Hamburger Menu Button
Thermo Fisher Scientific Logo
登录
没有账号?建立账号 注册
  • 产品
    • 抗体
    • 引物合成
    • GeneArt Gene Synthesis Instant Designer
    • TaqMan Assay and Array Search
    • PCR 设备和耗材
    • 色谱柱和纯化柱
    • 实验室离心机
    • 分子生物学试剂和试剂盒
    • 实验室塑料耗材及用品
    • 查看所有产品分类
  • 应用和技术
    • 色谱
    • 细胞转染和培养
    • 实时荧光定量PCR
    • 质谱
    • 实验室塑料耗材及用品
    • 电子显微镜
    • 蛋白质生物学
    • PCR
    • RNAi
    • 环境
    • 查看所有应用和技术
  • 服务
    • 定制服务
    • 企业级实验室信息化服务
    • 金融&租赁服务
    • 仪器服务
    • OEM和商业供应
    • 培训服务
    • 360° CDMO 和 CRO 服务
    • CDMO 服务
    • 临床试验 CRO 服务
    • Unity Lab Services
    • 查看所有帮助和支持
  • 帮助和支持
    • 学习中心
    • 联系我们
    • 更改国家或地区
    • 查看所有帮助和支持
  • 热门产品
    • TaqMan Real-Time PCR Assays
      TaqMan 实时荧光定量 PCR 试剂盒
    • Antibodies
      抗体
    • Oligos, Primers & Probes
      寡核苷酸、引物、探针
    • GeneArt Gene Synthesis
      GeneArt 基因合成
    • Cell Culture Plastics
      细胞培养耗材
  • Who We Serve
    • 抗体治疗解决方案
    • 细胞与基因治疗解决方案
    • 学术科研
    • 工业与应用
  • 联系我们
  • 货号直购
  • 订单查询
  • 查找文件&证书
Thermo Fisher Scientific Logo

Search

搜索全部或下列指定分类
Search button
          • 联系我们
          • 货号直购
          • 登录
            登录
            没有账号?建立账号 注册
            • 我的账号
            • 订单
            • 会员中心
            • 账单及发票查询
            • 定制产品及项目
          • Primary Antibodies ›
          • COX2 Antibodies

          Invitrogen

          COX2 Polyclonal Antibody

          高级验证
          2个已发表图片
          2 篇参考文献
          查看其他44个COX2抗体

          {{$productOrderCtrl.translations['antibody.pdp.commerceCard.promotion.promotions']}}

          {{$productOrderCtrl.translations['antibody.pdp.commerceCard.promotion.viewpromo']}}

          {{$productOrderCtrl.translations['antibody.pdp.commerceCard.promotion.promocode']}}: {{promo.promoCode}} {{promo.promoTitle}} {{promo.promoDescription}}. {{$productOrderCtrl.translations['antibody.pdp.commerceCard.promotion.learnmore']}}

          说明书
          证书
          实验方案
          问题与答案
          技术支持
          说明书
          证书
          实验方案
          问题与答案
          技术支持
          说明书
          证书
          实验方案
          问题与答案
          技术支持

          Cite COX2 Polyclonal Antibody

          Additional Information:
          {{banner.description}}
          {{$ctrl.isSkuNotesCollapsed ? 'View more' : 'View less'}}
          • 抗体检测数据 (1)
          • 已发表图片 (2)
          • 高级验证 (1)
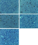
          COX2 Antibody in Immunohistochemistry (Paraffin) (IHC (P))
          Group 53 Created with Sketch.
          COX2 Antibody in Immunohistochemistry (Paraffin) (IHC (P))
          Group 53 Created with Sketch.

          图: 1 / 4

          {{ $ctrl.currentElement.advancedVerification.fullName }}
          {{ $ctrl.currentElement.advancedVerification.text }}

          COX2 Antibody (PA1-37505) in IHC (P)

          Immunohistochemical (paraffin) analysis of COX2 using a polyclonal antibody (Product # PA1-37505) in human breast tissue. {{ $ctrl.currentElement.advancedVerification.fullName }} 验证信息 View more
          已发表图片由___提供 benchsci-logo
          PMID: {{$ctrl.currentElement.benchSciPubmedId}}
          查看产品

          {{$ctrl.videoDesc}}

          {{$ctrl.videoLongDesc}}

          COX2 Antibody in Immunohistochemistry (Paraffin) (IHC (P))
          COX2 Antibody in Immunohistochemistry (Paraffin) (IHC (P))
          COX2 Antibody in Immunohistochemistry (Paraffin) (IHC (P))
          COX2 Antibody
          COX2 Polyclonal Antibody

          产品信息

          PA1-37505

          应用
          建议稀释比
          已发表文章

          免疫印迹 (WB)

          Assay-dependent
          -

          免疫组化(石蜡) (IHC (P))

          1:100
          查看2篇已发表文章 2篇已发表文章

          酶联免疫吸附实验 (ELISA)

          0.5 µg/mL
          -
          产品规格

          种属反应

          Human, Mouse

          已发表种属

          Rat

          宿主/亚型

          Rabbit / IgG

          分类

          Polyclonal

          类型

          Antibody

          抗原

          Synthetic peptide derived from C-terminus of rat COX-2
          3D表位/免疫原

          偶联物

          Unconjugated Unconjugated Unconjugated

          形式

          Liquid

          浓度

          0.33 mg/mL

          规格

          330 µg

          纯化类型

          Antigen affinity chromatography

          保存液

          PBS, pH 7.6, with 1% BSA

          内含物

          0.1% sodium azide

          保存条件

          Store at 4°C short term. For long term storage, store at -20°C, avoiding freeze/thaw cycles.

          运输条件

          Ambient (domestic); Wet ice (international)

          RRID

          AB_2292228

          产品详细信息

          This antibody is predicted to react with bovine, mouse and rabbit based on sequence homology.



          Heat-mediated antigen retrieval is recommended prior to staining, using a 10mM citrate buffer, pH 6.0, for 10 minutes followed by cooling at room temperature for 20 min. Following antigen retrieval, incubate samples with primary antibody for 10 min at room temperature. A suggested positive control is colon, lung or breast carcinoma.

          靶标信息

          COX2 converts arachidonate to prostaglandin H2 (PGH2), a committed step in prostanoid synthesis, including production of inflammatory prostaglandins. The conversion of arachidonate to prostaglandin H2 is a 2 step reaction: a cyclooxygenase (COX) reaction which converts arachidonate to prostaglandin G2 (PGG2) and a peroxidase reaction in which PGG2 is reduced to prostaglandin H2 (PGH2). It is constitutively expressed in some tissues in physiological conditions, such as the endothelium, kidney and brain, and is up-regulated under pathological conditions, such as in cancer and inflammation (in contrast to the iso-enzyme PTGS1, which is expressed ubiquitously). Up-regulation of COX2 is also associated with increased cell adhesion, phenotypic changes, resistance to apoptosis and tumor angiogenesis. In cancer cells, COX2 is a key step in the production of prostaglandin E2 (PGE2), which plays important roles in modulating motility, proliferation and resistance to apoptosis. COX2 is naturally inhibited by calcitriol (the active form of Vitamin D). Glucocorticoids chronically trans-repress PTGS2 gene activity in vivo in part by interfering with transcription initiation and elongation. COX2 is a target of NSAID such as aspirin, which can reduce pain and swelling from inflammation driven by COX2.

          仅用于科研。不用于诊断过程。未经明确授权不得转售。

          生物信息学

          蛋白别名: COX-2; cyclooxygenase; cyclooxygenase 2; cyclooxygenase 2 splice variant; cyclooxygenase 2b; Cyclooxygenase-2; Glucocorticoid-regulated inflammatory cyclooxygenase; Gripghs; Macrophage activation-associated marker protein P71/73; PES-2; PGH synthase 2; PHS II; Prostaglandin G/H synthase 2; Prostaglandin H2 synthase 2; prostaglandin-endoperoxide synthase; Prostaglandin-endoperoxide synthase 2; prostaglandin-endoperoxide synthase 2 (prostaglandin G/H synthase and cyclooxygenase); TIS10 protein; unnamed protein product

          查看更多 收起

          基因别名: COX-2; COX2; GRIPGHS; hCox-2; PGG/HS; PGHS-2; Pghs-b; Pghs2; PHS-2; PTGS2; TIS10

          查看更多 收起

          UniProt ID: (Human) P35354, (Mouse) Q05769

          查看更多 收起

          Entrez Gene ID: (Human) 5743, (Mouse) 19225

          查看更多 收起

          功能
          peroxidase activity prostaglandin-endoperoxide synthase activity protein binding oxidoreductase activity oxidoreductase activity, acting on single donors with incorporation of molecular oxygen oxidoreductase activity, acting on single donors with incorporation of molecular oxygen, incorporation of two atoms of oxygen enzyme binding heme binding protein homodimerization activity metal ion binding dioxygenase activity lipid binding oxygenase
          参与通路
          prostaglandin biosynthetic process lipid metabolic process fatty acid metabolic process fatty acid biosynthetic process prostaglandin metabolic process response to oxidative stress embryo implantation regulation of blood pressure response to nematode response to selenium ion positive regulation of vascular endothelial growth factor production cyclooxygenase pathway lipoxygenase pathway positive regulation of prostaglandin biosynthetic process positive regulation of fever generation prostaglandin secretion regulation of cell proliferation long-chain fatty acid biosynthetic process negative regulation of apoptotic process positive regulation of nitric oxide biosynthetic process decidualization regulation of inflammatory response brown fat cell differentiation cellular response to hypoxia cellular response to non-ionic osmotic stress cellular response to fluid shear stress positive regulation of transforming growth factor beta production positive regulation of cell migration involved in sprouting angiogenesis positive regulation of fibroblast growth factor production positive regulation of brown fat cell differentiation positive regulation of platelet-derived growth factor production cellular oxidant detoxification regulation of neuroinflammatory response negative regulation of intrinsic apoptotic signaling pathway in response to osmotic stress angiogenesis inflammatory response learning memory positive regulation of cell proliferation negative regulation of cell proliferation positive regulation of cell death sensory perception of pain keratinocyte differentiation bone mineralization ovulation positive regulation of synaptic plasticity negative regulation of synaptic transmission, dopaminergic response to lipopolysaccharide response to cytokine maintenance of blood-brain barrier positive regulation of NF-kappaB import into nucleus anagen positive regulation of apoptotic process negative regulation of cell cycle positive regulation of vasoconstriction negative regulation of smooth muscle contraction positive regulation of smooth muscle contraction positive regulation of smooth muscle cell proliferation negative regulation of calcium ion transport positive regulation of synaptic transmission, glutamatergic oxidation-reduction process
          It has to be done as per old AB suggested Products section.

          Disclaimer

          Close

          Clicking the images or links will redirect you to a website hosted by BenchSci that provides third-party scientific content. Neither the content nor the BenchSci technology and processes for selection have been evaluated by us; we are providing them as-is and without warranty of any kind, including for use or application of the Thermo Fisher Scientific products presented.

          guarantee_icon

          性能保障

          只要您发现Invitrogen抗体在实验中的表现与网站或说明书的所述内容不符,您即可享受免费退换货服务。*

          了解更多
          help_icon

          随时为您服务

          获取常见问题的专家解答,或者直接联系我们的技术专家,咨询应用、设备、常规产品使用问题。

          联系技术支持
          订购 Plus Icon Minus Icon
          • 订单状态查询
          • 订单支持
          • 货号直购
          • 现货供应中心
          • 电子采购
          支持 Plus Icon Minus Icon
          • 帮助&支持
          • 联系我们 - 400 820 8982
          • 技术支持中心
          • 查找文件&证书
          • 报告网站问题
          资源 Plus Icon Minus Icon
          • 学习中心
          • 促销
          • 活动&研讨会
          • 社交媒体
          关于赛默飞 Plus Icon Minus Icon
          • 关于我们
          • 招聘 招聘
          • 投资者关系 投资者关系
          • 新闻 新闻
          • 社会责任 社会责任
          • 商标
          • 政策和通知
          品牌 Plus Icon Minus Icon
          • Thermo Scientific
          • Applied Biosystems
          • Invitrogen
          • Gibco
          • Ion Torrent
          • Unity Lab Services
          • Patheon
          • PPD
          • 服务条款
          • 隐私政策
          • 定价和运输保险政策
          © 2006-2026 Thermo Fisher Scientific Inc. All rights reserved. All trademarks are the property of Thermo Fisher Scientific and its subsidiaries unless otherwise specified.
          China flag icon
          China
          本网站销售的所有产品均不得用于人类或动物之临床诊断或治疗,仅可用于工业或者科研等非医疗目的。
             电子营业执照 | 经营证照公示 | ICP备案号:沪ICP备11003924号 | 沪公网安备 31011502006935号

          Your items have has been added!


          Host server : magellan-search-green-6479c7f679-v472f:80/100.66.78.195:80.
          git-commit: b70c0dceb888abc3b0dcebb5bc3a5b8753e7e816
          git-url: https://github.com/thermofisher/magellan-search
          git-branch: release/2.50.0-Offline