Hamburger Menu Button
Thermo Fisher Scientific Logo
登录
没有账号?建立账号 注册
  • 产品
    • 抗体
    • 引物合成
    • GeneArt Gene Synthesis Instant Designer
    • TaqMan Assay and Array Search
    • PCR 设备和耗材
    • 色谱柱和纯化柱
    • 实验室离心机
    • 分子生物学试剂和试剂盒
    • 实验室塑料耗材及用品
    • 查看所有产品分类
  • 应用和技术
    • 色谱
    • 细胞转染和培养
    • 实时荧光定量PCR
    • 质谱
    • 实验室塑料耗材及用品
    • 电子显微镜
    • 蛋白质生物学
    • PCR
    • RNAi
    • 环境
    • 查看所有应用和技术
  • 服务
    • 定制服务
    • 企业级实验室信息化服务
    • 企业服务
    • 金融&租赁服务
    • 仪器服务
    • OEM和商业供应
    • 培训服务
    • 360° CDMO 和 CRO 服务
    • CDMO 服务
    • 临床试验 CRO 服务
    • 查看所有帮助和支持
  • 帮助和支持
    • 学习中心
    • 联系我们
    • 更改国家或地区
    • 查看所有帮助和支持
  • 热门产品
    • TaqMan Real-Time PCR Assays
      TaqMan 实时荧光定量 PCR 试剂盒
    • Antibodies
      抗体
    • Oligos, Primers & Probes
      寡核苷酸、引物、探针
    • GeneArt Gene Synthesis
      GeneArt 基因合成
    • Cell Culture Plastics
      细胞培养耗材
  • 联系我们
  • 货号直购
  • 订单查询
  • 查找文件&证书
Thermo Fisher Scientific Logo

Search

搜索全部或下列指定分类
Search button
          • 联系我们
          • 货号直购
          • 登录
            登录
            没有账号?建立账号 注册
            • 我的账号
            • 订单
            • 账单及发票查询
            • 定制产品及项目

          Disclaimer

          Clicking the images or links will redirect you to a website hosted by BenchSci that provides third-party scientific content. Neither the content nor the BenchSci technology and processes for selection have been evaluated by us; we are providing them as-is and without warranty of any kind, including for use or application of the Thermo Fisher Scientific products presented.

          • Primary Antibodies ›
          • COX2 Antibodies

          NeoBiotechnologies

          Cycloxygenase-2 (COX-2) Recombinant Mouse Monoclonal Antibody (r4H12)

          查看其他43个COX2抗体

          {{$productOrderCtrl.translations['antibody.pdp.commerceCard.promotion.promotions']}}

          {{$productOrderCtrl.translations['antibody.pdp.commerceCard.promotion.viewpromo']}}

          {{$productOrderCtrl.translations['antibody.pdp.commerceCard.promotion.promocode']}}: {{promo.promoCode}} {{promo.promoTitle}} {{promo.promoDescription}}. {{$productOrderCtrl.translations['antibody.pdp.commerceCard.promotion.learnmore']}}

          说明书
          实验方案
          问题与答案
          技术支持
          说明书
          实验方案
          问题与答案
          技术支持
          说明书
          实验方案
          问题与答案
          技术支持

          Cite Cycloxygenase-2 (COX-2) Recombinant Mouse Monoclonal Antibody (r4H12)

          • 抗体检测数据 (2)
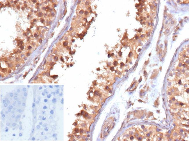
          Cycloxygenase-2 (COX-2) Antibody in Immunohistochemistry (Paraffin) (IHC (P))
          Group 53 Created with Sketch.
          Cycloxygenase-2 (COX-2) Antibody in Immunohistochemistry (Paraffin) (IHC (P))
          Group 53 Created with Sketch.

          图: 1 / 2

          {{ $ctrl.currentElement.advancedVerification.fullName }}
          {{ $ctrl.currentElement.advancedVerification.text }}

          Cycloxygenase-2 (COX-2) Antibody (5743-MSM10-P1ABX) in IHC (P)

          Formalin-fixed, paraffin-embedded human testis stained with COX-2 Recombinant Mouse Monoclonal Antibody (r4H12). Inset: PBS instead of primary antibody; secondary only negative control. {{ $ctrl.currentElement.advancedVerification.fullName }} 验证信息 View more
          已发表图片由___提供 benchsci-logo
          PMID: {{$ctrl.currentElement.benchSciPubmedId}}
          查看产品

          {{$ctrl.videoDesc}}

          {{$ctrl.videoLongDesc}}

          Cycloxygenase-2 (COX-2) Antibody in Immunohistochemistry (Paraffin) (IHC (P))
          Cycloxygenase-2 (COX-2) Antibody in SDS-PAGE (SDS-PAGE)
          Cycloxygenase-2 (COX-2) Recombinant Mouse Monoclonal Antibody (r4H12)

          产品信息

          5743-MSM10-P1ABX

          应用
          建议稀释比
          已发表文章

          免疫组化(石蜡) (IHC (P))

          1-2 µg/mL
          -
          产品规格

          种属反应

          Human

          宿主/亚型

          Mouse / IgG1, kappa

          Expression System

          CHO cells

          分类

          Recombinant Monoclonal

          类型

          Antibody

          克隆号

          r4H12

          抗原

          Prokaryotic recombinant protein corresponding to amino acids 38 to 163 of the N-terminal domain of the human cyclooxygenase-2 molecule.
          查看免疫原

          偶联物

          Unconjugated Unconjugated Unconjugated

          形式

          Liquid

          浓度

          200 µg/mL

          纯化类型

          Protein G

          保存液

          PBS

          内含物

          no preservative

          保存条件

          -20°C or -80°C if preferred

          运输条件

          Ambient (domestic); Wet ice (international)

          产品详细信息

          Product cellular localization: Cytoplasm.

          Positive control: Human colon or lung carcinoma.

          靶标信息

          COX2 converts arachidonate to prostaglandin H2 (PGH2), a committed step in prostanoid synthesis, including production of inflammatory prostaglandins. The conversion of arachidonate to prostaglandin H2 is a 2 step reaction: a cyclooxygenase (COX) reaction which converts arachidonate to prostaglandin G2 (PGG2) and a peroxidase reaction in which PGG2 is reduced to prostaglandin H2 (PGH2). It is constitutively expressed in some tissues in physiological conditions, such as the endothelium, kidney and brain, and is up-regulated under pathological conditions, such as in cancer and inflammation (in contrast to the iso-enzyme PTGS1, which is expressed ubiquitously). Up-regulation of COX2 is also associated with increased cell adhesion, phenotypic changes, resistance to apoptosis and tumor angiogenesis. In cancer cells, COX2 is a key step in the production of prostaglandin E2 (PGE2), which plays important roles in modulating motility, proliferation and resistance to apoptosis. COX2 is naturally inhibited by calcitriol (the active form of Vitamin D). Glucocorticoids chronically trans-repress PTGS2 gene activity in vivo in part by interfering with transcription initiation and elongation. COX2 is a target of NSAID such as aspirin, which can reduce pain and swelling from inflammation driven by COX2.

          仅用于科研。不用于诊断过程。未经明确授权不得转售。

          篇参考文献 (0)

          您是否在文献中引用过该产品?请点击下方按钮邮件告知我们。
          引用该产品

          生物信息学

          蛋白别名: COX-2; cyclooxygenase; cyclooxygenase 2; cyclooxygenase 2b; Cyclooxygenase-2; PGH synthase 2; PHS II; Prostaglandin G/H synthase 2; Prostaglandin H2 synthase 2; Prostaglandin-endoperoxide synthase 2; prostaglandin-endoperoxide synthase 2 (prostaglandin G/H synthase and cyclooxygenase)

          查看更多 收起

          基因别名: COX-2; COX2; GRIPGHS; hCox-2; PGG/HS; PGHS-2; PHS-2; PTGS2

          查看更多 收起

          UniProt ID: (Human) P35354

          查看更多 收起

          Entrez Gene ID: (Human) 5743

          查看更多 收起

          功能
          peroxidase activity prostaglandin-endoperoxide synthase activity protein binding lipid binding enzyme binding heme binding protein homodimerization activity metal ion binding arachidonate 15-lipoxygenase activity oxygenase
          参与通路
          prostaglandin biosynthetic process angiogenesis prostaglandin metabolic process nicotinamide metabolic process movement of cell or subcellular component inflammatory response response to oxidative stress embryo implantation learning memory regulation of blood pressure negative regulation of cell proliferation response to fructose response to manganese ion response to lithium ion positive regulation of vascular endothelial growth factor production sensory perception of pain cyclooxygenase pathway lipoxygenase pathway bone mineralization ovulation positive regulation of prostaglandin biosynthetic process positive regulation of fever generation positive regulation of synaptic plasticity negative regulation of synaptic transmission, dopaminergic response to estradiol response to lipopolysaccharide response to vitamin D response to tumor necrosis factor cellular response to UV maintenance of blood-brain barrier positive regulation of NF-kappaB import into nucleus response to drug hair cycle positive regulation of apoptotic process positive regulation of nitric oxide biosynthetic process negative regulation of cell cycle positive regulation of vasoconstriction negative regulation of smooth muscle contraction positive regulation of smooth muscle contraction decidualization positive regulation of smooth muscle cell proliferation regulation of inflammatory response brown fat cell differentiation response to glucocorticoid negative regulation of calcium ion transport positive regulation of synaptic transmission, glutamatergic oxidation-reduction process response to fatty acid cellular response to mechanical stimulus cellular response to ATP cellular response to hypoxia cellular response to fluid shear stress positive regulation of transforming growth factor beta production positive regulation of cell migration involved in sprouting angiogenesis positive regulation of fibroblast growth factor production positive regulation of brown fat cell differentiation positive regulation of platelet-derived growth factor production cellular oxidant detoxification
          It has to be done as per old AB suggested Products section.
          guarantee_icon

          性能保障

          只要您发现Invitrogen抗体在实验中的表现与网站或说明书的所述内容不符,您即可享受免费退换货服务。*

          了解更多
          help_icon

          随时为您服务

          获取常见问题的专家解答,或者直接联系我们的技术专家,咨询应用、设备、常规产品使用问题。

          联系技术支持
          订购 Plus Icon Minus Icon
          • 订单状态查询
          • 订单支持
          • 货号直购
          • 现货供应中心
          • 电子采购
          支持 Plus Icon Minus Icon
          • 帮助&支持
          • 联系我们 - 400 820 8982
          • 技术支持中心
          • 查找文件&证书
          • 报告网站问题
          资源 Plus Icon Minus Icon
          • 学习中心
          • 促销
          • 活动&研讨会
          • 社交媒体
          关于赛默飞 Plus Icon Minus Icon
          • 关于我们
          • 招聘 招聘
          • 投资者关系 投资者关系
          • 新闻 新闻
          • 社会责任 社会责任
          • 商标
          • 政策和通知
          品牌 Plus Icon Minus Icon
          • Thermo Scientific
          • Applied Biosystems
          • Invitrogen
          • Gibco
          • Ion Torrent
          • Patheon
          • PPD
          • 服务条款
          • 隐私政策
          • 定价和运输保险政策
          © 2006-2025 Thermo Fisher Scientific Inc. All rights reserved. All trademarks are the property of Thermo Fisher Scientific and its subsidiaries unless otherwise specified.
          China flag icon
          China
          本网站销售的所有产品均不得用于人类或动物之临床诊断或治疗,仅可用于工业或者科研等非医疗目的。
             电子营业执照 | 经营证照公示 | ICP备案号:沪ICP备11003924号 | 沪公网安备 31011502006935号

          Your items have has been added!


          Host server : magellan-search-green-55658555d6-bt4pm:80/100.66.76.99:80.
          git-commit: ec8e7df5f8fec8d765bd419205f1b5046a016d37
          git-url: https://github.com/thermofisher/magellan-search
          git-branch: release/2.41.0-Offline