Hamburger Menu Button
Thermo Fisher Scientific Logo
登录
没有账号?建立账号 注册
  • 产品
    • 抗体
    • 引物合成
    • GeneArt Gene Synthesis Instant Designer
    • TaqMan Assay and Array Search
    • PCR 设备和耗材
    • 色谱柱和纯化柱
    • 实验室离心机
    • 分子生物学试剂和试剂盒
    • 实验室塑料耗材及用品
    • 查看所有产品分类
  • 应用和技术
    • 色谱
    • 细胞转染和培养
    • 实时荧光定量PCR
    • 质谱
    • 实验室塑料耗材及用品
    • 电子显微镜
    • 蛋白质生物学
    • PCR
    • RNAi
    • 环境
    • 查看所有应用和技术
  • 服务
    • 定制服务
    • 企业级实验室信息化服务
    • 金融&租赁服务
    • 仪器服务
    • OEM和商业供应
    • 培训服务
    • 360° CDMO 和 CRO 服务
    • CDMO 服务
    • 临床试验 CRO 服务
    • Unity Lab Services
    • 查看所有帮助和支持
  • 帮助和支持
    • 学习中心
    • 联系我们
    • 更改国家或地区
    • 查看所有帮助和支持
  • 热门产品
    • TaqMan Real-Time PCR Assays
      TaqMan 实时荧光定量 PCR 试剂盒
    • Antibodies
      抗体
    • Oligos, Primers & Probes
      寡核苷酸、引物、探针
    • GeneArt Gene Synthesis
      GeneArt 基因合成
    • Cell Culture Plastics
      细胞培养耗材
  • Who We Serve
    • 抗体治疗解决方案
    • 细胞与基因治疗解决方案
    • 学术科研
    • 工业与应用
  • 联系我们
  • 货号直购
  • 订单查询
  • 查找文件&证书
Thermo Fisher Scientific Logo

Search

搜索全部或下列指定分类
Search button
          • 联系我们
          • 货号直购
          • 登录
            登录
            没有账号?建立账号 注册
            • 我的账号
            • 订单
            • 会员中心
            • 账单及发票查询
            • 定制产品及项目
          • Primary Antibodies ›
          • CD66 (CEACAM) Antibodies

          NeoBiotechnologies

          Carcinoembryonic Antigen (CEA)/CD66 Monoclonal Antibody (COL-1)

          查看其他31个CD66 (CEACAM)抗体

          {{$productOrderCtrl.translations['antibody.pdp.commerceCard.promotion.promotions']}}

          {{$productOrderCtrl.translations['antibody.pdp.commerceCard.promotion.viewpromo']}}

          {{$productOrderCtrl.translations['antibody.pdp.commerceCard.promotion.promocode']}}: {{promo.promoCode}} {{promo.promoTitle}} {{promo.promoDescription}}. {{$productOrderCtrl.translations['antibody.pdp.commerceCard.promotion.learnmore']}}

          说明书
          证书
          实验方案
          问题与答案
          技术支持
          说明书
          证书
          实验方案
          问题与答案
          技术支持
          说明书
          证书
          实验方案
          问题与答案
          技术支持

          Cite Carcinoembryonic Antigen (CEA)/CD66 Monoclonal Antibody (COL-1)

          Additional Information:
          {{banner.description}}
          {{$ctrl.isSkuNotesCollapsed ? 'View more' : 'View less'}}
          • 抗体检测数据 (3)
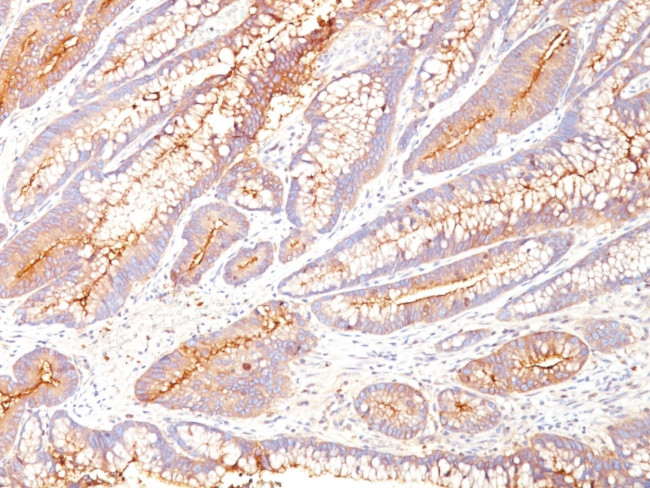
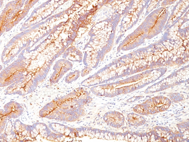
          Carcinoembryonic Antigen (CEA)/CD66 Antibody in Immunohistochemistry (Paraffin) (IHC (P))
          Group 53 Created with Sketch.
          Carcinoembryonic Antigen (CEA)/CD66 Antibody in Immunohistochemistry (Paraffin) (IHC (P))
          Group 53 Created with Sketch.

          图: 1 / 3

          {{ $ctrl.currentElement.advancedVerification.fullName }}
          {{ $ctrl.currentElement.advancedVerification.text }}

          Carcinoembryonic Antigen (CEA)/CD66 Antibody (1048-MSM1-P1ABX) in IHC (P)

          Formalin-fixed, paraffin-embedded human colon carcinoma stained with CEA Mouse Monoclonal Antibody (COL-1). {{ $ctrl.currentElement.advancedVerification.fullName }} 验证信息 View more
          已发表图片由___提供 benchsci-logo
          PMID: {{$ctrl.currentElement.benchSciPubmedId}}
          查看产品

          {{$ctrl.videoDesc}}

          {{$ctrl.videoLongDesc}}

          Carcinoembryonic Antigen (CEA)/CD66 Antibody in Immunohistochemistry (Paraffin) (IHC (P))
          Carcinoembryonic Antigen (CEA)/CD66 Antibody in Western Blot (WB)
          Carcinoembryonic Antigen (CEA)/CD66 Antibody in SDS-PAGE (SDS-PAGE)
          Carcinoembryonic Antigen (CEA)/CD66 Monoclonal Antibody (COL-1)

          产品信息

          1048-MSM1-P1ABX

          应用
          建议稀释比
          已发表文章

          免疫印迹 (WB)

          1-2 µg/mL
          -

          免疫组化(石蜡) (IHC (P))

          Assay-dependent
          -

          免疫组织化学(多聚甲醛固定) (IHC (PFA))

          1-2 µg/mL
          -

          免疫细胞化学 (ICC/IF)

          1-2 µg/mL
          -

          流式细胞分析 (Flow)

          1-2 µg/10^6 cells
          -
          产品规格

          种属反应

          Human

          宿主/亚型

          Mouse / IgG2a, kappa

          分类

          Monoclonal

          类型

          Antibody

          克隆号

          COL-1

          抗原

          Human colon carcinoma extract
          3D表位/免疫原

          偶联物

          Unconjugated Unconjugated Unconjugated

          形式

          Liquid

          浓度

          1 mg/mL

          规格

          100 µg

          纯化类型

          Protein A/G

          保存液

          PBS, pH 7.4

          内含物

          no preservative

          保存条件

          -20°C, Avoid Freeze/Thaw Cycles

          运输条件

          Ambient (domestic); Wet ice (international)

          靶标信息

          The CD66 molecules are 180-200 kDa glycoproteins of carcinoembryonic antigen family. They are present on all blood granulocytes and some tissue macrophages, but are absent from other hematopoietic cells. The expression of CD66 increases significantly on granulocytes upon their activation. CD66a (BGP1, CEACAM1) and CD66d (CGM1, CEACAM3), as well as CEACAM2 and 4, are transmembrane proteins, whereas CD66c (CEAL, NCA, CEACAM6) and CD66e (CEA, CEACAM5), as well as CEACAM7 and 8, are anchored to the plasma membrane by C-terminal glycosylphosphatidylinositol (GPI) lipid moiety.

          仅用于科研。不用于诊断过程。未经明确授权不得转售。

          篇参考文献 (0)

          您是否在文献中引用过该产品?请点击下方按钮邮件告知我们。
          引用该产品

          生物信息学

          蛋白别名: antigen CD66; BGP; BGP-1; Biliary glycoprotein 1; biliary glycoprotein adhesion molecule; biliary glycoprotein I precursor; carcinoembronyic antigen; Carcinoembryonic antigen; Carcinoembryonic antigen CGM1; Carcinoembryonic antigen CGM7; carcinoembryonic antigen gene family member 1; carcinoembryonic antigen gene family member 7; carcinoembryonic antigen precursor; carcinoembryonic antigen related cell adhesion molecule 1; carcinoembryonic antigen related cell adhesion molecule 3; carcinoembryonic antigen related cell adhesion molecule 4; carcinoembryonic antigen related cell adhesion molecule 5; carcinoembryonic antigen related cell adhesion molecule 6; Carcinoembryonic antigen-related cell adhesion molecule 1; carcinoembryonic antigen-related cell adhesion molecule 1 (biliary glycoprotein); Carcinoembryonic antigen-related cell adhesion molecule 3; Carcinoembryonic antigen-related cell adhesion molecule 4; carcinoembryonic antigen-related cell adhesion molecule 4-sv1; carcinoembryonic antigen-related cell adhesion molecule 4-sv2; Carcinoembryonic antigen-related cell adhesion molecule 5; Carcinoembryonic antigen-related cell adhesion molecule 6; carcinoembryonic antigen-related cell adhesion molecule 6 (non-specific cross reacting antigen); CD66a; CD66a antigen; CD66c; CD66d; CD66d antigen; CD66e; CEA; CEA cell adhesion molecule 1; CEA cell adhesion molecule 3; CEA cell adhesion molecule 4; CEA cell adhesion molecule 5; CEA cell adhesion molecule 6; CEACAM-1; CEACAM-3; CEACAM-5; CEACAM-6; CEACAM1-3S; Cell adhesion molecule CEACAM1; Cell adhesion molecule CEACAM3; Cell adhesion molecule CEACAM4; Cell adhesion molecule CEACAM5; Cell adhesion molecule CEACAM6; Cluster of Differentiation 66c; Meconium antigen 100; Non-specific cross-reacting antigen W236; Non-specific crossreacting antigen; nonspecific cross-reacting antigen; Nonspecific cross-reacting antigen (NCA); nonspecific cross-reacting antigen W236; nonspecific crossreacting antigen precursor; Normal cross-reacting antigen; ORF1; ORF2; pan CEACAM; unnamed protein product

          查看更多 收起

          基因别名: BGP; BGP1; BGPI; CD66c; CD66D; CD66e; CEA; CEACAM1; CEACAM3; CEACAM4; CEACAM5; CEACAM6; CEAL; CGM1; CGM1a; CGM7; CGM7_HUMAN; NCA; NCA-50/90; W264; W282

          查看更多 收起

          UniProt ID: (Human) P13688, (Human) P40198, (Human) O75871, (Human) P06731, (Human) P40199

          查看更多 收起

          Entrez Gene ID: (Human) 634, (Human) 1084, (Human) 1089, (Human) 1048, (Human) 4680

          查看更多 收起

          功能
          actin binding protein binding calmodulin binding bile acid transmembrane transporter activity kinase binding protein phosphatase binding filamin binding identical protein binding protein homodimerization activity protein dimerization activity protein tyrosine kinase binding GPI anchor binding protein heterodimerization activity
          参与通路
          apoptotic process cell adhesion homophilic cell adhesion via plasma membrane adhesion molecules heterophilic cell-cell adhesion via plasma membrane cell adhesion molecules positive regulation of cell proliferation positive regulation of cell migration positive regulation of heterotypic cell-cell adhesion positive regulation of endothelial cell-matrix adhesion via fibronectin negative regulation of anoikis regulation of immune system process phagocytosis signal transduction angiogenesis regulation of cell growth blood vessel development negative regulation of T cell mediated cytotoxicity negative regulation of natural killer cell mediated cytotoxicity directed against tumor cell target negative regulation of protein kinase activity integrin-mediated signaling pathway regulation of endothelial cell migration bile acid and bile salt transport cell migration regulation of cell migration negative regulation of granulocyte differentiation negative regulation of interleukin-1 production cellular response to insulin stimulus common myeloid progenitor cell proliferation insulin receptor internalization granulocyte colony-stimulating factor signaling pathway regulation of epidermal growth factor receptor signaling pathway negative regulation of vascular permeability negative regulation of cytotoxic T cell degranulation wound healing, spreading of cells regulation of endothelial cell differentiation negative regulation of fatty acid biosynthetic process negative regulation of T cell receptor signaling pathway negative regulation of lipid biosynthetic process regulation of protein kinase B signaling regulation of blood vessel remodeling regulation of ERK1 and ERK2 cascade negative regulation of platelet aggregation cell-cell adhesion via plasma-membrane adhesion molecules insulin catabolic process regulation of homophilic cell adhesion regulation of sprouting angiogenesis negative regulation of hepatocyte proliferation positive regulation of vasculogenesis negative regulation of myotube differentiation homotypic cell-cell adhesion negative regulation of apoptotic process
          It has to be done as per old AB suggested Products section.

          Disclaimer

          Close

          Clicking the images or links will redirect you to a website hosted by BenchSci that provides third-party scientific content. Neither the content nor the BenchSci technology and processes for selection have been evaluated by us; we are providing them as-is and without warranty of any kind, including for use or application of the Thermo Fisher Scientific products presented.

          guarantee_icon

          性能保障

          只要您发现Invitrogen抗体在实验中的表现与网站或说明书的所述内容不符,您即可享受免费退换货服务。*

          了解更多
          help_icon

          随时为您服务

          获取常见问题的专家解答,或者直接联系我们的技术专家,咨询应用、设备、常规产品使用问题。

          联系技术支持
          订购 Plus Icon Minus Icon
          • 订单状态查询
          • 订单支持
          • 货号直购
          • 现货供应中心
          • 电子采购
          支持 Plus Icon Minus Icon
          • 帮助&支持
          • 联系我们 - 400 820 8982
          • 技术支持中心
          • 查找文件&证书
          • 报告网站问题
          资源 Plus Icon Minus Icon
          • 学习中心
          • 促销
          • 活动&研讨会
          • 社交媒体
          关于赛默飞 Plus Icon Minus Icon
          • 关于我们
          • 招聘 招聘
          • 投资者关系 投资者关系
          • 新闻 新闻
          • 社会责任 社会责任
          • 商标
          • 政策和通知
          品牌 Plus Icon Minus Icon
          • Thermo Scientific
          • Applied Biosystems
          • Invitrogen
          • Gibco
          • Ion Torrent
          • Unity Lab Services
          • Patheon
          • PPD
          • 服务条款
          • 隐私政策
          • 定价和运输保险政策
          © 2006-2026 Thermo Fisher Scientific Inc. All rights reserved. All trademarks are the property of Thermo Fisher Scientific and its subsidiaries unless otherwise specified.
          China flag icon
          China
          本网站销售的所有产品均不得用于人类或动物之临床诊断或治疗,仅可用于工业或者科研等非医疗目的。
             电子营业执照 | 经营证照公示 | ICP备案号:沪ICP备11003924号 | 沪公网安备 31011502006935号

          Your items have has been added!


          Host server : magellan-search-green-6479c7f679-46l5g:80/100.66.76.236:80.
          git-commit: b70c0dceb888abc3b0dcebb5bc3a5b8753e7e816
          git-url: https://github.com/thermofisher/magellan-search
          git-branch: release/2.50.0-Offline