 Antibody in Immunocytochemistry (ICC/IF)
          Group 53 Created with Sketch.
          CITED2 Antibody in Immunocytochemistry (ICC/IF)
          Group 53 Created with Sketch.

          图: 1 / 3

          {{ $ctrl.currentElement.advancedVerification.fullName }}
          {{ $ctrl.currentElement.advancedVerification.text }}

          CITED2 Antibody (MA3-16523) in ICC/IF

          Immunocytochemistry analysis of CITED2 in HeLa cells. Samples were incubated with CITED2 monoclonal antibody (Product # MA3-16523) using a dilution of 1:250 followed by Dylight 488 (Green). Beta-tubulin and nuclei were counterstained against Dylight 550 (Red) and DAPI (Blue). {{ $ctrl.currentElement.advancedVerification.fullName }} 验证信息 View more
          已发表图片由___提供 benchsci-logo
          PMID: {{$ctrl.currentElement.benchSciPubmedId}}
          查看产品

          {{$ctrl.videoDesc}}

          {{$ctrl.videoLongDesc}}

          CITED2 Antibody in Immunocytochemistry (ICC/IF)
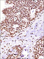
          CITED2 Antibody in Immunohistochemistry (Paraffin) (IHC (P))
          CITED2 Antibody in Western Blot (WB)

          产品信息

          MA3-16523

          应用
          建议稀释比
          已发表文章

          免疫印迹 (WB)

          2 µg/mL
          查看1篇已发表文章 1篇已发表文章

          免疫组化 (IHC)

          -
          查看2篇已发表文章 2篇已发表文章

          免疫组化(石蜡) (IHC (P))

          1:500
          -

          免疫细胞化学 (ICC/IF)

          1:100-1:500
          -
          产品规格

          种属反应

          Human, Mouse

          已发表种属

          Human, Mouse

          宿主/亚型

          Mouse / IgG1, kappa

          分类

          Monoclonal

          类型

          Antibody

          克隆号

          JA22

          抗原

          Human CITED 2 protein.

          偶联物

          Unconjugated Unconjugated Unconjugated

          形式

          Liquid

          浓度

          1 mg/mL

          规格

          100 µg

          纯化类型

          Protein A/G

          保存液

          PBS

          内含物

          0.02% sodium azide

          保存条件

          -20°C, Avoid Freeze/Thaw Cycles

          运输条件

          Ambient (domestic); Wet ice (international)

          RRID

          AB_2276266

          产品详细信息

          Suggested positive control: Hela whole cell extract.

          靶标信息

          The protein encoded by this gene inhibits transactivation of HIF1A-induced genes by competing with binding of HIF1a to p300-CH1. Mutations in this gene are a cause of cardiac septal defects. Three transcript variants encoding the same protein have been found for this gene.

          仅用于科研。不用于诊断过程。未经明确授权不得转售。

          生物信息学

          蛋白别名: Cbp/p300-interacting transactivator 2; melanocyte specific gene 2; melanocyte-specific gene 1-related gene 1; MRG-1; MSG-related protein 1; MSG1-related gene 1; P35srj

          查看更多 收起

          基因别名: AI835299; ASD8; CITED2; ER154-like; MRG-1; MRG1; Msg2; P35SRJ; VSD2

          查看更多 收起

          UniProt ID: (Human) Q99967, (Mouse) O35740

          查看更多 收起

          Entrez Gene ID: (Human) 10370, (Mouse) 17684

          查看更多 收起

          功能
          chromatin binding transcription coactivator activity transcription corepressor activity protein binding protein domain specific binding histone acetyltransferase binding SMAD binding LBD domain binding RNA polymerase II sequence-specific DNA binding transcription factor binding molecular function activator activity RNA polymerase II activating transcription factor binding RNA polymerase II transcription coactivator activity RNA polymerase II transcription corepressor activity transcription factor activity, sequence-specific DNA binding transcription cofactor activity transcription cofactor
          参与通路
          negative regulation of transcription from RNA polymerase II promoter blood vessel development vasculogenesis response to hypoxia in utero embryonic development trophectodermal cell differentiation neural tube formation neural tube closure liver development embryonic placenta development vasculature development heart looping lens morphogenesis in camera-type eye hematopoietic progenitor cell differentiation leukocyte differentiation determination of left/right asymmetry in lateral mesoderm outflow tract morphogenesis regulation of organ formation endocardial cushion development ventricular septum development regulation of transcription, DNA-templated regulation of transcription from RNA polymerase II promoter transforming growth factor beta receptor signaling pathway determination of left/right symmetry central nervous system development peripheral nervous system development heart development sex determination cell proliferation male gonad development response to mechanical stimulus positive regulation of gene expression negative regulation of gene expression cranial nerve morphogenesis positive regulation of cell-cell adhesion cell differentiation adrenal gland development negative regulation of cell migration positive regulation of transforming growth factor beta receptor signaling pathway granulocyte differentiation response to fluid shear stress positive regulation of peroxisome proliferator activated receptor signaling pathway adrenal cortex formation skeletal muscle cell differentiation nodal signaling pathway negative regulation of apoptotic process response to estrogen positive regulation of cell cycle negative regulation of transcription, DNA-templated positive regulation of transcription, DNA-templated positive regulation of transcription from RNA polymerase II promoter decidualization spleen development thymus development embryonic camera-type eye morphogenesis erythrocyte development uterus development embryonic process involved in female pregnancy bone morphogenesis cardiac septum morphogenesis ventricular septum morphogenesis embryonic heart tube left/right pattern formation left/right pattern formation pulmonary artery morphogenesis cardiac neural crest cell development involved in heart development determination of heart left/right asymmetry left/right axis specification cellular response to growth factor stimulus cellular response to hypoxia cellular senescence positive regulation of male gonad development branching involved in ureteric bud morphogenesis kidney development morphogenesis of an epithelium transcription, DNA-templated transcription from RNA polymerase II promoter multicellular organism development negative regulation of transcription from RNA polymerase II promoter in response to hypoxia nodal signaling pathway involved in determination of lateral mesoderm left/right asymmetry regulation of nucleic acid-templated transcription
          It has to be done as per old AB suggested Products section.

          Disclaimer

          Close

          Clicking the images or links will redirect you to a website hosted by BenchSci that provides third-party scientific content. Neither the content nor the BenchSci technology and processes for selection have been evaluated by us; we are providing them as-is and without warranty of any kind, including for use or application of the Thermo Fisher Scientific products presented.

          guarantee_icon

          性能保障

          只要您发现Invitrogen抗体在实验中的表现与网站或说明书的所述内容不符,您即可享受免费退换货服务。*

          了解更多
          help_icon

          随时为您服务

          获取常见问题的专家解答,或者直接联系我们的技术专家,咨询应用、设备、常规产品使用问题。

          联系技术支持
          订购 Plus Icon Minus Icon
          • 订单状态查询
          • 订单支持
          • 货号直购
          • 现货供应中心
          • 电子采购
          支持 Plus Icon Minus Icon
          • 帮助&支持
          • 联系我们 - 400 820 8982
          • 技术支持中心
          • 查找文件&证书
          • 报告网站问题
          资源 Plus Icon Minus Icon
          • 学习中心
          • 促销
          • 活动&研讨会
          • 社交媒体
          关于赛默飞 Plus Icon Minus Icon
          • 关于我们
          • 招聘 招聘
          • 投资者关系 投资者关系
          • 新闻 新闻
          • 社会责任 社会责任
          • 商标
          • 政策和通知
          品牌 Plus Icon Minus Icon
          • Thermo Scientific
          • Applied Biosystems
          • Invitrogen
          • Gibco
          • Ion Torrent
          • Unity Lab Services
          • Patheon
          • PPD
          • 服务条款
          • 隐私政策
          • 定价和运输保险政策
          © 2006-2026 Thermo Fisher Scientific Inc. All rights reserved. All trademarks are the property of Thermo Fisher Scientific and its subsidiaries unless otherwise specified.
          China flag icon
          China
          本网站销售的所有产品均不得用于人类或动物之临床诊断或治疗,仅可用于工业或者科研等非医疗目的。
             电子营业执照 | 经营证照公示 | ICP备案号:沪ICP备11003924号 | 沪公网安备 31011502006935号

          Your items have has been added!


          Host server : magellan-search-green-6479c7f679-zb4k5:80/100.66.74.142:80.
          git-commit: b70c0dceb888abc3b0dcebb5bc3a5b8753e7e816
          git-url: https://github.com/thermofisher/magellan-search
          git-branch: release/2.50.0-Offline