Hamburger Menu Button
Thermo Fisher Scientific Logo
登录
没有账号?建立账号 注册
  • 产品
    • 抗体
    • 引物合成
    • GeneArt Gene Synthesis Instant Designer
    • TaqMan Assay and Array Search
    • PCR 设备和耗材
    • 色谱柱和纯化柱
    • 实验室离心机
    • 分子生物学试剂和试剂盒
    • 实验室塑料耗材及用品
    • 查看所有产品分类
  • 应用和技术
    • 色谱
    • 细胞转染和培养
    • 实时荧光定量PCR
    • 质谱
    • 实验室塑料耗材及用品
    • 电子显微镜
    • 蛋白质生物学
    • PCR
    • RNAi
    • 环境
    • 查看所有应用和技术
  • 服务
    • 定制服务
    • 企业级实验室信息化服务
    • 金融&租赁服务
    • 仪器服务
    • OEM和商业供应
    • 培训服务
    • 360° CDMO 和 CRO 服务
    • CDMO 服务
    • 临床试验 CRO 服务
    • Unity Lab Services
    • 查看所有帮助和支持
  • 帮助和支持
    • 学习中心
    • 联系我们
    • 更改国家或地区
    • 查看所有帮助和支持
  • 热门产品
    • TaqMan Real-Time PCR Assays
      TaqMan 实时荧光定量 PCR 试剂盒
    • Antibodies
      抗体
    • Oligos, Primers & Probes
      寡核苷酸、引物、探针
    • GeneArt Gene Synthesis
      GeneArt 基因合成
    • Cell Culture Plastics
      细胞培养耗材
  • Who We Serve
    • 抗体治疗解决方案
    • 细胞与基因治疗解决方案
    • 学术科研
    • 工业与应用
  • 联系我们
  • 货号直购
  • 订单查询
  • 查找文件&证书
Thermo Fisher Scientific Logo

Search

搜索全部或下列指定分类
Search button
          • 联系我们
          • 货号直购
          • 登录
            登录
            没有账号?建立账号 注册
            • 我的账号
            • 订单
            • 账单及发票查询
            • 定制产品及项目
          • Primary Antibodies ›
          • DDX3/DDX3Y Antibodies

          Invitrogen

          DDX3/DDX3Y Recombinant Rabbit Monoclonal Antibody (1N2I8)

          {{$productOrderCtrl.translations['antibody.pdp.commerceCard.promotion.promotions']}}

          {{$productOrderCtrl.translations['antibody.pdp.commerceCard.promotion.viewpromo']}}

          {{$productOrderCtrl.translations['antibody.pdp.commerceCard.promotion.promocode']}}: {{promo.promoCode}} {{promo.promoTitle}} {{promo.promoDescription}}. {{$productOrderCtrl.translations['antibody.pdp.commerceCard.promotion.learnmore']}}

          说明书
          证书
          实验方案
          问题与答案
          技术支持
          说明书
          证书
          实验方案
          问题与答案
          技术支持
          说明书
          证书
          实验方案
          问题与答案
          技术支持

          Cite DDX3/DDX3Y Recombinant Rabbit Monoclonal Antibody (1N2I8)

          Additional Information:
          {{banner.description}}
          {{$ctrl.isSkuNotesCollapsed ? 'View more' : 'View less'}}
          • 抗体检测数据 (6)
          DDX3/DDX3Y Antibody in Immunocytochemistry (ICC/IF)
          Group 53 Created with Sketch.
          DDX3/DDX3Y Antibody in Immunocytochemistry (ICC/IF)
          Group 53 Created with Sketch.

          图: 1 / 6

          {{ $ctrl.currentElement.advancedVerification.fullName }}
          {{ $ctrl.currentElement.advancedVerification.text }}

          DDX3/DDX3Y Antibody (MA569170) in ICC/IF

          Immunocytochemical analysis of DDX3/DDX3Y in Immunofluorescence analysis of PC-12 cells. Samples were incubated with DDX3/DDX3Y recombinant monoclonal antibody (Product # MA569170) using a dilution of 1:100 (40x lens). Secondary antibody: Cy3-conjugated Goat anti-Rabbit IgG (H+L)using a dilution of 1:500. DAPI for nuclear staining (Blue). {{ $ctrl.currentElement.advancedVerification.fullName }} 验证信息 View more
          已发表图片由___提供 benchsci-logo
          PMID: {{$ctrl.currentElement.benchSciPubmedId}}
          查看产品

          {{$ctrl.videoDesc}}

          {{$ctrl.videoLongDesc}}

          DDX3/DDX3Y Antibody in Immunocytochemistry (ICC/IF)
          DDX3/DDX3Y Antibody in Immunocytochemistry (ICC/IF)
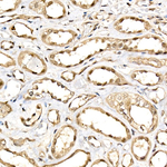
          DDX3/DDX3Y Antibody in Immunohistochemistry (Paraffin) (IHC (P))
          DDX3/DDX3Y Antibody in Immunohistochemistry (Paraffin) (IHC (P))
          DDX3/DDX3Y Antibody in Immunohistochemistry (Paraffin) (IHC (P))
          DDX3/DDX3Y Antibody in Western Blot (WB)

          产品信息

          MA569170

          应用
          建议稀释比
          已发表文章

          免疫印迹 (WB)

          1:100,000-1:120,000
          -

          免疫组化(石蜡) (IHC (P))

          1:50-1:200
          -

          免疫细胞化学 (ICC/IF)

          1:50-1:200
          -

          酶联免疫吸附实验 (ELISA)

          1 µg/mL
          -

          免疫沉淀 (IP)

          0.5-4 µg
          -
          产品规格

          种属反应

          Human, Mouse, Rat

          宿主/亚型

          Rabbit / IgG

          Expression System

          HEK293 cells

          分类

          Recombinant Monoclonal

          类型

          Antibody

          克隆号

          1N2I8

          抗原

          Recombinant protein (or fragment).

          偶联物

          Unconjugated Unconjugated Unconjugated

          形式

          Liquid

          浓度

          1.11 mg/mL

          纯化类型

          Affinity chromatography

          保存液

          PBS, pH 7.3., with 50% glycerol

          内含物

          0.05% ProClin 300

          保存条件

          -20°C, Avoid Freeze/Thaw Cycles

          运输条件

          Ambient (domestic); Wet ice (international)

          靶标信息

          DDX3 (DEAD-box helicase 3) is an RNA helicase involved in multiple cellular processes, including RNA splicing, transport, translation, and degradation. It has key roles in antiviral responses, cell cycle regulation, and apoptosis. DDX3 is involved in the regulation of gene expression at multiple levels and is critical in processes such as cell cycle regulation, apoptosis, and innate immune response to viral infections. DDX3 has been shown to interact with various cellular proteins and RNA molecules, influencing their stability and function. DDX3Y, also known as DBY, belongs to the DEAD-box protein family and is located on the Y chromosome at Yq11.It shares significant sequence and functional similarity with DDX3 but has a more restricted expression pattern, predominantly in the testes. Mutations or deletions in DDX3Y can lead to male infertility due to impaired spermatogenesis. The protein encoded by DDX3Y consists of conserved motifs for ATP binding and hydrolysis necessary for RNA unwinding, making it vital for the proper translation and stability of mRNAs during spermatogenesis.

          仅用于科研。不用于诊断过程。未经明确授权不得转售。

          篇参考文献 (0)

          您是否在文献中引用过该产品?请点击下方按钮邮件告知我们。
          引用该产品

          生物信息学

          蛋白别名: ATP-dependent RNA helicase DDX3X; ATP-dependent RNA helicase DDX3Y; CAP-Rf; D-E-A-D (aspartate-glutamate-alanine-aspartate) box polypeptide 3; D1Pas1 related sequence 1; D1Pas1-related sequence 1; D1Pas1-related sequence 2; DBX; DEAD (Asp-Glu-Ala-Asp) box helicase 3, X-linked; DEAD (Asp-Glu-Ala-Asp) box helicase 3, Y-linked; DEAD (Asp-Glu-Ala-Asp) box polypeptide 3, X-linked; DEAD (Asp-Glu-Ala-Asp) box polypeptide 3, Y-linked; DEAD (aspartate-glutamate-alanine-aspartate) box polypeptide 3; DEAD (aspartate-glutamate-alanine-aspartate) box polypeptide, Y chromosome; DEAD box protein 3, X-chromosomal; DEAD box protein 3, Y-chromosomal; DEAD box RNA helicase DEAD3; DEAD box, X isoform; DEAD-box protein 3 (DEAD-box RNA helicase DEAD3) (mDEAD3) (Embryonic RNA helicase) (D1PAS1 related sequence 2); DEAD-box RNA helicase DEAD2; DEAD/H (Asp-Glu-Ala-Asp/His) box polypeptide 3; DEAD/H (Asp-Glu-Ala-Asp/His) box polypeptide 3, X-linked; DEAD/H (Asp-Glu-Ala-Asp/His) box polypeptide, Y chromosome; DEAD/H box-3; Embryonic RNA helicase; fibroblast growth factor inducible 14; Helicase-like protein 2; HLP2; mDEAD2; mDEAD3; uncharacterized protein LOC364073; unnamed protein product

          查看更多 收起

          基因别名: 8030469F12Rik; CAP-Rf; D1Pas1-rs1; D1Pas1-rs2; DBX; DBY; DDX14; DDX3; DDX3X; DDX3Y; Dead2; Dead3; Erh; Fin14; HLP2; MRX102; MRXSSB; RGD1309586

          查看更多 收起

          UniProt ID: (Human) O00571, (Human) O15523, (Mouse) Q62167, (Mouse) Q62095

          查看更多 收起

          Entrez Gene ID: (Human) 1654, (Human) 8653, (Rat) 317335, (Mouse) 13205, (Rat) 364073, (Mouse) 26900

          查看更多 收起

          功能
          nucleotide binding nucleic acid binding DNA binding DNA helicase activity RNA binding RNA helicase activity mRNA binding GTPase activity helicase activity protein binding ATP binding transcription factor binding poly(A) binding eukaryotic initiation factor 4E binding hydrolase activity ATPase activity nucleoside-triphosphatase activity translation initiation factor binding RNA strand annealing activity signaling adaptor activity RNA stem-loop binding gamma-tubulin binding ribosomal small subunit binding CTPase activity protein serine/threonine kinase activator activity cadherin binding mRNA 5'-UTR binding ATP-dependent DNA helicase activity ATP-dependent RNA helicase activity poly(A) RNA binding
          参与通路
          chromosome segregation metabolic process extrinsic apoptotic signaling pathway via death domain receptors response to virus RNA secondary structure unwinding positive regulation of gene expression negative regulation of translation positive regulation of cell growth negative regulation of cell growth negative regulation of protein complex assembly DNA duplex unwinding stress granule assembly intracellular signal transduction mature ribosome assembly positive regulation of apoptotic process negative regulation of apoptotic process negative regulation of cysteine-type endopeptidase activity involved in apoptotic process positive regulation of cysteine-type endopeptidase activity involved in apoptotic process positive regulation of viral genome replication innate immune response positive regulation of translation positive regulation of transcription from RNA polymerase II promoter positive regulation of translational initiation cellular response to arsenic-containing substance cellular response to osmotic stress intrinsic apoptotic signaling pathway positive regulation of G1/S transition of mitotic cell cycle negative regulation of intrinsic apoptotic signaling pathway immune system process cytoplasmic pattern recognition receptor signaling pathway translational initiation regulation of translation apoptotic process gamete generation negative regulation of gene expression Wnt signaling pathway cell differentiation positive regulation of type I interferon production positive regulation of interferon-alpha production positive regulation of interferon-beta production positive regulation of toll-like receptor 7 signaling pathway positive regulation of toll-like receptor 8 signaling pathway positive regulation of translation in response to endoplasmic reticulum stress ribosome biogenesis lipid homeostasis positive regulation of mitochondrial translation positive regulation of chemokine (C-C motif) ligand 5 production positive regulation of canonical Wnt signaling pathway cellular response to virus positive regulation of NLRP3 inflammasome complex assembly negative regulation of NIK/NF-kappaB signaling positive regulation of NIK/NF-kappaB signaling negative regulation of extrinsic apoptotic signaling pathway via death domain receptors positive regulation of protein K63-linked ubiquitination protein localization to cytoplasmic stress granule transcription, DNA-templated regulation of transcription, DNA-templated regulation of gene expression
          It has to be done as per old AB suggested Products section.

          Disclaimer

          Close

          Clicking the images or links will redirect you to a website hosted by BenchSci that provides third-party scientific content. Neither the content nor the BenchSci technology and processes for selection have been evaluated by us; we are providing them as-is and without warranty of any kind, including for use or application of the Thermo Fisher Scientific products presented.

          guarantee_icon

          性能保障

          只要您发现Invitrogen抗体在实验中的表现与网站或说明书的所述内容不符,您即可享受免费退换货服务。*

          了解更多
          help_icon

          随时为您服务

          获取常见问题的专家解答,或者直接联系我们的技术专家,咨询应用、设备、常规产品使用问题。

          联系技术支持
          订购 Plus Icon Minus Icon
          • 订单状态查询
          • 订单支持
          • 货号直购
          • 现货供应中心
          • 电子采购
          支持 Plus Icon Minus Icon
          • 帮助&支持
          • 联系我们 - 400 820 8982
          • 技术支持中心
          • 查找文件&证书
          • 报告网站问题
          资源 Plus Icon Minus Icon
          • 学习中心
          • 促销
          • 活动&研讨会
          • 社交媒体
          关于赛默飞 Plus Icon Minus Icon
          • 关于我们
          • 招聘 招聘
          • 投资者关系 投资者关系
          • 新闻 新闻
          • 社会责任 社会责任
          • 商标
          • 政策和通知
          品牌 Plus Icon Minus Icon
          • Thermo Scientific
          • Applied Biosystems
          • Invitrogen
          • Gibco
          • Ion Torrent
          • Unity Lab Services
          • Patheon
          • PPD
          • 服务条款
          • 隐私政策
          • 定价和运输保险政策
          © 2006-2026 Thermo Fisher Scientific Inc. All rights reserved. All trademarks are the property of Thermo Fisher Scientific and its subsidiaries unless otherwise specified.
          China flag icon
          China
          本网站销售的所有产品均不得用于人类或动物之临床诊断或治疗,仅可用于工业或者科研等非医疗目的。
             电子营业执照 | 经营证照公示 | ICP备案号:沪ICP备11003924号 | 沪公网安备 31011502006935号

          Your items have has been added!


          Host server : magellan-search-green-7d94cb4b65-jwmpg:80/100.66.76.145:80.
          git-commit: c9e08c96761173abe34e68f880379696776a4827
          git-url: https://github.com/thermofisher/magellan-search
          git-branch: release/2.44.1-2026.02.97.1.0