Hamburger Menu Button
Thermo Fisher Scientific Logo
登录
没有账号?建立账号 注册
  • 产品
    • 抗体
    • 引物合成
    • GeneArt Gene Synthesis Instant Designer
    • TaqMan Assay and Array Search
    • PCR 设备和耗材
    • 色谱柱和纯化柱
    • 实验室离心机
    • 分子生物学试剂和试剂盒
    • 实验室塑料耗材及用品
    • 查看所有产品分类
  • 应用和技术
    • 色谱
    • 细胞转染和培养
    • 实时荧光定量PCR
    • 质谱
    • 实验室塑料耗材及用品
    • 电子显微镜
    • 蛋白质生物学
    • PCR
    • RNAi
    • 环境
    • 查看所有应用和技术
  • 服务
    • 定制服务
    • 企业级实验室信息化服务
    • 金融&租赁服务
    • 仪器服务
    • OEM和商业供应
    • 培训服务
    • 360° CDMO 和 CRO 服务
    • CDMO 服务
    • 临床试验 CRO 服务
    • Unity Lab Services
    • 查看所有帮助和支持
  • 帮助和支持
    • 学习中心
    • 联系我们
    • 更改国家或地区
    • 查看所有帮助和支持
  • 热门产品
    • TaqMan Real-Time PCR Assays
      TaqMan 实时荧光定量 PCR 试剂盒
    • Antibodies
      抗体
    • Oligos, Primers & Probes
      寡核苷酸、引物、探针
    • GeneArt Gene Synthesis
      GeneArt 基因合成
    • Cell Culture Plastics
      细胞培养耗材
  • Who We Serve
    • 抗体治疗解决方案
    • 细胞与基因治疗解决方案
    • 学术科研
    • 工业与应用
  • 联系我们
  • 货号直购
  • 订单查询
  • 查找文件&证书
Thermo Fisher Scientific Logo

Search

搜索全部或下列指定分类
Search button
          • 联系我们
          • 货号直购
          • 登录
            登录
            没有账号?建立账号 注册
            • 我的账号
            • 订单
            • 会员中心
            • 账单及发票查询
            • 定制产品及项目
          • Primary Antibodies ›
          • Claudin 1 Antibodies

          Invitrogen

          Claudin 1 Polyclonal Antibody (MH25)

          高级验证
          88个已发表图片
          194 篇参考文献
          查看其他25个Claudin 1抗体

          {{$productOrderCtrl.translations['antibody.pdp.commerceCard.promotion.promotions']}}

          {{$productOrderCtrl.translations['antibody.pdp.commerceCard.promotion.viewpromo']}}

          {{$productOrderCtrl.translations['antibody.pdp.commerceCard.promotion.promocode']}}: {{promo.promoCode}} {{promo.promoTitle}} {{promo.promoDescription}}. {{$productOrderCtrl.translations['antibody.pdp.commerceCard.promotion.learnmore']}}

          说明书
          证书
          实验方案
          问题与答案
          技术支持
          说明书
          证书
          实验方案
          问题与答案
          技术支持
          说明书
          证书
          实验方案
          问题与答案
          技术支持

          Cite Claudin 1 Polyclonal Antibody (MH25)

          Additional Information:
          {{banner.description}}
          {{$ctrl.isSkuNotesCollapsed ? 'View more' : 'View less'}}
          • 抗体检测数据 (4)
          • 已发表图片 (88)
          • 高级验证 (2)
          Claudin 1 Antibody in Immunohistochemistry (Paraffin) (IHC (P))
          Group 53 Created with Sketch.
          Claudin 1 Antibody in Immunohistochemistry (Paraffin) (IHC (P))
          Group 53 Created with Sketch.

          图: 1 / 94

          {{ $ctrl.currentElement.advancedVerification.fullName }}
          {{ $ctrl.currentElement.advancedVerification.text }}

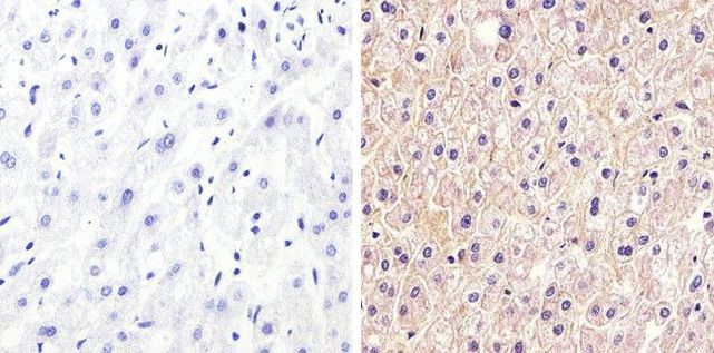
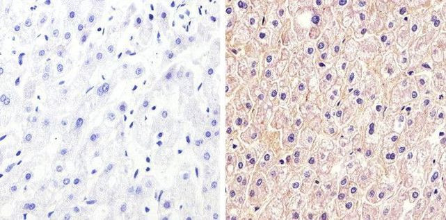
          Claudin 1 Antibody (71-7800) in IHC (P)

          Immunohistochemistry analysis of Claudin-1 showing staining in the membrane and weak cytoplasm staining of paraffin-embedded human liver tissue (right) compared to a negative control without primary antibody (left). To expose target proteins, antigen retrieval was performed using 10mM sodium citrate (pH 6.0), microwaved for 8-15 min. Following antigen retrieval, tissues were blocked in 3% H2O2-methanol for ... View More {{ $ctrl.currentElement.advancedVerification.fullName }} 验证信息 View more
          已发表图片由___提供 benchsci-logo
          PMID: {{$ctrl.currentElement.benchSciPubmedId}}
          查看产品

          {{$ctrl.videoDesc}}

          {{$ctrl.videoLongDesc}}

          Claudin 1 Antibody in Immunohistochemistry (Paraffin) (IHC (P))
          Claudin 1 Antibody in Immunohistochemistry (IHC)
          Claudin 1 Antibody in Western Blot (WB)
          Claudin 1 Antibody in Western Blot (WB)
          Claudin 1 Antibody in Western Blot, Immunohistochemistry (WB, IHC)
          Claudin 1 Antibody in Western Blot (WB)
          Claudin 1 Antibody in Immunocytochemistry (ICC/IF)
          Claudin 1 Antibody in Immunohistochemistry (Paraffin) (IHC (P))
          Claudin 1 Antibody in Immunohistochemistry (IHC)
          Claudin 1 Antibody in Immunohistochemistry (IHC)
          Claudin 1 Antibody in Western Blot, Immunohistochemistry (WB, IHC)
          Claudin 1 Antibody in Western Blot (WB)
          Claudin 1 Antibody in Immunocytochemistry (ICC/IF)
          Claudin 1 Antibody in Immunocytochemistry (ICC/IF)
          Claudin 1 Antibody in Immunocytochemistry (ICC/IF)
          Claudin 1 Antibody in Immunocytochemistry (ICC/IF)
          Claudin 1 Antibody in Immunocytochemistry (ICC/IF)
          Claudin 1 Antibody in Immunocytochemistry (ICC/IF)
          Claudin 1 Antibody in Immunocytochemistry (ICC/IF)
          Claudin 1 Antibody in Immunocytochemistry (ICC/IF)
          Claudin 1 Antibody in Immunocytochemistry (ICC/IF)
          Claudin 1 Antibody in Western Blot, Immunocytochemistry (WB, ICC/IF)
          Claudin 1 Antibody in Western Blot, Immunocytochemistry (WB, ICC/IF)
          Claudin 1 Antibody in Immunocytochemistry (ICC/IF)
          Claudin 1 Antibody in Immunocytochemistry (ICC/IF)
          Claudin 1 Antibody in Western Blot, Immunocytochemistry (WB, ICC/IF)
          Claudin 1 Antibody in Immunocytochemistry (ICC/IF)
          Claudin 1 Antibody in Immunocytochemistry (ICC/IF)
          Claudin 1 Antibody in Immunocytochemistry (ICC/IF)
          Claudin 1 Antibody in Western Blot, Immunocytochemistry (WB, ICC/IF)
          Claudin 1 Antibody in Western Blot, Immunocytochemistry (WB, ICC/IF)
          Claudin 1 Antibody in Immunohistochemistry (Paraffin) (IHC (P))
          Claudin 1 Antibody in Immunohistochemistry (Paraffin) (IHC (P))
          Claudin 1 Antibody in Immunohistochemistry (Paraffin) (IHC (P))
          Claudin 1 Antibody in Western Blot, Immunohistochemistry (Frozen) (WB, IHC (F))
          Claudin 1 Antibody in Immunohistochemistry (Frozen) (IHC (F))
          Claudin 1 Antibody in Immunohistochemistry (Frozen) (IHC (F))
          Claudin 1 Antibody in Immunohistochemistry (IHC)
          Claudin 1 Antibody in Immunohistochemistry (IHC)
          Claudin 1 Antibody in Immunohistochemistry (IHC)
          Claudin 1 Antibody in Immunohistochemistry (IHC)
          Claudin 1 Antibody in Western Blot, Immunohistochemistry (WB, IHC)
          Claudin 1 Antibody in Immunohistochemistry (IHC)
          Claudin 1 Antibody in Immunohistochemistry (IHC)
          Claudin 1 Antibody in Immunohistochemistry (IHC)
          Claudin 1 Antibody in Immunohistochemistry (IHC)
          Claudin 1 Antibody in Immunohistochemistry (IHC)
          Claudin 1 Antibody in Immunohistochemistry (IHC)
          Claudin 1 Antibody in Immunohistochemistry (IHC)
          Claudin 1 Antibody in Immunohistochemistry (IHC)
          Claudin 1 Antibody in Western Blot, Immunohistochemistry (WB, IHC)
          Claudin 1 Antibody in Immunohistochemistry (IHC)
          Claudin 1 Antibody in Immunohistochemistry (IHC)
          Claudin 1 Antibody in Immunohistochemistry (IHC)
          Claudin 1 Antibody in Immunohistochemistry (IHC)
          Claudin 1 Antibody in Immunohistochemistry (IHC)
          Claudin 1 Antibody in Western Blot (WB)
          Claudin 1 Antibody in Western Blot (WB)
          Claudin 1 Antibody in Western Blot (WB)
          Claudin 1 Antibody in Western Blot (WB)
          Claudin 1 Antibody in Western Blot (WB)
          Claudin 1 Antibody in Western Blot (WB)
          Claudin 1 Antibody in Western Blot (WB)
          Claudin 1 Antibody in Western Blot (WB)
          Claudin 1 Antibody in Western Blot (WB)
          Claudin 1 Antibody in Western Blot (WB)
          Claudin 1 Antibody in Western Blot (WB)
          Claudin 1 Antibody in Western Blot (WB)
          Claudin 1 Antibody in Western Blot (WB)
          Claudin 1 Antibody in Western Blot (WB)
          Claudin 1 Antibody in Western Blot (WB)
          Claudin 1 Antibody in Western Blot (WB)
          Claudin 1 Antibody in Western Blot (WB)
          Claudin 1 Antibody in Western Blot (WB)
          Claudin 1 Antibody in Western Blot (WB)
          Claudin 1 Antibody in Western Blot (WB)
          Claudin 1 Antibody in Western Blot (WB)
          Claudin 1 Antibody in Western Blot (WB)
          Claudin 1 Antibody in Western Blot (WB)
          Claudin 1 Antibody in Western Blot (WB)
          Claudin 1 Antibody in Western Blot (WB)
          Claudin 1 Antibody in Western Blot (WB)
          Claudin 1 Antibody in Western Blot (WB)
          Claudin 1 Antibody in Western Blot, Immunoprecipitation (WB, IP)
          Claudin 1 Antibody in Western Blot (WB)
          Claudin 1 Antibody in Western Blot (WB)
          Claudin 1 Antibody in Western Blot (WB)
          Claudin 1 Antibody in Western Blot (WB)
          Claudin 1 Antibody in Western Blot (WB)
          Claudin 1 Antibody in Western Blot (WB)
          Claudin 1 Antibody in Western Blot (WB)
          Claudin 1 Antibody in Western Blot (WB)
          Claudin 1 Antibody
          Claudin 1 Antibody
          Claudin 1 Polyclonal Antibody (MH25)

          产品信息

          71-7800

          应用
          建议稀释比
          已发表文章

          免疫印迹 (WB)

          1-2 µg/mL
          查看80篇已发表文章 80篇已发表文章

          免疫组化 (IHC)

          -
          查看46篇已发表文章 46篇已发表文章

          免疫组化(石蜡) (IHC (P))

          1:10-1:100
          查看8篇已发表文章 8篇已发表文章

          免疫组化(冰冻) (IHC (F))

          -
          查看5篇已发表文章 5篇已发表文章

          免疫细胞化学 (ICC/IF)

          -
          查看46篇已发表文章 46篇已发表文章

          酶联免疫吸附实验 (ELISA)

          0.1-1.0 µg/mL
          -

          免疫沉淀 (IP)

          -
          查看4篇已发表文章 4篇已发表文章

          其他PubMed (Misc)

          -
          查看5篇已发表文章 5篇已发表文章
          产品规格

          种属反应

          Dog, Human, Mouse, Rat

          已发表种属

          Avian, Bovine, Chicken, Dog, Fish, Human, Mouse, Pig, Rabbit, Rat, Tag, Virus

          宿主/亚型

          Rabbit / IgG

          分类

          Polyclonal

          类型

          Antibody

          克隆号

          MH25

          抗原

          A synthetic peptide derived from the C-terminus of the human/mouse Claudin-1 protein.
          3D表位/免疫原

          偶联物

          Unconjugated Unconjugated Unconjugated

          形式

          Liquid

          浓度

          0.25 mg/mL

          规格

          100 µg

          纯化类型

          Antigen affinity chromatography

          保存液

          PBS, pH 7.4

          内含物

          0.1% sodium azide

          保存条件

          -20°C

          运输条件

          Ambient (domestic); Wet ice (international)

          RRID

          AB_2533997

          产品详细信息

          This antibody reacts with the ~ 22 kDa Claudin-1 protein. Reactivity was confirmed by western blotting and immunofluorescence. Positive controls include MDCK cells (dog), Caco-2cells (human), mouse liver, rat liver, and rat kidney.

          NOTE: This antibody strongly cross reacts with the Claudin-3 protein. It has been observed in western blotting inhibition studies using Caco-2 cell lysates, that this antibody is inhibited by addition of Claudin-3 peptide. For a Claudin-1 specific antibody that does not cross-react with Claudin-3, please order Cat. No. 519000 (Rb x Claudin-1) instead.

          靶标信息

          Claudin-1 is a member of the transmembrane protein family claudins located in cell-cell tight junctions and it acts as a co-receptor for HCV entry into hepatic cells. Claudins are abundant in luminal epithelial sheets where they maintain epithelial cell polarity. Claudin-1 is expressed in most tissues such as bladder, fallopian tube, liver, pancreas, prostate, and skin.

          仅用于科研。不用于诊断过程。未经明确授权不得转售。

          生物信息学

          蛋白别名: Claudin-1; CLDN1; Senescence-associated epithelial membrane protein; senescence-associated epithelial membrane protein 1; tight junction transmembrane protein; unnamed protein product

          查看更多 收起

          基因别名: AI596271; CLD1; CLDN1; ILVASC; SEMP1; UNQ481/PRO944

          查看更多 收起

          UniProt ID: (Human) O95832, (Rat) P56745, (Mouse) O88551

          查看更多 收起

          Entrez Gene ID: (Human) 9076, (Dog) 608207, (Rat) 65129, (Mouse) 12737

          查看更多 收起

          功能
          virus receptor activity structural molecule activity protein binding identical protein binding tight junction
          参与通路
          cell adhesion establishment of blood-nerve barrier response to toxic substance calcium-independent cell-cell adhesion via plasma membrane cell-adhesion molecules positive regulation of cell migration response to lipopolysaccharide cell junction maintenance maintenance of blood-brain barrier cell-cell junction organization response to ethanol viral entry into host cell protein oligomerization positive regulation of epithelial cell proliferation involved in wound healing establishment of skin barrier xenobiotic transport across blood-nerve barrier response to interleukin-18 bicellular tight junction assembly cellular response to lead ion cellular response to interferon-gamma cellular response to tumor necrosis factor response to dexamethasone cellular response to transforming growth factor beta stimulus positive regulation of wound healing establishment of endothelial intestinal barrier liver regeneration positive regulation of bicellular tight junction assembly cellular response to butyrate
          It has to be done as per old AB suggested Products section.

          Disclaimer

          Close

          Clicking the images or links will redirect you to a website hosted by BenchSci that provides third-party scientific content. Neither the content nor the BenchSci technology and processes for selection have been evaluated by us; we are providing them as-is and without warranty of any kind, including for use or application of the Thermo Fisher Scientific products presented.

          guarantee_icon

          性能保障

          只要您发现Invitrogen抗体在实验中的表现与网站或说明书的所述内容不符,您即可享受免费退换货服务。*

          了解更多
          help_icon

          随时为您服务

          获取常见问题的专家解答,或者直接联系我们的技术专家,咨询应用、设备、常规产品使用问题。

          联系技术支持
          订购 Plus Icon Minus Icon
          • 订单状态查询
          • 订单支持
          • 货号直购
          • 现货供应中心
          • 电子采购
          支持 Plus Icon Minus Icon
          • 帮助&支持
          • 联系我们 - 400 820 8982
          • 技术支持中心
          • 查找文件&证书
          • 报告网站问题
          资源 Plus Icon Minus Icon
          • 学习中心
          • 促销
          • 活动&研讨会
          • 社交媒体
          关于赛默飞 Plus Icon Minus Icon
          • 关于我们
          • 招聘 招聘
          • 投资者关系 投资者关系
          • 新闻 新闻
          • 社会责任 社会责任
          • 商标
          • 政策和通知
          品牌 Plus Icon Minus Icon
          • Thermo Scientific
          • Applied Biosystems
          • Invitrogen
          • Gibco
          • Ion Torrent
          • Unity Lab Services
          • Patheon
          • PPD
          • 服务条款
          • 隐私政策
          • 定价和运输保险政策
          © 2006-2026 Thermo Fisher Scientific Inc. All rights reserved. All trademarks are the property of Thermo Fisher Scientific and its subsidiaries unless otherwise specified.
          China flag icon
          China
          本网站销售的所有产品均不得用于人类或动物之临床诊断或治疗,仅可用于工业或者科研等非医疗目的。
             电子营业执照 | 经营证照公示 | ICP备案号:沪ICP备11003924号 | 沪公网安备 31011502006935号

          Your items have has been added!


          Host server : magellan-search-green-6479c7f679-v472f:80/100.66.78.195:80.
          git-commit: b70c0dceb888abc3b0dcebb5bc3a5b8753e7e816
          git-url: https://github.com/thermofisher/magellan-search
          git-branch: release/2.50.0-Offline