Hamburger Menu Button
Thermo Fisher Scientific Logo
登录
没有账号?建立账号 注册
  • 产品
    • 抗体
    • 引物合成
    • GeneArt Gene Synthesis Instant Designer
    • TaqMan Assay and Array Search
    • PCR 设备和耗材
    • 色谱柱和纯化柱
    • 实验室离心机
    • 分子生物学试剂和试剂盒
    • 实验室塑料耗材及用品
    • 查看所有产品分类
  • 应用和技术
    • 色谱
    • 细胞转染和培养
    • 实时荧光定量PCR
    • 质谱
    • 实验室塑料耗材及用品
    • 电子显微镜
    • 蛋白质生物学
    • PCR
    • RNAi
    • 环境
    • 查看所有应用和技术
  • 服务
    • 定制服务
    • 企业级实验室信息化服务
    • 金融&租赁服务
    • 仪器服务
    • OEM和商业供应
    • 培训服务
    • 360° CDMO 和 CRO 服务
    • CDMO 服务
    • 临床试验 CRO 服务
    • Unity Lab Services
    • 查看所有帮助和支持
  • 帮助和支持
    • 学习中心
    • 联系我们
    • 更改国家或地区
    • 查看所有帮助和支持
  • 热门产品
    • TaqMan Real-Time PCR Assays
      TaqMan 实时荧光定量 PCR 试剂盒
    • Antibodies
      抗体
    • Oligos, Primers & Probes
      寡核苷酸、引物、探针
    • GeneArt Gene Synthesis
      GeneArt 基因合成
    • Cell Culture Plastics
      细胞培养耗材
  • Who We Serve
    • 抗体治疗解决方案
    • 细胞与基因治疗解决方案
    • 学术科研
    • 工业与应用
  • 联系我们
  • 货号直购
  • 订单查询
  • 查找文件&证书
Thermo Fisher Scientific Logo

Search

搜索全部或下列指定分类
Search button
          • 联系我们
          • 货号直购
          • 登录
            登录
            没有账号?建立账号 注册
            • 我的账号
            • 订单
            • 会员中心
            • 账单及发票查询
            • 定制产品及项目
          • Primary Antibodies ›
          • Connexin 43 Antibodies

          Proteintech

          Connexin 43 Polyclonal Antibody

          59 篇参考文献
          查看其他34个Connexin 43抗体

          {{$productOrderCtrl.translations['antibody.pdp.commerceCard.promotion.promotions']}}

          {{$productOrderCtrl.translations['antibody.pdp.commerceCard.promotion.viewpromo']}}

          {{$productOrderCtrl.translations['antibody.pdp.commerceCard.promotion.promocode']}}: {{promo.promoCode}} {{promo.promoTitle}} {{promo.promoDescription}}. {{$productOrderCtrl.translations['antibody.pdp.commerceCard.promotion.learnmore']}}

          说明书
          证书
          实验方案
          问题与答案
          技术支持
          说明书
          证书
          实验方案
          问题与答案
          技术支持
          说明书
          证书
          实验方案
          问题与答案
          技术支持

          Cite Connexin 43 Polyclonal Antibody

          Additional Information:
          {{banner.description}}
          {{$ctrl.isSkuNotesCollapsed ? 'View more' : 'View less'}}
          • 抗体检测数据 (9)
          Connexin 43 Antibody in Immunohistochemistry (Paraffin) (IHC (P))
          Group 53 Created with Sketch.
          Connexin 43 Antibody in Immunohistochemistry (Paraffin) (IHC (P))
          Group 53 Created with Sketch.

          图: 1 / 9

          {{ $ctrl.currentElement.advancedVerification.fullName }}
          {{ $ctrl.currentElement.advancedVerification.text }}

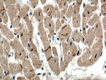
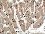
          Connexin 43 Antibody (26980-1-AP) in IHC (P)

          Immunohistochemistry of paraffin-embedded mouse heart tissue slide using 26980-1-AP ( Connexin 43 Antibody) at dilution of 1:200 (under 40x lens). {{ $ctrl.currentElement.advancedVerification.fullName }} 验证信息 View more
          已发表图片由___提供 benchsci-logo
          PMID: {{$ctrl.currentElement.benchSciPubmedId}}
          查看产品

          {{$ctrl.videoDesc}}

          {{$ctrl.videoLongDesc}}

          Connexin 43 Antibody in Immunohistochemistry (Paraffin) (IHC (P))
          Connexin 43 Antibody in Immunohistochemistry (Paraffin) (IHC (P))
          Connexin 43 Antibody in Immunohistochemistry (Paraffin) (IHC (P))
          Connexin 43 Antibody in Immunohistochemistry (Paraffin) (IHC (P))
          Connexin 43 Antibody in Immunohistochemistry (PFA fixed) (IHC (PFA))
          Connexin 43 Antibody in Immunohistochemistry (PFA fixed) (IHC (PFA))
          Connexin 43 Antibody in Western Blot (WB)
          Connexin 43 Antibody in Western Blot (WB)
          Connexin 43 Antibody in Immunoprecipitation (IP)
          Connexin 43 Polyclonal Antibody

          产品信息

          26980-1-AP

          应用
          建议稀释比
          已发表文章

          免疫印迹 (WB)

          1:500-1:1,000
          查看30篇已发表文章 30篇已发表文章

          免疫组化 (IHC)

          -
          查看6篇已发表文章 6篇已发表文章

          免疫组化(石蜡) (IHC (P))

          1:50-1:500
          -

          免疫组织化学(多聚甲醛固定) (IHC (PFA))

          1:50-1:500
          -

          免疫细胞化学 (ICC/IF)

          1:50-1:500
          查看19篇已发表文章 19篇已发表文章

          流式细胞分析 (Flow)

          -
          查看1篇已发表文章 1篇已发表文章

          免疫沉淀 (IP)

          0.5-4.0 µg
          查看3篇已发表文章 3篇已发表文章
          产品规格

          种属反应

          Human, Mouse

          已发表种属

          Human, Mouse

          宿主/亚型

          Rabbit / IgG

          分类

          Polyclonal

          类型

          Antibody

          抗原

          Connexin 43 Fusion Protein Ag25533 (232-382 aa encoded by BC026329)
          3D表位/免疫原

          偶联物

          Unconjugated Unconjugated Unconjugated

          形式

          Liquid

          浓度

          0.33 mg/mL

          规格

          49.5 µg

          纯化类型

          Antigen affinity chromatography

          保存液

          PBS, pH 7.3, with 50% glycerol

          内含物

          0.02% sodium azide

          保存条件

          -20°C

          运输条件

          Wet ice (domestic); Dry ice (international)

          产品详细信息

          Immunogen sequence: FFKGVKDRV KGKSDPYHAT SGALSPAKDC GSQKYAYFNG CSSPTAPLSP MSPPGYKLVT GDRNNSSCRN YNKQASEQNW ANYSAEQNRM GQAGSTISNS HAQPFDFPDD NQNSKKLAAG HELQPLAIVD QRPSSRASSR ASSRPRPDDL EI (232-382 aa encoded by BC026329)

          靶标信息

          Connexin 43 (Cx43) is a member of the gap junction protein family. Connexins assemble as a hexamer and are transported to the plasma membrane to create a hemichannel that can associate with hemichannels on nearby cells to create cell-to-cell channels. Clusters of these channels assemble to make gap junctions. Gap junction communication is important in development and regulation of cell growth. Phosphorylation of Cx43 is important in regulating assembly and function of gap junctions. Ser368 of Cx43 is phosphorylated by protein kinase C (PKC) after activation by phorbol esters, which decreases cell-to-cell communication. Src can interact with and phosphorylate Cx43 to alter gap junction communication. GFAP are membrane-spanning proteins that facilitate the transfer of ions and small molecules between cells. According to sequence similarities at the nucleotide and amino acid levels, the gap junction proteins are divided into two categories, alpha and beta. Connexin 43 is the major protein of gap junctions in the heart, and gap junctions are thought to have a crucial role in the synchronized contraction of the heart and in embryonic development. Connexin 43 is also targeted by several protein kinases that regulate myocardial cell-cell coupling. A related intron-less connexin 43 pseudogene, GJA1P, has been mapped to chromosome 5. Mutations in the GFAP gene cause X-linked Charcot-Marie-Tooth disease, an inherited peripheral neuropathy, oculodentodigital dysplasia and heart malformations. Alternatively spliced transcript variants of GFAP have been found.

          仅用于科研。不用于诊断过程。未经明确授权不得转售。

          生物信息学

          蛋白别名: alpha 1 connexin; connexin 43; Connexin-43; Cx-43; Cx43; CXA1; DFNB38; Gap junction 43 kDa heart protein; Gap junction alpha-1 protein; gap junction membrane channel protein alpha 1; gap junction protein, alpha 1, 43kDa; GJA1; ODD; ODOD; SDTY3; Syndactyly type III; unnamed protein product

          查看更多 收起

          基因别名: AU042049; AVSD3; AW546267; CMDR; Cnx43; connexin43; CX43; Cx43alpha1; Cxn-43; EKVP; EKVP3; Gja-1; GJA1; GJAL; HLHS1; HSS; Npm1; ODDD; PPKCA

          查看更多 收起

          UniProt ID: (Human) P17302, (Mouse) P23242

          查看更多 收起

          Entrez Gene ID: (Human) 2697, (Mouse) 14609

          查看更多 收起

          功能
          gap junction channel activity protein binding beta-catenin binding ion transmembrane transporter activity efflux transmembrane transporter activity tubulin binding transmembrane transporter activity glutathione transmembrane transporter activity alpha-tubulin binding gap junction hemi-channel activity gap junction channel activity involved in cardiac conduction electrical coupling gap junction channel activity involved in cell communication by electrical coupling signal transducer activity receptor binding SH3 domain binding protein domain specific binding PDZ domain binding beta-tubulin binding connexin binding scaffold protein binding gap junction
          参与通路
          establishment of mitotic spindle orientation cardiac conduction system development cell communication signal transduction cell-cell signaling spermatogenesis heart development protein localization positive regulation of gene expression cell communication by electrical coupling glutamate secretion gap junction assembly negative regulation of cell growth negative regulation of gonadotropin secretion ion transmembrane transport glutathione transmembrane transport maintenance of blood-brain barrier xenobiotic transport positive regulation of I-kappaB kinase/NF-kappaB signaling cell-cell junction organization bone remodeling transmembrane transport bone development atrial cardiac muscle cell action potential cell communication by electrical coupling involved in cardiac conduction microtubule-based transport positive regulation of cold-induced thermogenesis export across plasma membrane negative regulation of trophoblast cell migration regulation of blood circulation cellular response to beta-amyloid positive regulation of vascular smooth muscle cell proliferation positive regulation of morphogenesis of an epithelium positive regulation of mesodermal cell differentiation positive regulation of stem cell proliferation osteoblast differentiation in utero embryonic development neuron migration negative regulation of endothelial cell proliferation heart looping regulation of heart rate epithelial cell maturation lens development in camera-type eye chronic inflammatory response positive regulation of glomerular filtration atrial ventricular junction remodeling epicardial cell to mesenchymal cell transition apoptotic process positive regulation of cytosolic calcium ion concentration adult heart development regulation of heart contraction negative regulation of cell proliferation response to pH vascular transport negative regulation of gene expression cell communication by chemical coupling positive regulation of cell communication by chemical coupling ATP transport regulation of bone mineralization positive regulation of insulin secretion embryonic heart tube development embryonic digit morphogenesis skeletal muscle tissue regeneration positive regulation of osteoblast differentiation positive regulation of protein catabolic process positive regulation of striated muscle tissue development positive regulation of vasoconstriction positive regulation of vasodilation regulation of bone remodeling blood vessel morphogenesis neuron projection morphogenesis protein oligomerization regulation of calcium ion transport negative regulation of cardiac muscle cell proliferation milk ejection regulation of ventricular cardiac muscle cell membrane repolarization regulation of blood vessel remodeling regulation of atrial cardiac muscle cell membrane depolarization regulation of ventricular cardiac muscle cell membrane depolarization negative regulation of wound healing cardiac conduction establishment of epithelial cell polarity negative regulation of DNA biosynthetic process regulation of bicellular tight junction assembly positive regulation of behavioral fear response
          It has to be done as per old AB suggested Products section.

          Disclaimer

          Close

          Clicking the images or links will redirect you to a website hosted by BenchSci that provides third-party scientific content. Neither the content nor the BenchSci technology and processes for selection have been evaluated by us; we are providing them as-is and without warranty of any kind, including for use or application of the Thermo Fisher Scientific products presented.

          guarantee_icon

          性能保障

          只要您发现Invitrogen抗体在实验中的表现与网站或说明书的所述内容不符,您即可享受免费退换货服务。*

          了解更多
          help_icon

          随时为您服务

          获取常见问题的专家解答,或者直接联系我们的技术专家,咨询应用、设备、常规产品使用问题。

          联系技术支持
          订购 Plus Icon Minus Icon
          • 订单状态查询
          • 订单支持
          • 货号直购
          • 现货供应中心
          • 电子采购
          支持 Plus Icon Minus Icon
          • 帮助&支持
          • 联系我们 - 400 820 8982
          • 技术支持中心
          • 查找文件&证书
          • 报告网站问题
          资源 Plus Icon Minus Icon
          • 学习中心
          • 促销
          • 活动&研讨会
          • 社交媒体
          关于赛默飞 Plus Icon Minus Icon
          • 关于我们
          • 招聘 招聘
          • 投资者关系 投资者关系
          • 新闻 新闻
          • 社会责任 社会责任
          • 商标
          • 政策和通知
          品牌 Plus Icon Minus Icon
          • Thermo Scientific
          • Applied Biosystems
          • Invitrogen
          • Gibco
          • Ion Torrent
          • Unity Lab Services
          • Patheon
          • PPD
          • 服务条款
          • 隐私政策
          • 定价和运输保险政策
          © 2006-2026 Thermo Fisher Scientific Inc. All rights reserved. All trademarks are the property of Thermo Fisher Scientific and its subsidiaries unless otherwise specified.
          China flag icon
          China
          本网站销售的所有产品均不得用于人类或动物之临床诊断或治疗,仅可用于工业或者科研等非医疗目的。
             电子营业执照 | 经营证照公示 | ICP备案号:沪ICP备11003924号 | 沪公网安备 31011502006935号

          Your items have has been added!


          Host server : magellan-search-green-6479c7f679-rv8h9:80/100.66.78.195:80.
          git-commit: b70c0dceb888abc3b0dcebb5bc3a5b8753e7e816
          git-url: https://github.com/thermofisher/magellan-search
          git-branch: release/2.50.0-Offline