Hamburger Menu Button
Thermo Fisher Scientific Logo
登录
没有账号?建立账号 注册
  • 产品
    • 抗体
    • 引物合成
    • GeneArt Gene Synthesis Instant Designer
    • TaqMan Assay and Array Search
    • PCR 设备和耗材
    • 色谱柱和纯化柱
    • 实验室离心机
    • 分子生物学试剂和试剂盒
    • 实验室塑料耗材及用品
    • 查看所有产品分类
  • 应用和技术
    • 色谱
    • 细胞转染和培养
    • 实时荧光定量PCR
    • 质谱
    • 实验室塑料耗材及用品
    • 电子显微镜
    • 蛋白质生物学
    • PCR
    • RNAi
    • 环境
    • 查看所有应用和技术
  • 服务
    • 定制服务
    • 企业级实验室信息化服务
    • 企业服务
    • 金融&租赁服务
    • 仪器服务
    • OEM和商业供应
    • 培训服务
    • 360° CDMO 和 CRO 服务
    • CDMO 服务
    • 临床试验 CRO 服务
    • 查看所有帮助和支持
  • 帮助和支持
    • 学习中心
    • 联系我们
    • 更改国家或地区
    • 查看所有帮助和支持
  • 热门产品
    • TaqMan Real-Time PCR Assays
      TaqMan 实时荧光定量 PCR 试剂盒
    • Antibodies
      抗体
    • Oligos, Primers & Probes
      寡核苷酸、引物、探针
    • GeneArt Gene Synthesis
      GeneArt 基因合成
    • Cell Culture Plastics
      细胞培养耗材
  • 联系我们
  • 货号直购
  • 订单查询
  • 查找文件&证书
Thermo Fisher Scientific Logo

Search

搜索全部或下列指定分类
Search button
          • 联系我们
          • 货号直购
          • 登录
            登录
            没有账号?建立账号 注册
            • 我的账号
            • 订单
            • 账单及发票查询
            • 定制产品及项目

          Disclaimer

          Clicking the images or links will redirect you to a website hosted by BenchSci that provides third-party scientific content. Neither the content nor the BenchSci technology and processes for selection have been evaluated by us; we are providing them as-is and without warranty of any kind, including for use or application of the Thermo Fisher Scientific products presented.

          • Primary Antibodies ›
          • Cyclophilin 40 Antibodies

          Invitrogen

          Cyclophilin 40 Monoclonal Antibody (5A6)

          查看其他14个Cyclophilin 40抗体

          {{$productOrderCtrl.translations['antibody.pdp.commerceCard.promotion.promotions']}}

          {{$productOrderCtrl.translations['antibody.pdp.commerceCard.promotion.viewpromo']}}

          {{$productOrderCtrl.translations['antibody.pdp.commerceCard.promotion.promocode']}}: {{promo.promoCode}} {{promo.promoTitle}} {{promo.promoDescription}}. {{$productOrderCtrl.translations['antibody.pdp.commerceCard.promotion.learnmore']}}

          说明书
          证书
          实验方案
          问题与答案
          技术支持
          说明书
          证书
          实验方案
          问题与答案
          技术支持
          说明书
          证书
          实验方案
          问题与答案
          技术支持

          Cite Cyclophilin 40 Monoclonal Antibody (5A6)

          • 抗体检测数据 (9)
          Cyclophilin 40 Antibody in Immunocytochemistry (ICC/IF)
          Group 53 Created with Sketch.
          Cyclophilin 40 Antibody in Immunocytochemistry (ICC/IF)
          Group 53 Created with Sketch.

          图: 1 / 9

          {{ $ctrl.currentElement.advancedVerification.fullName }}
          {{ $ctrl.currentElement.advancedVerification.text }}

          Cyclophilin 40 Antibody (MA5-49223) in ICC/IF

          Immunocytochemistry analysis of Cyclophilin 40 in A431 cells. Enzyme antigen retrieval was performed using IHC enzyme antigen retrieval reagent for 15 mins. The cells were blocked with 10% goat serum. Samples were then incubated in Cyclophilin 40 Monoclonal antibody (Product # MA5-49223) using a dilution of 5 μg/mL. DyLight®488 Conjugated Goat Anti-Mouse IgG was used as secondary antibody at 1:100 dilution ... View More {{ $ctrl.currentElement.advancedVerification.fullName }} 验证信息 View more
          已发表图片由___提供 benchsci-logo
          PMID: {{$ctrl.currentElement.benchSciPubmedId}}
          查看产品

          {{$ctrl.videoDesc}}

          {{$ctrl.videoLongDesc}}

          Cyclophilin 40 Antibody in Immunocytochemistry (ICC/IF)
          Cyclophilin 40 Antibody in Immunohistochemistry (Paraffin) (IHC (P))
          Cyclophilin 40 Antibody in Immunohistochemistry (Paraffin) (IHC (P))
          Cyclophilin 40 Antibody in Immunohistochemistry (Paraffin) (IHC (P))
          Cyclophilin 40 Antibody in Immunohistochemistry (Paraffin) (IHC (P))
          Cyclophilin 40 Antibody in Immunohistochemistry (Paraffin) (IHC (P))
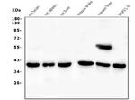
          Cyclophilin 40 Antibody in Western Blot (WB)
          Cyclophilin 40 Antibody in Western Blot (WB)
          Cyclophilin 40 Antibody in Flow Cytometry (Flow)
          Cyclophilin 40 Monoclonal Antibody (5A6)

          产品信息

          MA5-49223

          应用
          建议稀释比
          已发表文章

          免疫印迹 (WB)

          0.1-0.5 µg/mL
          -

          免疫组化(石蜡) (IHC (P))

          0.5-1 µg/mL
          -

          免疫细胞化学 (ICC/IF)

          5 µg/mL
          -

          流式细胞分析 (Flow)

          1-3 µg/1x10^6 cells
          -
          产品规格

          种属反应

          Human, Mouse, Non-human primate, Rat

          宿主/亚型

          Mouse / IgG1

          分类

          Monoclonal

          类型

          Antibody

          克隆号

          5A6

          抗原

          E. coli-derived human PPID recombinant protein (Position: N306-A370).
          查看免疫原

          偶联物

          Unconjugated Unconjugated Unconjugated

          形式

          Lyophilized

          浓度

          500 µg/mL

          纯化类型

          Antigen affinity chromatography

          保存液

          PBS with 4mg trehalose

          内含物

          0.05mg sodium azide

          保存条件

          -20°C

          运输条件

          Ambient (domestic); Wet ice (international)

          RRID

          AB_3074881

          产品详细信息

          Adding 0.2 mL of distilled water will yield a concentration of 500 µg/mL.

          Positive Control - WB: HL-60 whole cell, K562 whole cell, THP-1 whole cell, COS-7 whole cell, rat brain tissue, rat spleen tissue, rat liver tissue, mouse brain tissue, mouse liver tissue, HEPA1-6 whole cell. IHC: human intestinal cancer tissue, human intestinal cancer tissue, human mammary cancer tissue, mouse small intestine tissue, mouse small intestine tissue. ICC/IF: A431 cell. Flow: A431 cell.|Store at -20°C for one year from date of receipt. After reconstitution, at 4°C for one month. It can also be aliquotted and stored frozen at -20°C for six months. Avoid repeated freeze-thaw cycles.

          靶标信息

          This gene encodes a H1 histone binding protein that is involved in transporting histones into the nucleus of dividing cells. Multiple isoforms are encoded by transcript variants of this gene. The somatic form is expressed in all mitotic cells, is localized to the nucleus, and is coupled to the cell cycle. The testicular form is expressed in embryonic tissues, tumor cells, and the testis. In male germ cells, this protein is localized to the cytoplasm of primary spermatocytes, the nucleus of spermatids, and the periacrosomal region of mature spermatozoa.

          仅用于科研。不用于诊断过程。未经明确授权不得转售。

          篇参考文献 (0)

          您是否在文献中引用过该产品?请点击下方按钮邮件告知我们。
          引用该产品

          生物信息学

          蛋白别名: 40 kDa peptidyl-prolyl cis-trans isomerase; 40 kDa peptidyl-prolyl cis-trans isomerase D; cyclophilin 40; Cyclophilin D; Cyclophilin-40; Cyclophilin-related protein; Cyp 40; Cyp D; CYP-40; CYP-S1; cytoplasmic cyclophilin D; EC 5.2.1.8; MGC33096; Peptidyl-prolyl cis-trans isomerase D; PPIase; PPIase D; rotamase; Rotamase D; S-cyclophilin; SCYLP; testicular tissue protein Li 147

          查看更多 收起

          基因别名: 4930564J03Rik; CYP-40; CYP40; CYPD; PPID; Ppidl; Ppif

          查看更多 收起

          UniProt ID: (Human) Q08752, (Mouse) Q9CR16, (Rat) Q6DGG0

          查看更多 收起

          Entrez Gene ID: (Human) 5481, (Mouse) 67738, (Rat) 361967

          查看更多 收起

          功能
          peptidyl-prolyl cis-trans isomerase activity protein binding transcription factor binding cyclosporin A binding estrogen receptor binding Hsp70 protein binding heat shock protein binding Hsp90 protein binding FK506 binding isomerase activity enzyme binding peptide binding chaperone
          参与通路
          negative regulation of transcription from RNA polymerase II promoter protein peptidyl-prolyl isomerization protein folding protein complex assembly apoptotic process protein transport viral release from host cell lipid particle organization positive regulation of apoptotic process positive regulation of viral genome replication positive regulation of protein secretion chaperone-mediated protein folding cellular response to UV-A transport regulation of apoptotic process response to oxidative stress negative regulation of apoptotic process regulation of mitochondrial membrane potential
          It has to be done as per old AB suggested Products section.
          guarantee_icon

          性能保障

          只要您发现Invitrogen抗体在实验中的表现与网站或说明书的所述内容不符,您即可享受免费退换货服务。*

          了解更多
          help_icon

          随时为您服务

          获取常见问题的专家解答,或者直接联系我们的技术专家,咨询应用、设备、常规产品使用问题。

          联系技术支持
          订购 Plus Icon Minus Icon
          • 订单状态查询
          • 订单支持
          • 货号直购
          • 现货供应中心
          • 电子采购
          支持 Plus Icon Minus Icon
          • 帮助&支持
          • 联系我们 - 400 820 8982
          • 技术支持中心
          • 查找文件&证书
          • 报告网站问题
          资源 Plus Icon Minus Icon
          • 学习中心
          • 促销
          • 活动&研讨会
          • 社交媒体
          关于赛默飞 Plus Icon Minus Icon
          • 关于我们
          • 招聘 招聘
          • 投资者关系 投资者关系
          • 新闻 新闻
          • 社会责任 社会责任
          • 商标
          • 政策和通知
          品牌 Plus Icon Minus Icon
          • Thermo Scientific
          • Applied Biosystems
          • Invitrogen
          • Gibco
          • Ion Torrent
          • Patheon
          • PPD
          • 服务条款
          • 隐私政策
          • 定价和运输保险政策
          © 2006-2026 Thermo Fisher Scientific Inc. All rights reserved. All trademarks are the property of Thermo Fisher Scientific and its subsidiaries unless otherwise specified.
          China flag icon
          China
          本网站销售的所有产品均不得用于人类或动物之临床诊断或治疗,仅可用于工业或者科研等非医疗目的。
             电子营业执照 | 经营证照公示 | ICP备案号:沪ICP备11003924号 | 沪公网安备 31011502006935号

          Your items have has been added!


          Host server : magellan-search-blue-55ff9ddd88-mfv9s:80/100.66.75.107:80.
          git-commit: d366ff9721d93504b2ac26a183b2b3e3d0e7d9ec
          git-url: https://github.com/thermofisher/magellan-search
          git-branch: release/2.42.0-2026.01.03-1.0