Hamburger Menu Button
Thermo Fisher Scientific Logo
登录
没有账号?建立账号 注册
  • 产品
    • 抗体
    • 引物合成
    • GeneArt Gene Synthesis Instant Designer
    • TaqMan Assay and Array Search
    • PCR 设备和耗材
    • 色谱柱和纯化柱
    • 实验室离心机
    • 分子生物学试剂和试剂盒
    • 实验室塑料耗材及用品
    • 查看所有产品分类
  • 应用和技术
    • 色谱
    • 细胞转染和培养
    • 实时荧光定量PCR
    • 质谱
    • 实验室塑料耗材及用品
    • 电子显微镜
    • 蛋白质生物学
    • PCR
    • RNAi
    • 环境
    • 查看所有应用和技术
  • 服务
    • 定制服务
    • 企业级实验室信息化服务
    • 金融&租赁服务
    • 仪器服务
    • OEM和商业供应
    • 培训服务
    • 360° CDMO 和 CRO 服务
    • CDMO 服务
    • 临床试验 CRO 服务
    • Unity Lab Services
    • 查看所有帮助和支持
  • 帮助和支持
    • 学习中心
    • 联系我们
    • 更改国家或地区
    • 查看所有帮助和支持
  • 热门产品
    • TaqMan Real-Time PCR Assays
      TaqMan 实时荧光定量 PCR 试剂盒
    • Antibodies
      抗体
    • Oligos, Primers & Probes
      寡核苷酸、引物、探针
    • GeneArt Gene Synthesis
      GeneArt 基因合成
    • Cell Culture Plastics
      细胞培养耗材
  • Who We Serve
    • 抗体治疗解决方案
    • 细胞与基因治疗解决方案
    • 学术科研
    • 工业与应用
  • 联系我们
  • 货号直购
  • 订单查询
  • 查找文件&证书
Thermo Fisher Scientific Logo

Search

搜索全部或下列指定分类
Search button
          • 联系我们
          • 货号直购
          • 登录
            登录
            没有账号?建立账号 注册
            • 我的账号
            • 订单
            • 会员中心
            • 账单及发票查询
            • 定制产品及项目
          • Primary Antibodies ›
          • CYFIP1/CYFIP2 Antibodies

          Proteintech

          CYFIP1/2 Polyclonal Antibody

          1 篇参考文献

          {{$productOrderCtrl.translations['antibody.pdp.commerceCard.promotion.promotions']}}

          {{$productOrderCtrl.translations['antibody.pdp.commerceCard.promotion.viewpromo']}}

          {{$productOrderCtrl.translations['antibody.pdp.commerceCard.promotion.promocode']}}: {{promo.promoCode}} {{promo.promoTitle}} {{promo.promoDescription}}. {{$productOrderCtrl.translations['antibody.pdp.commerceCard.promotion.learnmore']}}

          说明书
          证书
          实验方案
          问题与答案
          技术支持
          说明书
          证书
          实验方案
          问题与答案
          技术支持
          说明书
          证书
          实验方案
          问题与答案
          技术支持

          Cite CYFIP1/2 Polyclonal Antibody

          Additional Information:
          {{banner.description}}
          {{$ctrl.isSkuNotesCollapsed ? 'View more' : 'View less'}}
          • 抗体检测数据 (7)
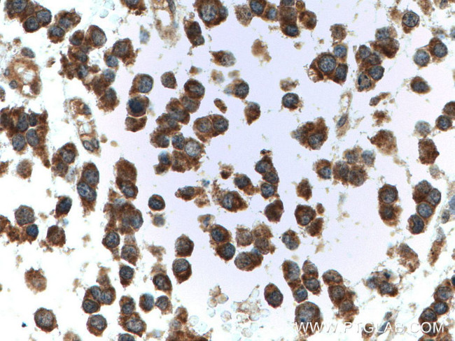
          CYFIP1/2 Antibody in Immunohistochemistry (Paraffin) (IHC (P))
          Group 53 Created with Sketch.
          CYFIP1/2 Antibody in Immunohistochemistry (Paraffin) (IHC (P))
          Group 53 Created with Sketch.

          图: 1 / 7

          {{ $ctrl.currentElement.advancedVerification.fullName }}
          {{ $ctrl.currentElement.advancedVerification.text }}

          CYFIP1/2 Antibody (16011-1-AP) in IHC (P)

          Immunohistochemistry of paraffin-embedded human gliomas tissue slide using 16011-1-AP (CYFIP1/2 antibody) at dilution of 1:200 (under 40x lens) heat mediated antigen retrieved with Tris-EDTA buffer (pH 9). {{ $ctrl.currentElement.advancedVerification.fullName }} 验证信息 View more
          已发表图片由___提供 benchsci-logo
          PMID: {{$ctrl.currentElement.benchSciPubmedId}}
          查看产品

          {{$ctrl.videoDesc}}

          {{$ctrl.videoLongDesc}}

          CYFIP1/2 Antibody in Immunohistochemistry (Paraffin) (IHC (P))
          CYFIP1/2 Antibody in Immunohistochemistry (Paraffin) (IHC (P))
          CYFIP1/2 Antibody in Immunohistochemistry (Paraffin) (IHC (P))
          CYFIP1/2 Antibody in Immunohistochemistry (Paraffin) (IHC (P))
          CYFIP1/2 Antibody in Western Blot (WB)
          CYFIP1/2 Antibody in Western Blot (WB)
          CYFIP1/2 Antibody in Immunoprecipitation (IP)
          CYFIP1/2 Polyclonal Antibody

          产品信息

          16011-1-AP

          应用
          建议稀释比
          已发表文章

          免疫印迹 (WB)

          1:500-1:1,000
          查看1篇已发表文章 1篇已发表文章

          免疫组化(石蜡) (IHC (P))

          1:50-1:500
          -

          免疫沉淀 (IP)

          0.5-4.0 µg
          -
          产品规格

          种属反应

          Human, Mouse

          已发表种属

          Human

          宿主/亚型

          Rabbit / IgG

          分类

          Polyclonal

          类型

          Antibody

          抗原

          CYFIP1/2 Fusion Protein Ag8749 (879-1278 aa encoded by BC011762)
          3D表位/免疫原

          偶联物

          Unconjugated Unconjugated Unconjugated

          形式

          Liquid

          浓度

          0.19 mg/mL

          规格

          28.5 µg

          纯化类型

          Antigen affinity chromatography

          保存液

          PBS, pH 7.3, with 50% glycerol

          内含物

          0.02% sodium azide

          保存条件

          -20°C

          运输条件

          Wet ice (domestic); Dry ice (international)

          产品详细信息

          This antibody can recognize both CYFIP1 and CYFIP2.

          Immunogen sequence: CYNGSTNRF VRTAIPFTQE PQRDKPANVQ PYYLYGSKPL NIAYSHIYSS YRNFVGPPHF KTICRLLGYQ GIAVVMEELL KIVKSLLQGT ILQYVKTLIE VMPKICRLPR HEYGSPGILE FFHHQLKDII EYAELKTDVF QSLREVGNAI LFCLLIEQAL SQEEVCDLLH AAPFQNILPR VYIKEGERLE VRMKRLEAKY APLHLVPLIE RLGTPQQIAI AREGDLLTKE RLCCGLSMFE VILTRIRSYL QDPIWRGPPP TNGVMHVDEC VEFHRLWSAM QFVYCIPVGT NEFTAEQCFG DGLNWAGCSI IVLLGQQRRF DLFDFCYHLL KVQRQDGKDE IIKNVPLKKM ADRIRKYQIL NNEVFAILNK YMKSVETDSS TVEHVRCFQP PIHQSLATTC (879-1278 aa encoded by BC011762)

          靶标信息

          CYFIP2 (Cytoplasmic FMR1-interacting protein 2, p53-inducible protein 121) is a 1, 278 amino acid protein encoded by the human gene CYFIP2. CYFIP2 belongs to the CYFIP family and is involved in T-cell adhesion and p53-dependent induction of apoptosis. It interacts with FMR1, FXR1 and FXR2 and is a component of the WAVE1 complex composed of Abi-2, CYFIP2, C3orf10/HSPC300, NAP125 and WASF1/WAVE1. Upon binding to activated Rac 1, CYFIP2 causes the complex to dissociate, releasing activated WASF1. The CYFIP2 promoter contains a p53-responsive element that confers p53 binding as well as transcriptional activation of a heterologous reporter. Induced expression of CYFIP2 is sufficient for caspase activation and cellular apoptosis, reminiscent of p53 activation.

          仅用于科研。不用于诊断过程。未经明确授权不得转售。

          生物信息学

          蛋白别名: cyfip1; cyfip2; Cytoplasmic FMR1-interacting protein 1; Cytoplasmic FMR1-interacting protein 2; cytoplasmic FMRP interacting protein 1; inducible protein; KIAA0068; p140sra-1; p53-inducible protein 121; PIR121; selective hybridizing clone; Specifically Rac1-associated protein 1; Sra-1; unnamed protein product

          查看更多 收起

          基因别名: 1500004I01Rik; 6430511D02Rik; AA930218; AU022376; CYFIP1; CYFIP2; DEE65; E030028J09Rik; EIEE65; KIAA0068; KIAA1168; l(7)1Rl; l71Rl; l7Rl1; mKIAA0068; mKIAA1168; P140SRA-1; P140sra1; PIR121; pl-1; SHYC; SRA-1; SRA1

          查看更多 收起

          UniProt ID: (Human) Q7L576, (Human) Q96F07, (Mouse) Q7TMB8, (Mouse) Q5SQX6

          查看更多 收起

          Entrez Gene ID: (Human) 23191, (Human) 26999, (Mouse) 20430, (Mouse) 76884

          查看更多 收起

          功能
          RNA 7-methylguanosine cap binding actin binding protein binding translation repressor activity small GTPase binding actin filament binding profilin binding protein complex binding Rac GTPase binding scaffold/adaptor protein
          参与通路
          cell morphogenesis regulation of translation nervous system development axon guidance regulation of cell shape positive regulation of lamellipodium assembly Rac protein signal transduction negative regulation of translation lamellipodium assembly cell differentiation regulation of actin filament polymerization neuron projection development ruffle organization axon extension cognition positive regulation of neurotrophin TRK receptor signaling pathway dendrite extension regulation of translation at postsynapse, modulating synaptic transmission regulation of modification of postsynaptic actin cytoskeleton positive regulation of Arp2/3 complex-mediated actin nucleation apoptotic process cell adhesion cell projection assembly positive regulation of proteolysis cell-cell adhesion regulation of postsynapse assembly multicellular organism development single organismal cell-cell adhesion activation of cysteine-type endopeptidase activity
          It has to be done as per old AB suggested Products section.

          Disclaimer

          Close

          Clicking the images or links will redirect you to a website hosted by BenchSci that provides third-party scientific content. Neither the content nor the BenchSci technology and processes for selection have been evaluated by us; we are providing them as-is and without warranty of any kind, including for use or application of the Thermo Fisher Scientific products presented.

          guarantee_icon

          性能保障

          只要您发现Invitrogen抗体在实验中的表现与网站或说明书的所述内容不符,您即可享受免费退换货服务。*

          了解更多
          help_icon

          随时为您服务

          获取常见问题的专家解答,或者直接联系我们的技术专家,咨询应用、设备、常规产品使用问题。

          联系技术支持
          订购 Plus Icon Minus Icon
          • 订单状态查询
          • 订单支持
          • 货号直购
          • 现货供应中心
          • 电子采购
          支持 Plus Icon Minus Icon
          • 帮助&支持
          • 联系我们 - 400 820 8982
          • 技术支持中心
          • 查找文件&证书
          • 报告网站问题
          资源 Plus Icon Minus Icon
          • 学习中心
          • 促销
          • 活动&研讨会
          • 社交媒体
          关于赛默飞 Plus Icon Minus Icon
          • 关于我们
          • 招聘 招聘
          • 投资者关系 投资者关系
          • 新闻 新闻
          • 社会责任 社会责任
          • 商标
          • 政策和通知
          品牌 Plus Icon Minus Icon
          • Thermo Scientific
          • Applied Biosystems
          • Invitrogen
          • Gibco
          • Ion Torrent
          • Unity Lab Services
          • Patheon
          • PPD
          • 服务条款
          • 隐私政策
          • 定价和运输保险政策
          © 2006-2026 Thermo Fisher Scientific Inc. All rights reserved. All trademarks are the property of Thermo Fisher Scientific and its subsidiaries unless otherwise specified.
          China flag icon
          China
          本网站销售的所有产品均不得用于人类或动物之临床诊断或治疗,仅可用于工业或者科研等非医疗目的。
             电子营业执照 | 经营证照公示 | ICP备案号:沪ICP备11003924号 | 沪公网安备 31011502006935号

          Your items have has been added!


          Host server : magellan-search-green-6479c7f679-mppzp:80/100.66.76.236:80.
          git-commit: b70c0dceb888abc3b0dcebb5bc3a5b8753e7e816
          git-url: https://github.com/thermofisher/magellan-search
          git-branch: release/2.50.0-Offline