Hamburger Menu Button
Thermo Fisher Scientific Logo
登录
没有账号?建立账号 注册
  • 产品
    • 抗体
    • 引物合成
    • GeneArt Gene Synthesis Instant Designer
    • TaqMan Assay and Array Search
    • PCR 设备和耗材
    • 色谱柱和纯化柱
    • 实验室离心机
    • 分子生物学试剂和试剂盒
    • 实验室塑料耗材及用品
    • 查看所有产品分类
  • 应用和技术
    • 色谱
    • 细胞转染和培养
    • 实时荧光定量PCR
    • 质谱
    • 实验室塑料耗材及用品
    • 电子显微镜
    • 蛋白质生物学
    • PCR
    • RNAi
    • 环境
    • 查看所有应用和技术
  • 服务
    • 定制服务
    • 企业级实验室信息化服务
    • 金融&租赁服务
    • 仪器服务
    • OEM和商业供应
    • 培训服务
    • 360° CDMO 和 CRO 服务
    • CDMO 服务
    • 临床试验 CRO 服务
    • Unity Lab Services
    • 查看所有帮助和支持
  • 帮助和支持
    • 学习中心
    • 联系我们
    • 更改国家或地区
    • 查看所有帮助和支持
  • 热门产品
    • TaqMan Real-Time PCR Assays
      TaqMan 实时荧光定量 PCR 试剂盒
    • Antibodies
      抗体
    • Oligos, Primers & Probes
      寡核苷酸、引物、探针
    • GeneArt Gene Synthesis
      GeneArt 基因合成
    • Cell Culture Plastics
      细胞培养耗材
  • Who We Serve
    • 抗体治疗解决方案
    • 细胞与基因治疗解决方案
    • 学术科研
    • 工业与应用
  • 联系我们
  • 货号直购
  • 订单查询
  • 查找文件&证书
Thermo Fisher Scientific Logo

Search

搜索全部或下列指定分类
Search button
          • 联系我们
          • 货号直购
          • 登录
            登录
            没有账号?建立账号 注册
            • 我的账号
            • 订单
            • 会员中心
            • 账单及发票查询
            • 定制产品及项目
          • Primary Antibodies ›
          • CYP1A1 Antibodies

          Invitrogen

          CYP1A1 Polyclonal Antibody

          高级验证
          1个已发表图片
          1 篇参考文献
          查看其他12个CYP1A1抗体

          {{$productOrderCtrl.translations['antibody.pdp.commerceCard.promotion.promotions']}}

          {{$productOrderCtrl.translations['antibody.pdp.commerceCard.promotion.viewpromo']}}

          {{$productOrderCtrl.translations['antibody.pdp.commerceCard.promotion.promocode']}}: {{promo.promoCode}} {{promo.promoTitle}} {{promo.promoDescription}}. {{$productOrderCtrl.translations['antibody.pdp.commerceCard.promotion.learnmore']}}

          说明书
          证书
          实验方案
          问题与答案
          技术支持
          说明书
          证书
          实验方案
          问题与答案
          技术支持
          说明书
          证书
          实验方案
          问题与答案
          技术支持

          Cite CYP1A1 Polyclonal Antibody

          Additional Information:
          {{banner.description}}
          {{$ctrl.isSkuNotesCollapsed ? 'View more' : 'View less'}}
          • 抗体检测数据 (3)
          • 已发表图片 (1)
          • 高级验证 (1)
          CYP1A1 Antibody in Immunocytochemistry (ICC/IF)
          Group 53 Created with Sketch.
          CYP1A1 Antibody in Immunocytochemistry (ICC/IF)
          Group 53 Created with Sketch.

          图: 1 / 5

          {{ $ctrl.currentElement.advancedVerification.fullName }}
          {{ $ctrl.currentElement.advancedVerification.text }}

          CYP1A1 Antibody (PA5-15213) in ICC/IF

          Immunocytochemistry analysis of CYP1A1 in MDA-MB231 cells. Samples were incubated in CYP1A1 polyclonal antibody (Product # PA5-15213) followed by Alexa Fluor 488-conjugated goat anti-rabbit lgG (green). DAPI was used to stain the cell nuclear (blue). {{ $ctrl.currentElement.advancedVerification.fullName }} 验证信息 View more
          已发表图片由___提供 benchsci-logo
          PMID: {{$ctrl.currentElement.benchSciPubmedId}}
          查看产品

          {{$ctrl.videoDesc}}

          {{$ctrl.videoLongDesc}}

          CYP1A1 Antibody in Immunocytochemistry (ICC/IF)
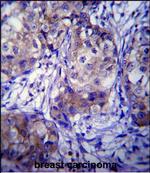
          CYP1A1 Antibody in Immunohistochemistry (Paraffin) (IHC (P))
          CYP1A1 Antibody in Western Blot (WB)
          CYP1A1 Antibody in Western Blot (WB)
          CYP1A1 Antibody
          CYP1A1 Polyclonal Antibody

          产品信息

          PA5-15213

          应用
          建议稀释比
          已发表文章

          免疫印迹 (WB)

          1:1,000
          查看1篇已发表文章 1篇已发表文章

          免疫组化(石蜡) (IHC (P))

          1:10-1:50
          -

          免疫细胞化学 (ICC/IF)

          1:10-1:50
          -
          产品规格

          种属反应

          Human, Mouse

          宿主/亚型

          Rabbit / IgG

          分类

          Polyclonal

          类型

          Antibody

          抗原

          KLH conjugated synthetic peptide between 252-280 amino acids from the central region of human CYP1A1
          3D表位/免疫原

          偶联物

          Unconjugated Unconjugated Unconjugated

          形式

          Liquid

          浓度

          2 mg/mL

          规格

          800 µg

          纯化类型

          Size-exclusion - Dialysis, Ammonium sulfate precipitation

          保存液

          PBS, pH 7.4

          内含物

          0.09% sodium azide

          保存条件

          Store at 4°C short term. For long term storage, store at -20°C, avoiding freeze/thaw cycles.

          运输条件

          Ambient (domestic); Wet ice (international)

          RRID

          AB_2088842

          靶标信息

          This gene, CYP1A1, encodes a member of the cytochrome P450 superfamily of enzymes. The cytochrome P450 proteins are monooxygenases which catalyze many reactions involved in drug metabolism and synthesis of cholesterol, steroids and other lipids. This protein localizes to the endoplasmic reticulum and its expression is induced by some polycyclic aromatic hydrocarbons (PAHs), some of which are found in cigarette smoke. The enzyme's endogenous substrate is unknown; however, it is able to metabolize some PAHs to carcinogenic intermediates. The gene has been associated with lung cancer risk. A related family member, CYP1A2, is located approximately 25 kb away from CYP1A1 on chromosome 15.

          仅用于科研。不用于诊断过程。未经明确授权不得转售。

          生物信息学

          蛋白别名: aromatic compound inducible; aryl hydrocarbon hydroxylase; CYP; CYP1A1v; alternatively spliced; CYPIA1; cytochrome P-450 protein; cytochrome P-450-1; cytochrome P1-450, dioxin-inducible; Cytochrome P450 1A1; cytochrome P450 family 1 subfamily a polypeptide 2; Cytochrome P450 form 6; cytochrome P450 subfamily I, polypeptide 1; cytochrome P450, 1a1, aromatic compound inducible; cytochrome P450, family 1, subfamily A, polypeptide 1; cytochrome P450, subfamily I (aromatic compound-inducible), polypeptide 1; Cytochrome P450-C; Cytochrome P450-P1; flavoprotein-linked monooxygenase; functional drug metabolizing enzyme; Hydroperoxy icosatetraenoate dehydratase; P450; P450 form 6; P450-P1; unnamed protein product; xenobiotic monooxygenase

          查看更多 收起

          基因别名: AHH; AHRR; CP11; CYP1; Cyp1a-1; CYP1A1; Cyp1a2; CYPIA1; P1-450; P450-1; P450-C; P450DX

          查看更多 收起

          UniProt ID: (Human) P04798, (Mouse) P00184

          查看更多 收起

          Entrez Gene ID: (Human) 1543, (Mouse) 13076

          查看更多 收起

          功能
          catalytic activity monooxygenase activity iron ion binding protein binding arachidonic acid monooxygenase activity steroid hydroxylase activity oxidoreductase activity oxidoreductase activity, acting on diphenols and related substances as donors oxidoreductase activity, acting on paired donors, with incorporation or reduction of molecular oxygen flavonoid 3'-monooxygenase activity oxidoreductase activity, acting on paired donors, with incorporation or reduction of molecular oxygen, reduced flavin or flavoprotein as one donor, and incorporation of one atom of oxygen lyase activity oxygen binding enzyme binding heme binding Hsp70 protein binding demethylase activity metal ion binding Hsp90 protein binding vitamin D 24-hydroxylase activity estrogen 16-alpha-hydroxylase activity estrogen 2-hydroxylase activity long-chain fatty acid omega-hydroxylase activity hydroperoxy icosatetraenoate dehydratase activity long-chain fatty acid omega-1 hydroxylase activity aromatase activity
          参与通路
          response to hypoxia long-chain fatty acid metabolic process liver development lipid hydroxylation lipid metabolic process fatty acid metabolic process steroid biosynthetic process steroid catabolic process porphyrin-containing compound metabolic process xenobiotic metabolic process steroid metabolic process estrogen metabolic process amine metabolic process toxin metabolic process response to xenobiotic stimulus response to nematode response to herbicide response to toxic substance ethylene metabolic process coumarin metabolic process flavonoid metabolic process response to iron(III) ion insecticide metabolic process dibenzo-p-dioxin metabolic process phenol-containing compound metabolic process dibenzo-p-dioxin catabolic process epoxygenase P450 pathway response to food response to lipopolysaccharide response to vitamin A response to genistein response to immobilization stress xenobiotic catabolic process vitamin D metabolic process hormone metabolic process retinol metabolic process long-chain fatty acid biosynthetic process 9-cis-retinoic acid biosynthetic process camera-type eye development nitric oxide metabolic process response to arsenic-containing substance digestive tract development tissue remodeling hydrogen peroxide biosynthetic process response to hyperoxia maternal process involved in parturition hepatocyte differentiation cellular response to copper ion omega-hydroxylase P450 pathway olefinic compound metabolic process positive regulation of G1/S transition of mitotic cell cycle response to diphenyl ether response to Aroclor 1254 response to 2,3,7,8-tetrachlorodibenzodioxine response to 3-methylcholanthrene drug metabolic process heterocycle metabolic process oxidation-reduction process demethylation cellular response to organic cyclic compound
          It has to be done as per old AB suggested Products section.

          Disclaimer

          Close

          Clicking the images or links will redirect you to a website hosted by BenchSci that provides third-party scientific content. Neither the content nor the BenchSci technology and processes for selection have been evaluated by us; we are providing them as-is and without warranty of any kind, including for use or application of the Thermo Fisher Scientific products presented.

          guarantee_icon

          性能保障

          只要您发现Invitrogen抗体在实验中的表现与网站或说明书的所述内容不符,您即可享受免费退换货服务。*

          了解更多
          help_icon

          随时为您服务

          获取常见问题的专家解答,或者直接联系我们的技术专家,咨询应用、设备、常规产品使用问题。

          联系技术支持
          订购 Plus Icon Minus Icon
          • 订单状态查询
          • 订单支持
          • 货号直购
          • 现货供应中心
          • 电子采购
          支持 Plus Icon Minus Icon
          • 帮助&支持
          • 联系我们 - 400 820 8982
          • 技术支持中心
          • 查找文件&证书
          • 报告网站问题
          资源 Plus Icon Minus Icon
          • 学习中心
          • 促销
          • 活动&研讨会
          • 社交媒体
          关于赛默飞 Plus Icon Minus Icon
          • 关于我们
          • 招聘 招聘
          • 投资者关系 投资者关系
          • 新闻 新闻
          • 社会责任 社会责任
          • 商标
          • 政策和通知
          品牌 Plus Icon Minus Icon
          • Thermo Scientific
          • Applied Biosystems
          • Invitrogen
          • Gibco
          • Ion Torrent
          • Unity Lab Services
          • Patheon
          • PPD
          • 服务条款
          • 隐私政策
          • 定价和运输保险政策
          © 2006-2026 Thermo Fisher Scientific Inc. All rights reserved. All trademarks are the property of Thermo Fisher Scientific and its subsidiaries unless otherwise specified.
          China flag icon
          China
          本网站销售的所有产品均不得用于人类或动物之临床诊断或治疗,仅可用于工业或者科研等非医疗目的。
             电子营业执照 | 经营证照公示 | ICP备案号:沪ICP备11003924号 | 沪公网安备 31011502006935号

          Your items have has been added!


          Host server : magellan-search-green-6479c7f679-sz4vp:80/100.66.76.236:80.
          git-commit: b70c0dceb888abc3b0dcebb5bc3a5b8753e7e816
          git-url: https://github.com/thermofisher/magellan-search
          git-branch: release/2.50.0-Offline