Hamburger Menu Button
Thermo Fisher Scientific Logo
登录
没有账号?建立账号 注册
  • 产品
    • 抗体
    • 引物合成
    • GeneArt Gene Synthesis Instant Designer
    • TaqMan Assay and Array Search
    • PCR 设备和耗材
    • 色谱柱和纯化柱
    • 实验室离心机
    • 分子生物学试剂和试剂盒
    • 实验室塑料耗材及用品
    • 查看所有产品分类
  • 应用和技术
    • 色谱
    • 细胞转染和培养
    • 实时荧光定量PCR
    • 质谱
    • 实验室塑料耗材及用品
    • 电子显微镜
    • 蛋白质生物学
    • PCR
    • RNAi
    • 环境
    • 查看所有应用和技术
  • 服务
    • 定制服务
    • 企业级实验室信息化服务
    • 金融&租赁服务
    • 仪器服务
    • OEM和商业供应
    • 培训服务
    • 360° CDMO 和 CRO 服务
    • CDMO 服务
    • 临床试验 CRO 服务
    • Unity Lab Services
    • 查看所有帮助和支持
  • 帮助和支持
    • 学习中心
    • 联系我们
    • 更改国家或地区
    • 查看所有帮助和支持
  • 热门产品
    • TaqMan Real-Time PCR Assays
      TaqMan 实时荧光定量 PCR 试剂盒
    • Antibodies
      抗体
    • Oligos, Primers & Probes
      寡核苷酸、引物、探针
    • GeneArt Gene Synthesis
      GeneArt 基因合成
    • Cell Culture Plastics
      细胞培养耗材
  • Who We Serve
    • 抗体治疗解决方案
    • 细胞与基因治疗解决方案
    • 学术科研
    • 工业与应用
  • 联系我们
  • 货号直购
  • 订单查询
  • 查找文件&证书
Thermo Fisher Scientific Logo

Search

搜索全部或下列指定分类
Search button
          • 联系我们
          • 货号直购
          • 登录
            登录
            没有账号?建立账号 注册
            • 我的账号
            • 订单
            • 会员中心
            • 账单及发票查询
            • 定制产品及项目
          • Primary Antibodies ›
          • Cytokeratin Pan Type I/II Antibodies

          NeoBiotechnologies

          Cytokeratin, Multi (Epithelial Marker) Monoclonal Antibody (rKRT/457)

          查看其他51个Cytokeratin Pan Type I/II抗体

          {{$productOrderCtrl.translations['antibody.pdp.commerceCard.promotion.promotions']}}

          {{$productOrderCtrl.translations['antibody.pdp.commerceCard.promotion.viewpromo']}}

          {{$productOrderCtrl.translations['antibody.pdp.commerceCard.promotion.promocode']}}: {{promo.promoCode}} {{promo.promoTitle}} {{promo.promoDescription}}. {{$productOrderCtrl.translations['antibody.pdp.commerceCard.promotion.learnmore']}}

          说明书
          证书
          实验方案
          问题与答案
          技术支持
          说明书
          证书
          实验方案
          问题与答案
          技术支持
          说明书
          证书
          实验方案
          问题与答案
          技术支持

          Cite Cytokeratin, Multi (Epithelial Marker) Monoclonal Antibody (rKRT/457)

          Additional Information:
          {{banner.description}}
          {{$ctrl.isSkuNotesCollapsed ? 'View more' : 'View less'}}
          • 抗体检测数据 (2)
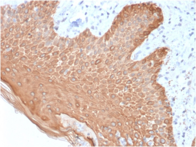
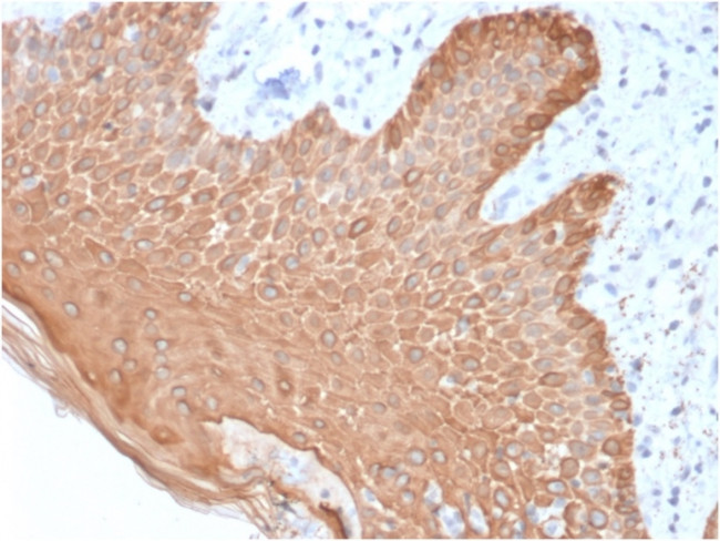
          Cytokeratin, Multi (Epithelial Marker) Antibody in Immunohistochemistry (Paraffin) (IHC (P))
          Group 53 Created with Sketch.
          Cytokeratin, Multi (Epithelial Marker) Antibody in Immunohistochemistry (Paraffin) (IHC (P))
          Group 53 Created with Sketch.

          图: 1 / 2

          {{ $ctrl.currentElement.advancedVerification.fullName }}
          {{ $ctrl.currentElement.advancedVerification.text }}

          Cytokeratin, Multi (Epithelial Marker) Antibody (MSM30-1876-P0) in IHC (P)

          Formalin-fixed, paraffin-embedded human Skin stained with Multi-Cytokeratin Mouse Recombinant Monoclonal Antibody (rKRT/457). {{ $ctrl.currentElement.advancedVerification.fullName }} 验证信息 View more
          已发表图片由___提供 benchsci-logo
          PMID: {{$ctrl.currentElement.benchSciPubmedId}}
          查看产品

          {{$ctrl.videoDesc}}

          {{$ctrl.videoLongDesc}}

          Cytokeratin, Multi (Epithelial Marker) Antibody in Immunohistochemistry (Paraffin) (IHC (P))
          Cytokeratin, Multi (Epithelial Marker) Antibody in SDS-PAGE (SDS-PAGE)
          Cytokeratin, Multi (Epithelial Marker) Monoclonal Antibody (rKRT/457)

          产品信息

          MSM30-1876-P0

          应用
          建议稀释比
          已发表文章

          免疫组化(石蜡) (IHC (P))

          Assay-dependent
          -

          免疫组织化学(多聚甲醛固定) (IHC (PFA))

          1-2 µg/mL
          -
          产品规格

          种属反应

          Amphibian, Bovine, Guinea pig, Goat, Human, Mouse, Non-human primate, Pig, Rat

          宿主/亚型

          Mouse / IgG1, kappa

          分类

          Monoclonal

          类型

          Antibody

          克隆号

          rKRT/457

          抗原

          Keratin-enriched preparation from cultured human epithelial cells
          3D表位/免疫原

          偶联物

          Unconjugated Unconjugated Unconjugated

          形式

          Liquid

          浓度

          200 µg/mL

          规格

          20 µg

          纯化类型

          Protein A/G

          保存液

          PBS, pH 7.4, with 0.05% BSA

          内含物

          0.05% sodium azide

          保存条件

          4°C, do not freeze

          运输条件

          Ambient (domestic); Wet ice (international)

          靶标信息

          Cytokeratin pan is part of a subfamily of intermediate filament proteins that are characterized by remarkable biochemical diversity, and represented in human epithelial tissues by at least 20 different polypeptides. Cytokeratins range in molecular weight between 40 kDa- 68 kDa, and an isoelectric pH between 4.9-7.8. The individual human cytokeratins are numbered 1 to 20. The various epithelia in the human body usually express cytokeratins which are not only characteristic of the type of epithelium, but also related to the degree of maturation or differentiation within an epithelium. Cytokeratin subtype expression patterns are used to an increasing extent in the distinction of different types of epithelial malignancies. The cytokeratin antibodies are not only of assistance in the differential diagnosis of tumors using immunohistochemistry on tissue sections, but are also a useful tool in cytopathology and flow cytometric assays. The composition of cytokeratin pairs vary with the epithelial cell type, stage of differentiation, cellular growth environment, and disease state. Many studies have shown the usefulness of keratins as markers in cancer research and tumor diagnosis.

          仅用于科研。不用于诊断过程。未经明确授权不得转售。

          篇参考文献 (0)

          您是否在文献中引用过该产品?请点击下方按钮邮件告知我们。
          引用该产品

          生物信息学

          蛋白别名: 39.1; 40-kDa keratin intermediate filament; 47 kDa cytokeratin; 56 kDa cytokeratin; 57kd keratin; 57kDa keratin; 58 kDa cytokeratin; 60-kDa keratin; 65 kDa cytokeratin; 67 kDa cytokeratin; Cell proliferation-inducing gene 46 protein; CK 2e; CK-1; CK-10; CK-13; CK-14; CK-15; CK-16; CK-17; CK-18; CK-19; CK-1B; CK-2e; CK-2P; CK-3; CK-4; CK-5; CK-6A; CK-6D; CK-7; CK-8; cytokeratin 1; cytokeratin 10; cytokeratin 13; cytokeratin 14; cytokeratin 15; cytokeratin 16; cytokeratin 18; cytokeratin 19; cytokeratin 2; cytokeratin 3; cytokeratin 4; cytokeratin 5; cytokeratin 6A; cytokeratin 6C; cytokeratin 6D; Cytokeratin 7; cytokeratin 8; Cytokeratin endo A; Cytokeratin endo B; cytokeratin type II, component Ia; cytokeratin type II, component Ib/c; cytokeratin type II, component III; Cytokeratin VIB; cytokeratin VII; Cytokeratin-1; Cytokeratin-10; Cytokeratin-13; Cytokeratin-14; Cytokeratin-15; Cytokeratin-16; Cytokeratin-17; Cytokeratin-18; Cytokeratin-19; Cytokeratin-1B; Cytokeratin-2e; Cytokeratin-2P; Cytokeratin-3; Cytokeratin-4; Cytokeratin-5; Cytokeratin-6A; Cytokeratin-6B; Cytokeratin-6D; Cytokeratin-7; Cytokeratin-8; Cytokeratin-A; Cytoskeletal 57 kDa keratin; cytoskeletal protein; embryonic type II keratin 1; Embryonic type II keratin-1; Endo B; epidermal keratin 10; epidermal keratin VII; epidermolysis bullosa simplex 2 Dowling-Meara/Kobner/Weber-Cockayne types; epidermolysis bullosa simplex, Dowling-Meara, Koebner; epidermolytic hyperkeratosis 1; epidermolytic hyperkeratosis; keratosis palmaris et plantaris; Epithelial keratin-2e; focal non-epidermolytic palmoplantar keratoderma; Hair alpha protein; HLA-DRB1-restricted epitope S1; HLA-DRB1-restricted epitope S2; HLA-DRB1-restricted epitope S3; HLA-DRB1-restricted epitope S4; HMWCK; intermediate filament protein; intermediate filament protein K16; intermediate filament protein; K7; K1; K10; K13; K14; K15; K16; K17; K18; K19; K1B; K2e; K2P; K3; K4; K5; K6A; K7; K76; K77; K8; KERA; keratin 1, type II; keratin 10; keratin 10 (epidermolytic hyperkeratosis); keratin 10, type I; keratin 13, type I; keratin 14; keratin 14 (epidermolysis bullosa simplex, Dowling-Meara, Koebner); keratin 14, type I; keratin 15; keratin 15, type I; keratin 16 homolog; keratin 16, type I; keratin 17; keratin 17, type I; keratin 18, type I; keratin 19; keratin 19, type I; Keratin 1B; keratin 2 (epidermal ichthyosis bullosa of Siemens); keratin 2 epidermis; keratin 2, type II; keratin 2A; keratin 2p; keratin 3, type II; keratin 4, type II; keratin 5 (epidermolysis bullosa simplex Dowling-Meara/Kobner/Weber-Cockayne types); keratin 5 (epidermolysis bullosa simplex, Dowling-Meara/Kobner/Weber-Cockayne types); keratin 5, type II; keratin 6 alpha; keratin 6A, , type II; keratin 6A, type II; keratin 6B; keratin 7, type II; keratin 76, type II; keratin 77; keratin 77, type II; keratin 8, type II; keratin 86; keratin complex 1, acidic, gene 10; keratin complex 1, acidic, gene 13; keratin complex 1, acidic, gene 14; keratin complex 1, acidic, gene 15; keratin complex 1, acidic, gene 16; keratin complex 1, acidic, gene 17; keratin complex 1, acidic, gene 18; keratin complex 1, acidic, gene 19; keratin complex 2, basic, gene 1; keratin complex 2, basic, gene 17; keratin complex 2, basic, gene 39; keratin complex 2, basic, gene 4; keratin complex 2, basic, gene 5; keratin complex 2, basic, gene 6a; keratin complex 2, basic, gene 6c; keratin complex 2, basic, gene 7; keratin complex 2, basic, gene 8; keratin complex 2, gene 17; keratin complex 2, gene 6a; Keratin D; keratin intermediate filament 16a; keratin intermediate filament 16b; keratin IV; keratin K5; keratin type II; Keratin type II cytoskeletal 5; keratin, 55K type II cytoskeletal; keratin, epidermal type II, K6A; keratin, simple epithelial type I, K7; Keratin, type I cytoskeletal 10; Keratin, type I cytoskeletal 13; Keratin, type I cytoskeletal 14; Keratin, type I cytoskeletal 15; Keratin, type I cytoskeletal 16; Keratin, type I cytoskeletal 17; Keratin, type I cytoskeletal 18; Keratin, type I cytoskeletal 19; Keratin, type I cytoskeletal 59 kDa; keratin, type I, 40-kd; Keratin, type II cytoskeletal 1; Keratin, type II cytoskeletal 1b; Keratin, type II cytoskeletal 2 epidermal; Keratin, type II cytoskeletal 2 oral; Keratin, type II cytoskeletal 3; Keratin, type II cytoskeletal 4; Keratin, type II cytoskeletal 5; keratin, type II cytoskeletal 59 kDa, component IV; keratin, type II cytoskeletal 60 kDa, component III; Keratin, type II cytoskeletal 6A; Keratin, type II cytoskeletal 7; Keratin, type II cytoskeletal 8; Keratin-1; Keratin-10; Keratin-13; Keratin-14; Keratin-15; keratin-15, basic; keratin-15, beta; Keratin-16; Keratin-17; Keratin-18; Keratin-19; Keratin-2 epidermis; Keratin-2e; Keratin-3; Keratin-4; Keratin-5; Keratin-6-alpha; Keratin-6A; Keratin-7; Keratin-76; Keratin-77; Keratin-8; krt1 {ECO:0000250|UniProtKB:P04264}; krt10 {ECO:0000250|UniProtKB:P13645}; krt13 {ECO:0000250|UniProtKB:P13646}; krt15 {ECO:0000250|UniProtKB:P19012}; krt17 {ECO:0000250|UniProtKB:Q04695}; krt18 {ECO:0000250|UniProtKB:P05783}; KRT1B; krt2; krt2 {ECO:0000250|UniProtKB:P35908}; krt4 {ECO:0000250|UniProtKB:P19013}; KRT5; krt7; krt7 {ECO:0000250|UniProtKB:P08729}; krt76; mK6-alpha; ORF; Pan CK; pan Cytokeratin; pan keratin; pankeratin; PIG46; Sarcolectin; suprabasal cytokeratin 10; tuftelin interacting protein 8; type I cytoskeletal 15; Type I keratin Ka10; Type I keratin Ka13; Type I keratin Ka14; Type I keratin Ka15; type I keratin KA16; Type I keratin Ka17; Type I keratin Ka19; type II cytokeratin A (no.8); type II cytoskeletal 1b; type II keratin Kb1; type II keratin Kb2; type II keratin Kb39; type II keratin Kb4; type II keratin Kb7; type II keratin Kb9; type II keratin subunit protein; type II mesothelial keratin K7; type-II intermediate filament protein; Type-II keratin Kb1; Type-II keratin Kb2; Type-II keratin Kb3; Type-II Keratin Kb39; Type-II keratin Kb4; Type-II keratin Kb5; Type-II keratin Kb6; Type-II keratin Kb7; Type-II keratin Kb8; Type-II keratin Kb9; unnamed protein product

          查看更多 收起

          基因别名: 2310001L23Rik; 2310016L08Rik; 3300001P10Rik; 39.1; 4732484G22Rik; AA960620; AEI2; AI324768; AI528832; AI626930; AI663979; AL022697; AU019895; AW108092; AW146334; BB005427; BCIE; BIE; CARD2; CK-17; CK-18; CK-2e; CK-4; CK-6C; CK-6E; CK-8; CK1; CK10; CK13; CK14; CK15; CK16; CK18; CK19; CK3; CK4; CK5; CK6A; CK6C; CK6D; CK7; CK8; CYK18; CYK4; CYK8; CYKER; D130054E02Rik; D15Wsu77e; DDD; DDD1; EBS1; EBS1A; EBS1B; EBS1C; EBS1D; EBS2; EBS2A; EBS2B; EBS2C; EBS2D; EBS2E; EBS2F; EBS3; EBS4; EHK; EHK1; EHK2; EHK2A; EHK2B; EndoA; EndoC; EPPK; FNEPPK; HUMCYT2A; IHL; K1; K10; K13; K14; K15; K16; K17; K18; K19; K1B; K1C1; K1CO; K1CP; K1CS; K1emb; K2C7; K2C8; K2e; K3; K4; K5; K6A; K6C; K6D; K7; K8; Ka10; Ka13; Ka14; Ka15; Ka16; Ka17; Ka19; Kb1; Kb2; Kb39; Kb4; Kb7; Kb9; Ker2; Kerd; KERIA; KERIB; KO; KPP; Krt-1.10; Krt-1.13; Krt-1.14; Krt-1.19; Krt-2.1; Krt-2.4; Krt-2.8; KRT1; Krt1-10; Krt1-13; Krt1-14; Krt1-15; Krt1-16; Krt1-17; Krt1-18; Krt1-19; KRT10; KRT13; KRT14; KRT15; KRT16; KRT16A; KRT17; KRT18; KRT19; KRT1A; KRT1B; KRT2; Krt2-1; Krt2-17; Krt2-2; Krt2-4; Krt2-5; Krt2-6; Krt2-6a; Krt2-6c; Krt2-7; KRT2-8; Krt239; KRT2A; KRT2B; KRT2E; KRT2P; KRT3; KRT4; KRT5; KRT5A; Krt6; KRT6A; Krt6b; KRT6C; KRT6D; KRT7; KRT76; KRT77; KRT8; Krt86; KRTA; KRTB; KRTE; MECD2; mK1b; mK6[a]; MK6a; NEPPK; NFJ; PC; PC1; PC2; PC3; PCHC1; PIG46; Sak57; SCL; Tfip8; WSN1; WSN2

          查看更多 收起

          UniProt ID: (Human) P04264, (Bovine) P06394, (Human) P13645, (Human) P13646, (Human) P02533, (Human) P19012, (Human) P08779, (Human) Q04695, (Bovine) A1L595, (Human) P05783, (Bovine) P08728, (Human) P08727, (Human) P35908, (Human) P12035, (Human) P19013, (Human) P13647, (Bovine) Q5XQN5, (Human) P02538, (Bovine) Q29S21, (Human) P08729, (Human) Q01546, (Human) Q7Z794, (Bovine) P05786, (Human) P05787, (Mouse) P04104, (Rat) Q6IMF3, (Mouse) P02535, (Rat) Q6IFW6, (Mouse) P08730, (Rat) Q6IFV4, (Mouse) Q61781, (Rat) Q6IFV1, (Mouse) Q61414, (Rat) Q6IFV3, (Mouse) Q9Z2K1, (Mouse) Q9QWL7, (Rat) Q6IFU8, (Mouse) P05784, (Rat) Q5BJY9, (Mouse) P19001, (Rat) Q63279, (Mouse) Q3TTY5, (Rat) Q6IG02, (Rat) Q6IG00, (Mouse) P07744, (Rat) Q6P6Q2, (Mouse) Q922U2, (Mouse) P50446, (Rat) Q6IG12, (Mouse) Q9DCV7, (Mouse) Q3UV17, (Mouse) Q6IFZ6, (Rat) Q6IG01, (Rat) Q10758, (Mouse) P11679

          查看更多 收起

          Entrez Gene ID: (Pig) 100049664, (Human) 3848, (Goat) 102175951, (Bovine) 281888, (Goat) 102168294, (Pig) 100519971, (Human) 3858, (Human) 3860, (Goat) 102178106, (Bovine) 404111, (Human) 3861, (Pig) 100515506, (Bovine) 507464, (Human) 3866, (Human) 3868, (Human) 3872, (Bovine) 281889, (Bovine) 506480, (Pig) 100126286, (Goat) 102181566, (Human) 3875, (Bovine) 514812, (Pig) 100515339, (Human) 3880, (Goat) 106501743, (Pig) 100049665, (Goat) 102176227, (Human) 3849, (Bovine) 407188, (Pig) 100157304, (Goat) 102182381, (Human) 3850, (Bovine) 527819, (Human) 3851, (Goat) 102183210, (Pig) 100157675, (Human) 3852, (Goat) 102175207, (Pig) 100511564, (Bovine) 281268, (Human) 3853, (Pig) 102164968, (Goat) 102174931, (Bovine) 614456, (Bovine) 535697, (Human) 3855, (Goat) 102184596, (Bovine) 407189, (Human) 51350, (Goat) 102175675, (Pig) 100156059, (Human) 374454, (Pig) 100152077, (Bovine) 281269, (Goat) 102182762, (Human) 3856, (Guinea pig) 100714242, (Mouse) 16678, (Rat) 300250, (Mouse) 16661, (Rat) 450225, (Mouse) 16663, (Guinea pig) 100713183, (Rat) 287699, (Mouse) 16664, (Rat) 287701, (Mouse) 16665, (Rat) 287700, (Rat) 303530, (Mouse) 16666, (Mouse) 16667, (Rat) 287702, (Guinea pig) 100735962, (Mouse) 16668, (Rat) 294853, (Mouse) 16669, (Rat) 360626, (Guinea pig) 100714514, (Mouse) 16681, (Rat) 406228, (Guinea pig) 100713688, (Guinea pig) 100729006, (Rat) 315323, (Mouse) 16682, (Guinea pig) 100715346, (Rat) 369017, (Mouse) 110308, (Guinea pig) 100715629, (Mouse) 16687, (Rat) 300242, (Guinea pig) 100715259, (Mouse) 110310, (Rat) 407757, (Mouse) 77055, (Mouse) 406220, (Rat) 406226, (Rat) 25626, (Guinea pig) 100736243, (Mouse) 16691, (Guinea pig) 100712996, (Guinea pig) 100713272, (Guinea pig) 100713456, (Guinea pig) 100713547, (Guinea pig) 100713966, (Guinea pig) 100732091

          查看更多 收起

          功能
          protein binding carbohydrate binding structural constituent of epidermis signaling receptor activity protein heterodimerization activity structural molecule activity structural constituent of cytoskeleton keratin filament binding scaffold protein binding RNA binding cadherin binding involved in cell-cell adhesion structural constituent of muscle macromolecular complex binding cytoskeletal protein binding molecular_function MHC class II receptor activity MHC class II protein binding poly(A) RNA binding protein complex binding
          参与通路
          cytoskeleton organization Notch signaling pathway response to estrogen sarcomere organization cell differentiation involved in embryonic placenta development positive regulation of epidermis development protein heterotetramerization aging epithelial cell differentiation hair cycle intermediate filament bundle assembly morphogenesis of an epithelium positive regulation of cell proliferation cell differentiation keratinization killing of cells of other organism wound healing intermediate filament organization defense response to Gram-positive bacterium antimicrobial humoral immune response mediated by antimicrobial peptide negative regulation of entry of bacterium into host cell biological_process intermediate filament-based process positive regulation of cell growth hair follicle morphogenesis positive regulation of translation positive regulation of hair follicle development cellular response to calcium ion inflammatory response keratinocyte differentiation negative regulation of cell migration innate immune response intermediate filament cytoskeleton organization keratinocyte migration establishment of skin barrier negative regulation of epithelial cell proliferation complement activation, lectin pathway negative regulation of inflammatory response tumor necrosis factor-mediated signaling pathway response to hydrostatic pressure response to other organism extrinsic apoptotic signaling pathway hepatocyte apoptotic process epidermis development Wnt signaling pathway response to mechanical stimulus regulation of cell migration regulation of protein localization intermediate filament polymerization response to oxidative stress peptide cross-linking fibrinolysis regulation of angiogenesis signal transduction regulation of translation in response to stress response to zinc ion response to ionizing radiation retina homeostasis Golgi to plasma membrane CFTR protein transport negative regulation of apoptotic process response to radiation stem cell differentiation anatomical structure morphogenesis Golgi to plasma membrane protein transport cell-cell adhesion mitophagy in response to mitochondrial depolarization tongue morphogenesis cellular response to retinoic acid embryo development sebaceous gland development keratinocyte activation keratinocyte proliferation immune system process cell morphogenesis involved in differentiation multicellular organism development pigmentation keratinocyte development
          It has to be done as per old AB suggested Products section.

          Disclaimer

          Close

          Clicking the images or links will redirect you to a website hosted by BenchSci that provides third-party scientific content. Neither the content nor the BenchSci technology and processes for selection have been evaluated by us; we are providing them as-is and without warranty of any kind, including for use or application of the Thermo Fisher Scientific products presented.

          guarantee_icon

          性能保障

          只要您发现Invitrogen抗体在实验中的表现与网站或说明书的所述内容不符,您即可享受免费退换货服务。*

          了解更多
          help_icon

          随时为您服务

          获取常见问题的专家解答,或者直接联系我们的技术专家,咨询应用、设备、常规产品使用问题。

          联系技术支持
          订购 Plus Icon Minus Icon
          • 订单状态查询
          • 订单支持
          • 货号直购
          • 现货供应中心
          • 电子采购
          支持 Plus Icon Minus Icon
          • 帮助&支持
          • 联系我们 - 400 820 8982
          • 技术支持中心
          • 查找文件&证书
          • 报告网站问题
          资源 Plus Icon Minus Icon
          • 学习中心
          • 促销
          • 活动&研讨会
          • 社交媒体
          关于赛默飞 Plus Icon Minus Icon
          • 关于我们
          • 招聘 招聘
          • 投资者关系 投资者关系
          • 新闻 新闻
          • 社会责任 社会责任
          • 商标
          • 政策和通知
          品牌 Plus Icon Minus Icon
          • Thermo Scientific
          • Applied Biosystems
          • Invitrogen
          • Gibco
          • Ion Torrent
          • Unity Lab Services
          • Patheon
          • PPD
          • 服务条款
          • 隐私政策
          • 定价和运输保险政策
          © 2006-2026 Thermo Fisher Scientific Inc. All rights reserved. All trademarks are the property of Thermo Fisher Scientific and its subsidiaries unless otherwise specified.
          China flag icon
          China
          本网站销售的所有产品均不得用于人类或动物之临床诊断或治疗,仅可用于工业或者科研等非医疗目的。
             电子营业执照 | 经营证照公示 | ICP备案号:沪ICP备11003924号 | 沪公网安备 31011502006935号

          Your items have has been added!


          Host server : magellan-search-green-6479c7f679-46l5g:80/100.66.76.236:80.
          git-commit: b70c0dceb888abc3b0dcebb5bc3a5b8753e7e816
          git-url: https://github.com/thermofisher/magellan-search
          git-branch: release/2.50.0-Offline