Hamburger Menu Button
Thermo Fisher Scientific Logo
登录
没有账号?建立账号 注册
  • 产品
    • 抗体
    • 引物合成
    • GeneArt Gene Synthesis Instant Designer
    • TaqMan Assay and Array Search
    • PCR 设备和耗材
    • 色谱柱和纯化柱
    • 实验室离心机
    • 分子生物学试剂和试剂盒
    • 实验室塑料耗材及用品
    • 查看所有产品分类
  • 应用和技术
    • 色谱
    • 细胞转染和培养
    • 实时荧光定量PCR
    • 质谱
    • 实验室塑料耗材及用品
    • 电子显微镜
    • 蛋白质生物学
    • PCR
    • RNAi
    • 环境
    • 查看所有应用和技术
  • 服务
    • 定制服务
    • 企业级实验室信息化服务
    • 金融&租赁服务
    • 仪器服务
    • OEM和商业供应
    • 培训服务
    • 360° CDMO 和 CRO 服务
    • CDMO 服务
    • 临床试验 CRO 服务
    • Unity Lab Services
    • 查看所有帮助和支持
  • 帮助和支持
    • 学习中心
    • 联系我们
    • 更改国家或地区
    • 查看所有帮助和支持
  • 热门产品
    • TaqMan Real-Time PCR Assays
      TaqMan 实时荧光定量 PCR 试剂盒
    • Antibodies
      抗体
    • Oligos, Primers & Probes
      寡核苷酸、引物、探针
    • GeneArt Gene Synthesis
      GeneArt 基因合成
    • Cell Culture Plastics
      细胞培养耗材
  • Who We Serve
    • 抗体治疗解决方案
    • 细胞与基因治疗解决方案
    • 学术科研
    • 工业与应用
  • 联系我们
  • 货号直购
  • 订单查询
  • 查找文件&证书
Thermo Fisher Scientific Logo

Search

搜索全部或下列指定分类
Search button
          • 联系我们
          • 货号直购
          • 登录
            登录
            没有账号?建立账号 注册
            • 我的账号
            • 订单
            • 会员中心
            • 账单及发票查询
            • 定制产品及项目
          • Primary Antibodies ›
          • CRY1 Antibodies

          Proteintech

          Cryptochrome 1 Polyclonal Antibody

          19 篇参考文献
          查看其他11个CRY1抗体

          {{$productOrderCtrl.translations['antibody.pdp.commerceCard.promotion.promotions']}}

          {{$productOrderCtrl.translations['antibody.pdp.commerceCard.promotion.viewpromo']}}

          {{$productOrderCtrl.translations['antibody.pdp.commerceCard.promotion.promocode']}}: {{promo.promoCode}} {{promo.promoTitle}} {{promo.promoDescription}}. {{$productOrderCtrl.translations['antibody.pdp.commerceCard.promotion.learnmore']}}

          说明书
          证书
          实验方案
          问题与答案
          技术支持
          说明书
          证书
          实验方案
          问题与答案
          技术支持
          说明书
          证书
          实验方案
          问题与答案
          技术支持

          Cite Cryptochrome 1 Polyclonal Antibody

          Additional Information:
          {{banner.description}}
          {{$ctrl.isSkuNotesCollapsed ? 'View more' : 'View less'}}
          • 抗体检测数据 (11)
          Cryptochrome 1 Antibody in Immunocytochemistry (ICC/IF)
          Group 53 Created with Sketch.
          Cryptochrome 1 Antibody in Immunocytochemistry (ICC/IF)
          Group 53 Created with Sketch.

          图: 1 / 11

          {{ $ctrl.currentElement.advancedVerification.fullName }}
          {{ $ctrl.currentElement.advancedVerification.text }}

          Cryptochrome 1 Antibody (13474-1-AP) in ICC/IF

          Immunofluorescent analysis of Hela cells, using CRY1 antibody 13474-1-AP at 1:25 dilution and Rhodamine-labeled goat anti-rabbit IGG (red). Blue pseudocolor = DAPI (fluorescent DNA dye). {{ $ctrl.currentElement.advancedVerification.fullName }} 验证信息 View more
          已发表图片由___提供 benchsci-logo
          PMID: {{$ctrl.currentElement.benchSciPubmedId}}
          查看产品

          {{$ctrl.videoDesc}}

          {{$ctrl.videoLongDesc}}

          Cryptochrome 1 Antibody in Immunocytochemistry (ICC/IF)
          Cryptochrome 1 Antibody in Immunocytochemistry (ICC/IF)
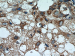
          Cryptochrome 1 Antibody in Immunohistochemistry (Paraffin) (IHC (P))
          Cryptochrome 1 Antibody in Immunohistochemistry (Paraffin) (IHC (P))
          Cryptochrome 1 Antibody in Immunohistochemistry (Paraffin) (IHC (P))
          Cryptochrome 1 Antibody in Immunohistochemistry (Paraffin) (IHC (P))
          Cryptochrome 1 Antibody in Immunohistochemistry (Paraffin) (IHC (P))
          Cryptochrome 1 Antibody in Western Blot (WB)
          Cryptochrome 1 Antibody in Western Blot (WB)
          Cryptochrome 1 Antibody in Western Blot (WB)
          Cryptochrome 1 Antibody in Western Blot (WB)
          Cryptochrome 1 Polyclonal Antibody

          产品信息

          13474-1-AP

          应用
          建议稀释比
          已发表文章

          免疫印迹 (WB)

          1:300-1:800
          查看18篇已发表文章 18篇已发表文章

          免疫组化(石蜡) (IHC (P))

          1:20-1:200
          -

          免疫细胞化学 (ICC/IF)

          1:10-1:100
          查看1篇已发表文章 1篇已发表文章
          产品规格

          种属反应

          Human, Mouse, Rat

          已发表种属

          Human

          宿主/亚型

          Rabbit / IgG

          分类

          Polyclonal

          类型

          Antibody

          抗原

          Cryptochrome 1 Fusion Protein Ag4270 (236-586 aa encoded by BC030519)
          3D表位/免疫原

          偶联物

          Unconjugated Unconjugated Unconjugated

          形式

          Liquid

          浓度

          0.19 mg/mL

          规格

          28.5 µg

          纯化类型

          Antigen affinity chromatography

          保存液

          PBS, pH 7.3, with 50% glycerol

          内含物

          0.02% sodium azide

          保存条件

          -20°C

          运输条件

          Wet ice (domestic); Dry ice (international)

          产品详细信息

          Immunogen sequence: RPRMNANSL LASPTGLSPY LRFGCLSCRL FYFKLTDLYK KVKKNSSPPL SLYGQLLWRE FFYTAATNNP RFDKMEGNPI CVQIPWDKNP EALAKWAEGR TGFPWIDAIM TQLRQEGWIH HLARHAVACF LTRGDLWISW EEGMKVFEEL LLDADWSINA GSWMWLSCSS FFQQFFHCYC PVGFGRRTDP NGDYIRRYLP VLRGFPAKYI YDPWNAPEGI QKVAKCLIGV NYPKPMVNHA EASRLNIERM KQIYQQLSRY RGLGLLASVP SNPNGNGGFM GYSAENIPGC SSSGSCSQGS GILHYAHGDS QQTHLLKQGR SSMGTGLSGG KRPSQEEDTQ SIGPKVQRQS TN (236-586 aa encoded by BC030519)

          靶标信息

          Various biochemical, physiological and behavioral processes display circadian rhythms controlled by an internal biological clock. The central "gears" driving this clock appear to be composed of an autoregulatory transcription/post translation-based feedback loop. Cryptochrome 1 (CRY1) and 2 (CRY2) are DNA-binding flavoproteins that bear some homology to blue-light receptors and photolyases. In Drosophila, CRY is a photoreceptor for the circadian clock where it binds to the clock component TIM in a light-dependent fashion and blocks its function. Mammalian CRY1 and CRY2 function via light-independent interactions with circadian genes CLOCK and BMAL1, as well as with PER1, PER2, and TIM. They seem to act as light-independent components of the circadian clock and likely regulate Per1 transcriptional cycling via interactions with both the activator and its feedback inhibitors. Mutant mice not expressing the Cry1 or Cry2 protein display accelerated and delayed periodicity of locomotor activity, respectively. It appears that the combination of both proteins working together is essential to synchronize the organism to circadian phases. A critical balance between Cry1 and Cry2 is required for proper clock function; in complete darkness, double-mutant mice present with instantaneous arrhythmicity, indicating the absence of an internal circadian clock.

          仅用于科研。不用于诊断过程。未经明确授权不得转售。

          生物信息学

          蛋白别名: ATCRY1; BLU1; BLUE LIGHT PHOTORECEPTOR; BLUE LIGHT UNINHIBITED 1; cryptochrome 1 (photolyase-like); CRYPTOCHROME 1 APOPROTEIN; cryptochrome circadian clock 1; Cryptochrome-1; ELONGATED HYPOCOTYL 4; HY4; OOP2; OUT OF PHASE 2; T3H13.14; T3H13_14; unnamed protein product

          查看更多 收起

          基因别名: AU020726; AU021000; CRY1; DSPD; PHLL1

          查看更多 收起

          UniProt ID: (Human) Q16526, (Rat) Q32Q86, (Mouse) P97784

          查看更多 收起

          Entrez Gene ID: (Human) 1407, (Rat) 299691, (Mouse) 12952

          查看更多 收起

          功能
          nucleotide binding DNA binding double-stranded DNA binding deoxyribodipyrimidine photo-lyase activity DNA (6-4) photolyase activity protein binding photoreceptor activity blue light photoreceptor activity ligand-dependent nuclear receptor binding kinase binding protein kinase binding phosphatase binding histone deacetylase binding E-box binding FAD binding DNA-binding transcription factor binding transcription factor activity, transcription factor binding core promoter sequence-specific DNA binding core promoter binding DNA photolyase activity transcription factor binding nuclear hormone receptor binding ubiquitin binding DNA photolyase
          参与通路
          negative regulation of transcription from RNA polymerase II promoter gluconeogenesis regulation of gluconeogenesis circadian rhythm response to light stimulus blue light signaling pathway response to activity lipid storage negative regulation of protein ubiquitination positive regulation of protein ubiquitination response to insulin circadian regulation of gene expression response to glucagon glucose homeostasis regulation of circadian rhythm negative regulation of circadian rhythm signal transduction in response to DNA damage entrainment of circadian clock by photoperiod negative regulation of gluconeogenesis positive regulation of gluconeogenesis negative regulation of G-protein coupled receptor protein signaling pathway negative regulation of transcription, DNA-templated rhythmic process regulation of DNA damage checkpoint negative regulation of glucocorticoid receptor signaling pathway negative regulation of glucocorticoid secretion DNA repair transcription, DNA-templated DNA damage induced protein phosphorylation signal transduction protein-chromophore linkage regulation of transcription, DNA-templated response to stimulus
          It has to be done as per old AB suggested Products section.

          Disclaimer

          Close

          Clicking the images or links will redirect you to a website hosted by BenchSci that provides third-party scientific content. Neither the content nor the BenchSci technology and processes for selection have been evaluated by us; we are providing them as-is and without warranty of any kind, including for use or application of the Thermo Fisher Scientific products presented.

          guarantee_icon

          性能保障

          只要您发现Invitrogen抗体在实验中的表现与网站或说明书的所述内容不符,您即可享受免费退换货服务。*

          了解更多
          help_icon

          随时为您服务

          获取常见问题的专家解答,或者直接联系我们的技术专家,咨询应用、设备、常规产品使用问题。

          联系技术支持
          订购 Plus Icon Minus Icon
          • 订单状态查询
          • 订单支持
          • 货号直购
          • 现货供应中心
          • 电子采购
          支持 Plus Icon Minus Icon
          • 帮助&支持
          • 联系我们 - 400 820 8982
          • 技术支持中心
          • 查找文件&证书
          • 报告网站问题
          资源 Plus Icon Minus Icon
          • 学习中心
          • 促销
          • 活动&研讨会
          • 社交媒体
          关于赛默飞 Plus Icon Minus Icon
          • 关于我们
          • 招聘 招聘
          • 投资者关系 投资者关系
          • 新闻 新闻
          • 社会责任 社会责任
          • 商标
          • 政策和通知
          品牌 Plus Icon Minus Icon
          • Thermo Scientific
          • Applied Biosystems
          • Invitrogen
          • Gibco
          • Ion Torrent
          • Unity Lab Services
          • Patheon
          • PPD
          • 服务条款
          • 隐私政策
          • 定价和运输保险政策
          © 2006-2026 Thermo Fisher Scientific Inc. All rights reserved. All trademarks are the property of Thermo Fisher Scientific and its subsidiaries unless otherwise specified.
          China flag icon
          China
          本网站销售的所有产品均不得用于人类或动物之临床诊断或治疗,仅可用于工业或者科研等非医疗目的。
             电子营业执照 | 经营证照公示 | ICP备案号:沪ICP备11003924号 | 沪公网安备 31011502006935号

          Your items have has been added!


          Host server : magellan-search-green-6479c7f679-k9lz7:80/100.66.74.142:80.
          git-commit: b70c0dceb888abc3b0dcebb5bc3a5b8753e7e816
          git-url: https://github.com/thermofisher/magellan-search
          git-branch: release/2.50.0-Offline