Hamburger Menu Button
Thermo Fisher Scientific Logo
登录
没有账号?建立账号 注册
  • 产品
    • 抗体
    • 引物合成
    • GeneArt Gene Synthesis Instant Designer
    • TaqMan Assay and Array Search
    • PCR 设备和耗材
    • 色谱柱和纯化柱
    • 实验室离心机
    • 分子生物学试剂和试剂盒
    • 实验室塑料耗材及用品
    • 查看所有产品分类
  • 应用和技术
    • 色谱
    • 细胞转染和培养
    • 实时荧光定量PCR
    • 质谱
    • 实验室塑料耗材及用品
    • 电子显微镜
    • 蛋白质生物学
    • PCR
    • RNAi
    • 环境
    • 查看所有应用和技术
  • 服务
    • 定制服务
    • 企业级实验室信息化服务
    • 金融&租赁服务
    • 仪器服务
    • OEM和商业供应
    • 培训服务
    • 360° CDMO 和 CRO 服务
    • CDMO 服务
    • 临床试验 CRO 服务
    • Unity Lab Services
    • 查看所有帮助和支持
  • 帮助和支持
    • 学习中心
    • 联系我们
    • 更改国家或地区
    • 查看所有帮助和支持
  • 热门产品
    • TaqMan Real-Time PCR Assays
      TaqMan 实时荧光定量 PCR 试剂盒
    • Antibodies
      抗体
    • Oligos, Primers & Probes
      寡核苷酸、引物、探针
    • GeneArt Gene Synthesis
      GeneArt 基因合成
    • Cell Culture Plastics
      细胞培养耗材
  • Who We Serve
    • 抗体治疗解决方案
    • 细胞与基因治疗解决方案
    • 学术科研
    • 工业与应用
  • 联系我们
  • 货号直购
  • 订单查询
  • 查找文件&证书
Thermo Fisher Scientific Logo

Search

搜索全部或下列指定分类
Search button
          • 联系我们
          • 货号直购
          • 登录
            登录
            没有账号?建立账号 注册
            • 我的账号
            • 订单
            • 会员中心
            • 账单及发票查询
            • 定制产品及项目
          • Primary Antibodies ›
          • CaMKII alpha/delta Antibodies

          Invitrogen

          CaMKII alpha/delta Polyclonal Antibody

          查看其他2个CaMKII alpha/delta抗体

          {{$productOrderCtrl.translations['antibody.pdp.commerceCard.promotion.promotions']}}

          {{$productOrderCtrl.translations['antibody.pdp.commerceCard.promotion.viewpromo']}}

          {{$productOrderCtrl.translations['antibody.pdp.commerceCard.promotion.promocode']}}: {{promo.promoCode}} {{promo.promoTitle}} {{promo.promoDescription}}. {{$productOrderCtrl.translations['antibody.pdp.commerceCard.promotion.learnmore']}}

          说明书
          证书
          实验方案
          问题与答案
          技术支持
          说明书
          证书
          实验方案
          问题与答案
          技术支持
          说明书
          证书
          实验方案
          问题与答案
          技术支持

          Cite CaMKII alpha/delta Polyclonal Antibody

          Additional Information:
          {{banner.description}}
          {{$ctrl.isSkuNotesCollapsed ? 'View more' : 'View less'}}
          • 抗体检测数据 (3)
          CaMKII alpha/delta Antibody in Immunohistochemistry (Paraffin) (IHC (P))
          Group 53 Created with Sketch.
          CaMKII alpha/delta Antibody in Immunohistochemistry (Paraffin) (IHC (P))
          Group 53 Created with Sketch.

          图: 1 / 3

          {{ $ctrl.currentElement.advancedVerification.fullName }}
          {{ $ctrl.currentElement.advancedVerification.text }}

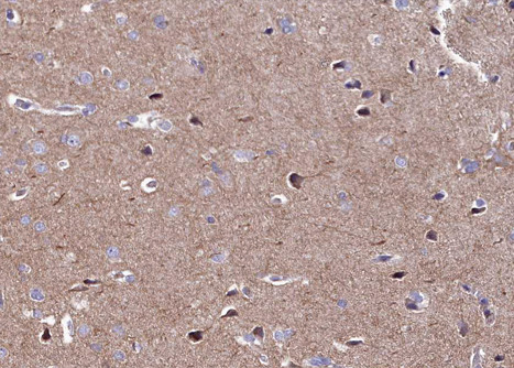
          CaMKII alpha/delta Antibody (PA5-114937) in IHC (P)

          Immunohistochemistry analysis of CaMKII alpha/delta in human brain tissue sections. Samples were treated with formaldehyde and treated with citrate buffer for antigen retrieval, blocked, and incubated (1.5 hours at 22°C) with polyclonal antibody (Product # PA5-114937) at a dilution of 1:100. Secondary staining was applied with HRP conjugated goat anti-rabbit. {{ $ctrl.currentElement.advancedVerification.fullName }} 验证信息 View more
          已发表图片由___提供 benchsci-logo
          PMID: {{$ctrl.currentElement.benchSciPubmedId}}
          查看产品

          {{$ctrl.videoDesc}}

          {{$ctrl.videoLongDesc}}

          CaMKII alpha/delta Antibody in Immunohistochemistry (Paraffin) (IHC (P))
          CaMKII alpha/delta Antibody in Immunohistochemistry (Paraffin) (IHC (P))
          CaMKII alpha/delta Antibody in Western Blot (WB)
          CaMKII alpha/delta Polyclonal Antibody

          产品信息

          PA5-114937

          应用
          建议稀释比
          已发表文章

          免疫印迹 (WB)

          1:500-1:2,000
          -

          免疫组化(石蜡) (IHC (P))

          1:50-1:200
          -

          免疫细胞化学 (ICC/IF)

          1:100-1:500
          -
          产品规格

          种属反应

          Human, Mouse, Rat

          宿主/亚型

          Rabbit / IgG

          分类

          Polyclonal

          类型

          Antibody

          抗原

          A synthesized peptide derived from human CAMK2A(Accession Q9UQM7), corresponding to amino acid residues A262-N312.
          3D表位/免疫原

          偶联物

          Unconjugated Unconjugated Unconjugated

          形式

          Liquid

          浓度

          1 mg/mL

          规格

          100 µg

          纯化类型

          Affinity chromatography

          保存液

          PBS with 50% glycerol

          内含物

          0.02% sodium azide

          保存条件

          -20°C

          运输条件

          Ambient (domestic); Wet ice (international)

          RRID

          AB_2899573

          产品详细信息

          Antibody detects endogenous levels of total CaMK2 alpha/delta.

          靶标信息

          The Ca2+/calmodulin-dependent protein kinases (CaM kinases) comprise a structurally related subfamily of serine/threonine kinases which include CaMKI, CaMKII and CaMKIV. CaMKII is an ubiquitously expressed serine/threonine protein kinase that is activated by Ca2+ and calmodulin (CaM) and has been implicated in regulation of the cell cycle and transcription. There are four CaMKII isozymes, designated alpha, beta, gamma and delta, which may or may not be co-expressed in the same tissue type. CaMKII alpha is autophosphorylated on Thr 286 upon the binding of the Ca2+/CaM complex to the autoinhibitory domain of CaMKII. This process is called Ca2+/CaM trapping, which is thought to be involved in the synaptic encoding of information.

          仅用于科研。不用于诊断过程。未经明确授权不得转售。

          篇参考文献 (0)

          您是否在文献中引用过该产品?请点击下方按钮邮件告知我们。
          引用该产品

          生物信息学

          蛋白别名: alpha CaM kinase II; alpha-CaMKII; Ca++/calmodulin-dependent protein kinase 2 delta subunit; Ca++/calmodulin-dependent protein kinase II delta subunit; Ca++/calmodulin-dependent protein kinase II, delta subunit; Ca2+/calmodulin-dependent protein kinase II alpha; Calcium, calmodulin-dependent protein kinase, type II; calcium/calmodulin-dependent protein kinase (CaM kinase) II alpha; calcium/calmodulin-dependent protein kinase (CaM kinase) II delta; calcium/calmodulin-dependent protein kinase II alpha subunit; calcium/calmodulin-dependent protein kinase II alpha-B subunit; calcium/calmodulin-dependent protein kinase type II alpha chain; calcium/calmodulin-dependent protein kinase type II delta chain; Calcium/calmodulin-dependent protein kinase type II subunit alpha; Calcium/calmodulin-dependent protein kinase type II subunit delta; CaM kinase II; CaM kinase II alpha subunit; CaM kinase II delta subunit; CaM kinase II subunit alpha; CaM kinase II subunit delta; CaM-kinase II alpha chain; CaM-kinase II delta chain; CaMK II; CaMK-2 delta; CaMK-2a; CaMK-II alpha subunit; CaMK-II delta subunit; caMK-II subunit alpha; caMK-II subunit delta; CaMK2 delta; CaMK2- delta; CaMK2-a; unnamed protein product

          查看更多 收起

          基因别名: 2810011D23Rik; 8030469K03Rik; [d]-CaMKII; CaMK II; CAMK1; Camk2; CAMK2A; CAMK2D; CAMKA; CAMKD; Camki; CaMKII; CaMKIIalpha; CaMKIINalpha; KIAA0968; Kiaa4163; mKIAA0968; MRD53; MRT63; PK2CDD; PKCCD; R74975; RATCAMKI

          查看更多 收起

          UniProt ID: (Human) Q9UQM7, (Human) Q13557, (Mouse) P11798, (Rat) P11275, (Rat) P15791, (Mouse) Q6PHZ2

          查看更多 收起

          Entrez Gene ID: (Human) 815, (Human) 817, (Mouse) 12322, (Rat) 25400, (Rat) 24246, (Mouse) 108058

          查看更多 收起

          功能
          nucleotide binding protein kinase activity protein serine/threonine kinase activity calmodulin-dependent protein kinase activity protein binding calmodulin binding ATP binding kinase activity transferase activity glutamate receptor binding identical protein binding protein homodimerization activity metal ion binding protein serine kinase activity sodium channel inhibitor activity titin binding ion channel binding transferase activity, transferring phosphorus-containing groups GTPase activating protein binding nitric-oxide synthase binding non-receptor serine/threonine protein kinase
          参与通路
          G1/S transition of mitotic cell cycle response to ischemia protein phosphorylation calcium ion transport JAK-STAT cascade positive regulation of cardiac muscle cell apoptotic process cellular response to interferon-beta angiotensin-activated signaling pathway positive regulation of JAK-STAT cascade regulation of neurotransmitter secretion regulation of neuronal synaptic plasticity positive regulation of NF-kappaB transcription factor activity negative regulation of hydrolase activity positive regulation of calcium ion transport long-term synaptic potentiation dendritic spine development cellular response to interferon-gamma regulation of mitochondrial membrane permeability involved in apoptotic process regulation of protein localization to plasma membrane peptidyl-threonine autophosphorylation regulation of endocannabinoid signaling pathway regulation of neuron migration regulation of cell growth regulation of the force of heart contraction regulation of membrane depolarization regulation of transcription from RNA polymerase II promoter regulation of heart contraction positive regulation of cardiac muscle hypertrophy regulation of cell communication by electrical coupling regulation of release of sequestered calcium ion into cytosol by sarcoplasmic reticulum regulation of cardiac muscle contraction by regulation of the release of sequestered calcium ion endoplasmic reticulum calcium ion homeostasis relaxation of cardiac muscle regulation of ryanodine-sensitive calcium-release channel activity regulation of cellular localization cellular response to calcium ion cardiac muscle cell contraction regulation of heart rate by cardiac conduction regulation of cardiac muscle cell action potential regulation of cardiac muscle cell action potential involved in regulation of contraction regulation of cell communication by electrical coupling involved in cardiac conduction regulation of relaxation of cardiac muscle negative regulation of sodium ion transmembrane transport regulation of calcium ion transmembrane transport via high voltage-gated calcium channel phosphorylation peptidyl-serine phosphorylation ionotropic glutamate receptor signaling pathway protein autophosphorylation response to hypoxia regulation of sodium ion transport regulation of G2/M transition of mitotic cell cycle positive regulation of smooth muscle cell migration peptidyl-threonine phosphorylation cellular potassium ion homeostasis positive regulation of Rac protein signal transduction positive regulation of smooth muscle cell proliferation protein oligomerization cardiac muscle contraction cell growth involved in cardiac muscle cell development positive regulation of ERK1 and ERK2 cascade negative regulation of sodium ion transmembrane transporter activity
          It has to be done as per old AB suggested Products section.

          Disclaimer

          Close

          Clicking the images or links will redirect you to a website hosted by BenchSci that provides third-party scientific content. Neither the content nor the BenchSci technology and processes for selection have been evaluated by us; we are providing them as-is and without warranty of any kind, including for use or application of the Thermo Fisher Scientific products presented.

          guarantee_icon

          性能保障

          只要您发现Invitrogen抗体在实验中的表现与网站或说明书的所述内容不符,您即可享受免费退换货服务。*

          了解更多
          help_icon

          随时为您服务

          获取常见问题的专家解答,或者直接联系我们的技术专家,咨询应用、设备、常规产品使用问题。

          联系技术支持
          订购 Plus Icon Minus Icon
          • 订单状态查询
          • 订单支持
          • 货号直购
          • 现货供应中心
          • 电子采购
          支持 Plus Icon Minus Icon
          • 帮助&支持
          • 联系我们 - 400 820 8982
          • 技术支持中心
          • 查找文件&证书
          • 报告网站问题
          资源 Plus Icon Minus Icon
          • 学习中心
          • 促销
          • 活动&研讨会
          • 社交媒体
          关于赛默飞 Plus Icon Minus Icon
          • 关于我们
          • 招聘 招聘
          • 投资者关系 投资者关系
          • 新闻 新闻
          • 社会责任 社会责任
          • 商标
          • 政策和通知
          品牌 Plus Icon Minus Icon
          • Thermo Scientific
          • Applied Biosystems
          • Invitrogen
          • Gibco
          • Ion Torrent
          • Unity Lab Services
          • Patheon
          • PPD
          • 服务条款
          • 隐私政策
          • 定价和运输保险政策
          © 2006-2026 Thermo Fisher Scientific Inc. All rights reserved. All trademarks are the property of Thermo Fisher Scientific and its subsidiaries unless otherwise specified.
          China flag icon
          China
          本网站销售的所有产品均不得用于人类或动物之临床诊断或治疗,仅可用于工业或者科研等非医疗目的。
             电子营业执照 | 经营证照公示 | ICP备案号:沪ICP备11003924号 | 沪公网安备 31011502006935号

          Your items have has been added!


          Host server : magellan-search-green-6479c7f679-v472f:80/100.66.78.195:80.
          git-commit: b70c0dceb888abc3b0dcebb5bc3a5b8753e7e816
          git-url: https://github.com/thermofisher/magellan-search
          git-branch: release/2.50.0-Offline