Hamburger Menu Button
Thermo Fisher Scientific Logo
登录
没有账号?建立账号 注册
  • 产品
    • 抗体
    • 引物合成
    • GeneArt Gene Synthesis Instant Designer
    • TaqMan Assay and Array Search
    • PCR 设备和耗材
    • 色谱柱和纯化柱
    • 实验室离心机
    • 分子生物学试剂和试剂盒
    • 实验室塑料耗材及用品
    • 查看所有产品分类
  • 应用和技术
    • 色谱
    • 细胞转染和培养
    • 实时荧光定量PCR
    • 质谱
    • 实验室塑料耗材及用品
    • 电子显微镜
    • 蛋白质生物学
    • PCR
    • RNAi
    • 环境
    • 查看所有应用和技术
  • 服务
    • 定制服务
    • 企业级实验室信息化服务
    • 金融&租赁服务
    • 仪器服务
    • OEM和商业供应
    • 培训服务
    • 360° CDMO 和 CRO 服务
    • CDMO 服务
    • 临床试验 CRO 服务
    • Unity Lab Services
    • 查看所有帮助和支持
  • 帮助和支持
    • 学习中心
    • 联系我们
    • 更改国家或地区
    • 查看所有帮助和支持
  • 热门产品
    • TaqMan Real-Time PCR Assays
      TaqMan 实时荧光定量 PCR 试剂盒
    • Antibodies
      抗体
    • Oligos, Primers & Probes
      寡核苷酸、引物、探针
    • GeneArt Gene Synthesis
      GeneArt 基因合成
    • Cell Culture Plastics
      细胞培养耗材
  • Who We Serve
    • 抗体治疗解决方案
    • 细胞与基因治疗解决方案
    • 学术科研
    • 工业与应用
  • 联系我们
  • 货号直购
  • 订单查询
  • 查找文件&证书
Thermo Fisher Scientific Logo

Search

搜索全部或下列指定分类
Search button
          • 联系我们
          • 货号直购
          • 登录
            登录
            没有账号?建立账号 注册
            • 我的账号
            • 订单
            • 会员中心
            • 账单及发票查询
            • 定制产品及项目
          • Primary Antibodies ›
          • Cyclophilin A Antibodies

          Proteintech

          Cyclophilin A Polyclonal Antibody

          31 篇参考文献
          查看其他19个Cyclophilin A抗体

          {{$productOrderCtrl.translations['antibody.pdp.commerceCard.promotion.promotions']}}

          {{$productOrderCtrl.translations['antibody.pdp.commerceCard.promotion.viewpromo']}}

          {{$productOrderCtrl.translations['antibody.pdp.commerceCard.promotion.promocode']}}: {{promo.promoCode}} {{promo.promoTitle}} {{promo.promoDescription}}. {{$productOrderCtrl.translations['antibody.pdp.commerceCard.promotion.learnmore']}}

          说明书
          证书
          实验方案
          问题与答案
          技术支持
          说明书
          证书
          实验方案
          问题与答案
          技术支持
          说明书
          证书
          实验方案
          问题与答案
          技术支持

          Cite Cyclophilin A Polyclonal Antibody

          Additional Information:
          {{banner.description}}
          {{$ctrl.isSkuNotesCollapsed ? 'View more' : 'View less'}}
          • 抗体检测数据 (22)
          Cyclophilin A Antibody in Immunocytochemistry (ICC/IF)
          Group 53 Created with Sketch.
          Cyclophilin A Antibody in Immunocytochemistry (ICC/IF)
          Group 53 Created with Sketch.

          图: 1 / 22

          {{ $ctrl.currentElement.advancedVerification.fullName }}
          {{ $ctrl.currentElement.advancedVerification.text }}

          Cyclophilin A Antibody (10720-1-AP) in ICC/IF

          Immunofluorescent analysis of HepG2 cells, using PPIA antibody 10720-1-AP at 1:25 dilution and Rhodamine-labeled goat anti-rabbit IGG (red). {{ $ctrl.currentElement.advancedVerification.fullName }} 验证信息 View more
          已发表图片由___提供 benchsci-logo
          PMID: {{$ctrl.currentElement.benchSciPubmedId}}
          查看产品

          {{$ctrl.videoDesc}}

          {{$ctrl.videoLongDesc}}

          Cyclophilin A Antibody in Immunocytochemistry (ICC/IF)
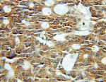
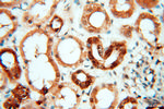
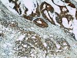
          Cyclophilin A Antibody in Immunohistochemistry (Paraffin) (IHC (P))
          Cyclophilin A Antibody in Immunohistochemistry (Paraffin) (IHC (P))
          Cyclophilin A Antibody in Immunohistochemistry (Paraffin) (IHC (P))
          Cyclophilin A Antibody in Immunohistochemistry (Paraffin) (IHC (P))
          Cyclophilin A Antibody in Immunohistochemistry (Paraffin) (IHC (P))
          Cyclophilin A Antibody in Immunohistochemistry (Paraffin) (IHC (P))
          Cyclophilin A Antibody in Immunohistochemistry (Paraffin) (IHC (P))
          Cyclophilin A Antibody in Immunohistochemistry (Paraffin) (IHC (P))
          Cyclophilin A Antibody in Immunohistochemistry (Paraffin) (IHC (P))
          Cyclophilin A Antibody in Immunohistochemistry (Paraffin) (IHC (P))
          Cyclophilin A Antibody in Immunohistochemistry (Paraffin) (IHC (P))
          Cyclophilin A Antibody in Western Blot (WB)
          Cyclophilin A Antibody in Western Blot (WB)
          Cyclophilin A Antibody in Western Blot (WB)
          Cyclophilin A Antibody in Western Blot (WB)
          Cyclophilin A Antibody in Western Blot (WB)
          Cyclophilin A Antibody in Western Blot (WB)
          Cyclophilin A Antibody in Western Blot (WB)
          Cyclophilin A Antibody in Western Blot (WB)
          Cyclophilin A Antibody in Western Blot (WB)
          Cyclophilin A Antibody in Flow Cytometry (Flow)
          Cyclophilin A Polyclonal Antibody

          产品信息

          10720-1-AP

          应用
          建议稀释比
          已发表文章

          免疫印迹 (WB)

          1:500-1:3,000
          查看16篇已发表文章 16篇已发表文章

          免疫组化 (IHC)

          -
          查看8篇已发表文章 8篇已发表文章

          免疫组化(石蜡) (IHC (P))

          1:20-1:200
          -

          免疫细胞化学 (ICC/IF)

          1:10-1:100
          查看6篇已发表文章 6篇已发表文章

          流式细胞分析 (Flow)

          0.2 µg/1x10^6 cells
          -

          其他PubMed (Misc)

          -
          查看1篇已发表文章 1篇已发表文章
          产品规格

          种属反应

          Human, Mouse, Rat

          已发表种属

          Human, Monkey, Mouse

          宿主/亚型

          Rabbit / IgG

          分类

          Polyclonal

          类型

          Antibody

          抗原

          Cyclophilin A Fusion Protein Ag1120 (1-165 aa encoded by BC005320)
          3D表位/免疫原

          偶联物

          Unconjugated Unconjugated Unconjugated

          形式

          Liquid

          浓度

          0.32 mg/mL

          规格

          48 µg

          纯化类型

          Antigen affinity chromatography

          保存液

          PBS, pH 7.3, with 50% glycerol

          内含物

          0.02% sodium azide

          保存条件

          -20°C

          运输条件

          Wet ice (domestic); Dry ice (international)

          产品详细信息

          Immunogen sequence: MVNPTVFFD IAVDGEPLGR VSFELFADKV PKTAENFRAL STGEKGFGYK GSCFHRIIPG FMCQGGDFTR HNGTGGKSIY GEKFEDENFI LKHTGPGILS MANAGPNTNG SQFFICTAKT EWLDGKHVVF GKVKEGMNIV EAMERFGSRN GKTSKKITIA DCGQLE (1-165 aa encoded by B C005320)

          靶标信息

          Immunophilins are a family of soluble cytosolic receptors capable of binding to one of two major immunosuppressant agents - cyclosporin A (CsA) or FK506. Proteins that bind FK506 are termed FK506 Binding Proteins (FKBPs) and those that bind cyclosporin A are called cyclophilins (CyP). Both CyP:CsA and FKBP:FK506 complexes have been shown to inhibit calcineurin, a calcium and calmodulin dependent protein phosphatase which has been implicated as an important signaling enzyme in T-cell activation, providing a possible mechanism of immunosuppression by CsA and FK506. Immunophilins function as peptidyl prolyl cis-trans-isomerases (PPIase) whose activity is inhibited by their respective immunosuppressant compounds. As PPIase's, immunophilins accelerate folding of some proteins both in vivo and in vitro by catalyzing slow steps in the initial folding and rearrangement of proline containing proteins. Within the cyclophilin family, there are several different proteins which show a high degree of homology including CyPA, CyPB and CyPC. CyPA, also termed CyP-18, is the most abundant and ubiquitous cyclophilin found in all vertebrate tissues and is present in T-cells.

          仅用于科研。不用于诊断过程。未经明确授权不得转售。

          生物信息学

          蛋白别名: cyclophilin; Cyclophilin A; Cyclosporin A-binding protein; CyP A; EC 5.2.1.8; epididymis secretory sperm binding protein Li 69p; HGNC:9253; MGC117158; MGC12404; MGC23397; p1B15; p31; Peptidyl-prolyl cis-trans isomerase A; peptidylprolyl isomerase A (cyclophilin A); PPIA; PPIase; PPIase A; rotamase; Rotamase A; SP18; T cell cyclophilin; unnamed protein product

          查看更多 收起

          基因别名: 2700098C05; Cphn; CYCA; CyP-18; CyP-A; CYPA; CYPH; HEL-S-69p; PPIA

          查看更多 收起

          UniProt ID: (Human) P62937, (Mouse) P17742, (Rat) P10111

          查看更多 收起

          Entrez Gene ID: (Human) 5478, (Mouse) 268373, (Rat) 25518

          查看更多 收起

          功能
          RNA binding peptidyl-prolyl cis-trans isomerase activity integrin binding protein binding cyclosporin A binding isomerase activity virion binding unfolded protein binding heparan sulfate binding peptide binding poly(A) RNA binding chaperone
          参与通路
          protein peptidyl-prolyl isomerization negative regulation of protein phosphorylation positive regulation of protein phosphorylation protein folding negative regulation of protein kinase activity apoptotic process viral release from host cell platelet activation neuron differentiation neutrophil chemotaxis leukocyte chemotaxis activation of protein kinase B activity negative regulation of stress-activated MAPK cascade lipid particle organization cellular response to oxidative stress endothelial cell activation positive regulation of MAPK cascade regulation of viral genome replication positive regulation of viral genome replication positive regulation of protein secretion positive regulation of NF-kappaB transcription factor activity cell adhesion molecule production negative regulation of protein K48-linked ubiquitination platelet aggregation negative regulation of oxidative stress-induced intrinsic apoptotic signaling pathway negative regulation of viral life cycle regulation of apoptotic signaling pathway negative regulation of protein phosphatase type 2B activity
          It has to be done as per old AB suggested Products section.

          Disclaimer

          Close

          Clicking the images or links will redirect you to a website hosted by BenchSci that provides third-party scientific content. Neither the content nor the BenchSci technology and processes for selection have been evaluated by us; we are providing them as-is and without warranty of any kind, including for use or application of the Thermo Fisher Scientific products presented.

          guarantee_icon

          性能保障

          只要您发现Invitrogen抗体在实验中的表现与网站或说明书的所述内容不符,您即可享受免费退换货服务。*

          了解更多
          help_icon

          随时为您服务

          获取常见问题的专家解答,或者直接联系我们的技术专家,咨询应用、设备、常规产品使用问题。

          联系技术支持
          订购 Plus Icon Minus Icon
          • 订单状态查询
          • 订单支持
          • 货号直购
          • 现货供应中心
          • 电子采购
          支持 Plus Icon Minus Icon
          • 帮助&支持
          • 联系我们 - 400 820 8982
          • 技术支持中心
          • 查找文件&证书
          • 报告网站问题
          资源 Plus Icon Minus Icon
          • 学习中心
          • 促销
          • 活动&研讨会
          • 社交媒体
          关于赛默飞 Plus Icon Minus Icon
          • 关于我们
          • 招聘 招聘
          • 投资者关系 投资者关系
          • 新闻 新闻
          • 社会责任 社会责任
          • 商标
          • 政策和通知
          品牌 Plus Icon Minus Icon
          • Thermo Scientific
          • Applied Biosystems
          • Invitrogen
          • Gibco
          • Ion Torrent
          • Unity Lab Services
          • Patheon
          • PPD
          • 服务条款
          • 隐私政策
          • 定价和运输保险政策
          © 2006-2026 Thermo Fisher Scientific Inc. All rights reserved. All trademarks are the property of Thermo Fisher Scientific and its subsidiaries unless otherwise specified.
          China flag icon
          China
          本网站销售的所有产品均不得用于人类或动物之临床诊断或治疗,仅可用于工业或者科研等非医疗目的。
             电子营业执照 | 经营证照公示 | ICP备案号:沪ICP备11003924号 | 沪公网安备 31011502006935号

          Your items have has been added!


          Host server : magellan-search-green-6479c7f679-v472f:80/100.66.78.195:80.
          git-commit: b70c0dceb888abc3b0dcebb5bc3a5b8753e7e816
          git-url: https://github.com/thermofisher/magellan-search
          git-branch: release/2.50.0-Offline