Hamburger Menu Button
Thermo Fisher Scientific Logo
登录
没有账号?建立账号 注册
  • 产品
    • 抗体
    • 引物合成
    • GeneArt Gene Synthesis Instant Designer
    • TaqMan Assay and Array Search
    • PCR 设备和耗材
    • 色谱柱和纯化柱
    • 实验室离心机
    • 分子生物学试剂和试剂盒
    • 实验室塑料耗材及用品
    • 查看所有产品分类
  • 应用和技术
    • 色谱
    • 细胞转染和培养
    • 实时荧光定量PCR
    • 质谱
    • 实验室塑料耗材及用品
    • 电子显微镜
    • 蛋白质生物学
    • PCR
    • RNAi
    • 环境
    • 查看所有应用和技术
  • 服务
    • 定制服务
    • 企业级实验室信息化服务
    • 企业服务
    • 金融&租赁服务
    • 仪器服务
    • OEM和商业供应
    • 培训服务
    • 360° CDMO 和 CRO 服务
    • CDMO 服务
    • 临床试验 CRO 服务
    • 查看所有帮助和支持
  • 帮助和支持
    • 学习中心
    • 联系我们
    • 更改国家或地区
    • 查看所有帮助和支持
  • 热门产品
    • TaqMan Real-Time PCR Assays
      TaqMan 实时荧光定量 PCR 试剂盒
    • Antibodies
      抗体
    • Oligos, Primers & Probes
      寡核苷酸、引物、探针
    • GeneArt Gene Synthesis
      GeneArt 基因合成
    • Cell Culture Plastics
      细胞培养耗材
  • 联系我们
  • 货号直购
  • 订单查询
  • 查找文件&证书
Thermo Fisher Scientific Logo

Search

搜索全部或下列指定分类
Search button
          • 联系我们
          • 货号直购
          • 登录
            登录
            没有账号?建立账号 注册
            • 我的账号
            • 订单
            • 账单及发票查询
            • 定制产品及项目

          Disclaimer

          Clicking the images or links will redirect you to a website hosted by BenchSci that provides third-party scientific content. Neither the content nor the BenchSci technology and processes for selection have been evaluated by us; we are providing them as-is and without warranty of any kind, including for use or application of the Thermo Fisher Scientific products presented.

          • Primary Antibodies ›
          • Apolipoprotein J Antibodies

          NeoBiotechnologies

          Clusterin/Apolipoprotein J (APO-J) Monoclonal Antibody (CLU/4730)

          查看其他66个Apolipoprotein J抗体

          {{$productOrderCtrl.translations['antibody.pdp.commerceCard.promotion.promotions']}}

          {{$productOrderCtrl.translations['antibody.pdp.commerceCard.promotion.viewpromo']}}

          {{$productOrderCtrl.translations['antibody.pdp.commerceCard.promotion.promocode']}}: {{promo.promoCode}} {{promo.promoTitle}} {{promo.promoDescription}}. {{$productOrderCtrl.translations['antibody.pdp.commerceCard.promotion.learnmore']}}

          说明书
          证书
          实验方案
          问题与答案
          技术支持
          说明书
          证书
          实验方案
          问题与答案
          技术支持
          说明书
          证书
          实验方案
          问题与答案
          技术支持

          Cite Clusterin/Apolipoprotein J (APO-J) Monoclonal Antibody (CLU/4730)

          • 抗体检测数据 (3)
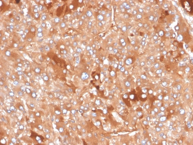
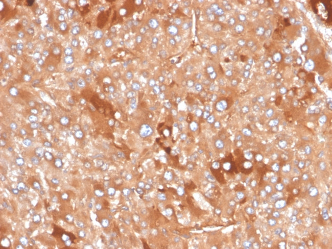
          Clusterin/Apolipoprotein J (APO-J) Antibody in Immunohistochemistry (Paraffin) (IHC (P))
          Group 53 Created with Sketch.
          Clusterin/Apolipoprotein J (APO-J) Antibody in Immunohistochemistry (Paraffin) (IHC (P))
          Group 53 Created with Sketch.

          图: 1 / 3

          {{ $ctrl.currentElement.advancedVerification.fullName }}
          {{ $ctrl.currentElement.advancedVerification.text }}

          Clusterin/Apolipoprotein J (APO-J) Antibody (1191-MSM10-P1ABX) in IHC (P)

          Formalin-fixed, paraffin-embedded human adrenal gland stained with Clusterin/APOJ Mouse Monoclonal Antibody (CLU/4730). {{ $ctrl.currentElement.advancedVerification.fullName }} 验证信息 View more
          已发表图片由___提供 benchsci-logo
          PMID: {{$ctrl.currentElement.benchSciPubmedId}}
          查看产品

          {{$ctrl.videoDesc}}

          {{$ctrl.videoLongDesc}}

          Clusterin/Apolipoprotein J (APO-J) Antibody in Immunohistochemistry (Paraffin) (IHC (P))
          Clusterin/Apolipoprotein J (APO-J) Antibody in Peptide array (ARRAY)
          Clusterin/Apolipoprotein J (APO-J) Antibody in SDS-PAGE (SDS-PAGE)
          Clusterin/Apolipoprotein J (APO-J) Monoclonal Antibody (CLU/4730)

          产品信息

          1191-MSM10-P1ABX

          应用
          建议稀释比
          已发表文章

          免疫组化(石蜡) (IHC (P))

          Assay-dependent
          -

          免疫组织化学(多聚甲醛固定) (IHC (PFA))

          1-2 µg/mL
          -

          肽阵列 (Array)

          Assay-dependent
          -
          产品规格

          种属反应

          Human

          宿主/亚型

          Mouse / IgG2b, kappa

          分类

          Monoclonal

          类型

          Antibody

          克隆号

          CLU/4730

          抗原

          Recombinant fragment (around aa185-287) of human NPM1 protein.
          查看免疫原

          偶联物

          Unconjugated Unconjugated Unconjugated

          形式

          Liquid

          浓度

          1 mg/mL

          纯化类型

          Protein A/G

          保存液

          PBS, pH 7.4

          内含物

          no preservative

          保存条件

          -20°C, Avoid Freeze/Thaw Cycles

          运输条件

          Ambient (domestic); Wet ice (international)

          靶标信息

          Isoform 1 functions as extracellular chaperone that prevents aggregation of nonnative proteins. Prevents stress-induced aggregation of blood plasma proteins. Inhibits formation of amyloid fibrils by APP, APOC2, B2M, CALCA, CSN3, SNCA and aggregation-prone LYZ variants (in vitro). Does not require ATP. Maintains partially unfolded proteins in a state appropriate for subsequent refolding by other chaperones, such as HSPA8/HSC70. Does not refold proteins by itself. Binding to cell surface receptors triggers internalization of the chaperone-client complex and subsequent lysosomal or proteasomal degradation. Secreted isoform 1 protects cells against apoptosis and against cytolysis by complement. Intracellular isoforms interact with ubiquitin and SCF (SKP1-CUL1-F-box protein) E3 ubiquitin-protein ligase complexes and promote the ubiquitination and subsequent proteasomal degradation of target proteins. Promotes proteasomal degradation of COMMD1 and IKBKB. Modulates NF-kappa-B transcriptional activity. Nuclear isoforms promote apoptosis. Mitochondrial isoforms suppress BAX-dependent release of cytochrome c into the cytoplasm and inhibit apoptosis. Plays a role in the regulation of cell proliferation.

          仅用于科研。不用于诊断过程。未经明确授权不得转售。

          篇参考文献 (0)

          您是否在文献中引用过该产品?请点击下方按钮邮件告知我们。
          引用该产品

          生物信息学

          蛋白别名: Aging associated protein 4; Aging-associated gene 4 protein; aging-associated protein 4; apo j; Apo J a; Apo J alpha; Apo J b; Apo J beta; Apo J α; Apo J β; Apo Ja; Apo Jb; Apo-J; ApoJ a; ApoJ alpha; ApoJ b; ApoJ beta; ApoJ α; ApoJ β; ApoJa; ApoJb; Apolipoprotein J; CLI; Clusterin; Clusterin alpha / beta chain; Complement associated protein SP40; Complement cytolysis inhibitor; complement lysis inhibitor; Complement-associated protein SP-40,40; GP80; HGNC:2095; Ku70-binding protein 1; Ku70-binding protein 1 (KUB1); MGC24903; NA1/NA2; SGP-2; Sulfated glycoprotein 2; Sulfated glycoprotein 2 (SGP2); Testosterone repressed prostate message 2 (TPRM2B); Testosterone-repressed prostate message 2; TRPM-2

          查看更多 收起

          基因别名: AAG4; APO-J; APOJ; CLI; CLU; CLU1; CLU2; KUB1; NA1/NA2; SGP-2; SGP2; SP-40; TRPM-2; TRPM2

          查看更多 收起

          UniProt ID: (Human) P10909

          查看更多 收起

          Entrez Gene ID: (Human) 1191

          查看更多 收起

          功能
          protein binding ATPase activity ubiquitin protein ligase binding protein N-terminus binding chaperone binding misfolded protein binding
          参与通路
          cell morphogenesis microglial cell activation release of cytochrome c from mitochondria platelet degranulation lipid metabolic process complement activation complement activation, classical pathway aging positive regulation of cell proliferation response to light stimulus response to wounding response to virus protein import endocrine pancreas development central nervous system myelin maintenance positive regulation of proteasomal ubiquitin-dependent protein catabolic process negative regulation of protein homooligomerization positive regulation of tumor necrosis factor production response to potassium ion reverse cholesterol transport estrous cycle innate immune response positive regulation of nitric oxide biosynthetic process positive regulation of cell differentiation neuron projection morphogenesis protein stabilization positive regulation of NF-kappaB transcription factor activity chaperone-mediated protein complex assembly response to misfolded protein chaperone-mediated protein folding microglial cell proliferation cellular response to growth factor stimulus regulation of beta-amyloid clearance regulation of neuron death positive regulation of neuron death positive regulation of beta-amyloid formation negative regulation of intrinsic apoptotic signaling pathway in response to DNA damage negative regulation of beta-amyloid formation regulation of neuronal signal transduction positive regulation of tau-protein kinase activity positive regulation of neurofibrillary tangle assembly positive regulation of protein ubiquitination involved in ubiquitin-dependent protein catabolic process
          It has to be done as per old AB suggested Products section.
          guarantee_icon

          性能保障

          只要您发现Invitrogen抗体在实验中的表现与网站或说明书的所述内容不符,您即可享受免费退换货服务。*

          了解更多
          help_icon

          随时为您服务

          获取常见问题的专家解答,或者直接联系我们的技术专家,咨询应用、设备、常规产品使用问题。

          联系技术支持
          订购 Plus Icon Minus Icon
          • 订单状态查询
          • 订单支持
          • 货号直购
          • 现货供应中心
          • 电子采购
          支持 Plus Icon Minus Icon
          • 帮助&支持
          • 联系我们 - 400 820 8982
          • 技术支持中心
          • 查找文件&证书
          • 报告网站问题
          资源 Plus Icon Minus Icon
          • 学习中心
          • 促销
          • 活动&研讨会
          • 社交媒体
          关于赛默飞 Plus Icon Minus Icon
          • 关于我们
          • 招聘 招聘
          • 投资者关系 投资者关系
          • 新闻 新闻
          • 社会责任 社会责任
          • 商标
          • 政策和通知
          品牌 Plus Icon Minus Icon
          • Thermo Scientific
          • Applied Biosystems
          • Invitrogen
          • Gibco
          • Ion Torrent
          • Patheon
          • PPD
          • 服务条款
          • 隐私政策
          • 定价和运输保险政策
          © 2006-2026 Thermo Fisher Scientific Inc. All rights reserved. All trademarks are the property of Thermo Fisher Scientific and its subsidiaries unless otherwise specified.
          China flag icon
          China
          本网站销售的所有产品均不得用于人类或动物之临床诊断或治疗,仅可用于工业或者科研等非医疗目的。
             电子营业执照 | 经营证照公示 | ICP备案号:沪ICP备11003924号 | 沪公网安备 31011502006935号

          Your items have has been added!


          Host server : magellan-search-blue-55ff9ddd88-qvstf:80/100.66.73.196:80.
          git-commit: d366ff9721d93504b2ac26a183b2b3e3d0e7d9ec
          git-url: https://github.com/thermofisher/magellan-search
          git-branch: release/2.42.0-2026.01.03-1.0