Hamburger Menu Button
Thermo Fisher Scientific Logo
登录
没有账号?建立账号 注册
  • 产品
    • 抗体
    • 引物合成
    • GeneArt Gene Synthesis Instant Designer
    • TaqMan Assay and Array Search
    • PCR 设备和耗材
    • 色谱柱和纯化柱
    • 实验室离心机
    • 分子生物学试剂和试剂盒
    • 实验室塑料耗材及用品
    • 查看所有产品分类
  • 应用和技术
    • 色谱
    • 细胞转染和培养
    • 实时荧光定量PCR
    • 质谱
    • 实验室塑料耗材及用品
    • 电子显微镜
    • 蛋白质生物学
    • PCR
    • RNAi
    • 环境
    • 查看所有应用和技术
  • 服务
    • 定制服务
    • 企业级实验室信息化服务
    • 金融&租赁服务
    • 仪器服务
    • OEM和商业供应
    • 培训服务
    • 360° CDMO 和 CRO 服务
    • CDMO 服务
    • 临床试验 CRO 服务
    • Unity Lab Services
    • 查看所有帮助和支持
  • 帮助和支持
    • 学习中心
    • 联系我们
    • 更改国家或地区
    • 查看所有帮助和支持
  • 热门产品
    • TaqMan Real-Time PCR Assays
      TaqMan 实时荧光定量 PCR 试剂盒
    • Antibodies
      抗体
    • Oligos, Primers & Probes
      寡核苷酸、引物、探针
    • GeneArt Gene Synthesis
      GeneArt 基因合成
    • Cell Culture Plastics
      细胞培养耗材
  • Who We Serve
    • 抗体治疗解决方案
    • 细胞与基因治疗解决方案
    • 学术科研
    • 工业与应用
  • 联系我们
  • 货号直购
  • 订单查询
  • 查找文件&证书
Thermo Fisher Scientific Logo

Search

搜索全部或下列指定分类
Search button
          • 联系我们
          • 货号直购
          • 登录
            登录
            没有账号?建立账号 注册
            • 我的账号
            • 订单
            • 会员中心
            • 账单及发票查询
            • 定制产品及项目
          • Primary Antibodies ›
          • CYLD Antibodies

          Proteintech

          CYLD Polyclonal Antibody

          27 篇参考文献
          查看其他11个CYLD抗体

          {{$productOrderCtrl.translations['antibody.pdp.commerceCard.promotion.promotions']}}

          {{$productOrderCtrl.translations['antibody.pdp.commerceCard.promotion.viewpromo']}}

          {{$productOrderCtrl.translations['antibody.pdp.commerceCard.promotion.promocode']}}: {{promo.promoCode}} {{promo.promoTitle}} {{promo.promoDescription}}. {{$productOrderCtrl.translations['antibody.pdp.commerceCard.promotion.learnmore']}}

          说明书
          证书
          实验方案
          问题与答案
          技术支持
          说明书
          证书
          实验方案
          问题与答案
          技术支持
          说明书
          证书
          实验方案
          问题与答案
          技术支持

          Cite CYLD Polyclonal Antibody

          Additional Information:
          {{banner.description}}
          {{$ctrl.isSkuNotesCollapsed ? 'View more' : 'View less'}}
          • 抗体检测数据 (13)
          CYLD Antibody in Immunohistochemistry (Paraffin) (IHC (P))
          Group 53 Created with Sketch.
          CYLD Antibody in Immunohistochemistry (Paraffin) (IHC (P))
          Group 53 Created with Sketch.

          图: 1 / 13

          {{ $ctrl.currentElement.advancedVerification.fullName }}
          {{ $ctrl.currentElement.advancedVerification.text }}

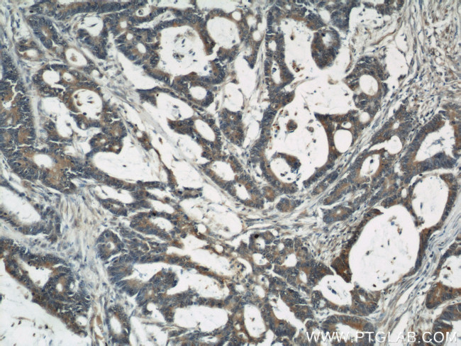
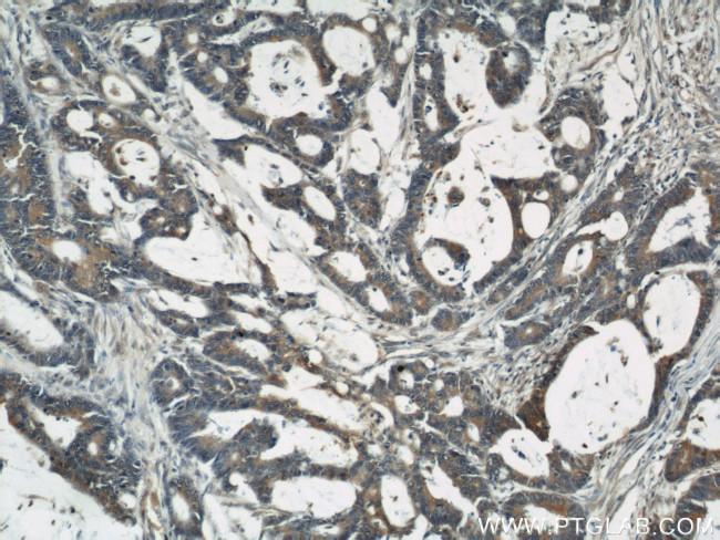
          CYLD Antibody (11110-1-AP) in IHC (P)

          Immunohistochemistry of paraffin-embedded human colon cancer using 11110-1-AP (CYLD antibody) at dilution of 1:50 (under 10x lens). {{ $ctrl.currentElement.advancedVerification.fullName }} 验证信息 View more
          已发表图片由___提供 benchsci-logo
          PMID: {{$ctrl.currentElement.benchSciPubmedId}}
          查看产品

          {{$ctrl.videoDesc}}

          {{$ctrl.videoLongDesc}}

          CYLD Antibody in Immunohistochemistry (Paraffin) (IHC (P))
          CYLD Antibody in Immunohistochemistry (Paraffin) (IHC (P))
          CYLD Antibody in Immunohistochemistry (Paraffin) (IHC (P))
          CYLD Antibody in Immunohistochemistry (Paraffin) (IHC (P))
          CYLD Antibody in Immunohistochemistry (Paraffin) (IHC (P))
          CYLD Antibody in Immunohistochemistry (Paraffin) (IHC (P))
          CYLD Antibody in Western Blot (WB)
          CYLD Antibody in Western Blot (WB)
          CYLD Antibody in Western Blot (WB)
          CYLD Antibody in Western Blot (WB)
          CYLD Antibody in Western Blot (WB)
          CYLD Antibody in Western Blot (WB)
          CYLD Antibody in Immunoprecipitation (IP)
          CYLD Polyclonal Antibody

          产品信息

          11110-1-AP

          应用
          建议稀释比
          已发表文章

          免疫印迹 (WB)

          1:500-1:1,000
          查看20篇已发表文章 20篇已发表文章

          免疫组化 (IHC)

          -
          查看5篇已发表文章 5篇已发表文章

          免疫组化(石蜡) (IHC (P))

          1:50-1:500
          -

          免疫细胞化学 (ICC/IF)

          -
          查看1篇已发表文章 1篇已发表文章

          免疫沉淀 (IP)

          0.5-4.0 µg
          查看1篇已发表文章 1篇已发表文章
          产品规格

          种属反应

          Human, Mouse, Rat

          已发表种属

          Human, Mouse, Rat

          宿主/亚型

          Rabbit / IgG

          分类

          Polyclonal

          类型

          Antibody

          抗原

          CYLD Fusion Protein Ag1598 (657-956 aa encoded by BC012342)
          3D表位/免疫原

          偶联物

          Unconjugated Unconjugated Unconjugated

          形式

          Liquid

          浓度

          0.22 mg/mL

          规格

          33 µg

          纯化类型

          Antigen affinity chromatography

          保存液

          PBS, pH 7.3, with 50% glycerol

          内含物

          0.02% sodium azide

          保存条件

          -20°C

          运输条件

          Wet ice (domestic); Dry ice (international)

          产品详细信息

          This antibody is a rabbit polyclonal antibody raised against residues near the C terminus of human CYLD.

          Immunogen sequence: KIMKLRKIL EKVEAASGFT SEEKDPEEFL NILFHHILRV EPLLKIRSAG QKVQDCYFYQ IFMEKNEKVG VPTIQQLLEW SFINSNLKFA EAPSCLIIQM PRFGKDFKLF KKIFPSLELN ITDLLEDTPR QCRICGGLAM YECRECYDDP DISAGKIKQF CKTCNTQVHL HPKRLNHKYN PVSLPKDLPD WDWRHGCIPC QNMELFAVLC IETSHYVAFV KYGKDDSAWL FFDSMADRDG GQNGFNIPQV TPCPEVGEYL KMSLEDLHSL DSRRIQGCAR RLLCDAYMCM YQSPTMSLYK (657-956 aa encoded by BC012342)

          靶标信息

          CYLD is a 956 aa, cytoplasmic, deubiquitinating enzyme belonging to the ubiquitin carboxy-terminal hydrolases (UCH) family of proteins with three cytoskeletal-associated protein-glycine-conserved (CAP-GLY) domains, a proline rich region, a SH3 binding domain and a sequence homology to catalytic domain of UCH. CYLD is identified as a tumor suppressor protein affecting the JNK signaling pathway. CYLD is a negative regulator of TRAF2 and NF-kappa-B signaling pathway and is also known to have receptor-dependent role in regulating the I-kappa-B kinase pathway. It also has a deubiquitinating activity that is directed towards non-Lys-48-linked polyubiquitin chains and TRAP1 is a novel substrate for deubiquitination. Mutated CYLD is known to be associated with cylindromatosis, multiple familial trichoepithelioma, and Brooke-Spiegler syndrome.

          仅用于科研。不用于诊断过程。未经明确授权不得转售。

          生物信息学

          蛋白别名: cyld; cylindromatosis (turban tumor syndrome); Deubiquitinating enzyme CYLD; FLJ20180; FLJ31664; FLJ78684; probable ubiquitin carboxyl-terminal hydrolase CYLD; retinitis pigmentosa 1 homolog; Ubiquitin carboxyl-terminal hydrolase CYLD; ubiquitin specific peptidase like 2; Ubiquitin thioesterase CYLD; ubiquitin thiolesterase CYLD; Ubiquitin-specific-processing protease CYLD; unnamed protein product

          查看更多 收起

          基因别名: 2010013M14Rik; 2900009M21Rik; BRSS; C130039D01Rik; CDMT; CYLD; CYLD1; CYLDI; EAC; FTDALS8; HSPC057; KIAA0849; LRRGT00003; MFT; MFT1; mKIAA0849; Rp1; Rp1h; SBS; TEM; USPL2

          查看更多 收起

          UniProt ID: (Human) Q9NQC7, (Rat) Q66H62, (Mouse) Q80TQ2

          查看更多 收起

          Entrez Gene ID: (Human) 1540, (Rat) 312937, (Mouse) 74256

          查看更多 收起

          功能
          thiol-dependent ubiquitin-specific protease activity protein binding peptidase activity cysteine-type peptidase activity zinc ion binding hydrolase activity protein kinase binding metal ion binding Lys63-specific deubiquitinase activity ubiquitinyl hydrolase activity, acting on linear ubiquitin proline-rich region binding Lys48-specific deubiquitinase activity molecular_function structural constituent of ribosome thiol-dependent ubiquitinyl hydrolase activity ribosomal protein
          参与通路
          immune system process proteolysis I-kappaB kinase/NF-kappaB signaling regulation of mitotic cell cycle regulation of tumor necrosis factor-mediated signaling pathway Wnt signaling pathway protein deubiquitination negative regulation of NF-kappaB transcription factor activity negative regulation of type I interferon production nucleotide-binding domain, leucine rich repeat containing receptor signaling pathway defense response to bacterium positive regulation of I-kappaB kinase/NF-kappaB signaling negative regulation of I-kappaB kinase/NF-kappaB signaling CD4-positive or CD8-positive, alpha-beta T cell lineage commitment innate immune response regulation of B cell differentiation positive regulation of T cell differentiation negative regulation of JNK cascade homeostasis of number of cells regulation of inflammatory response negative regulation of inflammatory response positive regulation of T cell receptor signaling pathway regulation of necroptotic process necroptotic process regulation of microtubule cytoskeleton organization protein K63-linked deubiquitination negative regulation of canonical Wnt signaling pathway ripoptosome assembly involved in necroptotic process negative regulation of NIK/NF-kappaB signaling regulation of cilium assembly negative regulation of p38MAPK cascade positive regulation of cellular protein localization protein linear deubiquitination negative regulation of interleukin-18-mediated signaling pathway positive regulation of extrinsic apoptotic signaling pathway regulation of intrinsic apoptotic signaling pathway cytoplasmic translation ubiquitin-dependent protein catabolic process biological_process negative regulation of NF-kappaB import into nucleus negative regulation of T cell differentiation
          It has to be done as per old AB suggested Products section.

          Disclaimer

          Close

          Clicking the images or links will redirect you to a website hosted by BenchSci that provides third-party scientific content. Neither the content nor the BenchSci technology and processes for selection have been evaluated by us; we are providing them as-is and without warranty of any kind, including for use or application of the Thermo Fisher Scientific products presented.

          guarantee_icon

          性能保障

          只要您发现Invitrogen抗体在实验中的表现与网站或说明书的所述内容不符,您即可享受免费退换货服务。*

          了解更多
          help_icon

          随时为您服务

          获取常见问题的专家解答,或者直接联系我们的技术专家,咨询应用、设备、常规产品使用问题。

          联系技术支持
          订购 Plus Icon Minus Icon
          • 订单状态查询
          • 订单支持
          • 货号直购
          • 现货供应中心
          • 电子采购
          支持 Plus Icon Minus Icon
          • 帮助&支持
          • 联系我们 - 400 820 8982
          • 技术支持中心
          • 查找文件&证书
          • 报告网站问题
          资源 Plus Icon Minus Icon
          • 学习中心
          • 促销
          • 活动&研讨会
          • 社交媒体
          关于赛默飞 Plus Icon Minus Icon
          • 关于我们
          • 招聘 招聘
          • 投资者关系 投资者关系
          • 新闻 新闻
          • 社会责任 社会责任
          • 商标
          • 政策和通知
          品牌 Plus Icon Minus Icon
          • Thermo Scientific
          • Applied Biosystems
          • Invitrogen
          • Gibco
          • Ion Torrent
          • Unity Lab Services
          • Patheon
          • PPD
          • 服务条款
          • 隐私政策
          • 定价和运输保险政策
          © 2006-2026 Thermo Fisher Scientific Inc. All rights reserved. All trademarks are the property of Thermo Fisher Scientific and its subsidiaries unless otherwise specified.
          China flag icon
          China
          本网站销售的所有产品均不得用于人类或动物之临床诊断或治疗,仅可用于工业或者科研等非医疗目的。
             电子营业执照 | 经营证照公示 | ICP备案号:沪ICP备11003924号 | 沪公网安备 31011502006935号

          Your items have has been added!


          Host server : magellan-search-blue-7c59b9b899-49tpj:80/100.66.77.222:80.
          git-commit: 8ef7cf686e3c81d28b13492708ce56d167b2f995
          git-url: https://github.com/thermofisher/magellan-search
          git-branch: release/2.49.0-Offline