Hamburger Menu Button
Thermo Fisher Scientific Logo
登录
没有账号?建立账号 注册
  • 产品
    • 抗体
    • 引物合成
    • GeneArt Gene Synthesis Instant Designer
    • TaqMan Assay and Array Search
    • PCR 设备和耗材
    • 色谱柱和纯化柱
    • 实验室离心机
    • 分子生物学试剂和试剂盒
    • 实验室塑料耗材及用品
    • 查看所有产品分类
  • 应用和技术
    • 色谱
    • 细胞转染和培养
    • 实时荧光定量PCR
    • 质谱
    • 实验室塑料耗材及用品
    • 电子显微镜
    • 蛋白质生物学
    • PCR
    • RNAi
    • 环境
    • 查看所有应用和技术
  • 服务
    • 定制服务
    • 企业级实验室信息化服务
    • 金融&租赁服务
    • 仪器服务
    • OEM和商业供应
    • 培训服务
    • 360° CDMO 和 CRO 服务
    • CDMO 服务
    • 临床试验 CRO 服务
    • Unity Lab Services
    • 查看所有帮助和支持
  • 帮助和支持
    • 学习中心
    • 联系我们
    • 更改国家或地区
    • 查看所有帮助和支持
  • 热门产品
    • TaqMan Real-Time PCR Assays
      TaqMan 实时荧光定量 PCR 试剂盒
    • Antibodies
      抗体
    • Oligos, Primers & Probes
      寡核苷酸、引物、探针
    • GeneArt Gene Synthesis
      GeneArt 基因合成
    • Cell Culture Plastics
      细胞培养耗材
  • Who We Serve
    • 抗体治疗解决方案
    • 细胞与基因治疗解决方案
    • 学术科研
    • 工业与应用
  • 联系我们
  • 货号直购
  • 订单查询
  • 查找文件&证书
Thermo Fisher Scientific Logo

Search

搜索全部或下列指定分类
Search button
          • 联系我们
          • 货号直购
          • 登录
            登录
            没有账号?建立账号 注册
            • 我的账号
            • 订单
            • 会员中心
            • 账单及发票查询
            • 定制产品及项目
          • Primary Antibodies ›
          • CaV1.1 Antibodies

          Invitrogen

          CaV1.1 Monoclonal Antibody (1A)

          高级验证
          30个已发表图片
          83 篇参考文献
          查看其他6个CaV1.1抗体

          {{$productOrderCtrl.translations['antibody.pdp.commerceCard.promotion.promotions']}}

          {{$productOrderCtrl.translations['antibody.pdp.commerceCard.promotion.viewpromo']}}

          {{$productOrderCtrl.translations['antibody.pdp.commerceCard.promotion.promocode']}}: {{promo.promoCode}} {{promo.promoTitle}} {{promo.promoDescription}}. {{$productOrderCtrl.translations['antibody.pdp.commerceCard.promotion.learnmore']}}

          说明书
          证书
          实验方案
          问题与答案
          技术支持
          说明书
          证书
          实验方案
          问题与答案
          技术支持
          说明书
          证书
          实验方案
          问题与答案
          技术支持

          Cite CaV1.1 Monoclonal Antibody (1A)

          Additional Information:
          {{banner.description}}
          {{$ctrl.isSkuNotesCollapsed ? 'View more' : 'View less'}}
          • 抗体检测数据 (2)
          • 已发表图片 (30)
          • 高级验证 (1)
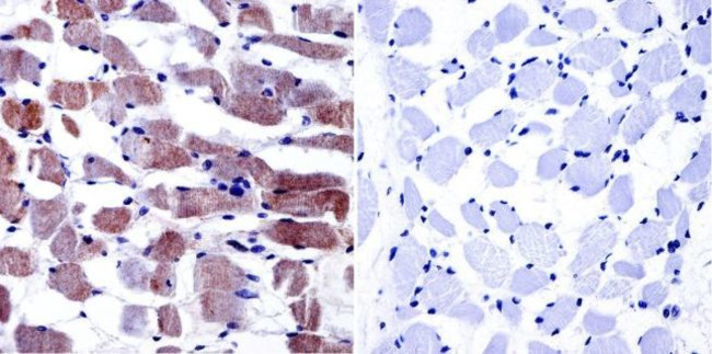
          CaV1.1 Antibody in Immunohistochemistry (Paraffin) (IHC (P))
          Group 53 Created with Sketch.
          CaV1.1 Antibody in Immunohistochemistry (Paraffin) (IHC (P))
          Group 53 Created with Sketch.

          图: 1 / 33

          {{ $ctrl.currentElement.advancedVerification.fullName }}
          {{ $ctrl.currentElement.advancedVerification.text }}

          CaV1.1 Antibody (MA3-920) in IHC (P)

          Immunohistochemistry was performed on normal biopsies of deparaffinized human skeletal muscle tissue. To expose target proteins, heat induced antigen retrieval was performed using 10mM sodium citrate (pH6.0) buffer, microwaved for 8-15 minutes. Following antigen retrieval tissues were blocked in 3% BSA-PBS for 30 minutes at room temperature. Tissues were then probed at a dilution of 1:20 with a Mouse Monocl... View More {{ $ctrl.currentElement.advancedVerification.fullName }} 验证信息 View more
          已发表图片由___提供 benchsci-logo
          PMID: {{$ctrl.currentElement.benchSciPubmedId}}
          查看产品

          {{$ctrl.videoDesc}}

          {{$ctrl.videoLongDesc}}

          CaV1.1 Antibody in Immunohistochemistry (Paraffin) (IHC (P))
          CaV1.1 Antibody in Flow Cytometry (Flow)
          CaV1.1 Antibody in Immunohistochemistry (IHC)
          CaV1.1 Antibody in Immunocytochemistry (ICC/IF)
          CaV1.1 Antibody in Immunocytochemistry (ICC/IF)
          CaV1.1 Antibody in Western Blot, Immunocytochemistry (WB, ICC/IF)
          CaV1.1 Antibody in Immunohistochemistry, Immunocytochemistry (IHC, ICC/IF)
          CaV1.1 Antibody in Immunohistochemistry (IHC)
          CaV1.1 Antibody in Immunohistochemistry (IHC)
          CaV1.1 Antibody in Immunohistochemistry (IHC)
          CaV1.1 Antibody in Immunohistochemistry (IHC)
          CaV1.1 Antibody in Western Blot, Immunohistochemistry (WB, IHC)
          CaV1.1 Antibody in Immunohistochemistry (IHC)
          CaV1.1 Antibody in Immunohistochemistry (IHC)
          CaV1.1 Antibody in Immunohistochemistry (IHC)
          CaV1.1 Antibody in Western Blot (WB)
          CaV1.1 Antibody in Western Blot (WB)
          CaV1.1 Antibody in Western Blot (WB)
          CaV1.1 Antibody in Western Blot (WB)
          CaV1.1 Antibody in Western Blot (WB)
          CaV1.1 Antibody in Western Blot (WB)
          CaV1.1 Antibody in Western Blot (WB)
          CaV1.1 Antibody in Western Blot (WB)
          CaV1.1 Antibody in Western Blot (WB)
          CaV1.1 Antibody in Western Blot (WB)
          CaV1.1 Antibody in Western Blot (WB)
          CaV1.1 Antibody in Western Blot (WB)
          CaV1.1 Antibody in Western Blot (WB)
          CaV1.1 Antibody in Western Blot (WB)
          CaV1.1 Antibody in Western Blot (WB)
          CaV1.1 Antibody in Western Blot (WB)
          CaV1.1 Antibody in Immunomicroscopy (IM)
          CaV1.1 Antibody
          CaV1.1 Monoclonal Antibody (1A)

          产品信息

          MA3-920

          应用
          建议稀释比
          已发表文章

          免疫印迹 (WB)

          1:500
          查看43篇已发表文章 43篇已发表文章

          免疫组化 (IHC)

          -
          查看22篇已发表文章 22篇已发表文章

          免疫组化(石蜡) (IHC (P))

          1:20
          -

          免疫组化(冰冻) (IHC (F))

          1:200
          查看1篇已发表文章 1篇已发表文章

          免疫细胞化学 (ICC/IF)

          -
          查看15篇已发表文章 15篇已发表文章

          流式细胞分析 (Flow)

          1 µg/test
          -

          免疫沉淀 (IP)

          Assay-dependent
          查看1篇已发表文章 1篇已发表文章

          免疫电镜技术 (IM)

          -
          查看1篇已发表文章 1篇已发表文章
          产品规格

          种属反应

          Guinea pig, Human, Mouse, Rabbit, Rat

          已发表种属

          Fish, Human, Mouse, Non-human primate, Rabbit, Rat, Zebrafish

          宿主/亚型

          Mouse / IgG1

          分类

          Monoclonal

          类型

          Antibody

          克隆号

          1A

          抗原

          Purified rabbit muscle T-tubule dihydropyridine receptor.
          3D表位/免疫原

          偶联物

          Unconjugated Unconjugated Unconjugated

          形式

          Liquid

          浓度

          1 mg/mL

          规格

          200 µg

          纯化类型

          Protein A

          保存液

          PBS, pH 7.4

          内含物

          0.05% sodium azide

          保存条件

          -20°C, Avoid Freeze/Thaw Cycles

          运输条件

          Ambient (domestic); Wet ice (international)

          RRID

          AB_2069575

          产品详细信息

          MA3-920 detects 1,4-dihydropyridine (DHP) receptor alpha-1 subunit in human, rat, mouse, guinea pig and rabbit skeletal muscle. The DHP Receptor alpha-1 protein is also known as CACNA1S or Cav1.1 alpha-1 subunit.

          MA3-920 has been successfully used in Western blot, FACS, immunohistochemistry and immunoprecipitation procedures. By Western blot, this antibody detects an ~200 kDa protein representing the DHP receptor in rat skeletal muscle extracts. Immunohistochemical staining of DHP receptor in rabbit skeletal muscle with MA3-920 results in double rows of discrete punctate staining representing pairs of triads on the opposing sides of the Z-lines. This product can be used to inhibit the DHP-sensitive calcium current in BC3H1 mouse muscle cells.

          The MA3-920 antigen is purified rabbit muscle T-tubule DHP receptor.

          靶标信息

          Voltage-sensitive calcium channels mediate the entry of calcium into many types of excitable cells and thus play a key role in neurotransmitter release and excitation-contraction (E-C) coupling. The 1,4-dihydropyridines (DHPs) are synthetic organic compounds which can be used to identify the L-type calcium channels that are found in all types of vertebrate muscle, neuronal and neuroendocrine cells. The DHP receptor is part of the L-type calcium channel complex and is thought to be the voltage sensor in E-C coupling. The purified DHP receptor isolated from triads is composed of at least four subunits. The alpha-1 subunit contains the binding site for the DHPs and shows high sequence homology to the voltage gated sodium channel. The alpha-2 subunit is a large glycoprotein associated with the DHP receptor which was first described in skeletal muscle and is also found in high concentrations in other excitable tissues such as cardiac muscle and brain and in low concentrations in most other tissues studied. The other two subunits that co-purify with the DHP receptor are termed beta and gamma.

          仅用于科研。不用于诊断过程。未经明确授权不得转售。

          生物信息学

          蛋白别名: Calcium channel, L type, alpha-1 polypeptide, isoform 3, skeletal muscle; calcium channel, voltage-dependent, L type, alpha 1S subunit; Cav1.1 alpha-1; DHP; DHPR; DHPR alpha1s; dihydropyridine calcium channel receptor protein; Dihydropyridine receptor; dihydropyridine receptor alpha 1 subunit; dihydropyridine receptor alpha 1S; Dihydropyridine receptor alpha-1S subunit; dihydropyridine-sensitive L-type calcium channel alpha-1 subunit; muscle dysgenesis; ROB1; unnamed protein product; Voltage-dependent L-type calcium channel subunit alpha-1S; Voltage-gated calcium channel subunit alpha Cav1.1

          查看更多 收起

          基因别名: AW493108; CACH1; Cach1b; CACN1; CACNA1S; CACNL1A3; Cav1.1; CCHL1A3; CMYO18; CMYP18; DHPR; DHPRM; fmd; HOKPP; HOKPP1; hypoPP; mdg; MHS5; sj; TTPP1

          查看更多 收起

          UniProt ID: (Rabbit) P07293, (Human) Q13698, (Rat) P70484, (Mouse) Q02789

          查看更多 收起

          Entrez Gene ID: (Rabbit) 100009585, (Human) 779, (Rat) 682930, (Mouse) 12292, (Guinea pig) 100734741

          查看更多 收起

          功能
          ion channel activity voltage-gated calcium channel activity calcium channel activity protein binding calmodulin binding high voltage-gated calcium channel activity small molecule binding metal ion binding molecular function activator activity voltage-gated ion channel activity voltage-gated ion channel
          参与通路
          skeletal system development extraocular skeletal muscle development ion transport calcium ion transport muscle contraction striated muscle contraction endoplasmic reticulum organization skeletal muscle tissue development myoblast fusion neuromuscular junction development ion transmembrane transport skeletal muscle adaptation positive regulation of muscle contraction skeletal muscle fiber development release of sequestered calcium ion into cytosol muscle cell development transmembrane transport calcium ion transmembrane transport cellular response to caffeine calcium ion import across plasma membrane ossification regulation of ion transmembrane transport calcium ion import membrane depolarization during action potential transport
          It has to be done as per old AB suggested Products section.

          Disclaimer

          Close

          Clicking the images or links will redirect you to a website hosted by BenchSci that provides third-party scientific content. Neither the content nor the BenchSci technology and processes for selection have been evaluated by us; we are providing them as-is and without warranty of any kind, including for use or application of the Thermo Fisher Scientific products presented.

          guarantee_icon

          性能保障

          只要您发现Invitrogen抗体在实验中的表现与网站或说明书的所述内容不符,您即可享受免费退换货服务。*

          了解更多
          help_icon

          随时为您服务

          获取常见问题的专家解答,或者直接联系我们的技术专家,咨询应用、设备、常规产品使用问题。

          联系技术支持
          订购 Plus Icon Minus Icon
          • 订单状态查询
          • 订单支持
          • 货号直购
          • 现货供应中心
          • 电子采购
          支持 Plus Icon Minus Icon
          • 帮助&支持
          • 联系我们 - 400 820 8982
          • 技术支持中心
          • 查找文件&证书
          • 报告网站问题
          资源 Plus Icon Minus Icon
          • 学习中心
          • 促销
          • 活动&研讨会
          • 社交媒体
          关于赛默飞 Plus Icon Minus Icon
          • 关于我们
          • 招聘 招聘
          • 投资者关系 投资者关系
          • 新闻 新闻
          • 社会责任 社会责任
          • 商标
          • 政策和通知
          品牌 Plus Icon Minus Icon
          • Thermo Scientific
          • Applied Biosystems
          • Invitrogen
          • Gibco
          • Ion Torrent
          • Unity Lab Services
          • Patheon
          • PPD
          • 服务条款
          • 隐私政策
          • 定价和运输保险政策
          © 2006-2026 Thermo Fisher Scientific Inc. All rights reserved. All trademarks are the property of Thermo Fisher Scientific and its subsidiaries unless otherwise specified.
          China flag icon
          China
          本网站销售的所有产品均不得用于人类或动物之临床诊断或治疗,仅可用于工业或者科研等非医疗目的。
             电子营业执照 | 经营证照公示 | ICP备案号:沪ICP备11003924号 | 沪公网安备 31011502006935号

          Your items have has been added!


          Host server : magellan-search-green-6479c7f679-zb4k5:80/100.66.74.142:80.
          git-commit: b70c0dceb888abc3b0dcebb5bc3a5b8753e7e816
          git-url: https://github.com/thermofisher/magellan-search
          git-branch: release/2.50.0-Offline