Hamburger Menu Button
Thermo Fisher Scientific Logo
登录
没有账号?建立账号 注册
  • 产品
    • 抗体
    • 引物合成
    • GeneArt Gene Synthesis Instant Designer
    • TaqMan Assay and Array Search
    • PCR 设备和耗材
    • 色谱柱和纯化柱
    • 实验室离心机
    • 分子生物学试剂和试剂盒
    • 实验室塑料耗材及用品
    • 查看所有产品分类
  • 应用和技术
    • 色谱
    • 细胞转染和培养
    • 实时荧光定量PCR
    • 质谱
    • 实验室塑料耗材及用品
    • 电子显微镜
    • 蛋白质生物学
    • PCR
    • RNAi
    • 环境
    • 查看所有应用和技术
  • 服务
    • 定制服务
    • 企业级实验室信息化服务
    • 金融&租赁服务
    • 仪器服务
    • OEM和商业供应
    • 培训服务
    • 360° CDMO 和 CRO 服务
    • CDMO 服务
    • 临床试验 CRO 服务
    • Unity Lab Services
    • 查看所有帮助和支持
  • 帮助和支持
    • 学习中心
    • 联系我们
    • 更改国家或地区
    • 查看所有帮助和支持
  • 热门产品
    • TaqMan Real-Time PCR Assays
      TaqMan 实时荧光定量 PCR 试剂盒
    • Antibodies
      抗体
    • Oligos, Primers & Probes
      寡核苷酸、引物、探针
    • GeneArt Gene Synthesis
      GeneArt 基因合成
    • Cell Culture Plastics
      细胞培养耗材
  • Who We Serve
    • 抗体治疗解决方案
    • 细胞与基因治疗解决方案
    • 学术科研
    • 工业与应用
  • 联系我们
  • 货号直购
  • 订单查询
  • 查找文件&证书
Thermo Fisher Scientific Logo

Search

搜索全部或下列指定分类
Search button
          • 联系我们
          • 货号直购
          • 登录
            登录
            没有账号?建立账号 注册
            • 我的账号
            • 订单
            • 会员中心
            • 账单及发票查询
            • 定制产品及项目
          • Primary Antibodies ›
          • Complement C3d Antibodies

          NeoBiotechnologies

          Complement 3d (C3d) (Acute Humoral Rejection Marker) Monoclonal Antibody (C3D/2891)

          查看其他4个Complement C3d抗体

          {{$productOrderCtrl.translations['antibody.pdp.commerceCard.promotion.promotions']}}

          {{$productOrderCtrl.translations['antibody.pdp.commerceCard.promotion.viewpromo']}}

          {{$productOrderCtrl.translations['antibody.pdp.commerceCard.promotion.promocode']}}: {{promo.promoCode}} {{promo.promoTitle}} {{promo.promoDescription}}. {{$productOrderCtrl.translations['antibody.pdp.commerceCard.promotion.learnmore']}}

          说明书
          证书
          实验方案
          问题与答案
          技术支持
          说明书
          证书
          实验方案
          问题与答案
          技术支持
          说明书
          证书
          实验方案
          问题与答案
          技术支持

          Cite Complement 3d (C3d) (Acute Humoral Rejection Marker) Monoclonal Antibody (C3D/2891)

          Additional Information:
          {{banner.description}}
          {{$ctrl.isSkuNotesCollapsed ? 'View more' : 'View less'}}
          • 抗体检测数据 (4)
          Complement 3d (C3d) (Acute Humoral Rejection Marker) Antibody in Immunohistochemistry (Paraffin) (IHC (P))
          Group 53 Created with Sketch.
          Complement 3d (C3d) (Acute Humoral Rejection Marker) Antibody in Immunohistochemistry (Paraffin) (IHC (P))
          Group 53 Created with Sketch.

          图: 1 / 4

          {{ $ctrl.currentElement.advancedVerification.fullName }}
          {{ $ctrl.currentElement.advancedVerification.text }}

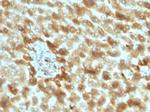
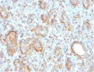
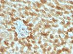
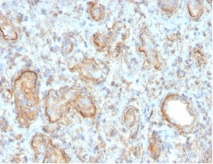
          Complement 3d (C3d) (Acute Humoral Rejection Marker) Antibody (718-MSM1-P1) in IHC (P)

          Formalin-fixed, paraffin-embedded human rejected kidney transplant stained with Complement 3d Mouse Monoclonal Antibody (C3D/2891) at 2 µg/mL in PBS. HIER: Tris/EDTA, pH9.0, 45 min. 2nd Ab: HRP-polymer, 30 min. DAB, 5 min. {{ $ctrl.currentElement.advancedVerification.fullName }} 验证信息 View more
          已发表图片由___提供 benchsci-logo
          PMID: {{$ctrl.currentElement.benchSciPubmedId}}
          查看产品

          {{$ctrl.videoDesc}}

          {{$ctrl.videoLongDesc}}

          Complement 3d (C3d) (Acute Humoral Rejection Marker) Antibody in Immunohistochemistry (Paraffin) (IHC (P))
          Complement 3d (C3d) (Acute Humoral Rejection Marker) Antibody in Immunohistochemistry (Paraffin) (IHC (P))
          Complement 3d (C3d) (Acute Humoral Rejection Marker) Antibody in Peptide array (ARRAY)
          Complement 3d (C3d) (Acute Humoral Rejection Marker) Antibody in Immunoelectrophoresis (IE)
          Complement 3d (C3d) (Acute Humoral Rejection Marker) Monoclonal Antibody (C3D/2891)

          产品信息

          718-MSM1-P1

          应用
          建议稀释比
          已发表文章

          免疫组化(石蜡) (IHC (P))

          1-2 µg/mL
          -

          肽阵列 (Array)

          Assay-dependent
          -

          免疫电泳 (IE)

          Assay-dependent
          -
          产品规格

          种属反应

          Human

          宿主/亚型

          Mouse / IgG2b, kappa

          分类

          Monoclonal

          类型

          Antibody

          克隆号

          C3D/2891

          抗原

          Recombinant fragment (around aa 1250-1450) of human C3 protein.
          3D表位/免疫原

          偶联物

          Unconjugated Unconjugated Unconjugated

          形式

          Liquid

          浓度

          200 µg/mL

          规格

          100 µg

          纯化类型

          Protein A/G

          保存液

          PBS with 0.05% BSA

          内含物

          0.05% sodium azide

          保存条件

          4°C

          运输条件

          Ambient (domestic); Wet ice (international)

          产品详细信息

          Antibody is stable for 24 months.

          Positive Control: Human liver cancer or rejected renal transplant tissue. Cellular Localization: Plasma.

          Specificity Comments: The complement component proteins, C2, C3, C4 and C5, are potent anaphylatoxins that are released during complement activation. Binding of these proteins to their respective G protein-coupled receptors, C3aR, C1R and C5aR, induces proinflammatory events, such as cellular degranulation, smooth muscle contraction, arachidonic acid metabolism, cytokine release, leukocyte activation and cellular chemotaxis. C3d is a terminal degradation product of C3 that plays an important role in modulation of the adaptive immune response through the interaction with complement receptor type 2 (CR2). CR2 is important in the switched-isotype, high-affinity and memory humoral immune responses to T-dependent foreign antigens, as well as in the development of the natural antibody repertoire. This pH- and ionic strength-dependent association of C3d with CR2 represents a link between innate and adaptive immunity.

          靶标信息

          C3 is a key component of the complement system since classical and alternative activation pathways merge at the C3 activation step when C3 is split into C3a and C3b. The molecular mass of C3 is 185 kDa and it consists of two chains (110 kDa and 75 kDa) held together by disulfide bonds.

          仅用于科研。不用于诊断过程。未经明确授权不得转售。

          篇参考文献 (0)

          您是否在文献中引用过该产品?请点击下方按钮邮件告知我们。
          引用该产品

          生物信息学

          蛋白别名: Acylation stimulating protein cleavage product; acylation-stimulating protein cleavage product; C3 and PZP-like alpha-2-macroglobulin domain-containing protein 1; C3a anaphylatoxin; Cd3; chain fragment 2; Complement C3; Complement C3c alpha' complement component 3; complement component C3a; complement component C3b; epididymis secretory sperm binding protein Li 62p; prepro-C3; unnamed protein product

          查看更多 收起

          基因别名: AHUS5; ARMD9; ASP; C3; C3a; C3b; CPAMD1; HEL-S-62p

          查看更多 收起

          UniProt ID: (Human) P01024

          查看更多 收起

          Entrez Gene ID: (Human) 718

          查看更多 收起

          功能
          antigen binding endopeptidase inhibitor activity receptor binding protein binding chemokine activity C5L2 anaphylatoxin chemotactic receptor binding receptor agonist activity
          参与通路
          positive regulation of type IIa hypersensitivity complement activation, lectin pathway activation of membrane attack complex positive regulation of protein phosphorylation positive regulation of activation of membrane attack complex immune system process complement receptor mediated signaling pathway lipid metabolic process fatty acid metabolic process inflammatory response immune response complement activation complement activation, alternative pathway complement activation, classical pathway signal transduction G-protein coupled receptor signaling pathway opsonization response to bacterium positive regulation of vascular endothelial growth factor production positive regulation of glucose transport regulation of triglyceride biosynthetic process positive regulation of lipid storage neuron remodeling leukocyte chemotaxis killing of cells of other organism oviduct epithelium development B cell activation innate immune response positive regulation of G-protein coupled receptor protein signaling pathway positive regulation of angiogenesis positive regulation of receptor-mediated endocytosis positive regulation of phagocytosis protein maturation positive regulation of phagocytosis, engulfment beta-amyloid clearance complement-dependent cytotoxicity complement-mediated synapse pruning vertebrate eye-specific patterning complement activation, GZMK pathway positive regulation of apoptotic cell clearance
          It has to be done as per old AB suggested Products section.

          Disclaimer

          Close

          Clicking the images or links will redirect you to a website hosted by BenchSci that provides third-party scientific content. Neither the content nor the BenchSci technology and processes for selection have been evaluated by us; we are providing them as-is and without warranty of any kind, including for use or application of the Thermo Fisher Scientific products presented.

          guarantee_icon

          性能保障

          只要您发现Invitrogen抗体在实验中的表现与网站或说明书的所述内容不符,您即可享受免费退换货服务。*

          了解更多
          help_icon

          随时为您服务

          获取常见问题的专家解答,或者直接联系我们的技术专家,咨询应用、设备、常规产品使用问题。

          联系技术支持
          订购 Plus Icon Minus Icon
          • 订单状态查询
          • 订单支持
          • 货号直购
          • 现货供应中心
          • 电子采购
          支持 Plus Icon Minus Icon
          • 帮助&支持
          • 联系我们 - 400 820 8982
          • 技术支持中心
          • 查找文件&证书
          • 报告网站问题
          资源 Plus Icon Minus Icon
          • 学习中心
          • 促销
          • 活动&研讨会
          • 社交媒体
          关于赛默飞 Plus Icon Minus Icon
          • 关于我们
          • 招聘 招聘
          • 投资者关系 投资者关系
          • 新闻 新闻
          • 社会责任 社会责任
          • 商标
          • 政策和通知
          品牌 Plus Icon Minus Icon
          • Thermo Scientific
          • Applied Biosystems
          • Invitrogen
          • Gibco
          • Ion Torrent
          • Unity Lab Services
          • Patheon
          • PPD
          • 服务条款
          • 隐私政策
          • 定价和运输保险政策
          © 2006-2026 Thermo Fisher Scientific Inc. All rights reserved. All trademarks are the property of Thermo Fisher Scientific and its subsidiaries unless otherwise specified.
          China flag icon
          China
          本网站销售的所有产品均不得用于人类或动物之临床诊断或治疗,仅可用于工业或者科研等非医疗目的。
             电子营业执照 | 经营证照公示 | ICP备案号:沪ICP备11003924号 | 沪公网安备 31011502006935号

          Your items have has been added!


          Host server : magellan-search-green-6479c7f679-v472f:80/100.66.78.195:80.
          git-commit: b70c0dceb888abc3b0dcebb5bc3a5b8753e7e816
          git-url: https://github.com/thermofisher/magellan-search
          git-branch: release/2.50.0-Offline