Hamburger Menu Button
Thermo Fisher Scientific Logo
登录
没有账号?建立账号 注册
  • 产品
    • 抗体
    • 引物合成
    • GeneArt Gene Synthesis Instant Designer
    • TaqMan Assay and Array Search
    • PCR 设备和耗材
    • 色谱柱和纯化柱
    • 实验室离心机
    • 分子生物学试剂和试剂盒
    • 实验室塑料耗材及用品
    • 查看所有产品分类
  • 应用和技术
    • 色谱
    • 细胞转染和培养
    • 实时荧光定量PCR
    • 质谱
    • 实验室塑料耗材及用品
    • 电子显微镜
    • 蛋白质生物学
    • PCR
    • RNAi
    • 环境
    • 查看所有应用和技术
  • 服务
    • 定制服务
    • 企业级实验室信息化服务
    • 金融&租赁服务
    • 仪器服务
    • OEM和商业供应
    • 培训服务
    • 360° CDMO 和 CRO 服务
    • CDMO 服务
    • 临床试验 CRO 服务
    • Unity Lab Services
    • 查看所有帮助和支持
  • 帮助和支持
    • 学习中心
    • 联系我们
    • 更改国家或地区
    • 查看所有帮助和支持
  • 热门产品
    • TaqMan Real-Time PCR Assays
      TaqMan 实时荧光定量 PCR 试剂盒
    • Antibodies
      抗体
    • Oligos, Primers & Probes
      寡核苷酸、引物、探针
    • GeneArt Gene Synthesis
      GeneArt 基因合成
    • Cell Culture Plastics
      细胞培养耗材
  • Who We Serve
    • 抗体治疗解决方案
    • 细胞与基因治疗解决方案
    • 学术科研
    • 工业与应用
  • 联系我们
  • 货号直购
  • 订单查询
  • 查找文件&证书
Thermo Fisher Scientific Logo

Search

搜索全部或下列指定分类
Search button
          • 联系我们
          • 货号直购
          • 登录
            登录
            没有账号?建立账号 注册
            • 我的账号
            • 订单
            • 会员中心
            • 账单及发票查询
            • 定制产品及项目
          • Primary Antibodies ›
          • Cathepsin H/K/L/V Antibodies

          Invitrogen

          Cathepsin H/K/L/V Recombinant Rabbit Monoclonal Antibody (JM10-78)

          查看其他5个Cathepsin H/K/L/V抗体

          {{$productOrderCtrl.translations['antibody.pdp.commerceCard.promotion.promotions']}}

          {{$productOrderCtrl.translations['antibody.pdp.commerceCard.promotion.viewpromo']}}

          {{$productOrderCtrl.translations['antibody.pdp.commerceCard.promotion.promocode']}}: {{promo.promoCode}} {{promo.promoTitle}} {{promo.promoDescription}}. {{$productOrderCtrl.translations['antibody.pdp.commerceCard.promotion.learnmore']}}

          说明书
          证书
          实验方案
          问题与答案
          技术支持
          说明书
          证书
          实验方案
          问题与答案
          技术支持
          说明书
          证书
          实验方案
          问题与答案
          技术支持

          Cite Cathepsin H/K/L/V Recombinant Rabbit Monoclonal Antibody (JM10-78)

          Additional Information:
          {{banner.description}}
          {{$ctrl.isSkuNotesCollapsed ? 'View more' : 'View less'}}
          • 抗体检测数据 (4)
          Cathepsin H/K/L/V Antibody in Immunohistochemistry (Paraffin) (IHC (P))
          Group 53 Created with Sketch.
          Cathepsin H/K/L/V Antibody in Immunohistochemistry (Paraffin) (IHC (P))
          Group 53 Created with Sketch.

          图: 1 / 4

          {{ $ctrl.currentElement.advancedVerification.fullName }}
          {{ $ctrl.currentElement.advancedVerification.text }}

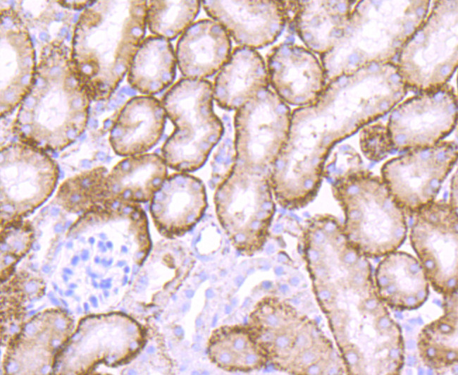
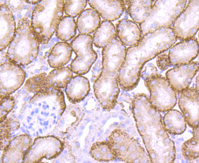
          Cathepsin H/K/L/V Antibody (MA5-32602) in IHC (P)

          Immunohistochemical analysis of Cathepsin H,K,L,V of paraffin-embedded Mouse kidney tissue using a Cathepsin-H-K-L-V Monoclonal antibody (Product #MA5-32602). Counter stained with hematoxylin. {{ $ctrl.currentElement.advancedVerification.fullName }} 验证信息 View more
          已发表图片由___提供 benchsci-logo
          PMID: {{$ctrl.currentElement.benchSciPubmedId}}
          查看产品

          {{$ctrl.videoDesc}}

          {{$ctrl.videoLongDesc}}

          Cathepsin H/K/L/V Antibody in Immunohistochemistry (Paraffin) (IHC (P))
          Cathepsin H/K/L/V Antibody in Immunohistochemistry (Paraffin) (IHC (P))
          Cathepsin H/K/L/V Antibody in Immunohistochemistry (Paraffin) (IHC (P))
          Cathepsin H/K/L/V Antibody in Western Blot (WB)
          Cathepsin H/K/L/V Recombinant Rabbit Monoclonal Antibody (JM10-78)

          产品信息

          MA5-32602

          应用
          建议稀释比
          已发表文章

          免疫印迹 (WB)

          1:500-1:2,000
          -

          免疫组化(石蜡) (IHC (P))

          1:50-1:200
          -
          产品规格

          种属反应

          Human, Mouse, Rat

          宿主/亚型

          Rabbit / IgG

          Expression System

          HEK293 cells

          分类

          Recombinant Monoclonal

          类型

          Antibody

          克隆号

          JM10-78

          抗原

          Synthetic peptide within Human Cathepsin aa 92-138.
          3D表位/免疫原

          偶联物

          Unconjugated Unconjugated Unconjugated

          形式

          Liquid

          浓度

          1 mg/mL

          规格

          100 µg

          纯化类型

          Protein A

          保存液

          TBS, pH 7.4, with 40% Glycerol, 0.05% BSA

          内含物

          0.05% sodium azide

          保存条件

          Store at 4°C short term. For long term storage, store at -20°C, avoiding freeze/thaw cycles.

          运输条件

          Ambient (domestic); Wet ice (international)

          RRID

          AB_2809879

          产品详细信息

          Recombinant rabbit monoclonal antibodies are produced using in vitro expression systems. The expression systems are developed by cloning in the specific antibody DNA sequences from immunoreactive rabbits. Then, individual clones are screened to select the best candidates for production. The advantages of using recombinant rabbit monoclonal antibodies include: better specificity and sensitivity, lot-to-lot consistency, animal origin-free formulations, and broader immunoreactivity to diverse targets due to larger rabbit immune repertoire.

          靶标信息

          The protein encoded by this gene is a lysosomal cysteine proteinase that plays a major role in intracellular protein catabolism. Its substrates include collagen and elastin, as well as alpha-1 protease inhibitor, a major controlling element of neutrophil elastase activity. The encoded protein has been implicated in several pathologic processes, including myofibril necrosis in myopathies and in myocardial ischemia, and in the renal tubular response to proteinuria. This protein, which is a member of the peptidase C1 family, is a dimer composed of disulfide-linked heavy and light chains, both produced from a single protein precursor. Multiple alternatively spliced transcript variants have been found for this gene.

          仅用于科研。不用于诊断过程。未经明确授权不得转售。

          篇参考文献 (0)

          您是否在文献中引用过该产品?请点击下方按钮邮件告知我们。
          引用该产品

          生物信息学

          蛋白别名: aleurain; alternatively spliced; Cat H; Cat K; Cat L; Cathepsin B3; Cathepsin BA; Cathepsin K; Cathepsin L1; Cathepsin L2; cathepsin L2, preproprotein; Cathepsin O; cathepsin O1; Cathepsin O2; Cathepsin U; Cathepsin V; Cathepsin X; CP-2; CTSH; CTSK; CTSL; Cyclic protein 2; cysteine protease; furless; hCATL AIII; lysosomal cysteine protease; Major excreted protein; MEP; minisatellite 10q detected by probe MMS10; N-benzoylarginine-beta-naphthylamide hydrolase; nackt; p39 cysteine proteinase; Pro-cathepsin H; Procathepsin L; protease; unnamed protein product

          查看更多 收起

          基因别名: 1190035F06Rik; ACC-4; ACC-5; ACC4; ACC5; AI323530; AL022844; CATHL; catK; CATL; CATL2; CPSB; CTS02; CTSH; CTSK; CTSL; CTSL1; CTSL2; CTSO; CTSO1; CTSO2; CTSU; CTSV; fs; MEP; MMS10-Q; Ms10q; nkt; PKND; PYCD; UNQ268/PRO305

          查看更多 收起

          UniProt ID: (Human) P09668, (Human) P43235, (Human) P07711, (Human) O60911, (Rat) P00786, (Mouse) P49935, (Rat) O35186, (Mouse) P55097, (Mouse) P06797, (Rat) P07154

          查看更多 收起

          Entrez Gene ID: (Human) 1512, (Human) 1513, (Human) 1514, (Human) 1515, (Rat) 25425, (Mouse) 13036, (Rat) 29175, (Mouse) 13038, (Mouse) 13039, (Rat) 25697

          查看更多 收起

          功能
          endopeptidase activity aminopeptidase activity cysteine-type endopeptidase activity serine-type endopeptidase activity protein binding peptidase activity cysteine-type peptidase activity cysteine-type endopeptidase activator activity involved in apoptotic process peptidase activator activity involved in apoptotic process hydrolase activity HLA-A specific activating MHC class I receptor activity kininogen binding identical protein binding macromolecular complex binding thyroid hormone binding fibronectin binding collagen binding proteoglycan binding histone binding serpin family protein binding protein complex binding protein self-association cysteine-type carboxypeptidase activity peptide binding cysteine protease
          参与通路
          metanephros development T cell mediated cytotoxicity adaptive immune response immune response-regulating signaling pathway proteolysis apoptotic process immune response spermatogenesis positive regulation of gene expression positive regulation of epithelial cell migration neuropeptide catabolic process bradykinin catabolic process antigen processing and presentation positive regulation of cell migration zymogen activation protein destabilization response to retinoic acid membrane protein proteolysis surfactant homeostasis proteolysis involved in cellular protein catabolic process dichotomous subdivision of terminal units involved in lung branching ERK1 and ERK2 cascade cellular response to thyroid hormone stimulus lysosomal protein catabolic process response to odorant positive regulation of apoptotic signaling pathway mitophagy thyroid hormone generation extracellular matrix disassembly collagen catabolic process bone resorption negative regulation of cartilage development protein autoprocessing fusion of virus membrane with host plasma membrane receptor-mediated endocytosis of virus by host cell antigen processing and presentation of exogenous peptide antigen via MHC class II enkephalin processing fusion of virus membrane with host endosome membrane CD4-positive, alpha-beta T cell lineage commitment viral entry into host cell antigen processing and presentation of peptide antigen elastin catabolic process macrophage apoptotic process activation of cysteine-type endopeptidase activity involved in apoptotic process positive regulation of cell proliferation positive regulation of peptidase activity negative regulation of apoptotic process positive regulation of angiogenesis intramembranous ossification regulation of mitophagy positive regulation of protein targeting to mitochondrion cell communication negative regulation of keratinocyte proliferation protein processing hair follicle morphogenesis catagen decidualization epithelial tube branching involved in lung morphogenesis regulation of actin cytoskeleton reorganization male gonad development cellular response to starvation response to glucose multicellular organism aging response to organic cyclic compound nerve development response to gonadotropin autophagic cell death response to glucocorticoid Sertoli cell differentiation
          It has to be done as per old AB suggested Products section.

          Disclaimer

          Close

          Clicking the images or links will redirect you to a website hosted by BenchSci that provides third-party scientific content. Neither the content nor the BenchSci technology and processes for selection have been evaluated by us; we are providing them as-is and without warranty of any kind, including for use or application of the Thermo Fisher Scientific products presented.

          guarantee_icon

          性能保障

          只要您发现Invitrogen抗体在实验中的表现与网站或说明书的所述内容不符,您即可享受免费退换货服务。*

          了解更多
          help_icon

          随时为您服务

          获取常见问题的专家解答,或者直接联系我们的技术专家,咨询应用、设备、常规产品使用问题。

          联系技术支持
          订购 Plus Icon Minus Icon
          • 订单状态查询
          • 订单支持
          • 货号直购
          • 现货供应中心
          • 电子采购
          支持 Plus Icon Minus Icon
          • 帮助&支持
          • 联系我们 - 400 820 8982
          • 技术支持中心
          • 查找文件&证书
          • 报告网站问题
          资源 Plus Icon Minus Icon
          • 学习中心
          • 促销
          • 活动&研讨会
          • 社交媒体
          关于赛默飞 Plus Icon Minus Icon
          • 关于我们
          • 招聘 招聘
          • 投资者关系 投资者关系
          • 新闻 新闻
          • 社会责任 社会责任
          • 商标
          • 政策和通知
          品牌 Plus Icon Minus Icon
          • Thermo Scientific
          • Applied Biosystems
          • Invitrogen
          • Gibco
          • Ion Torrent
          • Unity Lab Services
          • Patheon
          • PPD
          • 服务条款
          • 隐私政策
          • 定价和运输保险政策
          © 2006-2026 Thermo Fisher Scientific Inc. All rights reserved. All trademarks are the property of Thermo Fisher Scientific and its subsidiaries unless otherwise specified.
          China flag icon
          China
          本网站销售的所有产品均不得用于人类或动物之临床诊断或治疗,仅可用于工业或者科研等非医疗目的。
             电子营业执照 | 经营证照公示 | ICP备案号:沪ICP备11003924号 | 沪公网安备 31011502006935号

          Your items have has been added!


          Host server : magellan-search-green-6479c7f679-sz4vp:80/100.66.76.236:80.
          git-commit: b70c0dceb888abc3b0dcebb5bc3a5b8753e7e816
          git-url: https://github.com/thermofisher/magellan-search
          git-branch: release/2.50.0-Offline