Hamburger Menu Button
Thermo Fisher Scientific Logo
登录
没有账号?建立账号 注册
  • 产品
    • 抗体
    • 引物合成
    • GeneArt Gene Synthesis Instant Designer
    • TaqMan Assay and Array Search
    • PCR 设备和耗材
    • 色谱柱和纯化柱
    • 实验室离心机
    • 分子生物学试剂和试剂盒
    • 实验室塑料耗材及用品
    • 查看所有产品分类
  • 应用和技术
    • 色谱
    • 细胞转染和培养
    • 实时荧光定量PCR
    • 质谱
    • 实验室塑料耗材及用品
    • 电子显微镜
    • 蛋白质生物学
    • PCR
    • RNAi
    • 环境
    • 查看所有应用和技术
  • 服务
    • 定制服务
    • 企业级实验室信息化服务
    • 金融&租赁服务
    • 仪器服务
    • OEM和商业供应
    • 培训服务
    • 360° CDMO 和 CRO 服务
    • CDMO 服务
    • 临床试验 CRO 服务
    • Unity Lab Services
    • 查看所有帮助和支持
  • 帮助和支持
    • 学习中心
    • 联系我们
    • 更改国家或地区
    • 查看所有帮助和支持
  • 热门产品
    • TaqMan Real-Time PCR Assays
      TaqMan 实时荧光定量 PCR 试剂盒
    • Antibodies
      抗体
    • Oligos, Primers & Probes
      寡核苷酸、引物、探针
    • GeneArt Gene Synthesis
      GeneArt 基因合成
    • Cell Culture Plastics
      细胞培养耗材
  • Who We Serve
    • 抗体治疗解决方案
    • 细胞与基因治疗解决方案
    • 学术科研
    • 工业与应用
  • 联系我们
  • 货号直购
  • 订单查询
  • 查找文件&证书
Thermo Fisher Scientific Logo

Search

搜索全部或下列指定分类
Search button
          • 联系我们
          • 货号直购
          • 登录
            登录
            没有账号?建立账号 注册
            • 我的账号
            • 订单
            • 会员中心
            • 账单及发票查询
            • 定制产品及项目
          • Primary Antibodies ›
          • Caveolin 1 Antibodies

          Bioss

          Caveolin-1 Polyclonal Antibody

          查看其他39个Caveolin 1抗体

          {{$productOrderCtrl.translations['antibody.pdp.commerceCard.promotion.promotions']}}

          {{$productOrderCtrl.translations['antibody.pdp.commerceCard.promotion.viewpromo']}}

          {{$productOrderCtrl.translations['antibody.pdp.commerceCard.promotion.promocode']}}: {{promo.promoCode}} {{promo.promoTitle}} {{promo.promoDescription}}. {{$productOrderCtrl.translations['antibody.pdp.commerceCard.promotion.learnmore']}}

          说明书
          证书
          实验方案
          问题与答案
          技术支持
          说明书
          证书
          实验方案
          问题与答案
          技术支持
          说明书
          证书
          实验方案
          问题与答案
          技术支持

          Cite Caveolin-1 Polyclonal Antibody

          Additional Information:
          {{banner.description}}
          {{$ctrl.isSkuNotesCollapsed ? 'View more' : 'View less'}}
          • 抗体检测数据 (5)
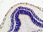
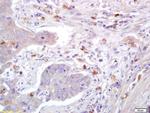
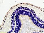
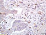
          Caveolin-1 Antibody in Immunohistochemistry (Paraffin) (IHC (P))
          Group 53 Created with Sketch.
          Caveolin-1 Antibody in Immunohistochemistry (Paraffin) (IHC (P))
          Group 53 Created with Sketch.

          图: 1 / 5

          {{ $ctrl.currentElement.advancedVerification.fullName }}
          {{ $ctrl.currentElement.advancedVerification.text }}

          Caveolin-1 Antibody (BS-1453R) in IHC (P)

          Formalin-fixed and paraffin embedded mouse eye labeled with Anti Caveolin-1 Polyclonal Antibody, Unconjugated (bs-1453R) at 1:200 followed by conjugation to the secondary antibody and DAB staining. {{ $ctrl.currentElement.advancedVerification.fullName }} 验证信息 View more
          已发表图片由___提供 benchsci-logo
          PMID: {{$ctrl.currentElement.benchSciPubmedId}}
          查看产品

          {{$ctrl.videoDesc}}

          {{$ctrl.videoLongDesc}}

          Caveolin-1 Antibody in Immunohistochemistry (Paraffin) (IHC (P))
          Caveolin-1 Antibody in Immunohistochemistry (Paraffin) (IHC (P))
          Caveolin-1 Antibody in Western Blot (WB)
          Caveolin-1 Antibody in Western Blot (WB)
          Caveolin-1 Antibody in Flow Cytometry (Flow)
          Caveolin-1 Polyclonal Antibody

          产品信息

          BS-1453R

          应用
          建议稀释比
          已发表文章

          免疫印迹 (WB)

          1:200
          -

          免疫组化(石蜡) (IHC (P))

          1:200
          -

          免疫组化(冰冻) (IHC (F))

          1:100-1:500
          -

          免疫细胞化学 (ICC/IF)

          1:50-1:200
          -

          流式细胞分析 (Flow)

          1:100
          -

          酶联免疫吸附实验 (ELISA)

          1:500-1:1,000
          -
          产品规格

          种属反应

          Human, Mouse, Rat

          宿主/亚型

          Rabbit / IgG

          分类

          Polyclonal

          类型

          Antibody

          抗原

          KLH conjugated synthetic peptide derived from human Caveolin-1, amino acids 2-120.
          3D表位/免疫原

          偶联物

          Unconjugated Unconjugated Unconjugated

          形式

          Liquid

          浓度

          1 mg/mL

          规格

          100 µg

          纯化类型

          Protein A

          保存液

          0.01M TBS, pH 7.4, with 50% glycerol, 1% BSA

          内含物

          0.02% ProClin 300

          保存条件

          -20°C

          运输条件

          Ambient (domestic); Wet ice (international)

          靶标信息

          Caveolin-1 or CAV1 is a scaffolding proteins within caveolar membranes. It interacts directly with G-protein alpha subunits and can functionally regulate their activity. Caveolin-1 is also involved in the co-stimulatory signal essential for T-cell receptor (TCR) mediated T-cell activation. It can bind with DPP4 and induces T-cell proliferation and NF-kappa-B activation in a T-cell receptor/CD3-dependent manner. Mutations affecting the CAV1 gene can result in congenital generalized lipodystrophy 3, pulmonary hypertension primary 3, or partial lipodystrophy/congenital cataracts, and neurodegeneration syndrome.

          仅用于科研。不用于诊断过程。未经明确授权不得转售。

          篇参考文献 (0)

          您是否在文献中引用过该产品?请点击下方按钮邮件告知我们。
          引用该产品

          生物信息学

          蛋白别名: caveolae; caveolin 1, caveolae protein, 22kDa; caveolin caveolae protein 22 kDa; caveolin, caveolae protein 1; caveolin, caveolae protein, 22 kDa; Caveolin-1; cell growth-inhibiting protein 32; GIG32; HGNC:1527; OTTHUMP00000196475; unnamed protein product

          查看更多 收起

          基因别名: BSCL3; CAV; Cav-1; CAV1; CGL3; LCCNS; MSTP085; PPH3; VIP21

          查看更多 收起

          UniProt ID: (Human) Q03135, (Mouse) P49817

          查看更多 收起

          Entrez Gene ID: (Human) 857, (Mouse) 12389, (Rat) 25404

          查看更多 收起

          功能
          receptor binding patched binding protein binding oxysterol binding cholesterol binding peptidase activator activity enzyme binding protein kinase binding protein tyrosine kinase inhibitor activity protein binding, bridging small GTPase binding nitric-oxide synthase inhibitor activity identical protein binding ion channel binding macromolecular complex binding protein heterodimerization activity nitric-oxide synthase binding ATPase binding binding, bridging inward rectifier potassium channel inhibitor activity protein sequestering activity SNARE binding RNA polymerase I transcription factor binding structural molecule activity kinase binding syntaxin binding protein complex scaffold MDM2/MDM4 family protein binding scaffold/adaptor protein
          参与通路
          negative regulation of transcription from RNA polymerase II promoter MAPK cascade angiogenesis vasculogenesis response to hypoxia endothelial cell proliferation negative regulation of endothelial cell proliferation negative regulation of cytokine-mediated signaling pathway regulation of the force of heart contraction glandular epithelial cell differentiation response to ischemia regulation of the force of heart contraction by chemical signal triglyceride metabolic process nitric oxide biosynthetic process calcium ion transport cellular calcium ion homeostasis regulation of smooth muscle contraction skeletal muscle tissue development lactation protein localization cell proliferation negative regulation of cell proliferation cellular response to starvation response to bacterium negative regulation of signal transduction positive regulation of calcium ion transport into cytosol posttranscriptional regulation of gene expression positive regulation of gene expression positive regulation of cholesterol efflux protein transport vesicle organization receptor-mediated endocytosis of virus by host cell regulation of fatty acid metabolic process cytokine-mediated signaling pathway lipid storage cell differentiation regulation of blood coagulation cholesterol transport positive regulation of cell migration negative regulation of BMP signaling pathway negative regulation of epithelial cell differentiation mammary gland development T cell costimulation negative regulation of protein ubiquitination positive regulation of protein ubiquitination receptor internalization maintenance of protein location in cell response to progesterone nitric oxide homeostasis toll-like receptor 4 signaling pathway regulation of toll-like receptor 4 signaling pathway insulin receptor internalization angiotensin-activated signaling pathway vasoconstriction cholesterol homeostasis positive regulation of I-kappaB kinase/NF-kappaB signaling negative regulation of MAPK cascade response to estrogen protein localization to plasma membrane raft negative regulation of nitric oxide biosynthetic process positive regulation of vasoconstriction nitric oxide metabolic process negative regulation of JAK-STAT cascade muscle cell cellular homeostasis fibroblast proliferation negative regulation of fibroblast proliferation negative regulation of pinocytosis regulation of cytosolic calcium ion concentration response to calcium ion establishment of localization in cell membrane depolarization calcium ion homeostasis mammary gland involution canonical Wnt signaling pathway negative regulation of necroptotic process caveola assembly cellular response to misfolded protein cellular response to peptide hormone stimulus cellular response to hyperoxia cellular response to transforming growth factor beta stimulus basement membrane organization caveolin-mediated endocytosis regulation of heart rate by cardiac conduction negative regulation of canonical Wnt signaling pathway apoptotic signaling pathway regulation of membrane repolarization during action potential regulation of cardiac muscle cell action potential involved in regulation of contraction regulation of ventricular cardiac muscle cell action potential positive regulation of cold-induced thermogenesis regulation of ruffle assembly negative regulation of potassium ion transmembrane transport regulation of cell communication by electrical coupling involved in cardiac conduction protein localization to basolateral plasma membrane positive regulation of gap junction assembly positive regulation of ERAD pathway regulation of entry of bacterium into host cell negative regulation of anoikis positive regulation of extrinsic apoptotic signaling pathway positive regulation of intrinsic apoptotic signaling pathway inactivation of MAPK activity positive regulation of endothelial cell proliferation endocytosis response to mechanical stimulus positive regulation of signal transduction negative regulation of muscle cell apoptotic process positive regulation of peptidase activity positive regulation of microtubule polymerization negative regulation of protein binding positive regulation of protein binding negative regulation of peptidyl-serine phosphorylation positive regulation of peptidyl-serine phosphorylation cholesterol efflux positive regulation of toll-like receptor 3 signaling pathway wound healing negative regulation of tyrosine phosphorylation of Stat5 protein positive regulation of catalytic activity negative regulation of MAP kinase activity negative regulation of neuron differentiation positive regulation of endocytosis microtubule polymerization negative regulation of smooth muscle cell proliferation negative regulation of nitric-oxide synthase activity protein oligomerization protein homooligomerization regulation of peptidase activity positive regulation of cell adhesion molecule production negative regulation of protein tyrosine kinase activity negative regulation of ERK1 and ERK2 cascade cellular response to mechanical stimulus cellular response to exogenous dsRNA angiotensin-activated signaling pathway involved in heart process positive regulation of canonical Wnt signaling pathway cellular senescence negative regulation of peptidyl-tyrosine autophosphorylation regulation of inward rectifier potassium channel activity receptor internalization involved in canonical Wnt signaling pathway negative regulation of cation channel activity response to nutrient response to gamma radiation organ regeneration response to drug response to glucocorticoid
          It has to be done as per old AB suggested Products section.

          Disclaimer

          Close

          Clicking the images or links will redirect you to a website hosted by BenchSci that provides third-party scientific content. Neither the content nor the BenchSci technology and processes for selection have been evaluated by us; we are providing them as-is and without warranty of any kind, including for use or application of the Thermo Fisher Scientific products presented.

          guarantee_icon

          性能保障

          只要您发现Invitrogen抗体在实验中的表现与网站或说明书的所述内容不符,您即可享受免费退换货服务。*

          了解更多
          help_icon

          随时为您服务

          获取常见问题的专家解答,或者直接联系我们的技术专家,咨询应用、设备、常规产品使用问题。

          联系技术支持
          订购 Plus Icon Minus Icon
          • 订单状态查询
          • 订单支持
          • 货号直购
          • 现货供应中心
          • 电子采购
          支持 Plus Icon Minus Icon
          • 帮助&支持
          • 联系我们 - 400 820 8982
          • 技术支持中心
          • 查找文件&证书
          • 报告网站问题
          资源 Plus Icon Minus Icon
          • 学习中心
          • 促销
          • 活动&研讨会
          • 社交媒体
          关于赛默飞 Plus Icon Minus Icon
          • 关于我们
          • 招聘 招聘
          • 投资者关系 投资者关系
          • 新闻 新闻
          • 社会责任 社会责任
          • 商标
          • 政策和通知
          品牌 Plus Icon Minus Icon
          • Thermo Scientific
          • Applied Biosystems
          • Invitrogen
          • Gibco
          • Ion Torrent
          • Unity Lab Services
          • Patheon
          • PPD
          • 服务条款
          • 隐私政策
          • 定价和运输保险政策
          © 2006-2026 Thermo Fisher Scientific Inc. All rights reserved. All trademarks are the property of Thermo Fisher Scientific and its subsidiaries unless otherwise specified.
          China flag icon
          China
          本网站销售的所有产品均不得用于人类或动物之临床诊断或治疗,仅可用于工业或者科研等非医疗目的。
             电子营业执照 | 经营证照公示 | ICP备案号:沪ICP备11003924号 | 沪公网安备 31011502006935号

          Your items have has been added!


          Host server : magellan-search-blue-7c59b9b899-7wltc:80/100.66.72.81:80.
          git-commit: 8ef7cf686e3c81d28b13492708ce56d167b2f995
          git-url: https://github.com/thermofisher/magellan-search
          git-branch: release/2.49.0-Offline