Hamburger Menu Button
Thermo Fisher Scientific Logo
登录
没有账号?建立账号 注册
  • 产品
    • 抗体
    • 引物合成
    • GeneArt Gene Synthesis Instant Designer
    • TaqMan Assay and Array Search
    • PCR 设备和耗材
    • 色谱柱和纯化柱
    • 实验室离心机
    • 分子生物学试剂和试剂盒
    • 实验室塑料耗材及用品
    • 查看所有产品分类
  • 应用和技术
    • 色谱
    • 细胞转染和培养
    • 实时荧光定量PCR
    • 质谱
    • 实验室塑料耗材及用品
    • 电子显微镜
    • 蛋白质生物学
    • PCR
    • RNAi
    • 环境
    • 查看所有应用和技术
  • 服务
    • 定制服务
    • 企业级实验室信息化服务
    • 金融&租赁服务
    • 仪器服务
    • OEM和商业供应
    • 培训服务
    • 360° CDMO 和 CRO 服务
    • CDMO 服务
    • 临床试验 CRO 服务
    • Unity Lab Services
    • 查看所有帮助和支持
  • 帮助和支持
    • 学习中心
    • 联系我们
    • 更改国家或地区
    • 查看所有帮助和支持
  • 热门产品
    • TaqMan Real-Time PCR Assays
      TaqMan 实时荧光定量 PCR 试剂盒
    • Antibodies
      抗体
    • Oligos, Primers & Probes
      寡核苷酸、引物、探针
    • GeneArt Gene Synthesis
      GeneArt 基因合成
    • Cell Culture Plastics
      细胞培养耗材
  • Who We Serve
    • 抗体治疗解决方案
    • 细胞与基因治疗解决方案
    • 学术科研
    • 工业与应用
  • 联系我们
  • 货号直购
  • 订单查询
  • 查找文件&证书
Thermo Fisher Scientific Logo

Search

搜索全部或下列指定分类
Search button
          • 联系我们
          • 货号直购
          • 登录
            登录
            没有账号?建立账号 注册
            • 我的账号
            • 订单
            • 会员中心
            • 账单及发票查询
            • 定制产品及项目
          • Primary Antibodies ›
          • Cytochrome P450 Pan Antibodies

          NeoBiotechnologies

          Cytochrome p450 Monoclonal Antibody (M12P4H2)

          查看其他4个Cytochrome P450 Pan抗体

          {{$productOrderCtrl.translations['antibody.pdp.commerceCard.promotion.promotions']}}

          {{$productOrderCtrl.translations['antibody.pdp.commerceCard.promotion.viewpromo']}}

          {{$productOrderCtrl.translations['antibody.pdp.commerceCard.promotion.promocode']}}: {{promo.promoCode}} {{promo.promoTitle}} {{promo.promoDescription}}. {{$productOrderCtrl.translations['antibody.pdp.commerceCard.promotion.learnmore']}}

          说明书
          证书
          实验方案
          问题与答案
          技术支持
          说明书
          证书
          实验方案
          问题与答案
          技术支持
          说明书
          证书
          实验方案
          问题与答案
          技术支持

          Cite Cytochrome p450 Monoclonal Antibody (M12P4H2)

          Additional Information:
          {{banner.description}}
          {{$ctrl.isSkuNotesCollapsed ? 'View more' : 'View less'}}
          • 抗体检测数据 (2)
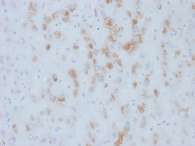
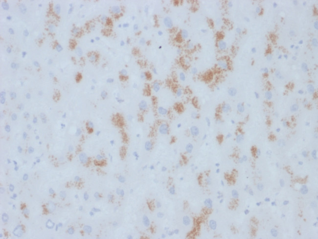
          Cytochrome p450 Antibody in Immunohistochemistry (Paraffin) (IHC (P))
          Group 53 Created with Sketch.
          Cytochrome p450 Antibody in Immunohistochemistry (Paraffin) (IHC (P))
          Group 53 Created with Sketch.

          图: 1 / 2

          {{ $ctrl.currentElement.advancedVerification.fullName }}
          {{ $ctrl.currentElement.advancedVerification.text }}

          Cytochrome p450 Antibody (1571-MSM1-P0) in IHC (P)

          Formalin-fixed, paraffin-embedded human Hepatic Carcinoma stained with Cytochrome p450 Mouse Monoclonal Antibody (M12P4H2). {{ $ctrl.currentElement.advancedVerification.fullName }} 验证信息 View more
          已发表图片由___提供 benchsci-logo
          PMID: {{$ctrl.currentElement.benchSciPubmedId}}
          查看产品

          {{$ctrl.videoDesc}}

          {{$ctrl.videoLongDesc}}

          Cytochrome p450 Antibody in Immunohistochemistry (Paraffin) (IHC (P))
          Cytochrome p450 Antibody in SDS-PAGE (SDS-PAGE)
          Cytochrome p450 Monoclonal Antibody (M12P4H2)

          产品信息

          1571-MSM1-P0

          应用
          建议稀释比
          已发表文章

          免疫组化(石蜡) (IHC (P))

          Assay-dependent
          -

          免疫组织化学(多聚甲醛固定) (IHC (PFA))

          0.1-0.2 µg/mL
          -
          产品规格

          种属反应

          Human

          宿主/亚型

          Mouse / IgG1, kappa

          分类

          Monoclonal

          类型

          Antibody

          克隆号

          M12P4H2

          抗原

          Ovalbumin-conjugated synthetic peptide HIGFGCIPPR (C-terminal sequence)
          3D表位/免疫原

          偶联物

          Unconjugated Unconjugated Unconjugated

          形式

          Liquid

          浓度

          200 µg/mL

          规格

          20 µg

          纯化类型

          Protein A/G

          保存液

          PBS, pH 7.4, with 0.05% BSA

          内含物

          0.05% sodium azide

          保存条件

          4°C, do not freeze

          运输条件

          Ambient (domestic); Wet ice (international)

          靶标信息

          CYP2C9 is a member of the cytochrome P450 superfamily of enzymes. The cytochrome P450 proteins are monooxygenases which catalyze many reactions involved in drug metabolism and synthesis of cholesterol, steroids and other lipids. CYP2C9 localizes to the endoplasmic reticulum and its expression is induced by rifampin. The enzyme is known to metabolize many xenobiotics, including phenytoin, tolbutamide, ibuprofen and S-warfarin.

          仅用于科研。不用于诊断过程。未经明确授权不得转售。

          篇参考文献 (0)

          您是否在文献中引用过该产品?请点击下方按钮邮件告知我们。
          引用该产品

          生物信息学

          蛋白别名: (R)-limonene 6-monooxygenase; (S)-limonene 6-monooxygenase; (S)-limonene 7-monooxygenase; (S)-mephenytoin hydroxylase associated cytochrome P450; 4-nitrophenol 2-hydroxylase; Cholesterol 25-hydroxylase; CYPIIC17; CYPIIC18; CYPIIC19; CYPIIC8; CYPIIC9; CYPIIE1; cytochrome P-450 1; cytochrome P-450 II C; cytochrome P-450 S-mephenytoin 4-hydroxylase; Cytochrome P-450MP; Cytochrome P450 2C18; Cytochrome P450 2C19; Cytochrome P450 2C8; Cytochrome P450 2C9; Cytochrome P450 2E1; Cytochrome P450 form 1; Cytochrome P450 IIC2; Cytochrome P450 MP-12; Cytochrome P450 MP-20; Cytochrome P450 MP-4; Cytochrome P450 MP-8; Cytochrome P450 PB-1; cytochrome P450, family 2, subfamily C, polypeptide 18; cytochrome P450, family 2, subfamily C, polypeptide 19; cytochrome P450, family 2, subfamily C, polypeptide 8; cytochrome P450, family 2, subfamily C, polypeptide 9; cytochrome P450, family 2, subfamily E, polypeptide 1; cytochrome P450, subfamily IIC (mephenytoin 4-hydroxylase), polypeptide 17; cytochrome P450, subfamily IIC (mephenytoin 4-hydroxylase), polypeptide 18; cytochrome P450, subfamily IIC (mephenytoin 4-hydroxylase), polypeptide 19; cytochrome P450, subfamily IIC (mephenytoin 4-hydroxylase), polypeptide 8; cytochrome P450, subfamily IIE (ethanol-inducible), polypeptide 1; Cytochrome P450-11A; Cytochrome P450-254C; Cytochrome P450-6b/29c; Cytochrome P450-J; cytochrome P450A; cytochrome P450j; Fenbendazole monooxygenase (4'-hydroxylating); flavoprotein-linked monooxygenase; IIC2; mephenytoin 4'-hydroxylase; Mephenytoin 4-hydroxylase; microsomal monooxygenase; microsomal monooxygenase; xenobiotic monooxygenase; P450 form 1; S-mephenytoin 4-hydroxylase; unnamed protein product; unspecific monooxygenase; xenobiotic monooxygenase

          查看更多 收起

          基因别名: CPC8; CPC9; CPCI; CPCJ; CPE1; CYP2C; CYP2C10; CYP2C17; CYP2C18; CYP2C19; CYP2C8; CYP2C8DM; CYP2C9; CYP2E; CYP2E1; CYPIIC17; CYPIIC19; CYPIIC8; CYPIIC9; MP-12/MP-20; P450-2C9; P450-6B/29C; P450-J; P450C2C; P450C2E; P450IIC17; P450IIC19; P450IIC9

          查看更多 收起

          UniProt ID: (Human) P33260, (Human) P33261, (Human) P10632, (Human) P11712, (Human) P05181

          查看更多 收起

          Entrez Gene ID: (Human) 1562, (Human) 1557, (Human) 1558, (Human) 1559, (Human) 1571

          查看更多 收起

          功能
          monooxygenase activity iron ion binding arachidonic acid epoxygenase activity retinoic acid 4-hydroxylase activity oxidoreductase activity oxidoreductase activity, acting on paired donors, with incorporation or reduction of molecular oxygen oxidoreductase activity, acting on paired donors, with incorporation or reduction of molecular oxygen, reduced flavin or flavoprotein as one donor, and incorporation of one atom of oxygen oxygen binding heme binding metal ion binding linoleic acid epoxygenase activity steroid hydroxylase activity (S)-limonene 6-monooxygenase activity (S)-limonene 7-monooxygenase activity enzyme binding (R)-limonene 6-monooxygenase activity long-chain fatty acid omega-1 hydroxylase activity protein binding caffeine oxidase activity estrogen 16-alpha-hydroxylase activity arachidonic acid 14,15-epoxygenase activity arachidonic acid 11,12-epoxygenase activity estrogen 2-hydroxylase activity oxidoreductase activity, acting on paired donors, with incorporation or reduction of molecular oxygen, NAD(P)H as one donor, and incorporation of one atom of oxygen 4-nitrophenol 2-monooxygenase activity Hsp70 protein binding Hsp90 protein binding
          参与通路
          long-chain fatty acid metabolic process lipid metabolic process fatty acid metabolic process terpenoid metabolic process xenobiotic metabolic process steroid metabolic process monoterpenoid metabolic process epoxygenase P450 pathway monocarboxylic acid metabolic process xenobiotic catabolic process omega-hydroxylase P450 pathway cholesterol metabolic process estrogen metabolic process arachidonic acid metabolic process urea metabolic process long-chain fatty acid biosynthetic process icosanoid biosynthetic process oxidative demethylation cellular organofluorine metabolic process lipid hydroxylation response to bacterium carbon tetrachloride metabolic process benzene metabolic process 4-nitrophenol metabolic process halogenated hydrocarbon metabolic process retinol metabolic process retinoic acid metabolic process linoleic acid metabolic process organic acid metabolic process
          It has to be done as per old AB suggested Products section.

          Disclaimer

          Close

          Clicking the images or links will redirect you to a website hosted by BenchSci that provides third-party scientific content. Neither the content nor the BenchSci technology and processes for selection have been evaluated by us; we are providing them as-is and without warranty of any kind, including for use or application of the Thermo Fisher Scientific products presented.

          guarantee_icon

          性能保障

          只要您发现Invitrogen抗体在实验中的表现与网站或说明书的所述内容不符,您即可享受免费退换货服务。*

          了解更多
          help_icon

          随时为您服务

          获取常见问题的专家解答,或者直接联系我们的技术专家,咨询应用、设备、常规产品使用问题。

          联系技术支持
          订购 Plus Icon Minus Icon
          • 订单状态查询
          • 订单支持
          • 货号直购
          • 现货供应中心
          • 电子采购
          支持 Plus Icon Minus Icon
          • 帮助&支持
          • 联系我们 - 400 820 8982
          • 技术支持中心
          • 查找文件&证书
          • 报告网站问题
          资源 Plus Icon Minus Icon
          • 学习中心
          • 促销
          • 活动&研讨会
          • 社交媒体
          关于赛默飞 Plus Icon Minus Icon
          • 关于我们
          • 招聘 招聘
          • 投资者关系 投资者关系
          • 新闻 新闻
          • 社会责任 社会责任
          • 商标
          • 政策和通知
          品牌 Plus Icon Minus Icon
          • Thermo Scientific
          • Applied Biosystems
          • Invitrogen
          • Gibco
          • Ion Torrent
          • Unity Lab Services
          • Patheon
          • PPD
          • 服务条款
          • 隐私政策
          • 定价和运输保险政策
          © 2006-2026 Thermo Fisher Scientific Inc. All rights reserved. All trademarks are the property of Thermo Fisher Scientific and its subsidiaries unless otherwise specified.
          China flag icon
          China
          本网站销售的所有产品均不得用于人类或动物之临床诊断或治疗,仅可用于工业或者科研等非医疗目的。
             电子营业执照 | 经营证照公示 | ICP备案号:沪ICP备11003924号 | 沪公网安备 31011502006935号

          Your items have has been added!


          Host server : magellan-search-green-6479c7f679-v472f:80/100.66.78.195:80.
          git-commit: b70c0dceb888abc3b0dcebb5bc3a5b8753e7e816
          git-url: https://github.com/thermofisher/magellan-search
          git-branch: release/2.50.0-Offline