Hamburger Menu Button
Thermo Fisher Scientific Logo
登录
没有账号?建立账号 注册
  • 产品
    • 抗体
    • 引物合成
    • GeneArt Gene Synthesis Instant Designer
    • TaqMan Assay and Array Search
    • PCR 设备和耗材
    • 色谱柱和纯化柱
    • 实验室离心机
    • 分子生物学试剂和试剂盒
    • 实验室塑料耗材及用品
    • 查看所有产品分类
  • 应用和技术
    • 色谱
    • 细胞转染和培养
    • 实时荧光定量PCR
    • 质谱
    • 实验室塑料耗材及用品
    • 电子显微镜
    • 蛋白质生物学
    • PCR
    • RNAi
    • 环境
    • 查看所有应用和技术
  • 服务
    • 定制服务
    • 企业级实验室信息化服务
    • 金融&租赁服务
    • 仪器服务
    • OEM和商业供应
    • 培训服务
    • 360° CDMO 和 CRO 服务
    • CDMO 服务
    • 临床试验 CRO 服务
    • Unity Lab Services
    • 查看所有帮助和支持
  • 帮助和支持
    • 学习中心
    • 联系我们
    • 更改国家或地区
    • 查看所有帮助和支持
  • 热门产品
    • TaqMan Real-Time PCR Assays
      TaqMan 实时荧光定量 PCR 试剂盒
    • Antibodies
      抗体
    • Oligos, Primers & Probes
      寡核苷酸、引物、探针
    • GeneArt Gene Synthesis
      GeneArt 基因合成
    • Cell Culture Plastics
      细胞培养耗材
  • Who We Serve
    • 抗体治疗解决方案
    • 细胞与基因治疗解决方案
    • 学术科研
    • 工业与应用
  • 联系我们
  • 货号直购
  • 订单查询
  • 查找文件&证书
Thermo Fisher Scientific Logo

Search

搜索全部或下列指定分类
Search button
          • 联系我们
          • 货号直购
          • 登录
            登录
            没有账号?建立账号 注册
            • 我的账号
            • 订单
            • 会员中心
            • 账单及发票查询
            • 定制产品及项目
          • Primary Antibodies ›
          • CYP2E1 Antibodies

          Invitrogen

          CYP2E1 Polyclonal Antibody

          查看其他20个CYP2E1抗体

          {{$productOrderCtrl.translations['antibody.pdp.commerceCard.promotion.promotions']}}

          {{$productOrderCtrl.translations['antibody.pdp.commerceCard.promotion.viewpromo']}}

          {{$productOrderCtrl.translations['antibody.pdp.commerceCard.promotion.promocode']}}: {{promo.promoCode}} {{promo.promoTitle}} {{promo.promoDescription}}. {{$productOrderCtrl.translations['antibody.pdp.commerceCard.promotion.learnmore']}}

          说明书
          证书
          实验方案
          问题与答案
          技术支持
          说明书
          证书
          实验方案
          问题与答案
          技术支持
          说明书
          证书
          实验方案
          问题与答案
          技术支持

          Cite CYP2E1 Polyclonal Antibody

          Additional Information:
          {{banner.description}}
          {{$ctrl.isSkuNotesCollapsed ? 'View more' : 'View less'}}
          • 抗体检测数据 (5)
          CYP2E1 Antibody in Immunocytochemistry (ICC/IF)
          Group 53 Created with Sketch.
          CYP2E1 Antibody in Immunocytochemistry (ICC/IF)
          Group 53 Created with Sketch.

          图: 1 / 5

          {{ $ctrl.currentElement.advancedVerification.fullName }}
          {{ $ctrl.currentElement.advancedVerification.text }}

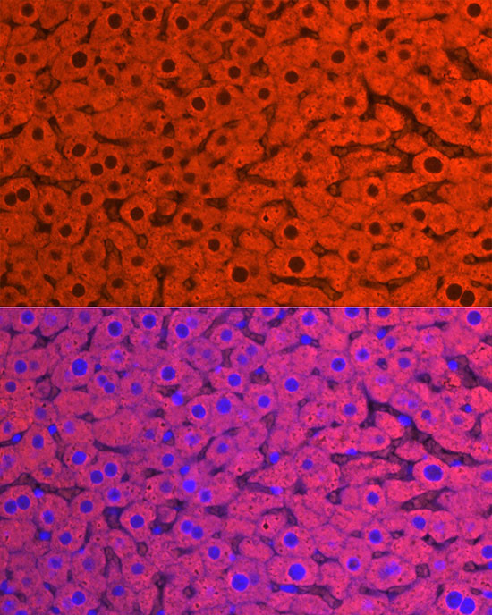
          CYP2E1 Antibody (PA5-120794) in ICC/IF

          Immunofluorescence analysis of CYP2E1 in mouse liver cells. Samples were incubated with CYP2E1 Polyclonal antibody (Product # PA5-120794) using a dilution of 1:50 (40x lens). Blue: DAPI for nuclear staining. {{ $ctrl.currentElement.advancedVerification.fullName }} 验证信息 View more
          已发表图片由___提供 benchsci-logo
          PMID: {{$ctrl.currentElement.benchSciPubmedId}}
          查看产品

          {{$ctrl.videoDesc}}

          {{$ctrl.videoLongDesc}}

          CYP2E1 Antibody in Immunocytochemistry (ICC/IF)
          CYP2E1 Antibody in Immunocytochemistry (ICC/IF)
          CYP2E1 Antibody in Immunohistochemistry (Paraffin) (IHC (P))
          CYP2E1 Antibody in Immunohistochemistry (Paraffin) (IHC (P))
          CYP2E1 Antibody in Western Blot (WB)
          CYP2E1 Polyclonal Antibody

          产品信息

          PA5-120794

          应用
          建议稀释比
          已发表文章

          免疫印迹 (WB)

          1:500-1:1,000
          -

          免疫组化(石蜡) (IHC (P))

          1:50-1:200
          -

          免疫细胞化学 (ICC/IF)

          1:50-1:200
          -

          酶联免疫吸附实验 (ELISA)

          1 µg/mL
          -
          产品规格

          种属反应

          Human, Mouse, Rat

          宿主/亚型

          Rabbit / IgG

          分类

          Polyclonal

          类型

          Antibody

          抗原

          Recombinant protein (or fragment)
          3D表位/免疫原

          偶联物

          Unconjugated Unconjugated Unconjugated

          形式

          Liquid

          浓度

          1.06 mg/mL

          规格

          106 µg

          纯化类型

          Affinity Chromatography

          保存液

          PBS, pH 7.3, with 50% glycerol

          内含物

          0.05% ProClin 300

          保存条件

          -20°C, Avoid Freeze/Thaw Cycles

          运输条件

          Ambient (domestic); Wet ice (international)

          RRID

          AB_2914366

          产品详细信息

          Positive test controls include: Mouse liver, Mouse kidney, Rat liver. The target is usually found in the following locations: Endoplasmic reticulum membrane, Microsome membrane, Peripheral membrane protein.

          Immunogen sequence: KVIKNVAEVK EYVSERVKEH HQSLDPNCPR DLTDCLLVEM EKEKHSAERL YTMDGITVTV ADLFFAGTET TSTTLRYGLL ILMKYPEIEE KLHEEIDRVI GPSRIPAIKD RQEMPYMDAV VHEIQRFITL VPSNLPHEAT RDTIFRGYLI PKGTVVVPTL DSVLYDNQEF PDPEKFKPEH FLNENGKFKY SDYFKPFSTG KRVCAGEGLA RMELFLLLCA ILQHFNLKPL VDPKDIDLSP IHIGFGCIPP RYKLCVIPRS

          靶标信息

          This gene encodes a member of the cytochrome P450 superfamily of enzymes. The cytochrome P450 proteins are monooxygenases which catalyze many reactions involved in drug metabolism and synthesis of cholesterol, steroids and other lipids. This protein localizes to the endoplasmic reticulum and is induced by ethanol, the diabetic state, and starvation. The enzyme metabolizes both endogenous substrates, such as ethanol, acetone, and acetal, as well as exogenous substrates including benzene, carbon tetrachloride, ethylene glycol, and nitrosamines which are premutagens found in cigarette smoke. Due to its many substrates, this enzyme may be involved in such varied processes as gluconeogenesis, hepatic cirrhosis, diabetes, and cancer.

          仅用于科研。不用于诊断过程。未经明确授权不得转售。

          篇参考文献 (0)

          您是否在文献中引用过该产品?请点击下方按钮邮件告知我们。
          引用该产品

          生物信息学

          蛋白别名: 4-nitrophenol 2-hydroxylase; CP2E1; CYPIIE1; Cytochrome P450 2E1; cytochrome P450 subfamily 2e1 (ethanol-inducible); cytochrome P450, 2e1, ethanol inducible; cytochrome P450, family 2, subfamily E, polypeptide 1; cytochrome P450, subfamily 2E, polypeptide 1; cytochrome P450, subfamily IIE (ethanol-inducible), polypeptide 1; Cytochrome P450-ALC; Cytochrome P450-J; cytochrome P450A; cytochrome P450j; Cytochrome P450RLM6; flavoprotein-linked monooxygenase; microsomal monooxygenase; microsomal monooxygenase; xenobiotic monooxygenase; P450-J; P450RLM6; unnamed protein product; xenobiotic monooxygenase

          查看更多 收起

          基因别名: CPE1; CYP2E; Cyp2e-1; CYP2E1; P450-J; P450C2E

          查看更多 收起

          UniProt ID: (Human) P05181, (Mouse) Q05421, (Rat) P05182

          查看更多 收起

          Entrez Gene ID: (Human) 1571, (Mouse) 13106, (Rat) 25086

          查看更多 收起

          功能
          monooxygenase activity iron ion binding arachidonic acid epoxygenase activity oxidoreductase activity oxidoreductase activity, acting on paired donors, with incorporation or reduction of molecular oxygen oxidoreductase activity, acting on paired donors, with incorporation or reduction of molecular oxygen, NAD(P)H as one donor, and incorporation of one atom of oxygen oxidoreductase activity, acting on paired donors, with incorporation or reduction of molecular oxygen, reduced flavin or flavoprotein as one donor, and incorporation of one atom of oxygen 4-nitrophenol 2-monooxygenase activity oxygen binding enzyme binding heme binding Hsp70 protein binding metal ion binding Hsp90 protein binding long-chain fatty acid omega-1 hydroxylase activity steroid hydroxylase activity 3-(3-hydroxyphenyl)propionate hydroxylase activity 4-chlorobenzaldehyde oxidase activity 3,5-xylenol methylhydroxylase activity phenylacetate hydroxylase activity 4-nitrophenol 4-monooxygenase activity dimethyl sulfide monooxygenase activity alpha-pinene monooxygenase [NADH] activity phenanthrene 9,10-monooxygenase activity 1-hydroxy-2-naphthoate hydroxylase activity toluene 4-monooxygenase activity xylene monooxygenase activity dibenzothiophene monooxygenase activity 6-hydroxy-3-methyl-2-oxo-1,2-dihydroquinoline 6-monooxygenase activity chlorophenol 4-monooxygenase activity carbon disulfide oxygenase activity toluene 2-monooxygenase activity 1-hydroxy-2-oxolimonene 1,2-monooxygenase activity phenanthrene 1,2-monooxygenase activity tetrahydrofuran hydroxylase activity styrene monooxygenase activity toluene-4-sulfonate monooxygenase activity toluene-sulfonate methyl-monooxygenase activity 3-methyl-2-oxo-1,2-dihydroquinoline 6-monooxygenase activity 2-hydroxy-phenylacetate hydroxylase activity 2-oxo-delta3-4,5,5-trimethylcyclopentenylacetyl-CoA 1,2-monooxygenase activity phenanthrene 3,4-monooxygenase activity toluene 3-monooxygenase activity 4-hydroxyphenylacetate,NADH:oxygen oxidoreductase (3-hydroxylating) activity limonene monooxygenase activity 2-methylnaphthalene hydroxylase activity 1-methylnaphthalene hydroxylase activity bisphenol A hydroxylase A activity salicylate 5-hydroxylase activity isobutylamine N-hydroxylase activity branched-chain dodecylbenzene sulfonate monooxygenase activity 3-HSA hydroxylase activity 4-hydroxypyridine-3-hydroxylase activity 2-octaprenyl-3-methyl-6-methoxy-1,4-benzoquinol hydroxylase activity 6-hydroxynicotinate 3-monooxygenase activity tocotrienol omega-hydroxylase activity thalianol hydroxylase activity FMN binding oxidoreductase oxygenase metabolite interconversion enzyme
          参与通路
          long-chain fatty acid metabolic process lipid hydroxylation lipid metabolic process fatty acid metabolic process xenobiotic metabolic process steroid metabolic process response to bacterium monoterpenoid metabolic process carbon tetrachloride metabolic process benzene metabolic process 4-nitrophenol metabolic process epoxygenase P450 pathway halogenated hydrocarbon metabolic process long-chain fatty acid biosynthetic process triglyceride metabolic process drug metabolic process exogenous drug catabolic process heterocycle metabolic process oxidation-reduction process response to ozone response to organonitrogen compound response to drug response to ethanol
          It has to be done as per old AB suggested Products section.

          Disclaimer

          Close

          Clicking the images or links will redirect you to a website hosted by BenchSci that provides third-party scientific content. Neither the content nor the BenchSci technology and processes for selection have been evaluated by us; we are providing them as-is and without warranty of any kind, including for use or application of the Thermo Fisher Scientific products presented.

          guarantee_icon

          性能保障

          只要您发现Invitrogen抗体在实验中的表现与网站或说明书的所述内容不符,您即可享受免费退换货服务。*

          了解更多
          help_icon

          随时为您服务

          获取常见问题的专家解答,或者直接联系我们的技术专家,咨询应用、设备、常规产品使用问题。

          联系技术支持
          订购 Plus Icon Minus Icon
          • 订单状态查询
          • 订单支持
          • 货号直购
          • 现货供应中心
          • 电子采购
          支持 Plus Icon Minus Icon
          • 帮助&支持
          • 联系我们 - 400 820 8982
          • 技术支持中心
          • 查找文件&证书
          • 报告网站问题
          资源 Plus Icon Minus Icon
          • 学习中心
          • 促销
          • 活动&研讨会
          • 社交媒体
          关于赛默飞 Plus Icon Minus Icon
          • 关于我们
          • 招聘 招聘
          • 投资者关系 投资者关系
          • 新闻 新闻
          • 社会责任 社会责任
          • 商标
          • 政策和通知
          品牌 Plus Icon Minus Icon
          • Thermo Scientific
          • Applied Biosystems
          • Invitrogen
          • Gibco
          • Ion Torrent
          • Unity Lab Services
          • Patheon
          • PPD
          • 服务条款
          • 隐私政策
          • 定价和运输保险政策
          © 2006-2026 Thermo Fisher Scientific Inc. All rights reserved. All trademarks are the property of Thermo Fisher Scientific and its subsidiaries unless otherwise specified.
          China flag icon
          China
          本网站销售的所有产品均不得用于人类或动物之临床诊断或治疗,仅可用于工业或者科研等非医疗目的。
             电子营业执照 | 经营证照公示 | ICP备案号:沪ICP备11003924号 | 沪公网安备 31011502006935号

          Your items have has been added!


          Host server : magellan-search-green-6479c7f679-zb4k5:80/100.66.74.142:80.
          git-commit: b70c0dceb888abc3b0dcebb5bc3a5b8753e7e816
          git-url: https://github.com/thermofisher/magellan-search
          git-branch: release/2.50.0-Offline