Hamburger Menu Button
Thermo Fisher Scientific Logo
登录
没有账号?建立账号 注册
  • 产品
    • 抗体
    • 引物合成
    • GeneArt Gene Synthesis Instant Designer
    • TaqMan Assay and Array Search
    • PCR 设备和耗材
    • 色谱柱和纯化柱
    • 实验室离心机
    • 分子生物学试剂和试剂盒
    • 实验室塑料耗材及用品
    • 查看所有产品分类
  • 应用和技术
    • 色谱
    • 细胞转染和培养
    • 实时荧光定量PCR
    • 质谱
    • 实验室塑料耗材及用品
    • 电子显微镜
    • 蛋白质生物学
    • PCR
    • RNAi
    • 环境
    • 查看所有应用和技术
  • 服务
    • 定制服务
    • 企业级实验室信息化服务
    • 金融&租赁服务
    • 仪器服务
    • OEM和商业供应
    • 培训服务
    • 360° CDMO 和 CRO 服务
    • CDMO 服务
    • 临床试验 CRO 服务
    • Unity Lab Services
    • 查看所有帮助和支持
  • 帮助和支持
    • 学习中心
    • 联系我们
    • 更改国家或地区
    • 查看所有帮助和支持
  • 热门产品
    • TaqMan Real-Time PCR Assays
      TaqMan 实时荧光定量 PCR 试剂盒
    • Antibodies
      抗体
    • Oligos, Primers & Probes
      寡核苷酸、引物、探针
    • GeneArt Gene Synthesis
      GeneArt 基因合成
    • Cell Culture Plastics
      细胞培养耗材
  • Who We Serve
    • 抗体治疗解决方案
    • 细胞与基因治疗解决方案
    • 学术科研
    • 工业与应用
  • 联系我们
  • 货号直购
  • 订单查询
  • 查找文件&证书
Thermo Fisher Scientific Logo

Search

搜索全部或下列指定分类
Search button
          • 联系我们
          • 货号直购
          • 登录
            登录
            没有账号?建立账号 注册
            • 我的账号
            • 订单
            • 会员中心
            • 账单及发票查询
            • 定制产品及项目
          • Primary Antibodies ›
          • DRD2 Antibodies

          Alomone Labs, LTD

          D2 Dopamine Receptor (extracellular) Polyclonal Antibody

          查看其他27个DRD2抗体

          {{$productOrderCtrl.translations['antibody.pdp.commerceCard.promotion.promotions']}}

          {{$productOrderCtrl.translations['antibody.pdp.commerceCard.promotion.viewpromo']}}

          {{$productOrderCtrl.translations['antibody.pdp.commerceCard.promotion.promocode']}}: {{promo.promoCode}} {{promo.promoTitle}} {{promo.promoDescription}}. {{$productOrderCtrl.translations['antibody.pdp.commerceCard.promotion.learnmore']}}

          说明书
          证书
          实验方案
          问题与答案
          技术支持
          说明书
          证书
          实验方案
          问题与答案
          技术支持
          说明书
          证书
          实验方案
          问题与答案
          技术支持

          Cite D2 Dopamine Receptor (extracellular) Polyclonal Antibody

          Additional Information:
          {{banner.description}}
          {{$ctrl.isSkuNotesCollapsed ? 'View more' : 'View less'}}
          • 抗体检测数据 (2)
          D2 Dopamine Receptor (extracellular) Antibody in Western Blot (WB)
          Group 53 Created with Sketch.
          D2 Dopamine Receptor (extracellular) Antibody in Western Blot (WB)
          Group 53 Created with Sketch.

          图: 1 / 2

          {{ $ctrl.currentElement.advancedVerification.fullName }}
          {{ $ctrl.currentElement.advancedVerification.text }}

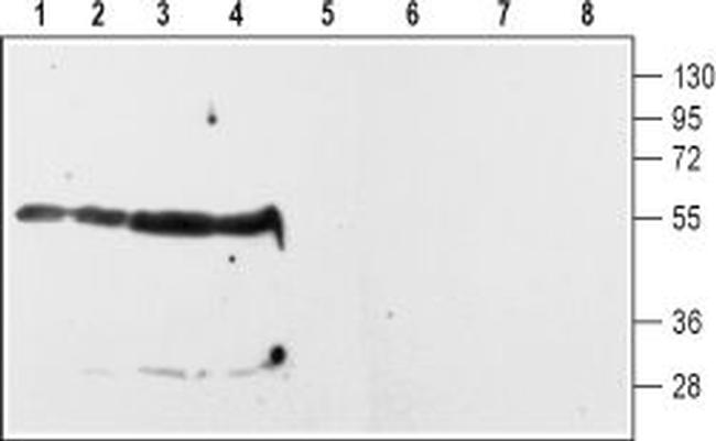
          D2 Dopamine Receptor (extracellular) Antibody (ADR-002-200UL) in WB

          Western blot analysis of rat striatum (lanes 1 and 5) and hippocampus (lanes 2 and 6) membranes and of rat (lanes 3 and 7) and mouse (lanes 4 and 8) whole brain lysates: - 1-4. Anti-D2Dopamine Receptor (extracellular) Antibody (#ADR-002), (1:200).5-8. Anti-D2Dopamine Receptor (extracellular) Antibody , preincubated with D2 Dopamine Receptor (extracellular) Blocking Peptide (#BLP-DR002). {{ $ctrl.currentElement.advancedVerification.fullName }} 验证信息 View more
          已发表图片由___提供 benchsci-logo
          PMID: {{$ctrl.currentElement.benchSciPubmedId}}
          查看产品

          {{$ctrl.videoDesc}}

          {{$ctrl.videoLongDesc}}

          D2 Dopamine Receptor (extracellular) Antibody in Western Blot (WB)
          D2 Dopamine Receptor (extracellular) Antibody in Flow Cytometry (Flow)
          D2 Dopamine Receptor (extracellular) Polyclonal Antibody

          产品信息

          ADR-002-200UL

          应用
          建议稀释比
          已发表文章

          免疫印迹 (WB)

          1:200
          -

          流式细胞分析 (Flow)

          5 µg
          -
          产品规格

          种属反应

          Human, Mouse, Rat

          宿主/亚型

          Rabbit / IgG

          分类

          Polyclonal

          类型

          Antibody

          抗原

          (C)DDLERQNWSRPFNGSE, corresponding to amino acid residues 11-26 of rat DRD2, Extracellular, N-terminus
          3D表位/免疫原

          偶联物

          Unconjugated Unconjugated Unconjugated

          形式

          Lyophilized

          浓度

          0.8 mg/mL

          规格

          160 µg

          纯化类型

          Antigen affinity chromatography

          保存液

          PBS, pH 7.4, with 1% BSA

          内含物

          0.05% sodium azide

          保存条件

          -20°C, Avoid Freeze/Thaw Cycles

          运输条件

          Ambient (domestic); Wet ice (international)

          产品详细信息

          Reconstitution: 25 µL, 50 µL or 0.2 mL double distilled water (DDW), depending on the sample size. The antibody ships as a lyophilized powder at room temperature. Upon arrival, it should be stored at -20C. The reconstituted solution can be stored at 4C for up to 1 week. For longer periods, small aliquots should be stored at -20C. Avoid multiple freezing and thawing. Centrifuge all antibody preparations before use (10000 x g 5 min).

          靶标信息

          The DRD2 Dopamine Receptor is involved in the neuromodulation of appetitive behaviors. DRD2 may be linked to alcoholism and other substance-use disorders. Mutations in DRD2 in mice lead to the suppression of reward behavior with morphine and to the reduction of spontaneous movements, a phenotype resembling Parkinsons disease. Three alternatively spliced isoforms have been identified. DRD2 has been reported to be expressed in various regions of the brain, as well as in aorta, artery, eye, and spinal cord. ESTs have been isolated from normal pituitary and in brain, colon, lung, pancreas, and skeletal muscle cancer libraries.

          仅用于科研。不用于诊断过程。未经明确授权不得转售。

          篇参考文献 (0)

          您是否在文献中引用过该产品?请点击下方按钮邮件告知我们。
          引用该产品

          生物信息学

          蛋白别名: D(2) dopamine receptor; D2 receptor; Dopamine 2 receptor; Dopamine D2 receptor; dopamine receptor 2; seven transmembrane helix receptor; unnamed protein product

          查看更多 收起

          基因别名: D2DR; D2R; Drd-2; DRD2

          查看更多 收起

          UniProt ID: (Human) P14416, (Mouse) P61168, (Rat) P61169

          查看更多 收起

          Entrez Gene ID: (Human) 1813, (Mouse) 13489, (Rat) 24318

          查看更多 收起

          功能
          dopamine neurotransmitter receptor activity, coupled via Gi/Go G-protein alpha-subunit binding G-protein coupled receptor activity dopamine neurotransmitter receptor activity receptor binding protein binding potassium channel regulator activity heterotrimeric G-protein binding dopamine binding ionotropic glutamate receptor binding identical protein binding macromolecular complex binding signal transducer activity drug binding protein homodimerization activity protein heterodimerization activity G-protein coupled receptor
          参与通路
          temperature homeostasis response to hypoxia neuron migration synaptic transmission, dopaminergic startle response response to amphetamine neurological system process involved in regulation of systemic arterial blood pressure regulation of heart rate regulation of sodium ion transport G-protein coupled receptor internalization positive regulation of neuroblast proliferation positive regulation of receptor internalization cellular calcium ion homeostasis autophagy signal transduction G-protein coupled receptor signaling pathway adenylate cyclase-modulating G-protein coupled receptor signaling pathway adenylate cyclase-inhibiting dopamine receptor signaling pathway phospholipase C-activating G-protein coupled receptor signaling pathway dopamine receptor signaling pathway neuron-neuron synaptic transmission neuroblast proliferation axonogenesis synapse assembly sensory perception of smell long-term memory grooming behavior locomotory behavior adult walking behavior feeding behavior protein localization cell proliferation negative regulation of cell proliferation associative learning visual learning response to xenobiotic stimulus response to light stimulus response to toxic substance response to iron ion regulation of dopamine secretion response to inactivity Wnt signaling pathway cell migration striatum development orbitofrontal cortex development cerebral cortex GABAergic interneuron migration adenohypophysis development negative regulation of cell migration peristalsis adult behavior forebrain development auditory behavior regulation of synaptic transmission, GABAergic response to estradiol positive regulation of cytokinesis circadian regulation of gene expression negative regulation of dopamine secretion response to histamine response to nicotine negative regulation of dephosphorylation intracellular signal transduction positive regulation of urine volume positive regulation of renal sodium excretion positive regulation of multicellular organism growth response to cocaine negative regulation of circadian sleep/wake cycle, sleep dopamine metabolic process drinking behavior regulation of potassium ion transport response to morphine regulation of MAPK cascade pigmentation protein kinase B signaling response to ethanol positive regulation of G-protein coupled receptor protein signaling pathway negative regulation of blood pressure negative regulation of innate immune response positive regulation of transcription from RNA polymerase II promoter negative regulation of insulin secretion acid secretion behavioral response to cocaine behavioral response to ethanol regulation of long-term neuronal synaptic plasticity response to axon injury branching morphogenesis of a nerve arachidonic acid secretion epithelial cell proliferation negative regulation of epithelial cell proliferation negative regulation of protein secretion positive regulation of neurogenesis modulation of synaptic transmission negative regulation of synaptic transmission release of sequestered calcium ion into cytosol positive regulation of multicellular organismal process negative regulation of cytosolic calcium ion concentration regulation of neurotransmitter uptake dopamine uptake involved in synaptic transmission regulation of dopamine uptake involved in synaptic transmission positive regulation of dopamine uptake involved in synaptic transmission regulation of synapse structural plasticity negative regulation of protein kinase B signaling regulation of amine transport negative regulation of synaptic transmission, glutamatergic excitatory postsynaptic potential positive regulation of growth hormone secretion prepulse inhibition phospholipase C-activating dopamine receptor signaling pathway negative regulation of dopamine receptor signaling pathway positive regulation of ERK1 and ERK2 cascade cellular response to retinoic acid cellular response to ethanol regulation of locomotion involved in locomotory behavior postsynaptic modulation of chemical synaptic transmission presynaptic modulation of chemical synaptic transmission beta-arrestin-dependent dopamine receptor signaling pathway negative regulation of cellular response to hypoxia positive regulation of glial cell-derived neurotrophic factor secretion positive regulation of long-term synaptic potentiation regulation of secretion by cell hyaloid vascular plexus regression negative regulation of neuron migration negative regulation of adenylate cyclase activity chemical synaptic transmission regulation of cAMP metabolic process activation of protein kinase activity response to drug regulation of phosphoprotein phosphatase activity phosphatidylinositol metabolic process positive regulation of cytosolic calcium ion concentration involved in phospholipase C-activating G-protein coupled signaling pathway negative regulation of voltage-gated calcium channel activity cellular potassium ion homeostasis positive regulation of mitotic nuclear division
          It has to be done as per old AB suggested Products section.

          Disclaimer

          Close

          Clicking the images or links will redirect you to a website hosted by BenchSci that provides third-party scientific content. Neither the content nor the BenchSci technology and processes for selection have been evaluated by us; we are providing them as-is and without warranty of any kind, including for use or application of the Thermo Fisher Scientific products presented.

          guarantee_icon

          性能保障

          只要您发现Invitrogen抗体在实验中的表现与网站或说明书的所述内容不符,您即可享受免费退换货服务。*

          了解更多
          help_icon

          随时为您服务

          获取常见问题的专家解答,或者直接联系我们的技术专家,咨询应用、设备、常规产品使用问题。

          联系技术支持
          订购 Plus Icon Minus Icon
          • 订单状态查询
          • 订单支持
          • 货号直购
          • 现货供应中心
          • 电子采购
          支持 Plus Icon Minus Icon
          • 帮助&支持
          • 联系我们 - 400 820 8982
          • 技术支持中心
          • 查找文件&证书
          • 报告网站问题
          资源 Plus Icon Minus Icon
          • 学习中心
          • 促销
          • 活动&研讨会
          • 社交媒体
          关于赛默飞 Plus Icon Minus Icon
          • 关于我们
          • 招聘 招聘
          • 投资者关系 投资者关系
          • 新闻 新闻
          • 社会责任 社会责任
          • 商标
          • 政策和通知
          品牌 Plus Icon Minus Icon
          • Thermo Scientific
          • Applied Biosystems
          • Invitrogen
          • Gibco
          • Ion Torrent
          • Unity Lab Services
          • Patheon
          • PPD
          • 服务条款
          • 隐私政策
          • 定价和运输保险政策
          © 2006-2026 Thermo Fisher Scientific Inc. All rights reserved. All trademarks are the property of Thermo Fisher Scientific and its subsidiaries unless otherwise specified.
          China flag icon
          China
          本网站销售的所有产品均不得用于人类或动物之临床诊断或治疗,仅可用于工业或者科研等非医疗目的。
             电子营业执照 | 经营证照公示 | ICP备案号:沪ICP备11003924号 | 沪公网安备 31011502006935号

          Your items have has been added!


          Host server : magellan-search-green-6479c7f679-zb4k5:80/100.66.74.142:80.
          git-commit: b70c0dceb888abc3b0dcebb5bc3a5b8753e7e816
          git-url: https://github.com/thermofisher/magellan-search
          git-branch: release/2.50.0-Offline