Hamburger Menu Button
Thermo Fisher Scientific Logo
登录
没有账号?建立账号 注册
  • 产品
    • 抗体
    • 引物合成
    • GeneArt Gene Synthesis Instant Designer
    • TaqMan Assay and Array Search
    • PCR 设备和耗材
    • 色谱柱和纯化柱
    • 实验室离心机
    • 分子生物学试剂和试剂盒
    • 实验室塑料耗材及用品
    • 查看所有产品分类
  • 应用和技术
    • 色谱
    • 细胞转染和培养
    • 实时荧光定量PCR
    • 质谱
    • 实验室塑料耗材及用品
    • 电子显微镜
    • 蛋白质生物学
    • PCR
    • RNAi
    • 环境
    • 查看所有应用和技术
  • 服务
    • 定制服务
    • 企业级实验室信息化服务
    • 企业服务
    • 金融&租赁服务
    • 仪器服务
    • OEM和商业供应
    • 培训服务
    • 360° CDMO 和 CRO 服务
    • CDMO 服务
    • 临床试验 CRO 服务
    • 查看所有帮助和支持
  • 帮助和支持
    • 学习中心
    • 联系我们
    • 更改国家或地区
    • 查看所有帮助和支持
  • 热门产品
    • TaqMan Real-Time PCR Assays
      TaqMan 实时荧光定量 PCR 试剂盒
    • Antibodies
      抗体
    • Oligos, Primers & Probes
      寡核苷酸、引物、探针
    • GeneArt Gene Synthesis
      GeneArt 基因合成
    • Cell Culture Plastics
      细胞培养耗材
  • 联系我们
  • 货号直购
  • 订单查询
  • 查找文件&证书
Thermo Fisher Scientific Logo

Search

搜索全部或下列指定分类
Search button
          • 联系我们
          • 货号直购
          • 登录
            登录
            没有账号?建立账号 注册
            • 我的账号
            • 订单
            • 账单及发票查询
            • 定制产品及项目

          Disclaimer

          Clicking the images or links will redirect you to a website hosted by BenchSci that provides third-party scientific content. Neither the content nor the BenchSci technology and processes for selection have been evaluated by us; we are providing them as-is and without warranty of any kind, including for use or application of the Thermo Fisher Scientific products presented.

          • Primary Antibodies ›
          • Caspase 8 p18 Antibodies

          Invitrogen

          Caspase 8 p18 Polyclonal Antibody

          查看其他2个Caspase 8 p18抗体

          {{$productOrderCtrl.translations['antibody.pdp.commerceCard.promotion.promotions']}}

          {{$productOrderCtrl.translations['antibody.pdp.commerceCard.promotion.viewpromo']}}

          {{$productOrderCtrl.translations['antibody.pdp.commerceCard.promotion.promocode']}}: {{promo.promoCode}} {{promo.promoTitle}} {{promo.promoDescription}}. {{$productOrderCtrl.translations['antibody.pdp.commerceCard.promotion.learnmore']}}

          说明书
          证书
          实验方案
          问题与答案
          技术支持
          说明书
          证书
          实验方案
          问题与答案
          技术支持
          说明书
          证书
          实验方案
          问题与答案
          技术支持

          Cite Caspase 8 p18 Polyclonal Antibody

          • 抗体检测数据 (2)
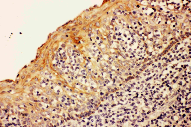
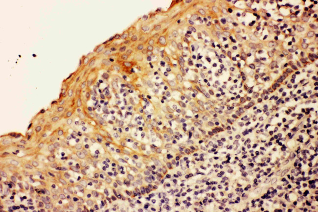
          Caspase 8 p18 Antibody in Immunohistochemistry (Paraffin) (IHC (P))
          Group 53 Created with Sketch.
          Caspase 8 p18 Antibody in Immunohistochemistry (Paraffin) (IHC (P))
          Group 53 Created with Sketch.

          图: 1 / 2

          {{ $ctrl.currentElement.advancedVerification.fullName }}
          {{ $ctrl.currentElement.advancedVerification.text }}

          Caspase 8 p18 Antibody (PA5-95047) in IHC (P)

          Immunohistochemistry analysis of Caspase 8 in paraffin-embedded human tonsil tissue. Samples were incubated with Caspase 8 polyclonal antibody (Product # PA5-95047). {{ $ctrl.currentElement.advancedVerification.fullName }} 验证信息 View more
          已发表图片由___提供 benchsci-logo
          PMID: {{$ctrl.currentElement.benchSciPubmedId}}
          查看产品

          {{$ctrl.videoDesc}}

          {{$ctrl.videoLongDesc}}

          Caspase 8 p18 Antibody in Immunohistochemistry (Paraffin) (IHC (P))
          Caspase 8 p18 Antibody in Western Blot (WB)
          Caspase 8 p18 Polyclonal Antibody

          产品信息

          PA5-95047

          应用
          建议稀释比
          已发表文章

          免疫印迹 (WB)

          0.1-0.5 µg/mL
          -

          免疫组化(石蜡) (IHC (P))

          0.5-1 µg/mL
          -
          产品规格

          种属反应

          Human

          宿主/亚型

          Rabbit / IgG

          分类

          Polyclonal

          类型

          Antibody

          抗原

          A synthetic peptide corresponding to a sequence at the N-terminus of human Caspase-8 (p18) (257-277aa NNHNFAKAREKVPKLHSIRDR).
          查看免疫原

          偶联物

          Unconjugated Unconjugated Unconjugated

          形式

          Lyophilized

          浓度

          500 µg/mL

          纯化类型

          Affinity chromatography

          保存液

          PBS with 5mg BSA

          内含物

          0.05mg sodium azide, 0.05mg thimerosal

          保存条件

          -20°C

          运输条件

          Ambient (domestic); Wet ice (international)

          RRID

          AB_2806853

          产品详细信息

          Reconstitute with 0.2 mL of distilled water to yield a concentration of 500 µg/mL.

          Positive Control - WB: A549 whole cell, HELA whole cell. IHC: Human Tonsil Tissue.|Store at -20°C for one year from date of receipt. After reconstitution, at 4°C for one month. It can also be aliquotted and stored frozen at -20°C for six months. Avoid repeated freeze-thaw cycles.

          靶标信息

          Caspase 8 (CASP8) is a member of the cysteine-aspartic acid protease (caspase) family. Sequential activation of caspases play a central role in the execution-phase of cell apoptosis. Caspases exist as inactive proenzymes composed of a pro-domain, a large protease subunit, and a small protease subunit. Activation of caspases requires proteolytic processing at conserved internal aspartic residues to generate a heterodimeric enzyme consisting of the large and small subunits. Caspase 8 is involved in the programmed cell death induced by Fas and various apoptotic stimuli. The N-terminal FADD-like death effector domain of Caspase 8 suggests that it may interact with Fas-interacting protein FADD. Caspase 8 was detected in the insoluble fraction of the affected brain region from Huntington disease patients but not in those from normal controls, which implicated the role in neurodegenerative diseases. Caspase 8 binds to the death effector domain (DED) of FADD through an analogous DED domain present in tandem in the pro-form of the Caspase 8 protein. Activated Caspase 8 then activates other downstream caspases including Caspase 9, thereby committing the cell to undergo apoptosis. In addition, Caspase 8 also reacts with Jurkat cells and Tonsil. Overexpression of Caspase 8 induces apoptosis, which can be blocked by inhibitors specific for the ICE family. Many alternatively spliced transcript variants encoding different isoforms have been described for Caspase 8, however, not all variants have had their full-length sequences determined.

          ⚠WARNING: This product can expose you to chemicals including mercury, which is known to the State of California to cause birth defects or other reproductive harm. For more information go to www.P65Warnings.ca.gov.

          仅用于科研。不用于诊断过程。未经明确授权不得转售。

          篇参考文献 (0)

          您是否在文献中引用过该产品?请点击下方按钮邮件告知我们。
          引用该产品

          生物信息学

          蛋白别名: Apoptotic cysteine protease; Apoptotic protease Mch-5; CAP4; CASP-8; caspase 8, apoptosis-related cysteine peptidase; caspase 8, apoptosis-related cysteine protease; Caspase-8; FADD-homologous ICE/CED-3-like protease; FADD-like ICE; FLICE; ICE-like apoptotic protease 5; MACH; MACH-alpha-1/2/3 protein; MACH-beta-1/2/3/4 protein; MORT1-associated ced-3 homolog

          查看更多 收起

          基因别名: ALPS2B; CAP4; Casp-8; CASP8; FLICE; MACH; MCH5

          查看更多 收起

          UniProt ID: (Human) Q14790

          查看更多 收起

          Entrez Gene ID: (Human) 841

          查看更多 收起

          功能
          cysteine-type endopeptidase activity death receptor binding tumor necrosis factor receptor binding protein binding peptidase activity cysteine-type peptidase activity ubiquitin protein ligase binding protein complex binding death effector domain binding identical protein binding scaffold protein binding cysteine-type endopeptidase activity involved in apoptotic process cysteine-type endopeptidase activity involved in apoptotic signaling pathway protease
          参与通路
          proteolysis apoptotic process activation of cysteine-type endopeptidase activity involved in apoptotic process cellular component disassembly involved in execution phase of apoptosis cell surface receptor signaling pathway response to cold regulation of tumor necrosis factor-mediated signaling pathway regulation of necrotic cell death natural killer cell activation macrophage differentiation response to cobalt ion response to estradiol response to lipopolysaccharide response to tumor necrosis factor TRIF-dependent toll-like receptor signaling pathway TRAIL-activated apoptotic signaling pathway suppression by virus of host cysteine-type endopeptidase activity involved in apoptotic process T cell activation B cell activation positive regulation of I-kappaB kinase/NF-kappaB signaling negative regulation of I-kappaB kinase/NF-kappaB signaling response to ethanol positive regulation of macrophage differentiation positive regulation of proteolysis response to antibiotic protein heterooligomerization proteolysis involved in cellular protein catabolic process syncytiotrophoblast cell differentiation involved in labyrinthine layer development nucleotide-binding oligomerization domain containing signaling pathway cellular response to mechanical stimulus cellular response to organic cyclic compound death-inducing signaling complex assembly apoptotic signaling pathway extrinsic apoptotic signaling pathway execution phase of apoptosis activation of cysteine-type endopeptidase activity activation of cysteine-type endopeptidase activity involved in apoptotic signaling pathway positive regulation of protein insertion into mitochondrial membrane involved in apoptotic signaling pathway regulation of extrinsic apoptotic signaling pathway via death domain receptors negative regulation of extrinsic apoptotic signaling pathway via death domain receptors
          It has to be done as per old AB suggested Products section.
          guarantee_icon

          性能保障

          只要您发现Invitrogen抗体在实验中的表现与网站或说明书的所述内容不符,您即可享受免费退换货服务。*

          了解更多
          help_icon

          随时为您服务

          获取常见问题的专家解答,或者直接联系我们的技术专家,咨询应用、设备、常规产品使用问题。

          联系技术支持
          订购 Plus Icon Minus Icon
          • 订单状态查询
          • 订单支持
          • 货号直购
          • 现货供应中心
          • 电子采购
          支持 Plus Icon Minus Icon
          • 帮助&支持
          • 联系我们 - 400 820 8982
          • 技术支持中心
          • 查找文件&证书
          • 报告网站问题
          资源 Plus Icon Minus Icon
          • 学习中心
          • 促销
          • 活动&研讨会
          • 社交媒体
          关于赛默飞 Plus Icon Minus Icon
          • 关于我们
          • 招聘 招聘
          • 投资者关系 投资者关系
          • 新闻 新闻
          • 社会责任 社会责任
          • 商标
          • 政策和通知
          品牌 Plus Icon Minus Icon
          • Thermo Scientific
          • Applied Biosystems
          • Invitrogen
          • Gibco
          • Ion Torrent
          • Patheon
          • PPD
          • 服务条款
          • 隐私政策
          • 定价和运输保险政策
          © 2006-2026 Thermo Fisher Scientific Inc. All rights reserved. All trademarks are the property of Thermo Fisher Scientific and its subsidiaries unless otherwise specified.
          China flag icon
          China
          本网站销售的所有产品均不得用于人类或动物之临床诊断或治疗,仅可用于工业或者科研等非医疗目的。
             电子营业执照 | 经营证照公示 | ICP备案号:沪ICP备11003924号 | 沪公网安备 31011502006935号

          Your items have has been added!


          Host server : magellan-search-blue-55ff9ddd88-4pdwp:80/100.66.79.31:80.
          git-commit: d366ff9721d93504b2ac26a183b2b3e3d0e7d9ec
          git-url: https://github.com/thermofisher/magellan-search
          git-branch: release/2.42.0-2026.01.03-1.0