Hamburger Menu Button
Thermo Fisher Scientific Logo
登录
没有账号?建立账号 注册
  • 产品
    • 抗体
    • 引物合成
    • GeneArt Gene Synthesis Instant Designer
    • TaqMan Assay and Array Search
    • PCR 设备和耗材
    • 色谱柱和纯化柱
    • 实验室离心机
    • 分子生物学试剂和试剂盒
    • 实验室塑料耗材及用品
    • 查看所有产品分类
  • 应用和技术
    • 色谱
    • 细胞转染和培养
    • 实时荧光定量PCR
    • 质谱
    • 实验室塑料耗材及用品
    • 电子显微镜
    • 蛋白质生物学
    • PCR
    • RNAi
    • 环境
    • 查看所有应用和技术
  • 服务
    • 定制服务
    • 企业级实验室信息化服务
    • 企业服务
    • 金融&租赁服务
    • 仪器服务
    • OEM和商业供应
    • 培训服务
    • 360° CDMO 和 CRO 服务
    • CDMO 服务
    • 临床试验 CRO 服务
    • 查看所有帮助和支持
  • 帮助和支持
    • 学习中心
    • 联系我们
    • 更改国家或地区
    • 查看所有帮助和支持
  • 热门产品
    • TaqMan Real-Time PCR Assays
      TaqMan 实时荧光定量 PCR 试剂盒
    • Antibodies
      抗体
    • Oligos, Primers & Probes
      寡核苷酸、引物、探针
    • GeneArt Gene Synthesis
      GeneArt 基因合成
    • Cell Culture Plastics
      细胞培养耗材
  • 联系我们
  • 货号直购
  • 订单查询
  • 查找文件&证书
Thermo Fisher Scientific Logo

Search

搜索全部或下列指定分类
Search button
          • 联系我们
          • 货号直购
          • 登录
            登录
            没有账号?建立账号 注册
            • 我的账号
            • 订单
            • 账单及发票查询
            • 定制产品及项目

          Disclaimer

          Clicking the images or links will redirect you to a website hosted by BenchSci that provides third-party scientific content. Neither the content nor the BenchSci technology and processes for selection have been evaluated by us; we are providing them as-is and without warranty of any kind, including for use or application of the Thermo Fisher Scientific products presented.

          • Primary Antibodies ›
          • Cathepsin F Antibodies

          Proteintech

          Cathepsin F Polyclonal Antibody

          3 篇参考文献
          查看其他8个Cathepsin F抗体

          {{$productOrderCtrl.translations['antibody.pdp.commerceCard.promotion.promotions']}}

          {{$productOrderCtrl.translations['antibody.pdp.commerceCard.promotion.viewpromo']}}

          {{$productOrderCtrl.translations['antibody.pdp.commerceCard.promotion.promocode']}}: {{promo.promoCode}} {{promo.promoTitle}} {{promo.promoDescription}}. {{$productOrderCtrl.translations['antibody.pdp.commerceCard.promotion.learnmore']}}

          说明书
          实验方案
          问题与答案
          技术支持
          说明书
          实验方案
          问题与答案
          技术支持
          说明书
          实验方案
          问题与答案
          技术支持

          Cite Cathepsin F Polyclonal Antibody

          • 抗体检测数据 (10)
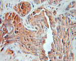
          Cathepsin F Antibody in Immunohistochemistry (Paraffin) (IHC (P))
          Group 53 Created with Sketch.
          Cathepsin F Antibody in Immunohistochemistry (Paraffin) (IHC (P))
          Group 53 Created with Sketch.

          图: 1 / 10

          {{ $ctrl.currentElement.advancedVerification.fullName }}
          {{ $ctrl.currentElement.advancedVerification.text }}

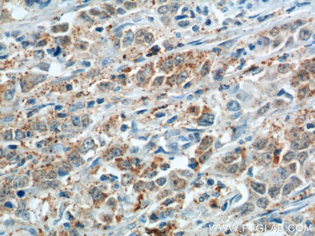
          Cathepsin F Antibody (11055-1-AP) in IHC (P)

          Immunohistochemistry of paraffin-embedded human stomach cancer tissue slide using 11055-1-AP (Cathepsin F antibody at dilution of 1:200 (under 40x lens). heat mediated antigen retrieved with Tris-EDTA buffer (pH 9). {{ $ctrl.currentElement.advancedVerification.fullName }} 验证信息 View more
          已发表图片由___提供 benchsci-logo
          PMID: {{$ctrl.currentElement.benchSciPubmedId}}
          查看产品

          {{$ctrl.videoDesc}}

          {{$ctrl.videoLongDesc}}

          Cathepsin F Antibody in Immunohistochemistry (Paraffin) (IHC (P))
          Cathepsin F Antibody in Immunohistochemistry (Paraffin) (IHC (P))
          Cathepsin F Antibody in Immunohistochemistry (Paraffin) (IHC (P))
          Cathepsin F Antibody in Immunohistochemistry (Paraffin) (IHC (P))
          Cathepsin F Antibody in Immunohistochemistry (Paraffin) (IHC (P))
          Cathepsin F Antibody in Immunohistochemistry (Paraffin) (IHC (P))
          Cathepsin F Antibody in Immunohistochemistry (Paraffin) (IHC (P))
          Cathepsin F Antibody in Immunohistochemistry (Paraffin) (IHC (P))
          Cathepsin F Antibody in Immunohistochemistry (Paraffin) (IHC (P))
          Cathepsin F Antibody in Western Blot (WB)
          Cathepsin F Polyclonal Antibody

          产品信息

          11055-1-AP

          应用
          建议稀释比
          已发表文章

          免疫印迹 (WB)

          1:500-1:2,000
          -

          免疫组化 (IHC)

          -
          查看3篇已发表文章 3篇已发表文章

          免疫组化(石蜡) (IHC (P))

          1:20-1:200
          -
          产品规格

          种属反应

          Human, Mouse, Rat

          已发表种属

          Human

          宿主/亚型

          Rabbit / IgG

          分类

          Polyclonal

          类型

          Antibody

          抗原

          Cathepsin F Fusion Protein Ag1521 (136-484 aa encoded by BC011682)
          查看免疫原

          偶联物

          Unconjugated Unconjugated Unconjugated

          形式

          Liquid

          浓度

          0.25 mg/mL

          纯化类型

          Antigen affinity chromatography

          保存液

          PBS, pH 7.3, with 50% glycerol

          内含物

          0.02% sodium azide

          保存条件

          -20°C

          运输条件

          Wet ice (domestic); Dry ice (international)

          产品详细信息

          Immunogen sequence: EPKSAFTQG SAMISSLSQN HPDNRNETFS SVISLLNEDP LSQDLPVKMA SIFKNFVITY NRTYESKEEA RWRLSVFVNN MVRAQKIQAL DRGTAQYGVT KFSDLTEEEF RTIYLNTLLR KEPGNKMKQA KSVGDLAPPE WDWRSKGAVT KVKDQGMCGS CWAFSVTGNV EGQWFLNQGT LLSLSEQELL DCDKMDKACM GGLPSNAYSA IKNLGGLETE DDYSYQGHMQ SCNFSAEKAK VYINDSVELS QNEQKLAAWL AKRGPISVAI NAFGMQFYRH GISRPLRPLC SPWLIDHAVL LVGYGNRSDV PFWAIKNSWG TDWGEKGYYY LHRGSGACGV NTMASSAVVD (136-484 aa encoded by BC011682)

          靶标信息

          Cathepsins are papain family cysteine proteinases that represent a major component of the lysosomal proteolytic system. Cathepsins generally contain a signal sequence, followed by a propeptide and then a catalytically active mature region. The very long (251 amino acid residues) proregion of the cathepsin F precursor contains a C-terminal domain similar to the pro-segment of cathepsin L-like enzymes, a 50-residue flexible linker peptide, and an N-terminal domain predicted to adopt a cystatin-like fold. The cathepsin F proregion is unique within the papain family cysteine proteases in that it contains this additional N-terminal segment predicted to share structural similarities with cysteine protease inhibitors of the cystatin superfamily. This cystatin-like domain contains some of the elements known to be important for inhibitory activity. CTSF encodes a predicted protein of 484 amino acids which contains a 19 residue signal peptide. Cathepsin F contains five potential N-glycosylation sites, and it may be targeted to the endosomal/lysosomal compartment via the mannose 6-phosphate receptor pathway. The cathepsin F gene is ubiquitously expressed, and it maps to chromosome 11q13, close to the gene encoding cathepsin W.

          仅用于科研。不用于诊断过程。未经明确授权不得转售。

          Hamburger Menu Button
          Thermo Fisher Scientific Logo
          登录
          没有账号?建立账号 注册
          • 产品
            • 抗体
            • 引物合成
            • GeneArt Gene Synthesis Instant Designer
            • TaqMan Assay and Array Search
            • PCR 设备和耗材
            • 色谱柱和纯化柱
            • 实验室离心机
            • 分子生物学试剂和试剂盒
            • 实验室塑料耗材及用品
            • 查看所有产品分类
          • 应用和技术
            • 色谱
            • 细胞转染和培养
            • 实时荧光定量PCR
            • 质谱
            • 实验室塑料耗材及用品
            • 电子显微镜
            • 蛋白质生物学
            • PCR
            • RNAi
            • 环境
            • 查看所有应用和技术
          • 服务
            • 定制服务
            • 企业级实验室信息化服务
            • 企业服务
            • 金融&租赁服务
            • 仪器服务
            • OEM和商业供应
            • 培训服务
            • 360° CDMO 和 CRO 服务
            • CDMO 服务
            • 临床试验 CRO 服务
            • 查看所有帮助和支持
          • 帮助和支持
            • 学习中心
            • 联系我们
            • 更改国家或地区
            • 查看所有帮助和支持
          • 热门产品
            • TaqMan Real-Time PCR Assays
              TaqMan 实时荧光定量 PCR 试剂盒
            • Antibodies
              抗体
            • Oligos, Primers & Probes
              寡核苷酸、引物、探针
            • GeneArt Gene Synthesis
              GeneArt 基因合成
            • Cell Culture Plastics
              细胞培养耗材
          • 联系我们
          • 货号直购
          • 订单查询
          • 查找文件&证书
          Thermo Fisher Scientific Logo

          Search

          搜索全部或下列指定分类
          Search button
                  • 联系我们
                  • 货号直购
                  • 登录
                    登录
                    没有账号?建立账号 注册
                    • 我的账号
                    • 订单
                    • 账单及发票查询
                    • 定制产品及项目
                  Unexpected Error

                  Please try again - we encountered an error while attempting to complete your request.

                  Contact website technical assistance if you see this message again.



                  订购 Plus Icon Minus Icon
                  • 订单状态查询
                  • 订单支持
                  • 货号直购
                  • 现货供应中心
                  • 电子采购
                  支持 Plus Icon Minus Icon
                  • 帮助&支持
                  • 联系我们 - 400 820 8982
                  • 技术支持中心
                  • 查找文件&证书
                  • 报告网站问题
                  资源 Plus Icon Minus Icon
                  • 学习中心
                  • 促销
                  • 活动&研讨会
                  • 社交媒体
                  关于赛默飞 Plus Icon Minus Icon
                  • 关于我们
                  • 招聘 招聘
                  • 投资者关系 投资者关系
                  • 新闻 新闻
                  • 社会责任 社会责任
                  • 商标
                  • 政策和通知
                  品牌 Plus Icon Minus Icon
                  • Thermo Scientific
                  • Applied Biosystems
                  • Invitrogen
                  • Gibco
                  • Ion Torrent
                  • Patheon
                  • PPD
                  • 服务条款
                  • 隐私政策
                  • 定价和运输保险政策
                  © 2006-2025 Thermo Fisher Scientific Inc. All rights reserved. All trademarks are the property of Thermo Fisher Scientific and its subsidiaries unless otherwise specified.
                  China flag icon
                  China
                  本网站销售的所有产品均不得用于人类或动物之临床诊断或治疗,仅可用于工业或者科研等非医疗目的。
                     电子营业执照 | 经营证照公示 | ICP备案号:沪ICP备11003924号 | 沪公网安备 31011502006935号
                  Host server : magellan-search-green-55658555d6-7l2qm:80/100.66.75.127:80.