Hamburger Menu Button
Thermo Fisher Scientific Logo
登录
没有账号?建立账号 注册
  • 产品
    • 抗体
    • 引物合成
    • GeneArt Gene Synthesis Instant Designer
    • TaqMan Assay and Array Search
    • PCR 设备和耗材
    • 色谱柱和纯化柱
    • 实验室离心机
    • 分子生物学试剂和试剂盒
    • 实验室塑料耗材及用品
    • 查看所有产品分类
  • 应用和技术
    • 色谱
    • 细胞转染和培养
    • 实时荧光定量PCR
    • 质谱
    • 实验室塑料耗材及用品
    • 电子显微镜
    • 蛋白质生物学
    • PCR
    • RNAi
    • 环境
    • 查看所有应用和技术
  • 服务
    • 定制服务
    • 企业级实验室信息化服务
    • 金融&租赁服务
    • 仪器服务
    • OEM和商业供应
    • 培训服务
    • 360° CDMO 和 CRO 服务
    • CDMO 服务
    • 临床试验 CRO 服务
    • Unity Lab Services
    • 查看所有帮助和支持
  • 帮助和支持
    • 学习中心
    • 联系我们
    • 更改国家或地区
    • 查看所有帮助和支持
  • 热门产品
    • TaqMan Real-Time PCR Assays
      TaqMan 实时荧光定量 PCR 试剂盒
    • Antibodies
      抗体
    • Oligos, Primers & Probes
      寡核苷酸、引物、探针
    • GeneArt Gene Synthesis
      GeneArt 基因合成
    • Cell Culture Plastics
      细胞培养耗材
  • Who We Serve
    • 抗体治疗解决方案
    • 细胞与基因治疗解决方案
    • 学术科研
    • 工业与应用
  • 联系我们
  • 货号直购
  • 订单查询
  • 查找文件&证书
Thermo Fisher Scientific Logo

Search

搜索全部或下列指定分类
Search button
          • 联系我们
          • 货号直购
          • 登录
            登录
            没有账号?建立账号 注册
            • 我的账号
            • 订单
            • 会员中心
            • 账单及发票查询
            • 定制产品及项目
          • Primary Antibodies ›
          • CX3CR1 Antibodies

          Invitrogen

          CX3CR1 Polyclonal Antibody, eBioscience™

          高级验证
          8个已发表图片
          13 篇参考文献
          查看其他33个CX3CR1抗体

          {{$productOrderCtrl.translations['antibody.pdp.commerceCard.promotion.promotions']}}

          {{$productOrderCtrl.translations['antibody.pdp.commerceCard.promotion.viewpromo']}}

          {{$productOrderCtrl.translations['antibody.pdp.commerceCard.promotion.promocode']}}: {{promo.promoCode}} {{promo.promoTitle}} {{promo.promoDescription}}. {{$productOrderCtrl.translations['antibody.pdp.commerceCard.promotion.learnmore']}}

          说明书
          证书
          实验方案
          问题与答案
          技术支持
          说明书
          证书
          实验方案
          问题与答案
          技术支持
          说明书
          证书
          实验方案
          问题与答案
          技术支持

          Cite CX3CR1 Polyclonal Antibody, eBioscience™

          Additional Information:
          {{banner.description}}
          {{$ctrl.isSkuNotesCollapsed ? 'View more' : 'View less'}}
          • 抗体检测数据 (4)
          • 已发表图片 (8)
          • 高级验证 (1)
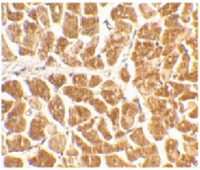
          CX3CR1 Antibody in Immunohistochemistry (Paraffin) (IHC (P))
          Group 53 Created with Sketch.
          CX3CR1 Antibody in Immunohistochemistry (Paraffin) (IHC (P))
          Group 53 Created with Sketch.

          图: 1 / 13

          {{ $ctrl.currentElement.advancedVerification.fullName }}
          {{ $ctrl.currentElement.advancedVerification.text }}

          CX3CR1 Antibody (14-6093-81) in IHC (P)

          Immunohistochemical staining with antigen retreival of formalin-fixed, paraffin-embedded human heart tissue using Anti-CX3CR1 Purified at 2 µg/mL and detected using Anti-Rabbit IgG-HRP. {{ $ctrl.currentElement.advancedVerification.fullName }} 验证信息 View more
          已发表图片由___提供 benchsci-logo
          PMID: {{$ctrl.currentElement.benchSciPubmedId}}
          查看产品

          {{$ctrl.videoDesc}}

          {{$ctrl.videoLongDesc}}

          CX3CR1 Antibody in Immunohistochemistry (Paraffin) (IHC (P))
          CX3CR1 Antibody in Western Blot (WB)
          CX3CR1 Antibody in Western Blot (WB)
          CX3CR1 Antibody in Western Blot (WB)
          CX3CR1 Antibody in Immunocytochemistry (ICC/IF)
          CX3CR1 Antibody in Immunocytochemistry (ICC/IF)
          CX3CR1 Antibody in Western Blot (WB)
          CX3CR1 Antibody in Western Blot (WB)
          CX3CR1 Antibody in Western Blot (WB)
          CX3CR1 Antibody in Western Blot (WB)
          CX3CR1 Antibody in Western Blot (WB)
          CX3CR1 Antibody in Western Blot (WB)
          CX3CR1 Antibody

          产品信息

          14-6093-81

          应用
          建议稀释比
          已发表文章

          免疫印迹 (WB)

          1:1,000
          查看6篇已发表文章 6篇已发表文章

          免疫组化 (IHC)

          -
          查看2篇已发表文章 2篇已发表文章

          免疫组化(石蜡) (IHC (P))

          Assay-dependent
          -

          免疫细胞化学 (ICC/IF)

          -
          查看2篇已发表文章 2篇已发表文章

          流式细胞分析 (Flow)

          -
          查看2篇已发表文章 2篇已发表文章

          功能检测 (Functional)

          -
          查看1篇已发表文章 1篇已发表文章
          产品规格

          种属反应

          Human, Mouse, Rat

          已发表种属

          Human, Mouse, Rat

          宿主/亚型

          Rabbit / IgG

          分类

          Polyclonal

          类型

          Antibody

          偶联物

          Unconjugated Unconjugated Unconjugated

          形式

          Liquid

          浓度

          1 mg/mL

          规格

          50 µg

          纯化类型

          Affinity chromatography

          保存液

          PBS

          内含物

          0.02% sodium azide

          保存条件

          4°C

          运输条件

          Ambient (domestic); Wet ice (international)

          RRID

          AB_467880

          产品详细信息

          Description: The polyclonal rabbit antibody reacts with human, mouse, and rat Fractalkine receptor; the antibody was raised against a peptide corresponding to amino acids 2 to 21 of human Fractalkine receptor (CX3CR1), this sequence of human CX3CR1 differs from those of mouse and rat by four amino acids. CX3CR1 is one of the chemokine receptors that are required as coreceptors for HIV infection. The genes encoding human, murine, and rat CX3CR1 were cloned and designated V28 and CMKBRL1, CX3CR1 and RBS11, respectively. The encoded seven transmembrane protein was recently identified as the receptor for a novel transmembrane molecule, fractalkine, and renamed CX3CR1. Recently, CX3CR1 was found to serve as a coreceptor for HIV-1 and HIV-2 envelope fusion and virus infection, which can be inhibited by fractokine. CX3CR1 mediates leukocyte migration and adhesion. CX3CR1 is expressed in a variety of human tissues and cell lines.

          Applications Reported: This polyclonal antibody has been reported for use in immunoblotting (WB).

          Applications Tested: This polyclonal antibody has been tested by immunoblotting (1:500 to 1:2000). Human spleen tissue can be used as a positive control and an approximatley 50 kDa band can be detected. It is recommended that the antibody be carefully titrated for optimal performance in the assay of interest.

          Purity: Greater than 90%, as determined by SDS-PAGE.

          Aggregation: Less than 10%, as determined by HPLC.

          Filtration: 0.2 µm post-manufacturing filtered.

          靶标信息

          CX3CR1 is one of the chemokine receptors that are required as coreceptors for HIV infection. The genes encoding human, mouse, and rat CX3CR1 were cloned and designated V28 and CMKBRL1, CX3CR1, and RBS11, respectively. The encoded seven transmembrane protein was recently identified as the receptor for a novel transmembrane molecule, fractalkine, and renamed CX3CR1. Recently, CX3CR1 was found to serve as a coreceptor for HIV-1 and HIV-2 envelope fusion and virus infection, which can be inhibited by fractokine. CX3CR1 mediates leukocyte migration an d adhesion. CX3CR1 is expressed in a variety of human tissues and cell lines.

          仅用于科研。不用于诊断过程。未经明确授权不得转售。

          生物信息学

          蛋白别名: Beta chemokine receptor-like 1; C-X3-C CKR-1; chemokine (C-C) receptor-like 1; chemokine (C-X3-C motif) receptor 1; chemokine (C-X3-C) receptor 1; CMK-BRL-1; CMK-BRL1; Cx3c; CX3C chemokine receptor 1; Fractalkine receptor; G-protein coupled receptor 13; Scyd1; unnamed protein product; V28

          查看更多 收起

          基因别名: CCRL1; CMKBRL1; CMKDR1; CX3CR1; GPR13; GPRV28; Rbs11; V28

          查看更多 收起

          UniProt ID: (Human) P49238, (Rat) P35411, (Mouse) Q9Z0D9

          查看更多 收起

          Entrez Gene ID: (Human) 1524, (Rat) 171056, (Mouse) 13051

          查看更多 收起

          功能
          cytokine receptor activity G-protein coupled receptor activity chemokine receptor activity protein binding G-protein coupled peptide receptor activity C-C chemokine receptor activity C-X3-C chemokine receptor activity C-C chemokine binding C-X3-C chemokine binding CX3C chemokine receptor binding signal transducer activity
          参与通路
          positive regulation of neuroblast proliferation adaptive immune response microglial cell activation involved in immune response immune system process response to ischemia chemotaxis inflammatory response immune response cellular defense response cell adhesion signal transduction cell surface receptor signaling pathway G-protein coupled receptor signaling pathway phospholipase C-activating G-protein coupled receptor signaling pathway positive regulation of cytosolic calcium ion concentration cell-cell signaling brain development response to wounding negative regulation of angiogenesis cytokine-mediated signaling pathway calcium-mediated signaling central nervous system maturation leukocyte chemotaxis regulation of tumor necrosis factor production negative regulation of interleukin-1 beta production social behavior autocrine signaling positive regulation of I-kappaB kinase/NF-kappaB signaling innate immune response regulation of nitric oxide biosynthetic process regulation of synaptic plasticity host-mediated regulation of intestinal microbiota composition regulation of neurogenesis positive regulation of neurogenesis modulation of synaptic transmission leukocyte tethering or rolling positive regulation of protein kinase B signaling synapse maturation cell chemotaxis antifungal innate immune response chemokine-mediated signaling pathway cellular response to lipopolysaccharide cellular response to cytokine stimulus positive regulation of monocyte chemotaxis synapse pruning negative regulation of hippocampal neuron apoptotic process multiple spine synapse organization, single dendrite regulation of microglial cell migration negative regulation of microglial cell mediated cytotoxicity negative regulation of apoptotic signaling pathway microglial cell activation negative regulation of chronic inflammatory response to non-antigenic stimulus memory cerebral cortex cell migration negative regulation of cell migration positive regulation of angiogenesis macrophage chemotaxis cellular response to transforming growth factor beta stimulus negative regulation of long-term synaptic potentiation negative regulation of extrinsic apoptotic signaling pathway in absence of ligand
          It has to be done as per old AB suggested Products section.

          Disclaimer

          Close

          Clicking the images or links will redirect you to a website hosted by BenchSci that provides third-party scientific content. Neither the content nor the BenchSci technology and processes for selection have been evaluated by us; we are providing them as-is and without warranty of any kind, including for use or application of the Thermo Fisher Scientific products presented.

          guarantee_icon

          性能保障

          只要您发现Invitrogen抗体在实验中的表现与网站或说明书的所述内容不符,您即可享受免费退换货服务。*

          了解更多
          help_icon

          随时为您服务

          获取常见问题的专家解答,或者直接联系我们的技术专家,咨询应用、设备、常规产品使用问题。

          联系技术支持
          订购 Plus Icon Minus Icon
          • 订单状态查询
          • 订单支持
          • 货号直购
          • 现货供应中心
          • 电子采购
          支持 Plus Icon Minus Icon
          • 帮助&支持
          • 联系我们 - 400 820 8982
          • 技术支持中心
          • 查找文件&证书
          • 报告网站问题
          资源 Plus Icon Minus Icon
          • 学习中心
          • 促销
          • 活动&研讨会
          • 社交媒体
          关于赛默飞 Plus Icon Minus Icon
          • 关于我们
          • 招聘 招聘
          • 投资者关系 投资者关系
          • 新闻 新闻
          • 社会责任 社会责任
          • 商标
          • 政策和通知
          品牌 Plus Icon Minus Icon
          • Thermo Scientific
          • Applied Biosystems
          • Invitrogen
          • Gibco
          • Ion Torrent
          • Unity Lab Services
          • Patheon
          • PPD
          • 服务条款
          • 隐私政策
          • 定价和运输保险政策
          © 2006-2026 Thermo Fisher Scientific Inc. All rights reserved. All trademarks are the property of Thermo Fisher Scientific and its subsidiaries unless otherwise specified.
          China flag icon
          China
          本网站销售的所有产品均不得用于人类或动物之临床诊断或治疗,仅可用于工业或者科研等非医疗目的。
             电子营业执照 | 经营证照公示 | ICP备案号:沪ICP备11003924号 | 沪公网安备 31011502006935号

          Your items have has been added!


          Host server : magellan-search-green-6479c7f679-zb4k5:80/100.66.74.142:80.
          git-commit: b70c0dceb888abc3b0dcebb5bc3a5b8753e7e816
          git-url: https://github.com/thermofisher/magellan-search
          git-branch: release/2.50.0-Offline