Hamburger Menu Button
Thermo Fisher Scientific Logo
登录
没有账号?建立账号 注册
  • 产品
    • 抗体
    • 引物合成
    • GeneArt Gene Synthesis Instant Designer
    • TaqMan Assay and Array Search
    • PCR 设备和耗材
    • 色谱柱和纯化柱
    • 实验室离心机
    • 分子生物学试剂和试剂盒
    • 实验室塑料耗材及用品
    • 查看所有产品分类
  • 应用和技术
    • 色谱
    • 细胞转染和培养
    • 实时荧光定量PCR
    • 质谱
    • 实验室塑料耗材及用品
    • 电子显微镜
    • 蛋白质生物学
    • PCR
    • RNAi
    • 环境
    • 查看所有应用和技术
  • 服务
    • 定制服务
    • 企业级实验室信息化服务
    • 金融&租赁服务
    • 仪器服务
    • OEM和商业供应
    • 培训服务
    • 360° CDMO 和 CRO 服务
    • CDMO 服务
    • 临床试验 CRO 服务
    • Unity Lab Services
    • 查看所有帮助和支持
  • 帮助和支持
    • 学习中心
    • 联系我们
    • 更改国家或地区
    • 查看所有帮助和支持
  • 热门产品
    • TaqMan Real-Time PCR Assays
      TaqMan 实时荧光定量 PCR 试剂盒
    • Antibodies
      抗体
    • Oligos, Primers & Probes
      寡核苷酸、引物、探针
    • GeneArt Gene Synthesis
      GeneArt 基因合成
    • Cell Culture Plastics
      细胞培养耗材
  • Who We Serve
    • 抗体治疗解决方案
    • 细胞与基因治疗解决方案
    • 学术科研
    • 工业与应用
  • 联系我们
  • 货号直购
  • 订单查询
  • 查找文件&证书
Thermo Fisher Scientific Logo

Search

搜索全部或下列指定分类
Search button
          • 联系我们
          • 货号直购
          • 登录
            登录
            没有账号?建立账号 注册
            • 我的账号
            • 订单
            • 会员中心
            • 账单及发票查询
            • 定制产品及项目
          • Primary Antibodies ›
          • DDR2 Antibodies

          Invitrogen

          DDR2 Recombinant Rabbit Monoclonal Antibody (9A9)

          查看其他16个DDR2抗体

          {{$productOrderCtrl.translations['antibody.pdp.commerceCard.promotion.promotions']}}

          {{$productOrderCtrl.translations['antibody.pdp.commerceCard.promotion.viewpromo']}}

          {{$productOrderCtrl.translations['antibody.pdp.commerceCard.promotion.promocode']}}: {{promo.promoCode}} {{promo.promoTitle}} {{promo.promoDescription}}. {{$productOrderCtrl.translations['antibody.pdp.commerceCard.promotion.learnmore']}}

          说明书
          证书
          实验方案
          问题与答案
          技术支持
          说明书
          证书
          实验方案
          问题与答案
          技术支持
          说明书
          证书
          实验方案
          问题与答案
          技术支持

          Cite DDR2 Recombinant Rabbit Monoclonal Antibody (9A9)

          Additional Information:
          {{banner.description}}
          {{$ctrl.isSkuNotesCollapsed ? 'View more' : 'View less'}}
          • 抗体检测数据 (1)
          DDR2 Antibody in Western Blot (WB)
          Group 53 Created with Sketch.
          DDR2 Antibody in Western Blot (WB)
          Group 53 Created with Sketch.

          图: 1 / 1

          {{ $ctrl.currentElement.advancedVerification.fullName }}
          {{ $ctrl.currentElement.advancedVerification.text }}

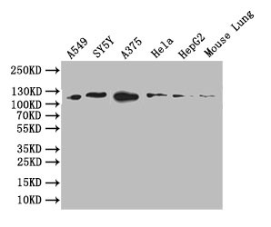
          DDR2 Antibody (MA5-50138) in WB

          Western blot analysis of DDR2 in A549 whole cell lysate, SY5Y whole cell lysate, A375 whole cell lysate, HEPG2 whole cell lysate, Mouse Lung tissue lysate using a dilution of 1:1,000. Samples were incubated with DDR2 monoclonal antibody (Product # MA5-50138). Secondary: Goat polyclonal to rabbit IgG at 1:50,000 dilution. Predicted band size: 96 kDa. Observed band size: 110 kDa. {{ $ctrl.currentElement.advancedVerification.fullName }} 验证信息 View more
          已发表图片由___提供 benchsci-logo
          PMID: {{$ctrl.currentElement.benchSciPubmedId}}
          查看产品

          {{$ctrl.videoDesc}}

          {{$ctrl.videoLongDesc}}

          DDR2 Antibody in Western Blot (WB)

          产品信息

          MA5-50138

          应用
          建议稀释比
          已发表文章

          免疫印迹 (WB)

          1:500-1:2,000
          -

          酶联免疫吸附实验 (ELISA)

          Assay-dependent
          -
          产品规格

          种属反应

          Human, Mouse

          宿主/亚型

          Rabbit / IgG

          Expression System

          HEK293 cells

          分类

          Recombinant Monoclonal

          类型

          Antibody

          克隆号

          9A9

          抗原

          A synthesized peptide derived from Human DDR2

          偶联物

          Unconjugated Unconjugated Unconjugated

          形式

          Liquid

          浓度

          0.2 mg/mL

          规格

          20 µg

          纯化类型

          Affinity chromatography

          保存液

          PBS, pH 7.4, with 50% glycerol

          内含物

          0.02% sodium azide

          保存条件

          -20°C or -80°C if preferred

          运输条件

          Ambient (domestic); Wet ice (international)

          RRID

          AB_3093698

          靶标信息

          DDR2 is a member of a subclass of RTKs and contains a distinct extracellular region encompassing a factor VIII-like domain. DDR1 and DDR2 have been shown to be potently inhibited by Gleevec. DDR2 required for normal bone development. Regulates osteoblast differentiation and chondrocyte maturation via a signaling pathway that involves MAP kinases and leads to the activation of the transcription factor RUNX2. Regulates remodeling of the extracellular matrix by up-regulation of the collagenases MMP1, MMP2 and MMP13, and thereby facilitates cell migration and tumor cell invasion. Promotes fibroblast migration and proliferation, and thereby contributes to cutaneous wound healing.

          仅用于科研。不用于诊断过程。未经明确授权不得转售。

          篇参考文献 (0)

          您是否在文献中引用过该产品?请点击下方按钮邮件告知我们。
          引用该产品

          生物信息学

          蛋白别名: CD167 antigen-like family member B; CD167b; CD_antigen: CD167b; cell migration-inducing protein 20; Discoidin domain receptor 2; discoidin domain receptor family, member 2; Discoidin domain-containing receptor 2; Discoidin domain-containing receptor tyrosine kinase 2; hydroxyaryl-protein; hydroxyaryl-protein kinase; MIG16; MIG20a; migration-inducing gene 16 protein; neurotrophic tyrosine kinase receptor related 3; Neurotrophic tyrosine kinase, receptor-related 3; Receptor protein-tyrosine kinase TKT; RP11-572K18.1; Tyrosine-protein kinase TYRO10; unnamed protein product

          查看更多 收起

          基因别名: AW495251; DDR2; MIG20a; NTRKR3; TKT; TYRO10; WRCN

          查看更多 收起

          UniProt ID: (Human) Q16832, (Mouse) Q62371

          查看更多 收起

          Entrez Gene ID: (Human) 4921, (Mouse) 18214

          查看更多 收起

          功能
          nucleotide binding protein kinase activity protein tyrosine kinase activity transmembrane receptor protein tyrosine kinase activity protein binding collagen binding ATP binding kinase activity transferase activity protein tyrosine kinase collagen receptor activity transferase activity, transferring phosphorus-containing groups transmembrane signal receptor
          参与通路
          ossification endochondral bone growth cell adhesion signal transduction transmembrane receptor protein tyrosine kinase signaling pathway positive regulation of cell proliferation regulation of extracellular matrix disassembly positive regulation of fibroblast migration positive regulation of neuron projection development peptidyl-tyrosine phosphorylation collagen fibril organization regulation of bone mineralization biomineral tissue development positive regulation of collagen biosynthetic process regulation of tissue remodeling chondrocyte proliferation response to muscle stretch collagen-activated tyrosine kinase receptor signaling pathway negative regulation of apoptotic process positive regulation of osteoblast differentiation positive regulation of protein kinase activity protein autophosphorylation positive regulation of fibroblast proliferation positive regulation of sequence-specific DNA binding transcription factor activity positive regulation of protein kinase B signaling positive regulation of ERK1 and ERK2 cascade cellular response to hypoxia cellular response to transforming growth factor beta stimulus positive regulation of extracellular matrix disassembly positive regulation of wound healing positive regulation of G1/S transition of mitotic cell cycle negative regulation of hydrogen peroxide-mediated programmed cell death cellular response to angiotensin positive regulation of vascular smooth muscle cell proliferation positive regulation of vascular associated smooth muscle cell migration positive regulation of hepatic stellate cell proliferation positive regulation of hepatic stellate cell activation protein phosphorylation phosphorylation
          It has to be done as per old AB suggested Products section.

          Disclaimer

          Close

          Clicking the images or links will redirect you to a website hosted by BenchSci that provides third-party scientific content. Neither the content nor the BenchSci technology and processes for selection have been evaluated by us; we are providing them as-is and without warranty of any kind, including for use or application of the Thermo Fisher Scientific products presented.

          guarantee_icon

          性能保障

          只要您发现Invitrogen抗体在实验中的表现与网站或说明书的所述内容不符,您即可享受免费退换货服务。*

          了解更多
          help_icon

          随时为您服务

          获取常见问题的专家解答,或者直接联系我们的技术专家,咨询应用、设备、常规产品使用问题。

          联系技术支持
          订购 Plus Icon Minus Icon
          • 订单状态查询
          • 订单支持
          • 货号直购
          • 现货供应中心
          • 电子采购
          支持 Plus Icon Minus Icon
          • 帮助&支持
          • 联系我们 - 400 820 8982
          • 技术支持中心
          • 查找文件&证书
          • 报告网站问题
          资源 Plus Icon Minus Icon
          • 学习中心
          • 促销
          • 活动&研讨会
          • 社交媒体
          关于赛默飞 Plus Icon Minus Icon
          • 关于我们
          • 招聘 招聘
          • 投资者关系 投资者关系
          • 新闻 新闻
          • 社会责任 社会责任
          • 商标
          • 政策和通知
          品牌 Plus Icon Minus Icon
          • Thermo Scientific
          • Applied Biosystems
          • Invitrogen
          • Gibco
          • Ion Torrent
          • Unity Lab Services
          • Patheon
          • PPD
          • 服务条款
          • 隐私政策
          • 定价和运输保险政策
          © 2006-2026 Thermo Fisher Scientific Inc. All rights reserved. All trademarks are the property of Thermo Fisher Scientific and its subsidiaries unless otherwise specified.
          China flag icon
          China
          本网站销售的所有产品均不得用于人类或动物之临床诊断或治疗,仅可用于工业或者科研等非医疗目的。
             电子营业执照 | 经营证照公示 | ICP备案号:沪ICP备11003924号 | 沪公网安备 31011502006935号

          Your items have has been added!


          Host server : magellan-search-green-6479c7f679-2z78h:80/100.66.76.236:80.
          git-commit: b70c0dceb888abc3b0dcebb5bc3a5b8753e7e816
          git-url: https://github.com/thermofisher/magellan-search
          git-branch: release/2.50.0-Offline