Hamburger Menu Button
Thermo Fisher Scientific Logo
登录
没有账号?建立账号 注册
  • 产品
    • 抗体
    • 引物合成
    • GeneArt Gene Synthesis Instant Designer
    • TaqMan Assay and Array Search
    • PCR 设备和耗材
    • 色谱柱和纯化柱
    • 实验室离心机
    • 分子生物学试剂和试剂盒
    • 实验室塑料耗材及用品
    • 查看所有产品分类
  • 应用和技术
    • 色谱
    • 细胞转染和培养
    • 实时荧光定量PCR
    • 质谱
    • 实验室塑料耗材及用品
    • 电子显微镜
    • 蛋白质生物学
    • PCR
    • RNAi
    • 环境
    • 查看所有应用和技术
  • 服务
    • 定制服务
    • 企业级实验室信息化服务
    • 金融&租赁服务
    • 仪器服务
    • OEM和商业供应
    • 培训服务
    • 360° CDMO 和 CRO 服务
    • CDMO 服务
    • 临床试验 CRO 服务
    • Unity Lab Services
    • 查看所有帮助和支持
  • 帮助和支持
    • 学习中心
    • 联系我们
    • 更改国家或地区
    • 查看所有帮助和支持
  • 热门产品
    • TaqMan Real-Time PCR Assays
      TaqMan 实时荧光定量 PCR 试剂盒
    • Antibodies
      抗体
    • Oligos, Primers & Probes
      寡核苷酸、引物、探针
    • GeneArt Gene Synthesis
      GeneArt 基因合成
    • Cell Culture Plastics
      细胞培养耗材
  • Who We Serve
    • 抗体治疗解决方案
    • 细胞与基因治疗解决方案
    • 学术科研
    • 工业与应用
  • 联系我们
  • 货号直购
  • 订单查询
  • 查找文件&证书
Thermo Fisher Scientific Logo

Search

搜索全部或下列指定分类
Search button
          • 联系我们
          • 货号直购
          • 登录
            登录
            没有账号?建立账号 注册
            • 我的账号
            • 订单
            • 会员中心
            • 账单及发票查询
            • 定制产品及项目
          • Primary Antibodies ›
          • CRK Antibodies

          Invitrogen

          CRK Polyclonal Antibody

          查看其他24个CRK抗体

          {{$productOrderCtrl.translations['antibody.pdp.commerceCard.promotion.promotions']}}

          {{$productOrderCtrl.translations['antibody.pdp.commerceCard.promotion.viewpromo']}}

          {{$productOrderCtrl.translations['antibody.pdp.commerceCard.promotion.promocode']}}: {{promo.promoCode}} {{promo.promoTitle}} {{promo.promoDescription}}. {{$productOrderCtrl.translations['antibody.pdp.commerceCard.promotion.learnmore']}}

          说明书
          证书
          实验方案
          问题与答案
          技术支持
          说明书
          证书
          实验方案
          问题与答案
          技术支持
          说明书
          证书
          实验方案
          问题与答案
          技术支持

          Cite CRK Polyclonal Antibody

          Additional Information:
          {{banner.description}}
          {{$ctrl.isSkuNotesCollapsed ? 'View more' : 'View less'}}
          • 抗体检测数据 (5)
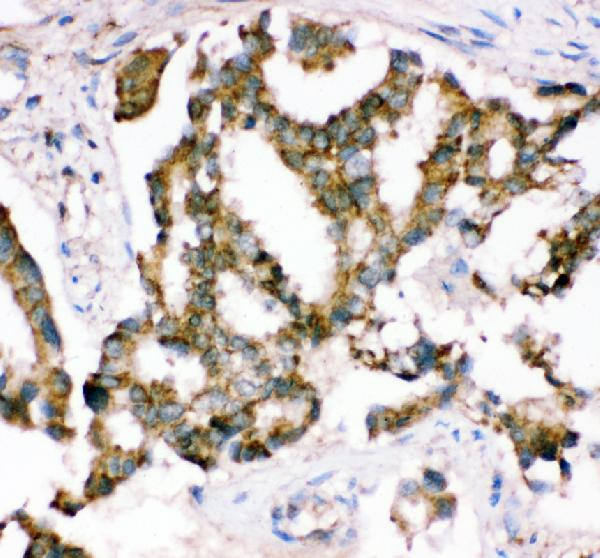
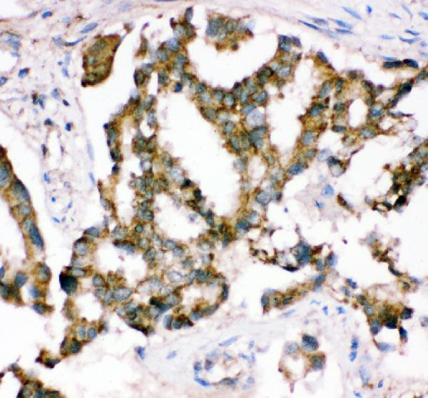
          CRK Antibody in Immunohistochemistry (Paraffin) (IHC (P))
          Group 53 Created with Sketch.
          CRK Antibody in Immunohistochemistry (Paraffin) (IHC (P))
          Group 53 Created with Sketch.

          图: 1 / 5

          {{ $ctrl.currentElement.advancedVerification.fullName }}
          {{ $ctrl.currentElement.advancedVerification.text }}

          CRK Antibody (PA5-79067) in IHC (P)

          Immunohistochemistry (Paraffin) analysis of CRK in paraffin-embedded section of human lung cancer tissue using CRK Polyclonal Antibody (Product # PA5-79067). Heat mediated antigen retrieval was performed in EDTA buffer (pH 8.0, epitope retrieval solution). The tissue section was blocked with 10% goat serum. The tissue section was then incubated with the primary antibody at a 2 µg/mL dilution overnight at 4°... View More {{ $ctrl.currentElement.advancedVerification.fullName }} 验证信息 View more
          已发表图片由___提供 benchsci-logo
          PMID: {{$ctrl.currentElement.benchSciPubmedId}}
          查看产品

          {{$ctrl.videoDesc}}

          {{$ctrl.videoLongDesc}}

          CRK Antibody in Immunohistochemistry (Paraffin) (IHC (P))
          CRK Antibody in Immunohistochemistry (Paraffin) (IHC (P))
          CRK Antibody in Immunohistochemistry (Paraffin) (IHC (P))
          CRK Antibody in Western Blot (WB)
          CRK Antibody in Western Blot (WB)
          CRK Polyclonal Antibody

          产品信息

          PA5-79067

          应用
          建议稀释比
          已发表文章

          免疫印迹 (WB)

          0.1-0.5 µg/mL
          -

          免疫组化(石蜡) (IHC (P))

          2-5 µg/mL
          -
          产品规格

          种属反应

          Human, Mouse, Rat

          宿主/亚型

          Rabbit / IgG

          分类

          Polyclonal

          类型

          Antibody

          抗原

          E.coli-derived human Crk p38 recombinant protein (Position: A2-R246).
          3D表位/免疫原

          偶联物

          Unconjugated Unconjugated Unconjugated

          形式

          Lyophilized

          浓度

          500 µg/mL

          规格

          100 µg

          纯化类型

          Antigen affinity chromatography

          保存液

          PBS with 5mg BSA

          内含物

          0.01mg sodium azide

          保存条件

          -20°C

          运输条件

          Ambient (domestic); Wet ice (international)

          RRID

          AB_2746183

          产品详细信息

          Reconstitute with 0.2 mL of distilled water to yield a concentration of 500 µg/mL.

          Positive Control - WB: human 293T whole cell, human A549 whole cell, rat liver tissue, mouse liver tissue. IHC: human lung cancer tissue, mouse brain tissue, rat brain tissue.

          靶标信息

          The Crk-I and Crk-II forms differ in their biological activities. Crk-II has less transforming activity than Crk-I. Crk- II mediates attachment-induced MAPK8 activation, membrane ruffling and cell motility in a Rac-dependent manner. Involved in phagocytosis of apoptotic cells and cell motility via its interaction with DOCK1 and DOCK4. May regulate the EFNA5-EPHA3 signaling.

          仅用于科研。不用于诊断过程。未经明确授权不得转售。

          篇参考文献 (0)

          您是否在文献中引用过该产品?请点击下方按钮邮件告知我们。
          引用该产品

          生物信息学

          蛋白别名: Adapter molecule crk; avian sarcoma virus CT10 (v-crk) oncogene homolog; CRK1; CSAID-binding protein; Csaids binding protein; CT-10 related kinase 3; cytokine suppressive anti-inflammatory drug binding protein; cytokine suppressive anti-inflammatory drug binding protein 1; Cytokine suppressive anti-inflammatory drug-binding protein; cytokine-supressive anti-inflammatory drug binding protein; encoded by transcript variant 4; p38 MAP kinase; encoded by transcript variant 5; p38 MAP kinase; MAP kinase 14; MAP kinase 2; MAP kinase MXI2; MAP kinase p38 alpha; MAPK 14; MAPK14; MAX-interacting protein 2; mitogen activated protein kinase 14; Mitogen-activated protein kinase 14; mitogen-activated protein kinase 14A; Mitogen-activated protein kinase p38 alpha; p38; p38 alpha; p38 MAP kinase; p38 MAP kinase alpha; p38 MAPK; p38 mitogen activated protein kinase; p38alpha Exip; Proto-oncogene c-Crk; reactive kinase; SAPK2a; SAPK2a; CSAIDS binding protein 1; Stress-activated protein kinase 2a; tRNA synthetase cofactor p38; unnamed protein product; v-crk avian sarcoma virus CT10 oncogene homolog; v-crk sarcoma virus CT10 oncogene homolog; v-crk sarcoma virus CT10 oncogene homolog (avian) isoform CRK_1; v-crk sarcoma virus CT10 oncogene homolog (avian) isoform CRK_2; v-crk sarcoma virus CT10 oncogene-like protein

          查看更多 收起

          基因别名: c-Crk; CRK; Crk-I; Crk-II; Crk-III; CRK1; Crk3; CRKII; CrkIII; Crko; CSBP; CSBP1; CSBP2; CSPB1; EXIP; Hog; MAPK14; MXI2; p38; p38-alpha; p38a; p38ALPHA; p38Hog; p38MAPK; PRKM14; PRKM15; RK; SAPK2A

          查看更多 收起

          UniProt ID: (Human) P46108, (Mouse) Q64010, (Rat) Q63768, (Human) Q16539, (Mouse) P47811

          查看更多 收起

          Entrez Gene ID: (Human) 1398, (Mouse) 12928, (Rat) 54245, (Human) 1432, (Rat) 81649, (Mouse) 26416

          查看更多 收起

          功能
          phosphotyrosine binding receptor binding insulin-like growth factor receptor binding protein binding cytoskeletal protein binding SH3 domain binding enzyme binding kinase binding protein domain specific binding receptor signaling complex scaffold activity protein binding, bridging receptor tyrosine kinase binding ubiquitin protein ligase binding signaling adaptor activity SH2 domain binding protein phosphorylated amino acid binding ephrin receptor binding scaffold protein binding protein tyrosine kinase binding SH3/SH2 adaptor activity nucleotide binding protein kinase activity protein serine/threonine kinase activity MAP kinase activity MAP kinase kinase activity ATP binding kinase activity transferase activity protein phosphatase binding mitogen-activated protein kinase p38 binding NFAT protein binding protein serine kinase activity protein C-terminus binding transferase activity, transferring phosphorus-containing groups scaffold/adaptor protein non-receptor serine/threonine protein kinase
          参与通路
          neuron migration response to yeast regulation of leukocyte migration regulation of transcription from RNA polymerase II promoter lipid metabolic process enzyme linked receptor protein signaling pathway cell proliferation regulation of cell shape regulation of signal transduction positive regulation of smooth muscle cell migration dendrite development cell migration hippocampus development cerebral cortex development establishment of cell polarity actin cytoskeleton organization positive regulation of cell growth regulation of actin cytoskeleton organization regulation of cell adhesion mediated by integrin regulation of Rac protein signal transduction positive regulation of Rac protein signal transduction helper T cell diapedesis response to hepatocyte growth factor reelin-mediated signaling pathway response to hydrogen peroxide regulation of GTPase activity negative regulation of natural killer cell mediated cytotoxicity positive regulation of JNK cascade ephrin receptor signaling pathway regulation of dendrite development cell chemotaxis regulation of wound healing negative regulation of wound healing response to cholecystokinin cellular response to transforming growth factor beta stimulus cellular response to nitric oxide protein localization to membrane postsynaptic specialization assembly cerebellar neuron development positive regulation of substrate adhesion-dependent cell spreading response to peptide regulation of intracellular signal transduction positive regulation of skeletal muscle acetylcholine-gated channel clustering cellular response to nerve growth factor stimulus cellular response to insulin-like growth factor stimulus cellular response to endothelin regulation of cell motility negative regulation of cell motility regulation of T cell migration positive regulation of signal transduction activation of JUN kinase activity regulation of cellular component movement DNA damage checkpoint MAPK cascade cell morphogenesis cartilage condensation angiogenesis osteoblast differentiation placenta development response to dietary excess chondrocyte differentiation negative regulation of inflammatory response to antigenic stimulus glucose metabolic process regulation of transcription, DNA-templated transcription from RNA polymerase II promoter apoptotic process chemotaxis cellular response to DNA damage stimulus signal transduction cell surface receptor signaling pathway transmembrane receptor protein serine/threonine kinase signaling pathway skeletal muscle tissue development positive regulation of gene expression positive regulation of myotube differentiation fatty acid oxidation platelet activation regulation of ossification osteoclast differentiation stress-activated protein kinase signaling cascade positive regulation of cyclase activity lipopolysaccharide-mediated signaling pathway response to muramyl dipeptide response to lipopolysaccharide positive regulation of interleukin-12 production response to insulin tumor necrosis factor-mediated signaling pathway negative regulation of hippo signaling intracellular signal transduction cellular response to vascular endothelial growth factor stimulus response to muscle stretch p38MAPK cascade positive regulation of protein import into nucleus signal transduction in response to DNA damage positive regulation of blood vessel endothelial cell migration positive regulation of erythrocyte differentiation positive regulation of myoblast differentiation positive regulation of transcription from RNA polymerase II promoter glucose import positive regulation of glucose import vascular endothelial growth factor receptor signaling pathway stem cell differentiation striated muscle cell differentiation positive regulation of muscle cell differentiation stress-activated MAPK cascade protein maturation positive regulation of cardiac muscle cell proliferation bone development pyroptosis 3'-UTR-mediated mRNA stabilization cellular response to lipopolysaccharide cellular response to lipoteichoic acid cellular response to tumor necrosis factor cellular response to ionizing radiation cellular response to UV-B negative regulation of canonical Wnt signaling pathway positive regulation of brown fat cell differentiation cellular senescence stress-induced premature senescence cellular response to virus regulation of synaptic membrane adhesion regulation of cytokine production involved in inflammatory response positive regulation of myoblast fusion NLRP1 inflammasome complex assembly positive regulation of reactive oxygen species metabolic process transcription, DNA-templated protein phosphorylation response to glucose myoblast differentiation involved in skeletal muscle regeneration peptidyl-serine phosphorylation protein autophosphorylation phosphorylation
          It has to be done as per old AB suggested Products section.

          Disclaimer

          Close

          Clicking the images or links will redirect you to a website hosted by BenchSci that provides third-party scientific content. Neither the content nor the BenchSci technology and processes for selection have been evaluated by us; we are providing them as-is and without warranty of any kind, including for use or application of the Thermo Fisher Scientific products presented.

          guarantee_icon

          性能保障

          只要您发现Invitrogen抗体在实验中的表现与网站或说明书的所述内容不符,您即可享受免费退换货服务。*

          了解更多
          help_icon

          随时为您服务

          获取常见问题的专家解答,或者直接联系我们的技术专家,咨询应用、设备、常规产品使用问题。

          联系技术支持
          订购 Plus Icon Minus Icon
          • 订单状态查询
          • 订单支持
          • 货号直购
          • 现货供应中心
          • 电子采购
          支持 Plus Icon Minus Icon
          • 帮助&支持
          • 联系我们 - 400 820 8982
          • 技术支持中心
          • 查找文件&证书
          • 报告网站问题
          资源 Plus Icon Minus Icon
          • 学习中心
          • 促销
          • 活动&研讨会
          • 社交媒体
          关于赛默飞 Plus Icon Minus Icon
          • 关于我们
          • 招聘 招聘
          • 投资者关系 投资者关系
          • 新闻 新闻
          • 社会责任 社会责任
          • 商标
          • 政策和通知
          品牌 Plus Icon Minus Icon
          • Thermo Scientific
          • Applied Biosystems
          • Invitrogen
          • Gibco
          • Ion Torrent
          • Unity Lab Services
          • Patheon
          • PPD
          • 服务条款
          • 隐私政策
          • 定价和运输保险政策
          © 2006-2026 Thermo Fisher Scientific Inc. All rights reserved. All trademarks are the property of Thermo Fisher Scientific and its subsidiaries unless otherwise specified.
          China flag icon
          China
          本网站销售的所有产品均不得用于人类或动物之临床诊断或治疗,仅可用于工业或者科研等非医疗目的。
             电子营业执照 | 经营证照公示 | ICP备案号:沪ICP备11003924号 | 沪公网安备 31011502006935号

          Your items have has been added!


          Host server : magellan-search-green-6479c7f679-l2s7p:80/100.66.76.236:80.
          git-commit: b70c0dceb888abc3b0dcebb5bc3a5b8753e7e816
          git-url: https://github.com/thermofisher/magellan-search
          git-branch: release/2.50.0-Offline