Hamburger Menu Button
Thermo Fisher Scientific Logo
登录
没有账号?建立账号 注册
  • 产品
    • 抗体
    • 引物合成
    • GeneArt Gene Synthesis Instant Designer
    • TaqMan Assay and Array Search
    • PCR 设备和耗材
    • 色谱柱和纯化柱
    • 实验室离心机
    • 分子生物学试剂和试剂盒
    • 实验室塑料耗材及用品
    • 查看所有产品分类
  • 应用和技术
    • 色谱
    • 细胞转染和培养
    • 实时荧光定量PCR
    • 质谱
    • 实验室塑料耗材及用品
    • 电子显微镜
    • 蛋白质生物学
    • PCR
    • RNAi
    • 环境
    • 查看所有应用和技术
  • 服务
    • 定制服务
    • 企业级实验室信息化服务
    • 金融&租赁服务
    • 仪器服务
    • OEM和商业供应
    • 培训服务
    • 360° CDMO 和 CRO 服务
    • CDMO 服务
    • 临床试验 CRO 服务
    • Unity Lab Services
    • 查看所有帮助和支持
  • 帮助和支持
    • 学习中心
    • 联系我们
    • 更改国家或地区
    • 查看所有帮助和支持
  • 热门产品
    • TaqMan Real-Time PCR Assays
      TaqMan 实时荧光定量 PCR 试剂盒
    • Antibodies
      抗体
    • Oligos, Primers & Probes
      寡核苷酸、引物、探针
    • GeneArt Gene Synthesis
      GeneArt 基因合成
    • Cell Culture Plastics
      细胞培养耗材
  • Who We Serve
    • 抗体治疗解决方案
    • 细胞与基因治疗解决方案
    • 学术科研
    • 工业与应用
  • 联系我们
  • 货号直购
  • 订单查询
  • 查找文件&证书
Thermo Fisher Scientific Logo

Search

搜索全部或下列指定分类
Search button
          • 联系我们
          • 货号直购
          • 登录
            登录
            没有账号?建立账号 注册
            • 我的账号
            • 订单
            • 会员中心
            • 账单及发票查询
            • 定制产品及项目
          • Primary Antibodies ›
          • CK1 alpha Antibodies

          Invitrogen

          CK1 alpha Polyclonal Antibody

          查看其他19个CK1 alpha抗体

          {{$productOrderCtrl.translations['antibody.pdp.commerceCard.promotion.promotions']}}

          {{$productOrderCtrl.translations['antibody.pdp.commerceCard.promotion.viewpromo']}}

          {{$productOrderCtrl.translations['antibody.pdp.commerceCard.promotion.promocode']}}: {{promo.promoCode}} {{promo.promoTitle}} {{promo.promoDescription}}. {{$productOrderCtrl.translations['antibody.pdp.commerceCard.promotion.learnmore']}}

          说明书
          证书
          实验方案
          问题与答案
          技术支持
          说明书
          证书
          实验方案
          问题与答案
          技术支持
          说明书
          证书
          实验方案
          问题与答案
          技术支持

          Cite CK1 alpha Polyclonal Antibody

          Additional Information:
          {{banner.description}}
          {{$ctrl.isSkuNotesCollapsed ? 'View more' : 'View less'}}
          • 抗体检测数据 (3)
          CK1 alpha Antibody in Immunohistochemistry (Paraffin) (IHC (P))
          Group 53 Created with Sketch.
          CK1 alpha Antibody in Immunohistochemistry (Paraffin) (IHC (P))
          Group 53 Created with Sketch.

          图: 1 / 3

          {{ $ctrl.currentElement.advancedVerification.fullName }}
          {{ $ctrl.currentElement.advancedVerification.text }}

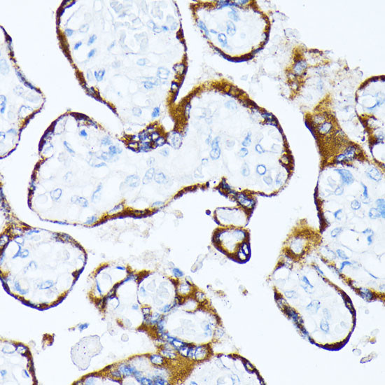
          CK1 alpha Antibody (PA5-116673) in IHC (P)

          Immunohistochemistry analysis of CK1 alpha in paraffin-embedded human placenta. Samples were incubated with CK1 alpha Polyclonal antibody (Product # PA5-116673) using a dilution of 1:100 (40x lens). Perform microwave antigen retrieval with 10 mM PBS buffer pH 7.2 before commencing with IHC staining protocol. {{ $ctrl.currentElement.advancedVerification.fullName }} 验证信息 View more
          已发表图片由___提供 benchsci-logo
          PMID: {{$ctrl.currentElement.benchSciPubmedId}}
          查看产品

          {{$ctrl.videoDesc}}

          {{$ctrl.videoLongDesc}}

          CK1 alpha Antibody in Immunohistochemistry (Paraffin) (IHC (P))
          CK1 alpha Antibody in Immunohistochemistry (Paraffin) (IHC (P))
          CK1 alpha Antibody in Western Blot (WB)
          CK1 alpha Polyclonal Antibody

          产品信息

          PA5-116673

          应用
          建议稀释比
          已发表文章

          免疫印迹 (WB)

          1:500-1:2,000
          -

          免疫组化(石蜡) (IHC (P))

          1:50-1:200
          -

          免疫细胞化学 (ICC/IF)

          1:50-1:200
          -

          酶联免疫吸附实验 (ELISA)

          1 µg/mL
          -
          产品规格

          种属反应

          Human, Mouse, Rat

          宿主/亚型

          Rabbit / IgG

          分类

          Polyclonal

          类型

          Antibody

          抗原

          A synthetic peptide corresponding to a sequence within amino acids 238-337 of human Casein Kinase 1 alpha (CSNK1A1) (NP_0018834)
          3D表位/免疫原

          偶联物

          Unconjugated Unconjugated Unconjugated

          形式

          Liquid

          浓度

          1.55 mg/mL

          规格

          155 µg

          纯化类型

          Affinity chromatography

          保存液

          PBS, pH 7.3, with 50% glycerol

          内含物

          0.01% thimerosal

          保存条件

          -20°C, Avoid Freeze/Thaw Cycles

          运输条件

          Ambient (domestic); Wet ice (international)

          RRID

          AB_2901304

          产品详细信息

          Positive Samples: U-87MG, HeLa, MCF7, PC-3, Mouse brain

          Immunogen sequence: EKKMSTPVEV LCKGFPAEFA MYLNYCRGLR FEEAPDYMYL RQLFRILFRT LNHQYDYTFD WTMLKQKAAQ QAASSSGQGQ QAQTPTGKQT DKTKSNMKGF

          靶标信息

          CNSK1A1 (CK1 alpha 1) is a member of the casein kinase I (CKI) gene family, which encodes serine/threonine kinases that preferentially phosphorylate acidic substrates. CKI proteins are monomeric, ranging from 25 to 55 kD, and are found in the nuclei, cytoplasm, and membrane fractions of eukaryotic cells. It can phosphorylate a large number of proteins. Participates in Wnt signaling. Phosphorylates CTNNB1 at 'Ser-45'. May phosphorylate PER1 and PER2. May play a role in segregating chromosomes during mitosis.

          ⚠WARNING: This product can expose you to chemicals including mercury, which is known to the State of California to cause birth defects or other reproductive harm. For more information go to www.P65Warnings.ca.gov.

          仅用于科研。不用于诊断过程。未经明确授权不得转售。

          篇参考文献 (0)

          您是否在文献中引用过该产品?请点击下方按钮邮件告知我们。
          引用该产品

          生物信息学

          蛋白别名: Casein kinase I isoform alpha; casein kinase I-alpha; CK I alpha; CK-I alpha; CK1; CKI alpha; CKI-alpha; clock regulator kinase; CSNK1A1; CSNK1A1/CK1; down-regulated in lung cancer; epididymis secretory sperm binding protein Li 77p; OTTHUMP00000224000; OTTHUMP00000224001; OTTHUMP00000224003; unnamed protein product; YIL035C

          查看更多 收起

          基因别名: 2610208K14Rik; 4632404G05Rik; 5430427P18Rik; CK1; CK1a; CKIa; Csnk1a; CSNK1A1; HEL-S-77p; HLCDGP1; PRO2975

          查看更多 收起

          UniProt ID: (Human) P48729, (Rat) P97633, (Mouse) Q8BK63

          查看更多 收起

          Entrez Gene ID: (Human) 1452, (Rat) 113927, (Mouse) 93687

          查看更多 收起

          功能
          nucleotide binding protein kinase activity protein serine/threonine kinase activity protein binding ATP binding kinase activity transferase activity protein serine kinase activity magnesium ion binding glycoprotein binding peptide binding phosphoprotein binding transferase activity, transferring phosphorus-containing groups non-receptor serine/threonine protein kinase
          参与通路
          autophagosome assembly protein phosphorylation Golgi organization signal transduction cell surface receptor signaling pathway negative regulation of autophagy positive regulation of autophagy Wnt signaling pathway viral protein processing regulation of Wnt signaling pathway SCF-dependent proteasomal ubiquitin-dependent protein catabolic process cellular response to nutrient levels cellular response to nutrient positive regulation of proteasomal ubiquitin-dependent protein catabolic process positive regulation of Rho protein signal transduction TORC1 signaling proteasome-mediated ubiquitin-dependent protein catabolic process NLRP3 inflammasome complex assembly intermediate filament cytoskeleton organization cell division negative regulation of canonical Wnt signaling pathway negative regulation of NLRP3 inflammasome complex assembly positive regulation of NLRP3 inflammasome complex assembly negative regulation of TORC1 signaling positive regulation of TORC1 signaling cell morphogenesis phagocytosis mitotic nuclear division regulation of cell shape peptidyl-serine phosphorylation cell cycle phosphorylation
          It has to be done as per old AB suggested Products section.

          Disclaimer

          Close

          Clicking the images or links will redirect you to a website hosted by BenchSci that provides third-party scientific content. Neither the content nor the BenchSci technology and processes for selection have been evaluated by us; we are providing them as-is and without warranty of any kind, including for use or application of the Thermo Fisher Scientific products presented.

          guarantee_icon

          性能保障

          只要您发现Invitrogen抗体在实验中的表现与网站或说明书的所述内容不符,您即可享受免费退换货服务。*

          了解更多
          help_icon

          随时为您服务

          获取常见问题的专家解答,或者直接联系我们的技术专家,咨询应用、设备、常规产品使用问题。

          联系技术支持
          订购 Plus Icon Minus Icon
          • 订单状态查询
          • 订单支持
          • 货号直购
          • 现货供应中心
          • 电子采购
          支持 Plus Icon Minus Icon
          • 帮助&支持
          • 联系我们 - 400 820 8982
          • 技术支持中心
          • 查找文件&证书
          • 报告网站问题
          资源 Plus Icon Minus Icon
          • 学习中心
          • 促销
          • 活动&研讨会
          • 社交媒体
          关于赛默飞 Plus Icon Minus Icon
          • 关于我们
          • 招聘 招聘
          • 投资者关系 投资者关系
          • 新闻 新闻
          • 社会责任 社会责任
          • 商标
          • 政策和通知
          品牌 Plus Icon Minus Icon
          • Thermo Scientific
          • Applied Biosystems
          • Invitrogen
          • Gibco
          • Ion Torrent
          • Unity Lab Services
          • Patheon
          • PPD
          • 服务条款
          • 隐私政策
          • 定价和运输保险政策
          © 2006-2026 Thermo Fisher Scientific Inc. All rights reserved. All trademarks are the property of Thermo Fisher Scientific and its subsidiaries unless otherwise specified.
          China flag icon
          China
          本网站销售的所有产品均不得用于人类或动物之临床诊断或治疗,仅可用于工业或者科研等非医疗目的。
             电子营业执照 | 经营证照公示 | ICP备案号:沪ICP备11003924号 | 沪公网安备 31011502006935号

          Your items have has been added!


          Host server : magellan-search-green-6479c7f679-zb4k5:80/100.66.74.142:80.
          git-commit: b70c0dceb888abc3b0dcebb5bc3a5b8753e7e816
          git-url: https://github.com/thermofisher/magellan-search
          git-branch: release/2.50.0-Offline