Hamburger Menu Button
Thermo Fisher Scientific Logo
登录
没有账号?建立账号 注册
  • 产品
    • 抗体
    • 引物合成
    • GeneArt Gene Synthesis Instant Designer
    • TaqMan Assay and Array Search
    • PCR 设备和耗材
    • 色谱柱和纯化柱
    • 实验室离心机
    • 分子生物学试剂和试剂盒
    • 实验室塑料耗材及用品
    • 查看所有产品分类
  • 应用和技术
    • 色谱
    • 细胞转染和培养
    • 实时荧光定量PCR
    • 质谱
    • 实验室塑料耗材及用品
    • 电子显微镜
    • 蛋白质生物学
    • PCR
    • RNAi
    • 环境
    • 查看所有应用和技术
  • 服务
    • 定制服务
    • 企业级实验室信息化服务
    • 金融&租赁服务
    • 仪器服务
    • OEM和商业供应
    • 培训服务
    • 360° CDMO 和 CRO 服务
    • CDMO 服务
    • 临床试验 CRO 服务
    • Unity Lab Services
    • 查看所有帮助和支持
  • 帮助和支持
    • 学习中心
    • 联系我们
    • 更改国家或地区
    • 查看所有帮助和支持
  • 热门产品
    • TaqMan Real-Time PCR Assays
      TaqMan 实时荧光定量 PCR 试剂盒
    • Antibodies
      抗体
    • Oligos, Primers & Probes
      寡核苷酸、引物、探针
    • GeneArt Gene Synthesis
      GeneArt 基因合成
    • Cell Culture Plastics
      细胞培养耗材
  • Who We Serve
    • 抗体治疗解决方案
    • 细胞与基因治疗解决方案
    • 学术科研
    • 工业与应用
  • 联系我们
  • 货号直购
  • 订单查询
  • 查找文件&证书
Thermo Fisher Scientific Logo

Search

搜索全部或下列指定分类
Search button
          • 联系我们
          • 货号直购
          • 登录
            登录
            没有账号?建立账号 注册
            • 我的账号
            • 订单
            • 账单及发票查询
            • 定制产品及项目
          • Primary Antibodies ›
          • CD2AP Antibodies

          Proteintech

          Cd2ap Polyclonal Antibody

          3 篇参考文献
          查看其他11个CD2AP抗体

          {{$productOrderCtrl.translations['antibody.pdp.commerceCard.promotion.promotions']}}

          {{$productOrderCtrl.translations['antibody.pdp.commerceCard.promotion.viewpromo']}}

          {{$productOrderCtrl.translations['antibody.pdp.commerceCard.promotion.promocode']}}: {{promo.promoCode}} {{promo.promoTitle}} {{promo.promoDescription}}. {{$productOrderCtrl.translations['antibody.pdp.commerceCard.promotion.learnmore']}}

          说明书
          证书
          实验方案
          问题与答案
          技术支持
          说明书
          证书
          实验方案
          问题与答案
          技术支持
          说明书
          证书
          实验方案
          问题与答案
          技术支持

          Cite Cd2ap Polyclonal Antibody

          Additional Information:
          {{banner.description}}
          {{$ctrl.isSkuNotesCollapsed ? 'View more' : 'View less'}}
          • 抗体检测数据 (6)
          Cd2ap Antibody in Immunohistochemistry (Paraffin) (IHC (P))
          Group 53 Created with Sketch.
          Cd2ap Antibody in Immunohistochemistry (Paraffin) (IHC (P))
          Group 53 Created with Sketch.

          图: 1 / 6

          {{ $ctrl.currentElement.advancedVerification.fullName }}
          {{ $ctrl.currentElement.advancedVerification.text }}

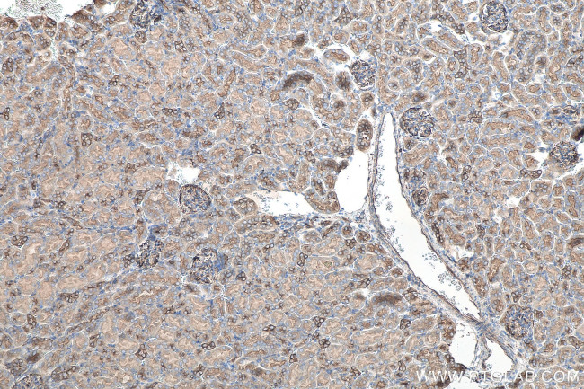
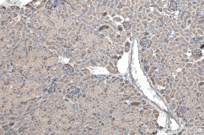
          Cd2ap Antibody (24122-1-AP) in IHC (P)

          Immunohistochemical analysis of paraffin-embedded mouse kidney tissue slide using (Product # 24122-1-AP) (Cd2ap antibody) at dilution of 1:2,000 (under 10x lens). Heat mediated antigen retrieval with Tris-EDTA buffer (pH 9.0). {{ $ctrl.currentElement.advancedVerification.fullName }} 验证信息 View more
          已发表图片由___提供 benchsci-logo
          PMID: {{$ctrl.currentElement.benchSciPubmedId}}
          查看产品

          {{$ctrl.videoDesc}}

          {{$ctrl.videoLongDesc}}

          Cd2ap Antibody in Immunohistochemistry (Paraffin) (IHC (P))
          Cd2ap Antibody in Immunohistochemistry (Paraffin) (IHC (P))
          Cd2ap Antibody in Immunohistochemistry (Paraffin) (IHC (P))
          Cd2ap Antibody in Immunohistochemistry (Paraffin) (IHC (P))
          Cd2ap Antibody in Western Blot (WB)
          Cd2ap Antibody in Western Blot (WB)
          Cd2ap Polyclonal Antibody

          产品信息

          24122-1-AP

          应用
          建议稀释比
          已发表文章

          免疫印迹 (WB)

          1:2,000-1:12,000
          查看3篇已发表文章 3篇已发表文章

          免疫组化(石蜡) (IHC (P))

          1:50-1:500
          -
          产品规格

          种属反应

          Human

          宿主/亚型

          Rabbit / IgG

          分类

          Polyclonal

          类型

          Antibody

          抗原

          Cd2ap Fusion Protein Ag21170 (1-637 aa encoded by BC157901)
          3D表位/免疫原

          偶联物

          Unconjugated Unconjugated Unconjugated

          形式

          Liquid

          浓度

          0.33 mg/mL

          规格

          49.5 µg

          纯化类型

          Antigen affinity chromatography

          保存液

          PBS, pH 7.3, with 50% glycerol

          内含物

          0.02% sodium azide

          保存条件

          -20°C

          运输条件

          Wet ice (domestic); Dry ice (international)

          产品详细信息

          Immunogen sequence: MVDYIVEYD YDAVHDDELT IRVGEIIRNV KKLQEEGWLE GELNGRRGMF PDNFVKEIKR ETEPKDDNLP IKRERQGNVA SLVQRISTYG LPAGGIQPHP QTKAIKKKTK KRQCKVLFDY SPQNEDELEL IVGDVIDVIE EVEEGWWSGT LNNKLGLFPS NFVKELESTE DGETHNAQEE SEVPLTGPTS PLPSPGNGSE PAPGSVAQPK KIRGIGFGDI FKEGSVKLRT RTSSSETEEK KTEKPLILQP LGSRTQNVEV TKPDVDGKIK AKEYCRTLFP YTGTNEDELT FREGEIIHLI SKETGEAGWW KGELNGKEGV FPDNFAVQIS ELDKDFPKPK KPPPPAKGPA PKPDLSAAEK KAFPLKAEEK DEKSLLEQKP SKPAAPQVPP KKPTAPTKAS NLLRSPGAVY PKRPEKPVPP PPPAAKINGE VSIISSKIDT EPVSKPKLDP EQLPVRPKSV DLDAFVARNS KETDDVNFDD IASSENLLHL TANRPKMPGR RLPGRFNGGH SPTQSPEKTL KLPKEDDSGN LKPLEFKKDA SYSSKPSLST PSSASKVNTA AFLTPLELKA KAEADDGKKN SVDELRAQII ELLCIVDALK KDHGKELEKL RKELEEEKAM RSNLEVEIAK LKKAVLLS (1-637 aa encoded by BC157901)

          靶标信息

          This gene encodes a scaffolding molecule that regulates the actin cytoskeleton. The protein directly interacts with filamentous actin and a variety of cell membrane proteins through multiple actin binding sites, SH3 domains, and a proline-rich region containing binding sites for SH3 domains. The cytoplasmic protein localizes to membrane ruffles, lipid rafts, and the leading edges of cells. It is implicated in dynamic actin remodeling and membrane trafficking that occurs during receptor endocytosis and cytokinesis. Haploinsufficiency of this gene is implicated in susceptibility to glomerular disease.

          仅用于科研。不用于诊断过程。未经明确授权不得转售。

          生物信息学

          蛋白别名: Adapter protein CMS; Cas ligand with multiple SH3 domains; Cas ligand with multiple Src homology (SH) 3 domains; Cas ligand with multiple Src homology 3 (SH3) domains; CD2-associated protein

          查看更多 收起

          基因别名: CD2AP; CMS

          查看更多 收起

          UniProt ID: (Human) Q9Y5K6

          查看更多 收起

          Entrez Gene ID: (Human) 23607

          查看更多 收起

          功能
          actin binding structural constituent of cytoskeleton protein binding SH3 domain binding clathrin binding phosphatidylinositol 3-kinase regulatory subunit binding identical protein binding cadherin binding actin filament binding
          参与通路
          immunological synapse formation kidney development liver development endothelium development lipid metabolic process apoptotic process substrate-dependent cell migration, cell extension inflammatory response response to oxidative stress actin filament organization signal transduction cell proliferation male gonad development protein secretion response to wounding response to virus gene expression protein transport cell migration actin filament polymerization cell differentiation protein catabolic process neuron projection development Rab protein signal transduction glomerulus development response to insulin transforming growth factor beta1 production negative regulation of transforming growth factor beta1 production regulation of actin cytoskeleton organization maintenance of blood-brain barrier neurotrophin signaling pathway nerve growth factor signaling pathway protein kinase B signaling negative regulation of neuron apoptotic process cell-cell adhesion mediated by cadherin cell-cell junction organization glucose import filopodium assembly neurotrophin TRK receptor signaling pathway regulation of synaptic plasticity lymph node development collateral sprouting positive regulation of protein secretion synapse organization T cell receptor signaling pathway negative regulation of small GTPase mediated signal transduction protein heterooligomerization cell division stress-activated MAPK cascade localization of cell adipose tissue development membrane organization protein-containing complex assembly ERK1 and ERK2 cascade response to transforming growth factor beta glomerular visceral epithelial cell differentiation renal albumin absorption positive regulation of protein localization to nucleus response to glial cell derived neurotrophic factor
          It has to be done as per old AB suggested Products section.

          Disclaimer

          Close

          Clicking the images or links will redirect you to a website hosted by BenchSci that provides third-party scientific content. Neither the content nor the BenchSci technology and processes for selection have been evaluated by us; we are providing them as-is and without warranty of any kind, including for use or application of the Thermo Fisher Scientific products presented.

          guarantee_icon

          性能保障

          只要您发现Invitrogen抗体在实验中的表现与网站或说明书的所述内容不符,您即可享受免费退换货服务。*

          了解更多
          help_icon

          随时为您服务

          获取常见问题的专家解答,或者直接联系我们的技术专家,咨询应用、设备、常规产品使用问题。

          联系技术支持
          订购 Plus Icon Minus Icon
          • 订单状态查询
          • 订单支持
          • 货号直购
          • 现货供应中心
          • 电子采购
          支持 Plus Icon Minus Icon
          • 帮助&支持
          • 联系我们 - 400 820 8982
          • 技术支持中心
          • 查找文件&证书
          • 报告网站问题
          资源 Plus Icon Minus Icon
          • 学习中心
          • 促销
          • 活动&研讨会
          • 社交媒体
          关于赛默飞 Plus Icon Minus Icon
          • 关于我们
          • 招聘 招聘
          • 投资者关系 投资者关系
          • 新闻 新闻
          • 社会责任 社会责任
          • 商标
          • 政策和通知
          品牌 Plus Icon Minus Icon
          • Thermo Scientific
          • Applied Biosystems
          • Invitrogen
          • Gibco
          • Ion Torrent
          • Unity Lab Services
          • Patheon
          • PPD
          • 服务条款
          • 隐私政策
          • 定价和运输保险政策
          © 2006-2026 Thermo Fisher Scientific Inc. All rights reserved. All trademarks are the property of Thermo Fisher Scientific and its subsidiaries unless otherwise specified.
          China flag icon
          China
          本网站销售的所有产品均不得用于人类或动物之临床诊断或治疗,仅可用于工业或者科研等非医疗目的。
             电子营业执照 | 经营证照公示 | ICP备案号:沪ICP备11003924号 | 沪公网安备 31011502006935号

          Your items have has been added!


          Host server : magellan-search-green-6b469b8bb7-p58g2:80/100.66.72.198:80.
          git-commit: a334af76dff23450325448aedefe62379591458a
          git-url: https://github.com/thermofisher/magellan-search
          git-branch: release/2.48.1-2026.04.16-1.0