Hamburger Menu Button
Thermo Fisher Scientific Logo
登录
没有账号?建立账号 注册
  • 产品
    • 抗体
    • 引物合成
    • GeneArt Gene Synthesis Instant Designer
    • TaqMan Assay and Array Search
    • PCR 设备和耗材
    • 色谱柱和纯化柱
    • 实验室离心机
    • 分子生物学试剂和试剂盒
    • 实验室塑料耗材及用品
    • 查看所有产品分类
  • 应用和技术
    • 色谱
    • 细胞转染和培养
    • 实时荧光定量PCR
    • 质谱
    • 实验室塑料耗材及用品
    • 电子显微镜
    • 蛋白质生物学
    • PCR
    • RNAi
    • 环境
    • 查看所有应用和技术
  • 服务
    • 定制服务
    • 企业级实验室信息化服务
    • 企业服务
    • 金融&租赁服务
    • 仪器服务
    • OEM和商业供应
    • 培训服务
    • 360° CDMO 和 CRO 服务
    • CDMO 服务
    • 临床试验 CRO 服务
    • 查看所有帮助和支持
  • 帮助和支持
    • 学习中心
    • 联系我们
    • 更改国家或地区
    • 查看所有帮助和支持
  • 热门产品
    • TaqMan Real-Time PCR Assays
      TaqMan 实时荧光定量 PCR 试剂盒
    • Antibodies
      抗体
    • Oligos, Primers & Probes
      寡核苷酸、引物、探针
    • GeneArt Gene Synthesis
      GeneArt 基因合成
    • Cell Culture Plastics
      细胞培养耗材
  • 联系我们
  • 货号直购
  • 订单查询
  • 查找文件&证书
Thermo Fisher Scientific Logo

Search

搜索全部或下列指定分类
Search button
          • 联系我们
          • 货号直购
          • 登录
            登录
            没有账号?建立账号 注册
            • 我的账号
            • 订单
            • 账单及发票查询
            • 定制产品及项目

          Disclaimer

          Clicking the images or links will redirect you to a website hosted by BenchSci that provides third-party scientific content. Neither the content nor the BenchSci technology and processes for selection have been evaluated by us; we are providing them as-is and without warranty of any kind, including for use or application of the Thermo Fisher Scientific products presented.

          • Primary Antibodies ›
          • Cyclin E Antibodies

          Proteintech

          Cyclin E Recombinant Rabbit Monoclonal Antibody (240136D4)

          查看其他35个Cyclin E抗体

          {{$productOrderCtrl.translations['antibody.pdp.commerceCard.promotion.promotions']}}

          {{$productOrderCtrl.translations['antibody.pdp.commerceCard.promotion.viewpromo']}}

          {{$productOrderCtrl.translations['antibody.pdp.commerceCard.promotion.promocode']}}: {{promo.promoCode}} {{promo.promoTitle}} {{promo.promoDescription}}. {{$productOrderCtrl.translations['antibody.pdp.commerceCard.promotion.learnmore']}}

          说明书
          实验方案
          问题与答案
          技术支持
          说明书
          实验方案
          问题与答案
          技术支持
          说明书
          实验方案
          问题与答案
          技术支持

          Cite Cyclin E Recombinant Rabbit Monoclonal Antibody (240136D4)

          • 抗体检测数据 (7)
          Cyclin E Antibody in Western Blot (WB)
          Group 53 Created with Sketch.
          Cyclin E Antibody in Western Blot (WB)
          Group 53 Created with Sketch.

          图: 1 / 7

          {{ $ctrl.currentElement.advancedVerification.fullName }}
          {{ $ctrl.currentElement.advancedVerification.text }}

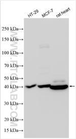
          Cyclin E Antibody (82700-10-RR) in WB

          Various lysates were subjected to SDS PAGE followed by western blot with 82700-10-RR (Cyclin E antibody) at dilution of 1:1,000 incubated at room temperature for 1.5 hours. {{ $ctrl.currentElement.advancedVerification.fullName }} 验证信息 View more
          已发表图片由___提供 benchsci-logo
          PMID: {{$ctrl.currentElement.benchSciPubmedId}}
          查看产品

          {{$ctrl.videoDesc}}

          {{$ctrl.videoLongDesc}}

          Cyclin E Antibody in Western Blot (WB)
          Cyclin E Antibody in Western Blot (WB)
          Cyclin E Antibody in Western Blot (WB)
          Cyclin E Antibody in Western Blot (WB)
          Cyclin E Antibody in Flow Cytometry (Flow)
          Cyclin E Antibody in Flow Cytometry (Flow)
          Cyclin E Antibody in Surface plasmon resonance (SPR)
          Cyclin E Recombinant Rabbit Monoclonal Antibody (240136D4)

          产品信息

          82700-10-RR

          应用
          建议稀释比
          已发表文章

          免疫印迹 (WB)

          1:500-1:2,000
          -

          流式细胞分析 (Flow)

          0.25 µg/10^6 cells in a 100 µL suspension
          -

          酶联免疫吸附实验 (ELISA)

          Assay-dependent
          -

          Surface plasmon resonance (SPR)

          Assay-dependent
          -
          产品规格

          种属反应

          Human, Rat

          宿主/亚型

          Rabbit / IgG

          Expression System

          HEK293F

          分类

          Recombinant Monoclonal

          类型

          Antibody

          克隆号

          240136D4

          抗原

          Cyclin E fusion protein Ag2110
          查看免疫原

          偶联物

          Unconjugated Unconjugated Unconjugated

          形式

          Liquid

          浓度

          1 mg/mL

          纯化类型

          Protein A

          保存液

          PBS, pH 7.3, with 50% glycerol

          内含物

          0.02% sodium azide

          保存条件

          -20°C

          运输条件

          Wet ice

          产品详细信息

          Immunogen sequence: ANREEVWKIM LNKEKTYLRD QHFLEQHPLL QPKMRAILLD WLMEVCEVYK LHRETFYLAQ DFFDRYMATQ ENVVKTLLQL IGISSLFIAA KLEEIYPPKL HQFAYVTDGA CSGDEILTME LMIMKALKWR LSPLTIVSWL NVYMQVAYLN DLHEVLLPQY PQQIFIQIAE LLDLCVLDVD CLEFPYGILA ASALYHFSSS ELMQKVSGYQ WCDIENCVKW MVPFAMVIRE TGSSKLKHFR GVADEDAHNI QTHRDSLDLL DKARAKKAML SEQNRASPLP SGLLTPPQSG KKQSSGPEMA

          靶标信息

          Cyclin E belongs to the highly conserved cyclin family, whose members are characterized by a dramatic periodicity in protein abundance through the cell cycle. Cyclins function as regulators of CDK kinases. Different cyclins exhibit distinct expression and degradation patterns which contribute to the temporal coordination of each mitotic event. Cyclin E forms a complex with and functions as a regulatory subunit of CDK2, whose activity is required for cell cycle G1/S transition. This protein accumulates at the G1-S phase boundary and is degraded as cells progress through S phase. Overexpression of this gene has been observed in many tumors, which results in chromosome instability, and thus may contribute to tumorigenesis. This protein was found to associate with, and be involved in, the phosphorylation of NPAT protein (nuclear protein mapped to the ATM locus), which participates in cell-cycle regulated histone gene expression and plays a critical role in promoting cell-cycle progression in the absence of pRB. Two alternatively spliced transcript variants of this gene, which encode distinct isoforms, have been described. Two additional splice variants were reported but detailed nucleotide sequence information is not yet available.

          仅用于科研。不用于诊断过程。未经明确授权不得转售。

          篇参考文献 (0)

          您是否在文献中引用过该产品?请点击下方按钮邮件告知我们。
          引用该产品

          生物信息学

          蛋白别名: cyclin E; cyclin Es; cyclin Et; E-S; G1/S-specific cyclin-E1

          查看更多 收起

          基因别名: CCNE; CCNE1; CYCLE; pCCNE1

          查看更多 收起

          UniProt ID: (Human) P24864

          查看更多 收起

          Entrez Gene ID: (Human) 898, (Rat) 25729

          查看更多 收起

          功能
          transcription coactivator activity protein binding kinase activity cyclin-dependent protein serine/threonine kinase regulator activity protein kinase binding protein complex binding androgen receptor binding kinase activator
          参与通路
          G1/S transition of mitotic cell cycle regulation of transcription involved in G1/S transition of mitotic cell cycle antral ovarian follicle growth liver development DNA replication initiation protein phosphorylation response to purine-containing compound Wnt signaling pathway androgen receptor signaling pathway organ regeneration cellular response to nutrient response to estradiol response to progesterone response to vitamin E response to cytokine response to drug response to ethanol positive regulation of cell differentiation regulation of protein kinase activity positive regulation of transcription, DNA-templated cell division response to corticosterone response to methylmercury regulation of cell cycle response to organonitrogen compound response to organic cyclic compound response to steroid hormone
          It has to be done as per old AB suggested Products section.
          guarantee_icon

          性能保障

          只要您发现Invitrogen抗体在实验中的表现与网站或说明书的所述内容不符,您即可享受免费退换货服务。*

          了解更多
          help_icon

          随时为您服务

          获取常见问题的专家解答,或者直接联系我们的技术专家,咨询应用、设备、常规产品使用问题。

          联系技术支持
          订购 Plus Icon Minus Icon
          • 订单状态查询
          • 订单支持
          • 货号直购
          • 现货供应中心
          • 电子采购
          支持 Plus Icon Minus Icon
          • 帮助&支持
          • 联系我们 - 400 820 8982
          • 技术支持中心
          • 查找文件&证书
          • 报告网站问题
          资源 Plus Icon Minus Icon
          • 学习中心
          • 促销
          • 活动&研讨会
          • 社交媒体
          关于赛默飞 Plus Icon Minus Icon
          • 关于我们
          • 招聘 招聘
          • 投资者关系 投资者关系
          • 新闻 新闻
          • 社会责任 社会责任
          • 商标
          • 政策和通知
          品牌 Plus Icon Minus Icon
          • Thermo Scientific
          • Applied Biosystems
          • Invitrogen
          • Gibco
          • Ion Torrent
          • Patheon
          • PPD
          • 服务条款
          • 隐私政策
          • 定价和运输保险政策
          © 2006-2025 Thermo Fisher Scientific Inc. All rights reserved. All trademarks are the property of Thermo Fisher Scientific and its subsidiaries unless otherwise specified.
          China flag icon
          China
          本网站销售的所有产品均不得用于人类或动物之临床诊断或治疗,仅可用于工业或者科研等非医疗目的。
             电子营业执照 | 经营证照公示 | ICP备案号:沪ICP备11003924号 | 沪公网安备 31011502006935号

          Your items have has been added!


          Host server : magellan-search-green-55658555d6-vw5lf:80/100.66.79.224:80.
          git-commit: ec8e7df5f8fec8d765bd419205f1b5046a016d37
          git-url: https://github.com/thermofisher/magellan-search
          git-branch: release/2.41.0-Offline