Hamburger Menu Button
Thermo Fisher Scientific Logo
登录
没有账号?建立账号 注册
  • 产品
    • 抗体
    • 引物合成
    • GeneArt Gene Synthesis Instant Designer
    • TaqMan Assay and Array Search
    • PCR 设备和耗材
    • 色谱柱和纯化柱
    • 实验室离心机
    • 分子生物学试剂和试剂盒
    • 实验室塑料耗材及用品
    • 查看所有产品分类
  • 应用和技术
    • 色谱
    • 细胞转染和培养
    • 实时荧光定量PCR
    • 质谱
    • 实验室塑料耗材及用品
    • 电子显微镜
    • 蛋白质生物学
    • PCR
    • RNAi
    • 环境
    • 查看所有应用和技术
  • 服务
    • 定制服务
    • 企业级实验室信息化服务
    • 金融&租赁服务
    • 仪器服务
    • OEM和商业供应
    • 培训服务
    • 360° CDMO 和 CRO 服务
    • CDMO 服务
    • 临床试验 CRO 服务
    • Unity Lab Services
    • 查看所有帮助和支持
  • 帮助和支持
    • 学习中心
    • 联系我们
    • 更改国家或地区
    • 查看所有帮助和支持
  • 热门产品
    • TaqMan Real-Time PCR Assays
      TaqMan 实时荧光定量 PCR 试剂盒
    • Antibodies
      抗体
    • Oligos, Primers & Probes
      寡核苷酸、引物、探针
    • GeneArt Gene Synthesis
      GeneArt 基因合成
    • Cell Culture Plastics
      细胞培养耗材
  • Who We Serve
    • 抗体治疗解决方案
    • 细胞与基因治疗解决方案
    • 学术科研
    • 工业与应用
  • 联系我们
  • 货号直购
  • 订单查询
  • 查找文件&证书
Thermo Fisher Scientific Logo

Search

搜索全部或下列指定分类
Search button
          • 联系我们
          • 货号直购
          • 登录
            登录
            没有账号?建立账号 注册
            • 我的账号
            • 订单
            • 账单及发票查询
            • 定制产品及项目
          • Primary Antibodies ›
          • CRTH2 (CD294) Antibodies

          Rockland

          CRTH2 Polyclonal Antibody

          查看其他25个CRTH2 (CD294)抗体

          {{$productOrderCtrl.translations['antibody.pdp.commerceCard.promotion.promotions']}}

          {{$productOrderCtrl.translations['antibody.pdp.commerceCard.promotion.viewpromo']}}

          {{$productOrderCtrl.translations['antibody.pdp.commerceCard.promotion.promocode']}}: {{promo.promoCode}} {{promo.promoTitle}} {{promo.promoDescription}}. {{$productOrderCtrl.translations['antibody.pdp.commerceCard.promotion.learnmore']}}

          说明书
          证书
          实验方案
          问题与答案
          技术支持
          说明书
          证书
          实验方案
          问题与答案
          技术支持
          说明书
          证书
          实验方案
          问题与答案
          技术支持

          Cite CRTH2 Polyclonal Antibody

          Additional Information:
          {{banner.description}}
          {{$ctrl.isSkuNotesCollapsed ? 'View more' : 'View less'}}
          • 抗体检测数据 (2)
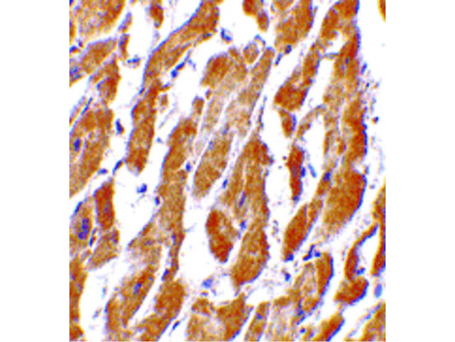
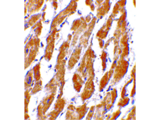
          CRTH2 Antibody in Immunohistochemistry (Paraffin) (IHC (P))
          Group 53 Created with Sketch.
          CRTH2 Antibody in Immunohistochemistry (Paraffin) (IHC (P))
          Group 53 Created with Sketch.

          图: 1 / 2

          {{ $ctrl.currentElement.advancedVerification.fullName }}
          {{ $ctrl.currentElement.advancedVerification.text }}

          CRTH2 Antibody (600-401-AP0) in IHC (P)

          Immunohistochemistry of CRTH2 antibody. Tissue: Human heart tissue. Fixation: formalin fixed paraffin embedded. Antigen retrieval: not required. Primary antibody: CRTH2 antibody at 2.5 µg/mL for 1 hr at RT. Secondary antibody: Peroxidase rabbit secondary antibody at 1:10,000 for 45 min at RT. Localization: CRTH2 is nuclear and cytoplasmic. Staining: CRTH2 as precipitated red signal with hematoxylin purple n... View More {{ $ctrl.currentElement.advancedVerification.fullName }} 验证信息 View more
          已发表图片由___提供 benchsci-logo
          PMID: {{$ctrl.currentElement.benchSciPubmedId}}
          查看产品

          {{$ctrl.videoDesc}}

          {{$ctrl.videoLongDesc}}

          CRTH2 Antibody in Immunohistochemistry (Paraffin) (IHC (P))
          CRTH2 Antibody in Western Blot (WB)
          CRTH2 Polyclonal Antibody

          产品信息

          600-401-AP0

          应用
          建议稀释比
          已发表文章

          免疫印迹 (WB)

          1 µg/mL
          -

          免疫组化(石蜡) (IHC (P))

          2.5 µg/mL
          -

          免疫细胞化学 (ICC/IF)

          20 µg/mL
          -

          酶联免疫吸附实验 (ELISA)

          1:10,000
          -
          产品规格

          种属反应

          Human, Mouse, Rat

          宿主/亚型

          Rabbit / IgG

          分类

          Polyclonal

          类型

          Antibody

          抗原

          Anti-CRTH2 antibody was prepared from whole rabbit serum produced by repeated immunizations with a 18 amino acid synthetic peptide from near the N-terminus of human CRTH2.
          3D表位/免疫原

          偶联物

          Unconjugated Unconjugated Unconjugated

          形式

          Liquid

          浓度

          1 mg/mL

          规格

          100 µg

          纯化类型

          Affinity chromatography

          保存液

          PBS, pH 7.2

          内含物

          0.02% sodium azide

          保存条件

          -20°C, Avoid Freeze/Thaw Cycles

          运输条件

          Ambient (domestic); Wet ice (international)

          靶标信息

          CRTH2 (GPR44) is a chemoattractant receptor-homologous molecule expressed on Th2 cells that is an identified receptor for the prostaglandin D2 (PGD2) and prostaglandin D receptor. CRTH2 is expressed on Th2 cells and eosinophils and mediates chemotaxis of these cells to PGD2 and is thus thought to be a key receptor mediating eosinophil and Th2 recruitment during allergic responses. However, CRTH2-null mice showed enhanced eosinophil recruitment into the lung consistent with observations that the CRTH2-null mice produced significantly higher amounts of interleukin-5 (IL-5) and IL-3. This suggests that CRTH2 plays a nonredundant role in restricting eosinophilia and allergic response in vivo. CRTH2 is also a novel member of the G protein-coupled leukocyte chemoattractant receptor family, which is selectively expressed in Th2 but not Th1 lineage cells. CRTH2 has been reported to be expressed in the central nervous system, peripheral tissues, and in blood cells, particularly activated T helper-2 cells. Two transcripts have been isolated: a 3.5 kb transcript expressed primarily in the thalamus, frontal cortex, pons and hippocampus; and a 3.4 kb transcript expressed in fetal liver, leukocytes and thymus. CRTH2 is selectively expressed in vivo in an activated state of Th2 cells including allergen-responsive Th2 cells, suggesting its pivotal roles in ongoing Th2-type immune reactions. At least two different isoforms of CRTH2 are known to exist. Single nucleotide polymorphisms in the 3' UTR of the CRTH2 gene have been associated with asthma susceptibility.

          仅用于科研。不用于诊断过程。未经明确授权不得转售。

          篇参考文献 (0)

          您是否在文献中引用过该产品?请点击下方按钮邮件告知我们。
          引用该产品

          生物信息学

          蛋白别名: CD294; chemoattractant receptor homologous molecule expressed on T helper type 2 cells; Chemoattractant receptor-homologous molecule expressed on Th2 cells; CRTH2/GPR44; G-protein coupled receptor; DL1R; G protein-coupled receptor 44; G-protein coupled receptor 44; MGC130436; PGD2 receptor; Prostaglandin D2 receptor 2; prostaglandin D2 receptor CRTH2; putative G-protein coupled receptor 44; unnamed protein product

          查看更多 收起

          基因别名: CD294; CRTH2; DL1R; DP2; GPR44; Grp45; PTGDR2

          查看更多 收起

          UniProt ID: (Human) Q9Y5Y4, (Mouse) Q9Z2J6, (Rat) Q6XKD3

          查看更多 收起

          Entrez Gene ID: (Human) 11251, (Mouse) 14764, (Rat) 309212

          查看更多 收起

          功能
          prostaglandin J receptor activity G-protein coupled receptor activity icosanoid receptor activity prostaglandin D receptor activity prostaglandin F receptor activity protein binding neuropeptide binding signal transducer activity G-protein coupled receptor
          参与通路
          chemotaxis immune response signal transduction G-protein coupled receptor signaling pathway adenylate cyclase-inhibiting G-protein coupled receptor signaling pathway neuropeptide signaling pathway calcium-mediated signaling positive regulation of G-protein coupled receptor protein signaling pathway cellular response to prostaglandin D stimulus negative regulation of male germ cell proliferation chemical synaptic transmission G-protein coupled receptor signaling pathway, coupled to cyclic nucleotide second messenger
          It has to be done as per old AB suggested Products section.

          Disclaimer

          Close

          Clicking the images or links will redirect you to a website hosted by BenchSci that provides third-party scientific content. Neither the content nor the BenchSci technology and processes for selection have been evaluated by us; we are providing them as-is and without warranty of any kind, including for use or application of the Thermo Fisher Scientific products presented.

          guarantee_icon

          性能保障

          只要您发现Invitrogen抗体在实验中的表现与网站或说明书的所述内容不符,您即可享受免费退换货服务。*

          了解更多
          help_icon

          随时为您服务

          获取常见问题的专家解答,或者直接联系我们的技术专家,咨询应用、设备、常规产品使用问题。

          联系技术支持
          订购 Plus Icon Minus Icon
          • 订单状态查询
          • 订单支持
          • 货号直购
          • 现货供应中心
          • 电子采购
          支持 Plus Icon Minus Icon
          • 帮助&支持
          • 联系我们 - 400 820 8982
          • 技术支持中心
          • 查找文件&证书
          • 报告网站问题
          资源 Plus Icon Minus Icon
          • 学习中心
          • 促销
          • 活动&研讨会
          • 社交媒体
          关于赛默飞 Plus Icon Minus Icon
          • 关于我们
          • 招聘 招聘
          • 投资者关系 投资者关系
          • 新闻 新闻
          • 社会责任 社会责任
          • 商标
          • 政策和通知
          品牌 Plus Icon Minus Icon
          • Thermo Scientific
          • Applied Biosystems
          • Invitrogen
          • Gibco
          • Ion Torrent
          • Unity Lab Services
          • Patheon
          • PPD
          • 服务条款
          • 隐私政策
          • 定价和运输保险政策
          © 2006-2026 Thermo Fisher Scientific Inc. All rights reserved. All trademarks are the property of Thermo Fisher Scientific and its subsidiaries unless otherwise specified.
          China flag icon
          China
          本网站销售的所有产品均不得用于人类或动物之临床诊断或治疗,仅可用于工业或者科研等非医疗目的。
             电子营业执照 | 经营证照公示 | ICP备案号:沪ICP备11003924号 | 沪公网安备 31011502006935号

          Your items have has been added!


          Host server : magellan-search-green-6b469b8bb7-lcddp:80/100.66.76.150:80.
          git-commit: a334af76dff23450325448aedefe62379591458a
          git-url: https://github.com/thermofisher/magellan-search
          git-branch: release/2.48.1-2026.04.16-1.0