Hamburger Menu Button
Thermo Fisher Scientific Logo
登录
没有账号?建立账号 注册
  • 产品
    • 抗体
    • 引物合成
    • GeneArt Gene Synthesis Instant Designer
    • TaqMan Assay and Array Search
    • PCR 设备和耗材
    • 色谱柱和纯化柱
    • 实验室离心机
    • 分子生物学试剂和试剂盒
    • 实验室塑料耗材及用品
    • 查看所有产品分类
  • 应用和技术
    • 色谱
    • 细胞转染和培养
    • 实时荧光定量PCR
    • 质谱
    • 实验室塑料耗材及用品
    • 电子显微镜
    • 蛋白质生物学
    • PCR
    • RNAi
    • 环境
    • 查看所有应用和技术
  • 服务
    • 定制服务
    • 企业级实验室信息化服务
    • 金融&租赁服务
    • 仪器服务
    • OEM和商业供应
    • 培训服务
    • 360° CDMO 和 CRO 服务
    • CDMO 服务
    • 临床试验 CRO 服务
    • Unity Lab Services
    • 查看所有帮助和支持
  • 帮助和支持
    • 学习中心
    • 联系我们
    • 更改国家或地区
    • 查看所有帮助和支持
  • 热门产品
    • TaqMan Real-Time PCR Assays
      TaqMan 实时荧光定量 PCR 试剂盒
    • Antibodies
      抗体
    • Oligos, Primers & Probes
      寡核苷酸、引物、探针
    • GeneArt Gene Synthesis
      GeneArt 基因合成
    • Cell Culture Plastics
      细胞培养耗材
  • Who We Serve
    • 抗体治疗解决方案
    • 细胞与基因治疗解决方案
    • 学术科研
    • 工业与应用
  • 联系我们
  • 货号直购
  • 订单查询
  • 查找文件&证书
Thermo Fisher Scientific Logo

Search

搜索全部或下列指定分类
Search button
          • 联系我们
          • 货号直购
          • 登录
            登录
            没有账号?建立账号 注册
            • 我的账号
            • 订单
            • 会员中心
            • 账单及发票查询
            • 定制产品及项目
          • Primary Antibodies ›
          • Apolipoprotein J Antibodies

          Proteintech

          Clusterin Polyclonal Antibody

          16 篇参考文献
          查看其他67个Apolipoprotein J抗体

          {{$productOrderCtrl.translations['antibody.pdp.commerceCard.promotion.promotions']}}

          {{$productOrderCtrl.translations['antibody.pdp.commerceCard.promotion.viewpromo']}}

          {{$productOrderCtrl.translations['antibody.pdp.commerceCard.promotion.promocode']}}: {{promo.promoCode}} {{promo.promoTitle}} {{promo.promoDescription}}. {{$productOrderCtrl.translations['antibody.pdp.commerceCard.promotion.learnmore']}}

          说明书
          证书
          实验方案
          问题与答案
          技术支持
          说明书
          证书
          实验方案
          问题与答案
          技术支持
          说明书
          证书
          实验方案
          问题与答案
          技术支持

          Cite Clusterin Polyclonal Antibody

          Additional Information:
          {{banner.description}}
          {{$ctrl.isSkuNotesCollapsed ? 'View more' : 'View less'}}
          • 抗体检测数据 (11)
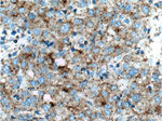
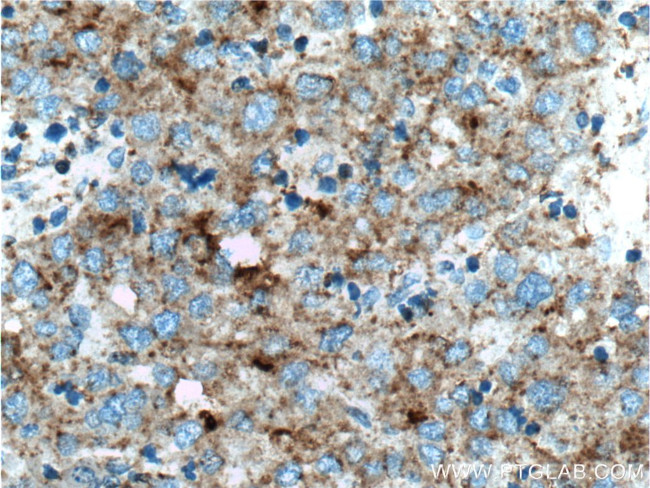
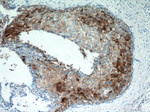
          Clusterin Antibody in Immunohistochemistry (Paraffin) (IHC (P))
          Group 53 Created with Sketch.
          Clusterin Antibody in Immunohistochemistry (Paraffin) (IHC (P))
          Group 53 Created with Sketch.

          图: 1 / 11

          {{ $ctrl.currentElement.advancedVerification.fullName }}
          {{ $ctrl.currentElement.advancedVerification.text }}

          Clusterin Antibody (12289-1-AP) in IHC (P)

          Immunohistochemistry of paraffin-embedded human liver cancer tissue slide using 12289-1-AP (Clusterin antibody at dilution of 1:200 (under 40x lens). heat mediated antigen retrieved with Tris-EDTA buffer (pH 9). {{ $ctrl.currentElement.advancedVerification.fullName }} 验证信息 View more
          已发表图片由___提供 benchsci-logo
          PMID: {{$ctrl.currentElement.benchSciPubmedId}}
          查看产品

          {{$ctrl.videoDesc}}

          {{$ctrl.videoLongDesc}}

          Clusterin Antibody in Immunohistochemistry (Paraffin) (IHC (P))
          Clusterin Antibody in Immunohistochemistry (Paraffin) (IHC (P))
          Clusterin Antibody in Immunohistochemistry (Paraffin) (IHC (P))
          Clusterin Antibody in Immunohistochemistry (Paraffin) (IHC (P))
          Clusterin Antibody in Immunohistochemistry (Paraffin) (IHC (P))
          Clusterin Antibody in Immunohistochemistry (Paraffin) (IHC (P))
          Clusterin Antibody in Immunohistochemistry (Paraffin) (IHC (P))
          Clusterin Antibody in Immunohistochemistry (Paraffin) (IHC (P))
          Clusterin Antibody in Immunohistochemistry (Paraffin) (IHC (P))
          Clusterin Antibody in Immunohistochemistry (Paraffin) (IHC (P))
          Clusterin Antibody in Western Blot (WB)
          Clusterin Polyclonal Antibody

          产品信息

          12289-1-AP

          应用
          建议稀释比
          已发表文章

          免疫印迹 (WB)

          1:500-1:2,000
          查看10篇已发表文章 10篇已发表文章

          免疫组化 (IHC)

          -
          查看4篇已发表文章 4篇已发表文章

          免疫组化(石蜡) (IHC (P))

          1:50-1:500
          -

          免疫沉淀 (IP)

          -
          查看1篇已发表文章 1篇已发表文章

          其他PubMed (Misc)

          -
          查看1篇已发表文章 1篇已发表文章
          产品规格

          种属反应

          Human, Mouse, Rat

          已发表种属

          Rat

          宿主/亚型

          Rabbit / IgG

          分类

          Polyclonal

          类型

          Antibody

          抗原

          Clusterin Fusion Protein Ag2889 (101-449 aa encoded by BC010514)
          3D表位/免疫原

          偶联物

          Unconjugated Unconjugated Unconjugated

          形式

          Liquid

          浓度

          0.2 mg/mL

          规格

          30 µg

          纯化类型

          Antigen affinity chromatography

          保存液

          PBS, pH 7.3, with 50% glycerol

          内含物

          0.02% sodium azide

          保存条件

          -20°C

          运输条件

          Wet ice (domestic); Dry ice (international)

          产品详细信息

          Immunogen sequence: VCNETMMAL WEECKPCLKQ TCMKFYARVC RSGSGLVGRQ LEEFLNQSSP FYFWMNGDRI DSLLENDRQQ THMLDVMQDH FSRASSIIDE LFQDRFFTRE PQDTYHYLPF SLPHRRPHFF FPKSRIVRSL MPFSPYEPLN FHAMFQPFLE MIHEAQQAMD IHFHSPAFQH PPTEFIREGD DDRTVCREIR HNSTGCLRMK DQCDKCREIL SVDCSTNNPS QAKLRRELDE SLQVAERLTR KYNELLKSYQ WKMLNTSSLL EQLNEQFNWV SRLANLTQGE DQYYLRVTTV ASHTSDSDVP SGVTEVVVKL FDSDPITVTV PVEVSRKNPK FMETVAEKAL QEYRKKHREE (101-449 aa encoded by BC010514)

          靶标信息

          Isoform 1 functions as extracellular chaperone that prevents aggregation of nonnative proteins. Prevents stress-induced aggregation of blood plasma proteins. Inhibits formation of amyloid fibrils by APP, APOC2, B2M, CALCA, CSN3, SNCA and aggregation-prone LYZ variants (in vitro). Does not require ATP. Maintains partially unfolded proteins in a state appropriate for subsequent refolding by other chaperones, such as HSPA8/HSC70. Does not refold proteins by itself. Binding to cell surface receptors triggers internalization of the chaperone-client complex and subsequent lysosomal or proteasomal degradation. Secreted isoform 1 protects cells against apoptosis and against cytolysis by complement. Intracellular isoforms interact with ubiquitin and SCF (SKP1-CUL1-F-box protein) E3 ubiquitin-protein ligase complexes and promote the ubiquitination and subsequent proteasomal degradation of target proteins. Promotes proteasomal degradation of COMMD1 and IKBKB. Modulates NF-kappa-B transcriptional activity. Nuclear isoforms promote apoptosis. Mitochondrial isoforms suppress BAX-dependent release of cytochrome c into the cytoplasm and inhibit apoptosis. Plays a role in the regulation of cell proliferation.

          仅用于科研。不用于诊断过程。未经明确授权不得转售。

          生物信息学

          蛋白别名: Aging associated protein 4; Aging-associated gene 4 protein; aging-associated protein 4; apo j; Apo J a; Apo J alpha; Apo J b; Apo J beta; Apo J α; Apo J β; Apo Ja; Apo Jb; Apo-J; ApoJ a; ApoJ alpha; ApoJ b; ApoJ beta; ApoJ α; ApoJ β; ApoJa; ApoJb; Apolipoprotein J; apolipoprotein J precursor; CLI; Clusterin; Clusterin alpha / beta chain; Clustrin; Complement associated protein SP40; Complement cytolysis inhibitor; complement cytolysis inhibitor precursor; complement lysis inhibitor; Complement-associated protein SP-40,40; DAG; Dimeric acid glycoprotein; epididymis secretory sperm binding protein; GP80; HGNC:2095; Ku70-binding protein 1; Ku70-binding protein 1 (KUB1); MGC24903; NA1/NA2; SGP-2; Sulfated glycoprotein 2; Sulfated glycoprotein 2 (SGP2); testosterone repressed prostate message; Testosterone repressed prostate message 2; Testosterone repressed prostate message 2 (TPRM2B); testosterone repressed prostate message-2; testosterone-repressed prostate message; Testosterone-repressed prostate message 2; testostrone-repressed prostate message 2; TRPM-2; unnamed protein product

          查看更多 收起

          基因别名: AAG4; AI893575; APO-J; APOJ; CLI; CLU; CLU1; CLU2; D14Ucla3; DAG; KUB1; Msgp-2; NA1/NA2; RATTRPM2B; SGP-2; SGP2; SP-40; SP40; Sugp-2; TRPM-2; TRPM2; TRPM2B; Trpmb

          查看更多 收起

          UniProt ID: (Human) P10909, (Rat) P05371, (Mouse) Q06890

          查看更多 收起

          Entrez Gene ID: (Human) 1191, (Rat) 24854, (Mouse) 12759

          查看更多 收起

          功能
          beta-amyloid binding receptor binding protein binding ATPase activity ubiquitin protein ligase binding macromolecular complex binding protein heterodimerization activity receptor agonist activity tau protein binding low-density lipoprotein particle receptor binding unfolded protein binding chaperone binding misfolded protein binding protein sequestering activity protein carrier chaperone protein N-terminus binding
          参与通路
          cell morphogenesis microglial cell activation release of cytochrome c from mitochondria negative regulation of activation of membrane attack complex immune system process immune complex clearance protein folding lipid metabolic process apoptotic process complement activation complement activation, classical pathway response to virus positive regulation of gene expression protein import negative regulation of protein complex assembly positive regulation of protein complex assembly central nervous system myelin maintenance positive regulation of proteasomal ubiquitin-dependent protein catabolic process positive regulation of tumor necrosis factor production regulation of cell proliferation regulation of apoptotic process positive regulation of apoptotic process negative regulation of neuron apoptotic process reverse cholesterol transport innate immune response positive regulation of nitric oxide biosynthetic process negative regulation of complement activation positive regulation of receptor-mediated endocytosis protein stabilization positive regulation of NF-kappaB transcription factor activity chaperone-mediated protein complex assembly response to misfolded protein microglial cell proliferation protein targeting to lysosome involved in chaperone-mediated autophagy negative regulation of release of cytochrome c from mitochondria intrinsic apoptotic signaling pathway beta-amyloid clearance regulation of beta-amyloid clearance positive regulation of beta-amyloid formation negative regulation of intrinsic apoptotic signaling pathway in response to DNA damage negative regulation of beta-amyloid formation regulation of neuronal signal transduction positive regulation of neurofibrillary tangle assembly negative regulation of response to endoplasmic reticulum stress negative regulation of complement-dependent cytotoxicity negative regulation of amyloid fibril formation positive regulation of amyloid fibril formation positive regulation of protein ubiquitination involved in ubiquitin-dependent protein catabolic process positive regulation of intrinsic apoptotic signaling pathway response to oxidative stress spermatogenesis aging positive regulation of cell proliferation response to light stimulus response to wounding endocrine pancreas development negative regulation of protein homooligomerization response to potassium ion negative regulation of apoptotic process estrous cycle positive regulation of cell differentiation neuron projection morphogenesis chaperone-mediated protein folding cellular response to growth factor stimulus regulation of neuron death positive regulation of neuron death positive regulation of tau-protein kinase activity cell death
          It has to be done as per old AB suggested Products section.

          Disclaimer

          Close

          Clicking the images or links will redirect you to a website hosted by BenchSci that provides third-party scientific content. Neither the content nor the BenchSci technology and processes for selection have been evaluated by us; we are providing them as-is and without warranty of any kind, including for use or application of the Thermo Fisher Scientific products presented.

          guarantee_icon

          性能保障

          只要您发现Invitrogen抗体在实验中的表现与网站或说明书的所述内容不符,您即可享受免费退换货服务。*

          了解更多
          help_icon

          随时为您服务

          获取常见问题的专家解答,或者直接联系我们的技术专家,咨询应用、设备、常规产品使用问题。

          联系技术支持
          订购 Plus Icon Minus Icon
          • 订单状态查询
          • 订单支持
          • 货号直购
          • 现货供应中心
          • 电子采购
          支持 Plus Icon Minus Icon
          • 帮助&支持
          • 联系我们 - 400 820 8982
          • 技术支持中心
          • 查找文件&证书
          • 报告网站问题
          资源 Plus Icon Minus Icon
          • 学习中心
          • 促销
          • 活动&研讨会
          • 社交媒体
          关于赛默飞 Plus Icon Minus Icon
          • 关于我们
          • 招聘 招聘
          • 投资者关系 投资者关系
          • 新闻 新闻
          • 社会责任 社会责任
          • 商标
          • 政策和通知
          品牌 Plus Icon Minus Icon
          • Thermo Scientific
          • Applied Biosystems
          • Invitrogen
          • Gibco
          • Ion Torrent
          • Unity Lab Services
          • Patheon
          • PPD
          • 服务条款
          • 隐私政策
          • 定价和运输保险政策
          © 2006-2026 Thermo Fisher Scientific Inc. All rights reserved. All trademarks are the property of Thermo Fisher Scientific and its subsidiaries unless otherwise specified.
          China flag icon
          China
          本网站销售的所有产品均不得用于人类或动物之临床诊断或治疗,仅可用于工业或者科研等非医疗目的。
             电子营业执照 | 经营证照公示 | ICP备案号:沪ICP备11003924号 | 沪公网安备 31011502006935号

          Your items have has been added!


          Host server : magellan-search-green-6479c7f679-rv8h9:80/100.66.78.195:80.
          git-commit: b70c0dceb888abc3b0dcebb5bc3a5b8753e7e816
          git-url: https://github.com/thermofisher/magellan-search
          git-branch: release/2.50.0-Offline