Hamburger Menu Button
Thermo Fisher Scientific Logo
登录
没有账号?建立账号 注册
  • 产品
    • 抗体
    • 引物合成
    • GeneArt Gene Synthesis Instant Designer
    • TaqMan Assay and Array Search
    • PCR 设备和耗材
    • 色谱柱和纯化柱
    • 实验室离心机
    • 分子生物学试剂和试剂盒
    • 实验室塑料耗材及用品
    • 查看所有产品分类
  • 应用和技术
    • 色谱
    • 细胞转染和培养
    • 实时荧光定量PCR
    • 质谱
    • 实验室塑料耗材及用品
    • 电子显微镜
    • 蛋白质生物学
    • PCR
    • RNAi
    • 环境
    • 查看所有应用和技术
  • 服务
    • 定制服务
    • 企业级实验室信息化服务
    • 金融&租赁服务
    • 仪器服务
    • OEM和商业供应
    • 培训服务
    • 360° CDMO 和 CRO 服务
    • CDMO 服务
    • 临床试验 CRO 服务
    • Unity Lab Services
    • 查看所有帮助和支持
  • 帮助和支持
    • 学习中心
    • 联系我们
    • 更改国家或地区
    • 查看所有帮助和支持
  • 热门产品
    • TaqMan Real-Time PCR Assays
      TaqMan 实时荧光定量 PCR 试剂盒
    • Antibodies
      抗体
    • Oligos, Primers & Probes
      寡核苷酸、引物、探针
    • GeneArt Gene Synthesis
      GeneArt 基因合成
    • Cell Culture Plastics
      细胞培养耗材
  • Who We Serve
    • 抗体治疗解决方案
    • 细胞与基因治疗解决方案
    • 学术科研
    • 工业与应用
  • 联系我们
  • 货号直购
  • 订单查询
  • 查找文件&证书
Thermo Fisher Scientific Logo

Search

搜索全部或下列指定分类
Search button
          • 联系我们
          • 货号直购
          • 登录
            登录
            没有账号?建立账号 注册
            • 我的账号
            • 订单
            • 会员中心
            • 账单及发票查询
            • 定制产品及项目
          • Primary Antibodies ›
          • Cofilin Antibodies

          Invitrogen

          Cofilin Monoclonal Antibody (GT217)

          高级验证
          1个已发表图片
          1 篇参考文献
          查看其他35个Cofilin抗体

          {{$productOrderCtrl.translations['antibody.pdp.commerceCard.promotion.promotions']}}

          {{$productOrderCtrl.translations['antibody.pdp.commerceCard.promotion.viewpromo']}}

          {{$productOrderCtrl.translations['antibody.pdp.commerceCard.promotion.promocode']}}: {{promo.promoCode}} {{promo.promoTitle}} {{promo.promoDescription}}. {{$productOrderCtrl.translations['antibody.pdp.commerceCard.promotion.learnmore']}}

          说明书
          证书
          实验方案
          问题与答案
          技术支持
          说明书
          证书
          实验方案
          问题与答案
          技术支持
          说明书
          证书
          实验方案
          问题与答案
          技术支持

          Cite Cofilin Monoclonal Antibody (GT217)

          Additional Information:
          {{banner.description}}
          {{$ctrl.isSkuNotesCollapsed ? 'View more' : 'View less'}}
          • 抗体检测数据 (7)
          • 已发表图片 (1)
          • 高级验证 (1)
          Cofilin Antibody in Immunohistochemistry (Paraffin) (IHC (P))
          Group 53 Created with Sketch.
          Cofilin Antibody in Immunohistochemistry (Paraffin) (IHC (P))
          Group 53 Created with Sketch.

          图: 1 / 9

          {{ $ctrl.currentElement.advancedVerification.fullName }}
          {{ $ctrl.currentElement.advancedVerification.text }}

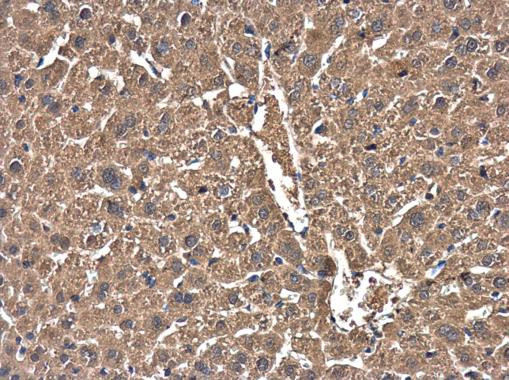
          Cofilin Antibody (MA5-27737) in IHC (P)

          Cofilin Monoclonal Antibody (GT217) detects Cofilin 1 protein at cytoplasm in mouse liver by immunohistochemical analysis. Sample: Paraffin-embedded mouse liver. Cofilin Monoclonal Antibody (GT217) (Product # MA5-27737) diluted at 1:250. Antigen Retrieval: Citrate buffer, pH 6.0, 15 min. {{ $ctrl.currentElement.advancedVerification.fullName }} 验证信息 View more
          已发表图片由___提供 benchsci-logo
          PMID: {{$ctrl.currentElement.benchSciPubmedId}}
          查看产品

          {{$ctrl.videoDesc}}

          {{$ctrl.videoLongDesc}}

          Cofilin Antibody in Immunohistochemistry (Paraffin) (IHC (P))
          Cofilin Antibody in Western Blot (WB)
          Cofilin Antibody in Western Blot (WB)
          Cofilin Antibody in Western Blot (WB)
          Cofilin Antibody in Western Blot (WB)
          Cofilin Antibody in Western Blot (WB)
          Cofilin Antibody in Immunoprecipitation (IP)
          Cofilin Antibody in Western Blot (WB)
          Cofilin Antibody

          产品信息

          MA5-27737

          应用
          建议稀释比
          已发表文章

          免疫印迹 (WB)

          1:500-1:3,000
          查看1篇已发表文章 1篇已发表文章

          免疫组化(石蜡) (IHC (P))

          1:100-1:1,000
          -

          免疫细胞化学 (ICC/IF)

          Assay-dependent
          -

          免疫沉淀 (IP)

          1:100-1:500
          -
          产品规格

          种属反应

          Human, Mouse, Rat

          已发表种属

          Mouse

          宿主/亚型

          Mouse / IgG2b

          分类

          Monoclonal

          类型

          Antibody

          克隆号

          GT217

          抗原

          Recombinant protein encompassing a sequence within the center region of human Cofilin 1. The exact sequence is proprietary.

          偶联物

          Unconjugated Unconjugated Unconjugated

          形式

          Liquid

          浓度

          1.0 mg/mL

          规格

          100 µg

          纯化类型

          Protein A

          保存液

          PBS, pH 7, with 20% glycerol

          内含物

          no preservative

          保存条件

          Store at 4°C short term. For long term storage, store at -20°C, avoiding freeze/thaw cycles.

          运输条件

          Ambient (domestic); Wet ice (international)

          RRID

          AB_2735151

          产品详细信息

          Positive Control: 293T, A431, HeLa, HepG2, PC-12, Rat-2, Neuro2A, C8D30, NIH-3T3, Raw264.7, C2C12

          Predicted Reactivity: Pig (99%), Sheep (99%), Rhesus Monkey (99%), Bovine (99%)

          Store product as a concentrated solution. Centrifuge briefly prior to opening the vial.

          靶标信息

          Cofilin binds to F-actin and exhibits pH-sensitive F-actin depolymerizing activity. Regulates actin cytoskeleton dynamics. Important for normal progress through mitosis and normal cytokinesis. Plays a role in the regulation of cell morphology and cytoskeletal organization. Required for the up-regulation of atypical chemokine receptor ACKR2 from endosomal compartment to cell membrane, increasing its efficiency in chemokine uptake and degradation. Required for neural tube morphogenesis and neural crest cell migration.

          仅用于科研。不用于诊断过程。未经明确授权不得转售。

          生物信息学

          蛋白别名: 18 kDa phosphoprotein; CFL-1; COF1; cofilin 1 (non-muscle); Cofilin, non-muscle isoform; Cofilin-1; Cofilin1; epididymis secretory protein Li 15; p18; unnamed protein product

          查看更多 收起

          基因别名: AA959946; CFL; CFL1; Cof; cofilin; HEL-S-15; n-cofilin

          查看更多 收起

          UniProt ID: (Human) P23528, (Rat) P45592, (Mouse) P18760

          查看更多 收起

          Entrez Gene ID: (Human) 1072, (Rat) 29271, (Mouse) 12631

          查看更多 收起

          功能
          actin binding receptor binding protein binding protein phosphatase binding actin filament binding phosphatidylinositol bisphosphate binding non-motor actin binding protein
          参与通路
          mitotic cytokinesis neural crest cell migration neural fold formation protein import into nucleus cytoskeleton organization actin filament organization negative regulation of cell adhesion Rho protein signal transduction actin polymerization or depolymerization response to virus positive regulation of lamellipodium assembly negative regulation of lamellipodium assembly response to activity hippocampus development regulation of cell morphogenesis establishment of cell polarity cell projection organization actin cytoskeleton organization actin filament depolymerization actin filament fragmentation positive regulation of cell growth negative regulation of actin filament depolymerization positive regulation of actin filament depolymerization positive regulation of synaptic plasticity negative regulation of actin filament bundle assembly positive regulation of embryonic development negative regulation of apoptotic process response to amino acid positive regulation by host of viral process negative regulation of cell size positive regulation of proteolysis cell motility modulation of synaptic transmission actin filament severing establishment of spindle localization negative regulation of unidimensional cell growth positive regulation of focal adhesion assembly positive regulation of dendritic spine development regulation of dendritic spine morphogenesis cellular response to hydrogen peroxide cellular response to interleukin-1 cellular response to interleukin-6 cellular response to tumor necrosis factor cellular response to ether cellular response to epidermal growth factor stimulus modification of postsynaptic actin cytoskeleton negative regulation of dendritic spine maintenance positive regulation of protein localization to cell leading edge negative regulation of postsynaptic density organization cellular response to insulin-like growth factor stimulus negative regulation of cell motility positive regulation of cell motility positive regulation of establishment of cell polarity regulating cell shape positive regulation of barbed-end actin filament capping protein phosphorylation movement of cell or subcellular component
          It has to be done as per old AB suggested Products section.

          Disclaimer

          Close

          Clicking the images or links will redirect you to a website hosted by BenchSci that provides third-party scientific content. Neither the content nor the BenchSci technology and processes for selection have been evaluated by us; we are providing them as-is and without warranty of any kind, including for use or application of the Thermo Fisher Scientific products presented.

          guarantee_icon

          性能保障

          只要您发现Invitrogen抗体在实验中的表现与网站或说明书的所述内容不符,您即可享受免费退换货服务。*

          了解更多
          help_icon

          随时为您服务

          获取常见问题的专家解答,或者直接联系我们的技术专家,咨询应用、设备、常规产品使用问题。

          联系技术支持
          订购 Plus Icon Minus Icon
          • 订单状态查询
          • 订单支持
          • 货号直购
          • 现货供应中心
          • 电子采购
          支持 Plus Icon Minus Icon
          • 帮助&支持
          • 联系我们 - 400 820 8982
          • 技术支持中心
          • 查找文件&证书
          • 报告网站问题
          资源 Plus Icon Minus Icon
          • 学习中心
          • 促销
          • 活动&研讨会
          • 社交媒体
          关于赛默飞 Plus Icon Minus Icon
          • 关于我们
          • 招聘 招聘
          • 投资者关系 投资者关系
          • 新闻 新闻
          • 社会责任 社会责任
          • 商标
          • 政策和通知
          品牌 Plus Icon Minus Icon
          • Thermo Scientific
          • Applied Biosystems
          • Invitrogen
          • Gibco
          • Ion Torrent
          • Unity Lab Services
          • Patheon
          • PPD
          • 服务条款
          • 隐私政策
          • 定价和运输保险政策
          © 2006-2026 Thermo Fisher Scientific Inc. All rights reserved. All trademarks are the property of Thermo Fisher Scientific and its subsidiaries unless otherwise specified.
          China flag icon
          China
          本网站销售的所有产品均不得用于人类或动物之临床诊断或治疗,仅可用于工业或者科研等非医疗目的。
             电子营业执照 | 经营证照公示 | ICP备案号:沪ICP备11003924号 | 沪公网安备 31011502006935号

          Your items have has been added!


          Host server : magellan-search-green-6479c7f679-v472f:80/100.66.78.195:80.
          git-commit: b70c0dceb888abc3b0dcebb5bc3a5b8753e7e816
          git-url: https://github.com/thermofisher/magellan-search
          git-branch: release/2.50.0-Offline