Hamburger Menu Button
Thermo Fisher Scientific Logo
登录
没有账号?建立账号 注册
  • 产品
    • 抗体
    • 引物合成
    • GeneArt Gene Synthesis Instant Designer
    • TaqMan Assay and Array Search
    • PCR 设备和耗材
    • 色谱柱和纯化柱
    • 实验室离心机
    • 分子生物学试剂和试剂盒
    • 实验室塑料耗材及用品
    • 查看所有产品分类
  • 应用和技术
    • 色谱
    • 细胞转染和培养
    • 实时荧光定量PCR
    • 质谱
    • 实验室塑料耗材及用品
    • 电子显微镜
    • 蛋白质生物学
    • PCR
    • RNAi
    • 环境
    • 查看所有应用和技术
  • 服务
    • 定制服务
    • 企业级实验室信息化服务
    • 金融&租赁服务
    • 仪器服务
    • OEM和商业供应
    • 培训服务
    • 360° CDMO 和 CRO 服务
    • CDMO 服务
    • 临床试验 CRO 服务
    • Unity Lab Services
    • 查看所有帮助和支持
  • 帮助和支持
    • 学习中心
    • 联系我们
    • 更改国家或地区
    • 查看所有帮助和支持
  • 热门产品
    • TaqMan Real-Time PCR Assays
      TaqMan 实时荧光定量 PCR 试剂盒
    • Antibodies
      抗体
    • Oligos, Primers & Probes
      寡核苷酸、引物、探针
    • GeneArt Gene Synthesis
      GeneArt 基因合成
    • Cell Culture Plastics
      细胞培养耗材
  • Who We Serve
    • 抗体治疗解决方案
    • 细胞与基因治疗解决方案
    • 学术科研
    • 工业与应用
  • 联系我们
  • 货号直购
  • 订单查询
  • 查找文件&证书
Thermo Fisher Scientific Logo

Search

搜索全部或下列指定分类
Search button
          • 联系我们
          • 货号直购
          • 登录
            登录
            没有账号?建立账号 注册
            • 我的账号
            • 订单
            • 会员中心
            • 账单及发票查询
            • 定制产品及项目
          • Primary Antibodies ›
          • COL6A1 Antibodies

          Rockland

          Collagen Type VI Polyclonal Antibody, Biotin

          查看其他12个COL6A1抗体

          {{$productOrderCtrl.translations['antibody.pdp.commerceCard.promotion.promotions']}}

          {{$productOrderCtrl.translations['antibody.pdp.commerceCard.promotion.viewpromo']}}

          {{$productOrderCtrl.translations['antibody.pdp.commerceCard.promotion.promocode']}}: {{promo.promoCode}} {{promo.promoTitle}} {{promo.promoDescription}}. {{$productOrderCtrl.translations['antibody.pdp.commerceCard.promotion.learnmore']}}

          说明书
          证书
          实验方案
          问题与答案
          技术支持
          说明书
          证书
          实验方案
          问题与答案
          技术支持
          说明书
          证书
          实验方案
          问题与答案
          技术支持

          Cite Collagen Type VI Polyclonal Antibody, Biotin

          Additional Information:
          {{banner.description}}
          {{$ctrl.isSkuNotesCollapsed ? 'View more' : 'View less'}}
          • 抗体检测数据 (1)
          Collagen Type VI Antibody in Immunohistochemistry (Paraffin) (IHC (P))
          Group 53 Created with Sketch.
          Collagen Type VI Antibody in Immunohistochemistry (Paraffin) (IHC (P))
          Group 53 Created with Sketch.

          图: 1 / 1

          {{ $ctrl.currentElement.advancedVerification.fullName }}
          {{ $ctrl.currentElement.advancedVerification.text }}

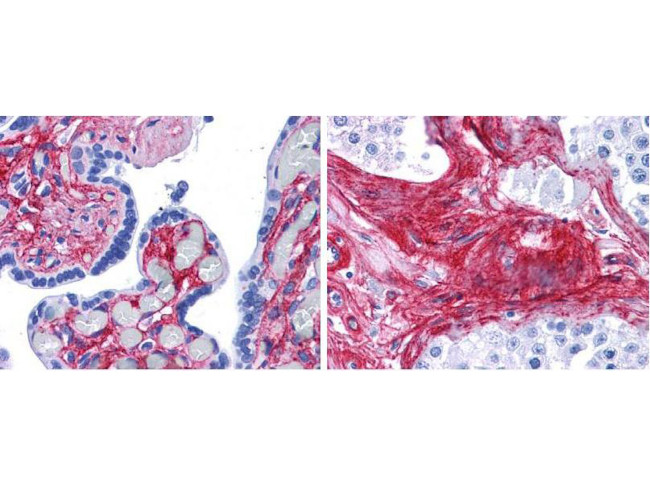
          Collagen Type VI Antibody (600-406-108) in IHC (P)

          Immunohistochemistry of Rabbit anti-collagen VI antibody. Tissue: human placenta (left), testis (right). Fixation: formalin fixed paraffin embedded. Antigen retrieval: steamed in 0.01 M sodium citrate buffer, pH 6.0 at 99-100°C - 20 minutes. Primary antibody: collagen VI antibody at 10 µg/mL for 1 h at RT. Secondary antibody: Peroxidase rabbit secondary antibody at 1:10,000 for 45 min at RT. Localization... View More {{ $ctrl.currentElement.advancedVerification.fullName }} 验证信息 View more
          已发表图片由___提供 benchsci-logo
          PMID: {{$ctrl.currentElement.benchSciPubmedId}}
          查看产品

          {{$ctrl.videoDesc}}

          {{$ctrl.videoLongDesc}}

          Collagen Type VI Antibody in Immunohistochemistry (Paraffin) (IHC (P))
          Collagen Type VI Polyclonal Antibody, Biotin

          产品信息

          600-406-108

          应用
          建议稀释比
          已发表文章

          免疫印迹 (WB)

          1:5,000-1:10,000
          -

          免疫组化(石蜡) (IHC (P))

          1:200-1:1,000
          -

          酶联免疫吸附实验 (ELISA)

          1:10,000-1:50,000
          -

          免疫沉淀 (IP)

          1:100
          -
          产品规格

          种属反应

          Bovine, Human

          宿主/亚型

          Rabbit / IgG

          分类

          Polyclonal

          类型

          Antibody

          抗原

          Collagen Type VI from human and bovine placenta
          3D表位/免疫原

          偶联物

          Biotin Biotin Biotin

          形式

          Lyophilized

          浓度

          1 mg/mL

          规格

          100 µg

          纯化类型

          Affinity chromatography

          保存液

          0.02M potassium phosphate, pH 7.2, with 0.15M NaCl, 10mg/mL BSA

          内含物

          0.01% sodium azide

          保存条件

          Store at 4°C short term. For long term storage, store at -20°C, avoiding freeze/thaw cycles.

          运输条件

          Ambient (domestic); Wet ice (international)

          产品详细信息

          Store vial at 4° C prior to restoration. Restore with 0.1 mL of deionized water (or equivalent). For extended storage aliquot contents and freeze at -20° C or below. Avoid cycles of freezing and thawing. Centrifuge product if not completely clear after standing at room temperature. This product is stable for several weeks at 4° C as an undiluted liquid. Dilute only prior to immediate use. Expiration date is one (1) year from date of restoration.

          Typically negligible cross reactivity against other types of collagens was detected by ELISA against purified standards. Some class specific anti-collagens may be specific for three-dimensional epitopes which may result in diminished reactivity with denatured collagen or formalin-fixed, paraffin embedded tissues. This antibody reacts with most mammalian Type VI collagens and has negligible cross-reactivity with Type I, II, III, IV and V collagens. Non-specific cross reaction of anti-collagen antibodies with other human serum proteins or non-collagen extracellular matrix proteins is negligible.

          靶标信息

          The extensive family of COL gene products (collagens) is composed of several chain types, including fibril-forming interstitial collagens (typesI, II, III and V) and basement membrane collagens (type IV), each type containing multiple isoforms. Collagens are fibrous, extracellular matrix proteins with high tensile strength and are the major components of connective tissue, such as tendons and cartilage. All collagens contain a triple helix domain and frequently show lateral self-association in order to form complex connective tissues. Several collagens also play a role in cell adhesion, important for maintaining normal tissue architecture and function.

          仅用于科研。不用于诊断过程。未经明确授权不得转售。

          篇参考文献 (0)

          您是否在文献中引用过该产品?请点击下方按钮邮件告知我们。
          引用该产品

          生物信息学

          蛋白别名: alpha 1 (VI) chain (61 AA); Collagen alpha-1(VI) chain; collagen VI, alpha-1 polypeptide; collagen, type VI, alpha 1; epididymis secretory sperm binding protein; unnamed protein product

          查看更多 收起

          基因别名: BTHLM1; BTHLM1A; COL6A1; OPLL; UCHMD1; UCHMD1A

          查看更多 收起

          UniProt ID: (Human) P12109

          查看更多 收起

          Entrez Gene ID: (Human) 1291, (Bovine) 511422

          查看更多 收起

          功能
          protein binding collagen binding extracellular matrix structural constituent conferring tensile strength platelet-derived growth factor binding extracellular matrix structural protein
          参与通路
          response to reactive oxygen species cell morphogenesis ossification osteoblast differentiation hair follicle development reduction of food intake in response to dietary excess muscle system process respiratory system process glycolytic process tricarboxylic acid cycle 2-oxoglutarate metabolic process energy reserve metabolic process autophagy apoptotic process inflammatory response mitochondrion organization cell adhesion single fertilization peripheral nervous system development heart development muscle organ development skeletal muscle tissue development circadian rhythm insulin receptor signaling pathway regulation of cell size response to xenobiotic stimulus response to UV response to wounding response to mechanical stimulus response to toxic substance anatomical structure morphogenesis tissue development gene expression muscle cell apoptotic process response to activity response to muscle activity transmission of nerve impulse myelination in peripheral nervous system cell differentiation collagen fibril organization apoptotic nuclear changes bone mineralization lung development response to lipopolysaccharide collagen metabolic process response to lipid endodermal cell differentiation limb joint morphogenesis response to decreased oxygen levels skeletal muscle tissue regeneration protein kinase B signaling skin development insulin-like growth factor receptor signaling pathway response to pain lung alveolus development skeletal muscle tissue growth skeletal muscle fiber development tissue remodeling homeostasis of number of cells neurological system process sensory perception of mechanical stimulus cartilage development protein tetramerization neuron apoptotic process mitochondrial depolarization muscle cell development uterus development canonical Wnt signaling pathway bone development lung morphogenesis lung epithelial cell differentiation skeletal muscle organ development adipose tissue development muscle structure development fat cell proliferation caveola assembly cellular response to amino acid stimulus basement membrane organization multicellular organismal locomotion reactive oxygen species metabolic process extracellular matrix assembly energy homeostasis skeletal muscle fiber differentiation response to peptide regulation of collagen fibril organization response to polyamine macromolecule response to bleomycin mitochondrial transmembrane transport
          It has to be done as per old AB suggested Products section.

          Disclaimer

          Close

          Clicking the images or links will redirect you to a website hosted by BenchSci that provides third-party scientific content. Neither the content nor the BenchSci technology and processes for selection have been evaluated by us; we are providing them as-is and without warranty of any kind, including for use or application of the Thermo Fisher Scientific products presented.

          guarantee_icon

          性能保障

          只要您发现Invitrogen抗体在实验中的表现与网站或说明书的所述内容不符,您即可享受免费退换货服务。*

          了解更多
          help_icon

          随时为您服务

          获取常见问题的专家解答,或者直接联系我们的技术专家,咨询应用、设备、常规产品使用问题。

          联系技术支持
          订购 Plus Icon Minus Icon
          • 订单状态查询
          • 订单支持
          • 货号直购
          • 现货供应中心
          • 电子采购
          支持 Plus Icon Minus Icon
          • 帮助&支持
          • 联系我们 - 400 820 8982
          • 技术支持中心
          • 查找文件&证书
          • 报告网站问题
          资源 Plus Icon Minus Icon
          • 学习中心
          • 促销
          • 活动&研讨会
          • 社交媒体
          关于赛默飞 Plus Icon Minus Icon
          • 关于我们
          • 招聘 招聘
          • 投资者关系 投资者关系
          • 新闻 新闻
          • 社会责任 社会责任
          • 商标
          • 政策和通知
          品牌 Plus Icon Minus Icon
          • Thermo Scientific
          • Applied Biosystems
          • Invitrogen
          • Gibco
          • Ion Torrent
          • Unity Lab Services
          • Patheon
          • PPD
          • 服务条款
          • 隐私政策
          • 定价和运输保险政策
          © 2006-2026 Thermo Fisher Scientific Inc. All rights reserved. All trademarks are the property of Thermo Fisher Scientific and its subsidiaries unless otherwise specified.
          China flag icon
          China
          本网站销售的所有产品均不得用于人类或动物之临床诊断或治疗,仅可用于工业或者科研等非医疗目的。
             电子营业执照 | 经营证照公示 | ICP备案号:沪ICP备11003924号 | 沪公网安备 31011502006935号

          Your items have has been added!


          Host server : magellan-search-green-6479c7f679-v472f:80/100.66.78.195:80.
          git-commit: b70c0dceb888abc3b0dcebb5bc3a5b8753e7e816
          git-url: https://github.com/thermofisher/magellan-search
          git-branch: release/2.50.0-Offline