Hamburger Menu Button
Thermo Fisher Scientific Logo
登录
没有账号?建立账号 注册
  • 产品
    • 抗体
    • 引物合成
    • GeneArt Gene Synthesis Instant Designer
    • TaqMan Assay and Array Search
    • PCR 设备和耗材
    • 色谱柱和纯化柱
    • 实验室离心机
    • 分子生物学试剂和试剂盒
    • 实验室塑料耗材及用品
    • 查看所有产品分类
  • 应用和技术
    • 色谱
    • 细胞转染和培养
    • 实时荧光定量PCR
    • 质谱
    • 实验室塑料耗材及用品
    • 电子显微镜
    • 蛋白质生物学
    • PCR
    • RNAi
    • 环境
    • 查看所有应用和技术
  • 服务
    • 定制服务
    • 企业级实验室信息化服务
    • 金融&租赁服务
    • 仪器服务
    • OEM和商业供应
    • 培训服务
    • 360° CDMO 和 CRO 服务
    • CDMO 服务
    • 临床试验 CRO 服务
    • Unity Lab Services
    • 查看所有帮助和支持
  • 帮助和支持
    • 学习中心
    • 联系我们
    • 更改国家或地区
    • 查看所有帮助和支持
  • 热门产品
    • TaqMan Real-Time PCR Assays
      TaqMan 实时荧光定量 PCR 试剂盒
    • Antibodies
      抗体
    • Oligos, Primers & Probes
      寡核苷酸、引物、探针
    • GeneArt Gene Synthesis
      GeneArt 基因合成
    • Cell Culture Plastics
      细胞培养耗材
  • Who We Serve
    • 抗体治疗解决方案
    • 细胞与基因治疗解决方案
    • 学术科研
    • 工业与应用
  • 联系我们
  • 货号直购
  • 订单查询
  • 查找文件&证书
Thermo Fisher Scientific Logo

Search

搜索全部或下列指定分类
Search button
          • 联系我们
          • 货号直购
          • 登录
            登录
            没有账号?建立账号 注册
            • 我的账号
            • 订单
            • 会员中心
            • 账单及发票查询
            • 定制产品及项目
          • Primary Antibodies ›
          • Connexin 40 Antibodies

          Invitrogen

          Connexin 40 Monoclonal Antibody (2F9A11)

          7个已发表图片
          16 篇参考文献
          查看其他7个Connexin 40抗体

          {{$productOrderCtrl.translations['antibody.pdp.commerceCard.promotion.promotions']}}

          {{$productOrderCtrl.translations['antibody.pdp.commerceCard.promotion.viewpromo']}}

          {{$productOrderCtrl.translations['antibody.pdp.commerceCard.promotion.promocode']}}: {{promo.promoCode}} {{promo.promoTitle}} {{promo.promoDescription}}. {{$productOrderCtrl.translations['antibody.pdp.commerceCard.promotion.learnmore']}}

          说明书
          证书
          实验方案
          问题与答案
          技术支持
          说明书
          证书
          实验方案
          问题与答案
          技术支持
          说明书
          证书
          实验方案
          问题与答案
          技术支持

          Cite Connexin 40 Monoclonal Antibody (2F9A11)

          Additional Information:
          {{banner.description}}
          {{$ctrl.isSkuNotesCollapsed ? 'View more' : 'View less'}}
          • 抗体检测数据 (2)
          • 已发表图片 (7)
          Connexin 40 Antibody in Immunohistochemistry (Paraffin) (IHC (P))
          Group 53 Created with Sketch.
          Connexin 40 Antibody in Immunohistochemistry (Paraffin) (IHC (P))
          Group 53 Created with Sketch.

          图: 1 / 9

          {{ $ctrl.currentElement.advancedVerification.fullName }}
          {{ $ctrl.currentElement.advancedVerification.text }}

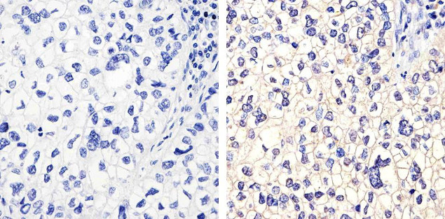
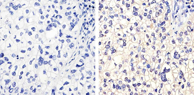
          Connexin 40 Antibody (37-8900) in IHC (P)

          Immunohistochemistry analysis of Connexin 40 showing staining in the membrane of paraffin-embedded human lung adenocarcinoma (right) compared to a negative control without primary antibody (left). To expose target proteins, antigen retrieval was performed using 10mM sodium citrate (pH 6.0), microwaved for 8-15 min. Following antigen retrieval, tissues were blocked in 3% H2O2-methanol for 15 min at room temp... View More {{ $ctrl.currentElement.advancedVerification.fullName }} 验证信息 View more
          已发表图片由___提供 benchsci-logo
          PMID: {{$ctrl.currentElement.benchSciPubmedId}}
          查看产品

          {{$ctrl.videoDesc}}

          {{$ctrl.videoLongDesc}}

          Connexin 40 Antibody in Immunohistochemistry (Paraffin) (IHC (P))
          Connexin 40 Antibody in Western Blot (WB)
          Connexin 40 Antibody in Immunohistochemistry (IHC)
          Connexin 40 Antibody in Immunohistochemistry (IHC)
          Connexin 40 Antibody in Immunohistochemistry (IHC)
          Connexin 40 Antibody in Immunohistochemistry (IHC)
          Connexin 40 Antibody in Immunohistochemistry (IHC)
          Connexin 40 Antibody in Western Blot (WB)
          Connexin 40 Antibody in Western Blot, Immunoprecipitation (WB, IP)
          Connexin 40 Monoclonal Antibody (2F9A11)

          产品信息

          37-8900

          应用
          建议稀释比
          已发表文章

          免疫印迹 (WB)

          Assay-dependent
          查看3篇已发表文章 3篇已发表文章

          免疫组化 (IHC)

          -
          查看7篇已发表文章 7篇已发表文章

          免疫组化(石蜡) (IHC (P))

          1:10-1:100
          -

          免疫组化(冰冻) (IHC (F))

          Assay-dependent
          查看1篇已发表文章 1篇已发表文章

          免疫细胞化学 (ICC/IF)

          -
          查看3篇已发表文章 3篇已发表文章

          酶联免疫吸附实验 (ELISA)

          Assay-dependent
          -

          免疫沉淀 (IP)

          -
          查看1篇已发表文章 1篇已发表文章

          其他PubMed (Misc)

          -
          查看1篇已发表文章 1篇已发表文章
          产品规格

          种属反应

          Human, Mouse

          已发表种属

          Human, Mouse, Pig, Rat

          宿主/亚型

          Mouse / IgG1, kappa

          分类

          Monoclonal

          类型

          Antibody

          克隆号

          2F9A11

          抗原

          Synthetic peptide corresponding to the C-terminus of mouse Connexin40
          3D表位/免疫原

          偶联物

          Unconjugated Unconjugated Unconjugated

          形式

          Liquid

          浓度

          0.5 mg/mL

          规格

          100 µg

          纯化类型

          Protein A

          保存液

          PBS, pH 7.4

          内含物

          0.1% sodium azide

          保存条件

          -20°C

          运输条件

          Ambient (domestic); Wet ice (international)

          RRID

          AB_2533346

          靶标信息

          Connexin 40 (Cx40), belongs to the connexin family of gap junction proteins, which are expressed in pancreas, kidney, skeletal muscle, liver, placenta and heart. Connexin 40 is highly expressed in vascular endothelial cells, and the mammalian heart (specifically in the atrial myocardium, and the His-Purkinje conduction system). At least three other connexins are expressed in the heart, including Cx37 (endocardium), Cx43 (atrial and ventricular myocardium, and distal parts of the conduction system) and Cx45 (throughout the heart). Cx40 and Cx43 frequently co-localize in cells of the cardiovascular system and participate in the formation of heterotypic gap junction channels.

          仅用于科研。不用于诊断过程。未经明确授权不得转售。

          生物信息学

          蛋白别名: connexin 40; Connexin-40; Cx40; Gap junction alpha-5 protein; gap junction membrane channel protein alpha 5; gap junction protein alpha 5 40kDa

          查看更多 收起

          基因别名: 5730555N10Rik; ATFB11; Cnx40; CX40; Cxn-40; Gja-5; GJA5

          查看更多 收起

          UniProt ID: (Human) P36382, (Mouse) Q01231

          查看更多 收起

          Entrez Gene ID: (Human) 2702, (Mouse) 14613

          查看更多 收起

          功能
          gap junction channel activity protein binding gap junction hemi-channel activity connexin binding gap junction channel activity involved in SA node cell-atrial cardiac muscle cell electrical coupling gap junction channel activity involved in cardiac conduction electrical coupling gap junction channel activity involved in atrial cardiac muscle cell-AV node cell electrical coupling gap junction channel activity involved in AV node cell-bundle of His cell electrical coupling gap junction channel activity involved in bundle of His cell-Purkinje myocyte electrical coupling gap junction channel activity involved in Purkinje myocyte-ventricular cardiac muscle cell electrical coupling disordered domain specific binding gap junction
          参与通路
          skeletal system development angiogenesis blood vessel development renal system process involved in regulation of systemic arterial blood pressure regulation of systemic arterial blood pressure negative regulation of glomerular filtration outflow tract morphogenesis endothelium development cardiac conduction system development mitral valve development pulmonary valve formation ventricular septum development atrial septum development septum primum development atrial ventricular junction remodeling potassium ion transport cell communication cell-cell signaling heart development cell communication by chemical coupling cell communication by electrical coupling regulation of cell communication by electrical coupling positive regulation of cell communication by chemical coupling gap junction assembly embryonic limb morphogenesis embryonic heart tube development foramen ovale closure vasodilation negative regulation of blood pressure positive regulation of vasoconstriction artery morphogenesis transmembrane transport regulation of cardiac muscle contraction regulation of ventricular cardiac muscle cell membrane repolarization regulation of atrial cardiac muscle cell membrane depolarization regulation of ventricular cardiac muscle cell membrane depolarization ventricular septum morphogenesis atrial septum morphogenesis cardiac conduction ventricular cardiac muscle cell action potential SA node cell action potential SA node cell to atrial cardiac muscle cell communication by electrical coupling atrial cardiac muscle cell to AV node cell communication by electrical coupling AV node cell to bundle of His cell communication by electrical coupling bundle of His cell to Purkinje myocyte communication by electrical coupling Purkinje myocyte to ventricular cardiac muscle cell communication by electrical coupling cell communication by electrical coupling involved in cardiac conduction cell communication involved in cardiac conduction AV node cell to bundle of His cell communication regulation of heart rate by cardiac conduction regulation of blood vessel diameter regulation of AV node cell action potential regulation of bundle of His cell action potential regulation of Purkinje myocyte action potential regulation of atrial cardiac muscle cell action potential regulation of renin secretion into blood stream regulation of membrane depolarization during cardiac muscle cell action potential vasomotion regulation of vasodilation positive regulation of vasodilation protein oligomerization
          It has to be done as per old AB suggested Products section.

          Disclaimer

          Close

          Clicking the images or links will redirect you to a website hosted by BenchSci that provides third-party scientific content. Neither the content nor the BenchSci technology and processes for selection have been evaluated by us; we are providing them as-is and without warranty of any kind, including for use or application of the Thermo Fisher Scientific products presented.

          guarantee_icon

          性能保障

          只要您发现Invitrogen抗体在实验中的表现与网站或说明书的所述内容不符,您即可享受免费退换货服务。*

          了解更多
          help_icon

          随时为您服务

          获取常见问题的专家解答,或者直接联系我们的技术专家,咨询应用、设备、常规产品使用问题。

          联系技术支持
          订购 Plus Icon Minus Icon
          • 订单状态查询
          • 订单支持
          • 货号直购
          • 现货供应中心
          • 电子采购
          支持 Plus Icon Minus Icon
          • 帮助&支持
          • 联系我们 - 400 820 8982
          • 技术支持中心
          • 查找文件&证书
          • 报告网站问题
          资源 Plus Icon Minus Icon
          • 学习中心
          • 促销
          • 活动&研讨会
          • 社交媒体
          关于赛默飞 Plus Icon Minus Icon
          • 关于我们
          • 招聘 招聘
          • 投资者关系 投资者关系
          • 新闻 新闻
          • 社会责任 社会责任
          • 商标
          • 政策和通知
          品牌 Plus Icon Minus Icon
          • Thermo Scientific
          • Applied Biosystems
          • Invitrogen
          • Gibco
          • Ion Torrent
          • Unity Lab Services
          • Patheon
          • PPD
          • 服务条款
          • 隐私政策
          • 定价和运输保险政策
          © 2006-2026 Thermo Fisher Scientific Inc. All rights reserved. All trademarks are the property of Thermo Fisher Scientific and its subsidiaries unless otherwise specified.
          China flag icon
          China
          本网站销售的所有产品均不得用于人类或动物之临床诊断或治疗,仅可用于工业或者科研等非医疗目的。
             电子营业执照 | 经营证照公示 | ICP备案号:沪ICP备11003924号 | 沪公网安备 31011502006935号

          Your items have has been added!


          Host server : magellan-search-green-6479c7f679-jmhj8:80/100.66.74.142:80.
          git-commit: b70c0dceb888abc3b0dcebb5bc3a5b8753e7e816
          git-url: https://github.com/thermofisher/magellan-search
          git-branch: release/2.50.0-Offline