Hamburger Menu Button
Thermo Fisher Scientific Logo
登录
没有账号?建立账号 注册
  • 产品
    • 抗体
    • 引物合成
    • GeneArt Gene Synthesis Instant Designer
    • TaqMan Assay and Array Search
    • PCR 设备和耗材
    • 色谱柱和纯化柱
    • 实验室离心机
    • 分子生物学试剂和试剂盒
    • 实验室塑料耗材及用品
    • 查看所有产品分类
  • 应用和技术
    • 色谱
    • 细胞转染和培养
    • 实时荧光定量PCR
    • 质谱
    • 实验室塑料耗材及用品
    • 电子显微镜
    • 蛋白质生物学
    • PCR
    • RNAi
    • 环境
    • 查看所有应用和技术
  • 服务
    • 定制服务
    • 企业级实验室信息化服务
    • 金融&租赁服务
    • 仪器服务
    • OEM和商业供应
    • 培训服务
    • 360° CDMO 和 CRO 服务
    • CDMO 服务
    • 临床试验 CRO 服务
    • Unity Lab Services
    • 查看所有帮助和支持
  • 帮助和支持
    • 学习中心
    • 联系我们
    • 更改国家或地区
    • 查看所有帮助和支持
  • 热门产品
    • TaqMan Real-Time PCR Assays
      TaqMan 实时荧光定量 PCR 试剂盒
    • Antibodies
      抗体
    • Oligos, Primers & Probes
      寡核苷酸、引物、探针
    • GeneArt Gene Synthesis
      GeneArt 基因合成
    • Cell Culture Plastics
      细胞培养耗材
  • Who We Serve
    • 抗体治疗解决方案
    • 细胞与基因治疗解决方案
    • 学术科研
    • 工业与应用
  • 联系我们
  • 货号直购
  • 订单查询
  • 查找文件&证书
Thermo Fisher Scientific Logo

Search

搜索全部或下列指定分类
Search button
          • 联系我们
          • 货号直购
          • 登录
            登录
            没有账号?建立账号 注册
            • 我的账号
            • 订单
            • 会员中心
            • 账单及发票查询
            • 定制产品及项目
          • Primary Antibodies ›
          • Cannabinoid Receptor 1 Antibodies
          The product (cat # {{productObj.productId}}) that you're looking for is temporarily unavailable. A suggested replacement is cat # {{productObj.replacementProductId}}. Please contact Technical Support for other suitable replacement options.

          Invitrogen

          Cannabinoid Receptor 1 Polyclonal Antibody

          高级验证
          7个已发表图片
          27 篇参考文献
          查看其他26个Cannabinoid Receptor 1抗体

          {{$productOrderCtrl.translations['antibody.pdp.commerceCard.promotion.promotions']}}

          {{$productOrderCtrl.translations['antibody.pdp.commerceCard.promotion.viewpromo']}}

          {{$productOrderCtrl.translations['antibody.pdp.commerceCard.promotion.promocode']}}: {{promo.promoCode}} {{promo.promoTitle}} {{promo.promoDescription}}. {{$productOrderCtrl.translations['antibody.pdp.commerceCard.promotion.learnmore']}}

          说明书
          证书
          实验方案
          问题与答案
          技术支持
          说明书
          证书
          实验方案
          问题与答案
          技术支持
          说明书
          证书
          实验方案
          问题与答案
          技术支持

          Cite Cannabinoid Receptor 1 Polyclonal Antibody

          Additional Information:
          {{banner.description}}
          {{$ctrl.isSkuNotesCollapsed ? 'View more' : 'View less'}}
          • 抗体检测数据 (3)
          • 已发表图片 (7)
          • 高级验证 (1)
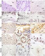
          Cannabinoid Receptor 1 Antibody in Immunohistochemistry (IHC)
          Group 53 Created with Sketch.
          Cannabinoid Receptor 1 Antibody in Immunohistochemistry (IHC)
          Group 53 Created with Sketch.

          图: 1 / 11

          {{ $ctrl.currentElement.advancedVerification.fullName }}
          {{ $ctrl.currentElement.advancedVerification.text }}

          Cannabinoid Receptor 1 Antibody (PA1-745) in IHC

          Immunohistochemical staining of the cannibinoid receptor 1 in transverse spinal cord sections of E6 chick embryo using Product # PA1-745. {{ $ctrl.currentElement.advancedVerification.fullName }} 验证信息 View more
          已发表图片由___提供 benchsci-logo
          PMID: {{$ctrl.currentElement.benchSciPubmedId}}
          查看产品

          {{$ctrl.videoDesc}}

          {{$ctrl.videoLongDesc}}

          Cannabinoid Receptor 1 Antibody in Immunohistochemistry (IHC)
          Cannabinoid Receptor 1 Antibody in Immunohistochemistry (IHC)
          Cannabinoid Receptor 1 Antibody in Western Blot (WB)
          Cannabinoid Receptor 1 Antibody in Immunohistochemistry (Paraffin) (IHC (P))
          Cannabinoid Receptor 1 Antibody in Immunohistochemistry, Proximity Ligation Assay (PLA) (IHC, PLA)
          Cannabinoid Receptor 1 Antibody in Immunohistochemistry, Proximity Ligation Assay (PLA) (IHC, PLA)
          Cannabinoid Receptor 1 Antibody in Immunohistochemistry (IHC)
          Cannabinoid Receptor 1 Antibody in Immunohistochemistry (IHC)
          Cannabinoid Receptor 1 Antibody in Immunohistochemistry (IHC)
          Cannabinoid Receptor 1 Antibody in Flow Cytometry (Flow)
          Cannabinoid Receptor 1 Antibody
          Cannabinoid Receptor 1 Polyclonal Antibody

          产品信息

          PA1-745

          应用
          建议稀释比
          已发表文章

          免疫印迹 (WB)

          Assay-dependent
          查看10篇已发表文章 10篇已发表文章

          免疫组化 (IHC)

          -
          查看9篇已发表文章 9篇已发表文章

          免疫组化(石蜡) (IHC (P))

          Assay-dependent
          查看1篇已发表文章 1篇已发表文章

          免疫细胞化学 (ICC/IF)

          1:1,000
          查看1篇已发表文章 1篇已发表文章

          流式细胞分析 (Flow)

          Assay-dependent
          查看3篇已发表文章 3篇已发表文章

          Proximity Ligation Assay (PLA) (PLA)

          -
          查看3篇已发表文章 3篇已发表文章
          产品规格

          种属反应

          Amphibian, Chicken, Fish, Human, Mouse, Non-human primate, Rat

          已发表种属

          Chicken, Cynomolgus monkey, Ferret, Human, Mouse, Rabbit, Rat

          宿主/亚型

          Rabbit / IgG

          分类

          Polyclonal

          类型

          Antibody

          抗原

          A fusion protein containing the first 77 amino acid residues from rat CB1.
          3D表位/免疫原

          偶联物

          Unconjugated Unconjugated Unconjugated

          形式

          Liquid

          浓度

          1.0 mg/mL

          规格

          100 µg

          纯化类型

          Affinity chromatography

          保存液

          PBS with 1mg/mL BSA, 50% glycerol

          内含物

          0.05% sodium azide

          保存条件

          -20°C, Avoid Freeze/Thaw Cycles

          运输条件

          Ambient (domestic); Wet ice (international)

          RRID

          AB_2082752

          产品详细信息

          PA1-745 detects cannabinoid receptor 1 (CB1) from human, rat, monkey, mouse, chicken, salamander and goldfish tissues. This antibody detects a few non-specific bands in NIH-3T3 and HT-29 cell lysates.

          PA1-745 has been successfully used in Western blot, FACS, immunohistochemistry, and immunocytochemistry procedures. By Western blot, this antibody detects a ~60 kDa protein representing CB1 and less intense bands of ~23 kDa, ~72 kDa, and ~180 kDa from rat brain homogenate. Immunocytochemical staining of CB1 in living or fixed cultured hippocampal neurons with PA1-745 results in intense, punctate staining along processes, with little staining over cell bodies.

          PA1-745 antigen is a fusion protein containing the first 77 amino acid residues of the rat CB1 receptor.

          靶标信息

          This gene encodes one of two cannabinoid receptors. The cannabinoids, principally delta-9-tetrahydrocannabinol and synthetic analogs, are psychoactive ingredients of marijuana. The cannabinoid receptors are members of the guanine-nucleotide-binding protein coupled receptor family, which inhibit adenylate cyclase activity in a dose-dependent, stereoselective and pertussis toxin-sensitive manner. The two receptors have been found to be involved in the cannabinoid-induced CNS effects experienced by users of marijuana. Multiple transcript variants encoding two different protein isoforms have been described for this gene.

          仅用于科研。不用于诊断过程。未经明确授权不得转售。

          生物信息学

          蛋白别名: Brain-type cannabinoid receptor; CANN6; Cannabinoid receptor 1; cannabinoid receptor 1 (brain); CB-R; CB1; CB1 cannabinoid receptor; CB1 receptor; central cannabinoid receptor; HGNC:2159; N-terminal variant; OTTHUMP00000016839; RP1-23D17.1; seven transmembrane domains; G-protein-coupled receptor; striatal cannabinoid receptor type 1 protein; unnamed protein product

          查看更多 收起

          基因别名: CANN6; CB-R; CB1; CB1A; CB1K5; CB1R; CNR; CNR1; Skr6; SKR6R

          查看更多 收起

          UniProt ID: (Human) P21554, (Mouse) P47746, (Rat) P20272

          查看更多 收起

          Entrez Gene ID: (Human) 1268, (Chicken) 428633, (Mouse) 12801, (Rat) 25248

          查看更多 收起

          功能
          G-protein coupled receptor activity cannabinoid receptor activity protein binding identical protein binding signal transducer activity drug binding G-protein coupled receptor
          参与通路
          signal transduction G-protein coupled receptor signaling pathway G-protein coupled receptor signaling pathway, coupled to cyclic nucleotide second messenger adenylate cyclase-modulating G-protein coupled receptor signaling pathway adenylate cyclase-activating G-protein coupled receptor signaling pathway axonal fasciculation cannabinoid signaling pathway glucose homeostasis retrograde trans-synaptic signaling by endocannabinoid regulation of presynaptic cytosolic calcium ion concentration positive regulation of acute inflammatory response to antigenic stimulus aging learning or memory memory positive regulation of neuron projection development regulation of lipid metabolic process sensory perception of pain positive regulation of fever generation negative regulation of fatty acid beta-oxidation regulation of synaptic transmission, GABAergic response to lipopolysaccharide negative regulation of mast cell activation negative regulation of dopamine secretion response to nicotine response to cocaine positive regulation of apoptotic process negative regulation of ion transport response to morphine response to ethanol negative regulation of action potential negative regulation of blood pressure positive regulation of blood pressure regulation of insulin secretion negative regulation of nitric-oxide synthase activity regulation of synaptic transmission, glutamatergic regulation of feeding behavior regulation of penile erection spermatogenesis response to nutrient maternal process involved in female pregnancy
          It has to be done as per old AB suggested Products section.

          Disclaimer

          Close

          Clicking the images or links will redirect you to a website hosted by BenchSci that provides third-party scientific content. Neither the content nor the BenchSci technology and processes for selection have been evaluated by us; we are providing them as-is and without warranty of any kind, including for use or application of the Thermo Fisher Scientific products presented.

          guarantee_icon

          性能保障

          只要您发现Invitrogen抗体在实验中的表现与网站或说明书的所述内容不符,您即可享受免费退换货服务。*

          了解更多
          help_icon

          随时为您服务

          获取常见问题的专家解答,或者直接联系我们的技术专家,咨询应用、设备、常规产品使用问题。

          联系技术支持
          订购 Plus Icon Minus Icon
          • 订单状态查询
          • 订单支持
          • 货号直购
          • 现货供应中心
          • 电子采购
          支持 Plus Icon Minus Icon
          • 帮助&支持
          • 联系我们 - 400 820 8982
          • 技术支持中心
          • 查找文件&证书
          • 报告网站问题
          资源 Plus Icon Minus Icon
          • 学习中心
          • 促销
          • 活动&研讨会
          • 社交媒体
          关于赛默飞 Plus Icon Minus Icon
          • 关于我们
          • 招聘 招聘
          • 投资者关系 投资者关系
          • 新闻 新闻
          • 社会责任 社会责任
          • 商标
          • 政策和通知
          品牌 Plus Icon Minus Icon
          • Thermo Scientific
          • Applied Biosystems
          • Invitrogen
          • Gibco
          • Ion Torrent
          • Unity Lab Services
          • Patheon
          • PPD
          • 服务条款
          • 隐私政策
          • 定价和运输保险政策
          © 2006-2026 Thermo Fisher Scientific Inc. All rights reserved. All trademarks are the property of Thermo Fisher Scientific and its subsidiaries unless otherwise specified.
          China flag icon
          China
          本网站销售的所有产品均不得用于人类或动物之临床诊断或治疗,仅可用于工业或者科研等非医疗目的。
             电子营业执照 | 经营证照公示 | ICP备案号:沪ICP备11003924号 | 沪公网安备 31011502006935号

          Your items have has been added!


          Host server : magellan-search-green-6479c7f679-k9lz7:80/100.66.74.142:80.
          git-commit: b70c0dceb888abc3b0dcebb5bc3a5b8753e7e816
          git-url: https://github.com/thermofisher/magellan-search
          git-branch: release/2.50.0-Offline