Hamburger Menu Button
Thermo Fisher Scientific Logo
登录
没有账号?建立账号 注册
  • 产品
    • 抗体
    • 引物合成
    • GeneArt Gene Synthesis Instant Designer
    • TaqMan Assay and Array Search
    • PCR 设备和耗材
    • 色谱柱和纯化柱
    • 实验室离心机
    • 分子生物学试剂和试剂盒
    • 实验室塑料耗材及用品
    • 查看所有产品分类
  • 应用和技术
    • 色谱
    • 细胞转染和培养
    • 实时荧光定量PCR
    • 质谱
    • 实验室塑料耗材及用品
    • 电子显微镜
    • 蛋白质生物学
    • PCR
    • RNAi
    • 环境
    • 查看所有应用和技术
  • 服务
    • 定制服务
    • 企业级实验室信息化服务
    • 金融&租赁服务
    • 仪器服务
    • OEM和商业供应
    • 培训服务
    • 360° CDMO 和 CRO 服务
    • CDMO 服务
    • 临床试验 CRO 服务
    • Unity Lab Services
    • 查看所有帮助和支持
  • 帮助和支持
    • 学习中心
    • 联系我们
    • 更改国家或地区
    • 查看所有帮助和支持
  • 热门产品
    • TaqMan Real-Time PCR Assays
      TaqMan 实时荧光定量 PCR 试剂盒
    • Antibodies
      抗体
    • Oligos, Primers & Probes
      寡核苷酸、引物、探针
    • GeneArt Gene Synthesis
      GeneArt 基因合成
    • Cell Culture Plastics
      细胞培养耗材
  • Who We Serve
    • 抗体治疗解决方案
    • 细胞与基因治疗解决方案
    • 学术科研
    • 工业与应用
  • 联系我们
  • 货号直购
  • 订单查询
  • 查找文件&证书
Thermo Fisher Scientific Logo

Search

搜索全部或下列指定分类
Search button
          • 联系我们
          • 货号直购
          • 登录
            登录
            没有账号?建立账号 注册
            • 我的账号
            • 订单
            • 会员中心
            • 账单及发票查询
            • 定制产品及项目
          • Primary Antibodies ›
          • Pan-cadherin Antibodies

          AbboMax

          Cadherin (pan) Polyclonal Antibody

          查看其他11个Pan-cadherin抗体

          {{$productOrderCtrl.translations['antibody.pdp.commerceCard.promotion.promotions']}}

          {{$productOrderCtrl.translations['antibody.pdp.commerceCard.promotion.viewpromo']}}

          {{$productOrderCtrl.translations['antibody.pdp.commerceCard.promotion.promocode']}}: {{promo.promoCode}} {{promo.promoTitle}} {{promo.promoDescription}}. {{$productOrderCtrl.translations['antibody.pdp.commerceCard.promotion.learnmore']}}

          说明书
          证书
          实验方案
          问题与答案
          技术支持
          说明书
          证书
          实验方案
          问题与答案
          技术支持
          说明书
          证书
          实验方案
          问题与答案
          技术支持

          Cite Cadherin (pan) Polyclonal Antibody

          Additional Information:
          {{banner.description}}
          {{$ctrl.isSkuNotesCollapsed ? 'View more' : 'View less'}}
          • 抗体检测数据 (1)
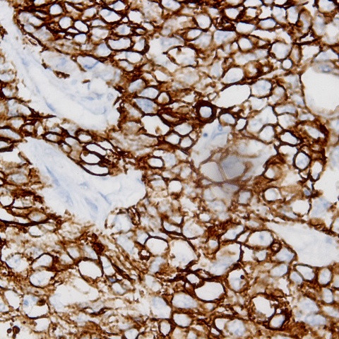
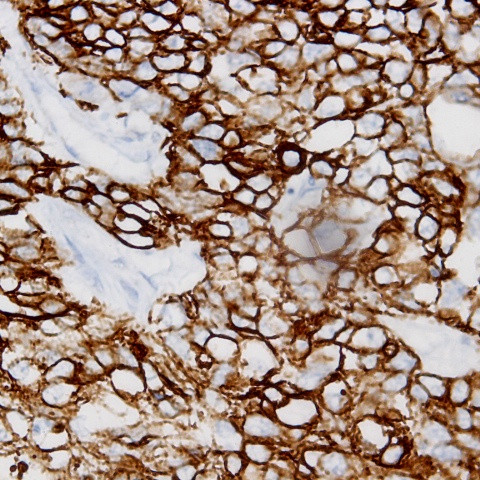
          Cadherin (pan) Antibody in Immunohistochemistry (Paraffin) (IHC (P))
          Group 53 Created with Sketch.
          Cadherin (pan) Antibody in Immunohistochemistry (Paraffin) (IHC (P))
          Group 53 Created with Sketch.

          图: 1 / 1

          {{ $ctrl.currentElement.advancedVerification.fullName }}
          {{ $ctrl.currentElement.advancedVerification.text }}

          Cadherin (pan) Antibody (500-2364) in IHC (P)

          Immunohistochemistry: Human Breast carcinoma (FFPE) stained with Rabbit anti-Cadherin-Pan (Cat#2364) at 1:200 for 10 min @ RT. Staining of formalin-fixed tissue requires boiling tissue sections in 10 mM Citrate Buffer, pH 6.0 for 10 min followed by cooling at RT for 20 min. {{ $ctrl.currentElement.advancedVerification.fullName }} 验证信息 View more
          已发表图片由___提供 benchsci-logo
          PMID: {{$ctrl.currentElement.benchSciPubmedId}}
          查看产品

          {{$ctrl.videoDesc}}

          {{$ctrl.videoLongDesc}}

          Cadherin (pan) Antibody in Immunohistochemistry (Paraffin) (IHC (P))

          产品信息

          500-2364

          应用
          建议稀释比
          已发表文章

          免疫组化(石蜡) (IHC (P))

          2-10 µg/mL
          -
          产品规格

          种属反应

          Human

          宿主/亚型

          Rabbit / IgG

          分类

          Polyclonal

          类型

          Antibody

          抗原

          A synthetic peptide of Pan Cadherin

          偶联物

          Unconjugated Unconjugated Unconjugated

          形式

          Liquid

          浓度

          0.5 mg/mL

          规格

          100 µg

          纯化类型

          Antigen affinity chromatography

          保存液

          PBS with proprietary stabilizer

          内含物

          0.01% sodium azide

          保存条件

          Store at 4°C short term. For long term storage, store at -20°C, avoiding freeze/thaw cycles.

          运输条件

          Ambient (domestic); Wet ice (international)

          产品详细信息

          Positive control: Cardiac tissue

          Cellular location: membrane, junctions.

          靶标信息

          Pan Cadherin including CDH1, CDH2, CDH3, CDH4 protein belong to a family of transmembrane molecules that mediate calcium-dependent intercellular adhesion. Cadherins are involved in controlling morphogenetic movements during development and regulate cell surface adhesion through homotypic adhesion with the same cadherin species. N-cadherin's function is dependent on its association with the actin-cytoskeleton and is mediated through interactions between the C-terminal region of N-cadherin and the cytoplasmic catenin proteins. The stability of this association is regulated by phosphorylation and dephosphorylation of beta-catenin.This gene is a classical cadherin from the cadherin superfamily. The encoded protein is a calcium dependent cell-cell adhesion glycoprotein comprised of five extracellular cadherin repeats, a transmembrane region and a highly conserved cytoplasmic tail. The protein functions during gastrulation and is required for establishment of left-right asymmetry. At certain central nervous system synapses, presynaptic to postsynaptic adhesion is mediated at least in part by this gene product.

          仅用于科研。不用于诊断过程。未经明确授权不得转售。

          篇参考文献 (0)

          您是否在文献中引用过该产品?请点击下方按钮邮件告知我们。
          引用该产品

          生物信息学

          蛋白别名: cadherin 1, E-cadherin (epithelial); cadherin 1, type 1, E-cadherin (epithelial); cadherin 2, type 1, N-cadherin (neuronal); cadherin 3, type 1, P-cadherin (placental); cadherin 4, type 1, preproprotein; cadherin 4, type 1, R-cadherin (retinal); cadherin e; Cadherin-1; Cadherin-2; Cadherin-3; Cadherin-4; cadherin-E; Cadherin-N; calcium-dependent adhesion protein, epithelial; calcium-dependent adhesion protein, neuronal; calcium-dependent adhesion protein, placental; CAM 120/80; CD324; CD325; CDw325; CDw325 antigen; cell-CAM 120/80; E-cadherin; E-cadherin 1; epididymis secretory sperm binding protein; Epithelial cadherin; N-cadherin; N-cadherin 1; Neural cadherin; Neural-cadherin; P-cadherin; Pan Cadherin; Placental cadherin; Placental-cadherin; R-CAD; R-cadherin; Retinal cadherin; unnamed protein product; Uvomorulin

          查看更多 收起

          基因别名: ACOGS; ADHD8; Arc-1; ARVD14; BCDS1; CAD4; CD324; CD325; CDH1; CDH2; CDH3; CDH4; CDHE; CDHN; CDHP; CDw325; ECAD; HJMD; LCAM; NCAD; PCAD; R-CAD; RCAD; UVO

          查看更多 收起

          UniProt ID: (Human) P12830, (Human) P19022, (Human) P22223, (Human) P55283

          查看更多 收起

          Entrez Gene ID: (Human) 999, (Human) 1000, (Human) 1001, (Human) 1002

          查看更多 收起

          功能
          calcium ion binding protein binding beta-catenin binding ankyrin binding GTPase activating protein binding identical protein binding gamma-catenin binding cadherin binding metal ion binding cell adhesion molecule binding protein binding involved in cell-cell adhesion protein tyrosine kinase binding RNA binding enzyme binding protein kinase binding protein phosphatase binding alpha-catenin binding
          参与通路
          cell morphogenesis desmosome assembly cell-cell junction assembly cell adhesion homophilic cell adhesion via plasma membrane adhesion molecules synapse assembly response to xenobiotic stimulus response to toxic substance regulation of gene expression calcium-dependent cell-cell adhesion via plasma membrane cell adhesion molecules cell migration pituitary gland development negative regulation of cell-cell adhesion negative regulation of cell migration negative regulation of axon extension neuron projection development cell junction assembly adherens junction organization positive regulation of protein import into nucleus cell-cell adhesion mediated by cadherin positive regulation of transcription, DNA-templated regulation of transport cellular response to lithium ion response to heparin cellular response to indole-3-methanol protein localization to plasma membrane cell-cell adhesion regulation of protein catabolic process at postsynapse, modulating synaptic transmission response to Gram-positive bacterium positive regulation of cellular protein localization heterophilic cell-cell adhesion via plasma membrane cell adhesion molecules axon guidance positive regulation of axon extension axon extension type B pancreatic cell development glial cell differentiation neural crest cell development telencephalon development cerebral cortex development detection of muscle stretch positive regulation of MAPK cascade blood vessel morphogenesis brain morphogenesis homeostasis of number of cells striated muscle cell differentiation radial glial cell differentiation neuroepithelial cell differentiation regulation of oligodendrocyte progenitor proliferation negative regulation of canonical Wnt signaling pathway mesenchymal cell migration synaptic vesicle clustering neuroligin clustering involved in postsynaptic membrane assembly neuronal stem cell population maintenance regulation of postsynaptic density protein 95 clustering positive regulation of synaptic vesicle clustering retina homeostasis visual perception positive regulation of gene expression positive regulation of keratinocyte proliferation hair cycle process negative regulation of transforming growth factor beta receptor signaling pathway keratinization positive regulation of monophenol monooxygenase activity positive regulation of insulin-like growth factor receptor signaling pathway positive regulation of melanin biosynthetic process negative regulation of catagen positive regulation of canonical Wnt signaling pathway positive regulation of melanosome transport
          It has to be done as per old AB suggested Products section.

          Disclaimer

          Close

          Clicking the images or links will redirect you to a website hosted by BenchSci that provides third-party scientific content. Neither the content nor the BenchSci technology and processes for selection have been evaluated by us; we are providing them as-is and without warranty of any kind, including for use or application of the Thermo Fisher Scientific products presented.

          guarantee_icon

          性能保障

          只要您发现Invitrogen抗体在实验中的表现与网站或说明书的所述内容不符,您即可享受免费退换货服务。*

          了解更多
          help_icon

          随时为您服务

          获取常见问题的专家解答,或者直接联系我们的技术专家,咨询应用、设备、常规产品使用问题。

          联系技术支持
          订购 Plus Icon Minus Icon
          • 订单状态查询
          • 订单支持
          • 货号直购
          • 现货供应中心
          • 电子采购
          支持 Plus Icon Minus Icon
          • 帮助&支持
          • 联系我们 - 400 820 8982
          • 技术支持中心
          • 查找文件&证书
          • 报告网站问题
          资源 Plus Icon Minus Icon
          • 学习中心
          • 促销
          • 活动&研讨会
          • 社交媒体
          关于赛默飞 Plus Icon Minus Icon
          • 关于我们
          • 招聘 招聘
          • 投资者关系 投资者关系
          • 新闻 新闻
          • 社会责任 社会责任
          • 商标
          • 政策和通知
          品牌 Plus Icon Minus Icon
          • Thermo Scientific
          • Applied Biosystems
          • Invitrogen
          • Gibco
          • Ion Torrent
          • Unity Lab Services
          • Patheon
          • PPD
          • 服务条款
          • 隐私政策
          • 定价和运输保险政策
          © 2006-2026 Thermo Fisher Scientific Inc. All rights reserved. All trademarks are the property of Thermo Fisher Scientific and its subsidiaries unless otherwise specified.
          China flag icon
          China
          本网站销售的所有产品均不得用于人类或动物之临床诊断或治疗,仅可用于工业或者科研等非医疗目的。
             电子营业执照 | 经营证照公示 | ICP备案号:沪ICP备11003924号 | 沪公网安备 31011502006935号

          Your items have has been added!


          Host server : magellan-search-green-6479c7f679-jmhj8:80/100.66.74.142:80.
          git-commit: b70c0dceb888abc3b0dcebb5bc3a5b8753e7e816
          git-url: https://github.com/thermofisher/magellan-search
          git-branch: release/2.50.0-Offline