Hamburger Menu Button
Thermo Fisher Scientific Logo
登录
没有账号?建立账号 注册
  • 产品
    • 抗体
    • 引物合成
    • GeneArt Gene Synthesis Instant Designer
    • TaqMan Assay and Array Search
    • PCR 设备和耗材
    • 色谱柱和纯化柱
    • 实验室离心机
    • 分子生物学试剂和试剂盒
    • 实验室塑料耗材及用品
    • 查看所有产品分类
  • 应用和技术
    • 色谱
    • 细胞转染和培养
    • 实时荧光定量PCR
    • 质谱
    • 实验室塑料耗材及用品
    • 电子显微镜
    • 蛋白质生物学
    • PCR
    • RNAi
    • 环境
    • 查看所有应用和技术
  • 服务
    • 定制服务
    • 企业级实验室信息化服务
    • 金融&租赁服务
    • 仪器服务
    • OEM和商业供应
    • 培训服务
    • 360° CDMO 和 CRO 服务
    • CDMO 服务
    • 临床试验 CRO 服务
    • Unity Lab Services
    • 查看所有帮助和支持
  • 帮助和支持
    • 学习中心
    • 联系我们
    • 更改国家或地区
    • 查看所有帮助和支持
  • 热门产品
    • TaqMan Real-Time PCR Assays
      TaqMan 实时荧光定量 PCR 试剂盒
    • Antibodies
      抗体
    • Oligos, Primers & Probes
      寡核苷酸、引物、探针
    • GeneArt Gene Synthesis
      GeneArt 基因合成
    • Cell Culture Plastics
      细胞培养耗材
  • Who We Serve
    • 抗体治疗解决方案
    • 细胞与基因治疗解决方案
    • 学术科研
    • 工业与应用
  • 联系我们
  • 货号直购
  • 订单查询
  • 查找文件&证书
Thermo Fisher Scientific Logo

Search

搜索全部或下列指定分类
Search button
          • 联系我们
          • 货号直购
          • 登录
            登录
            没有账号?建立账号 注册
            • 我的账号
            • 订单
            • 会员中心
            • 账单及发票查询
            • 定制产品及项目
          • Primary Antibodies ›
          • DJ-1 Antibodies

          Invitrogen

          DJ-1 Recombinant Rabbit Monoclonal Antibody (SN07-21)

          高级验证
          查看其他30个DJ-1抗体

          {{$productOrderCtrl.translations['antibody.pdp.commerceCard.promotion.promotions']}}

          {{$productOrderCtrl.translations['antibody.pdp.commerceCard.promotion.viewpromo']}}

          {{$productOrderCtrl.translations['antibody.pdp.commerceCard.promotion.promocode']}}: {{promo.promoCode}} {{promo.promoTitle}} {{promo.promoDescription}}. {{$productOrderCtrl.translations['antibody.pdp.commerceCard.promotion.learnmore']}}

          说明书
          证书
          实验方案
          问题与答案
          技术支持
          说明书
          证书
          实验方案
          问题与答案
          技术支持
          说明书
          证书
          实验方案
          问题与答案
          技术支持

          Cite DJ-1 Recombinant Rabbit Monoclonal Antibody (SN07-21)

          Additional Information:
          {{banner.description}}
          {{$ctrl.isSkuNotesCollapsed ? 'View more' : 'View less'}}
          • 抗体检测数据 (14)
          • 高级验证 (5)
          DJ-1 Antibody in Immunocytochemistry (ICC/IF)
          Group 53 Created with Sketch.
          DJ-1 Antibody in Immunocytochemistry (ICC/IF)
          Group 53 Created with Sketch.

          图: 1 / 19

          {{ $ctrl.currentElement.advancedVerification.fullName }}
          {{ $ctrl.currentElement.advancedVerification.text }}

          DJ-1 Antibody (MA5-32297) in ICC/IF

          Immunofluorescence of DJ-1 was performed using HEK-293T WT (lane 1) and DJ-1 KO (lane 2) cells that were labeled with CellTracker Green CMFDA (Product # C2925) or CellTracker™ Deep Red (Product # C34565), respectively. Post-labeling, WT and KO cells were mixed and plated to a 1:1 ratio in a 96-well plate with an optically clear flat bottom as a mosaic and incubated for 24 hrs. Cells were fixed in 4% PFA (in PBS) for 15 min at RT; cells were permeabilized with 0.1% Triton X-100 for 10 min at RT and blocked with PBS containing 5% BSA, 5% goa... View More {{ $ctrl.currentElement.advancedVerification.fullName }} 验证信息 View more
          已发表图片由___提供 benchsci-logo
          PMID: {{$ctrl.currentElement.benchSciPubmedId}}
          查看产品

          {{$ctrl.videoDesc}}

          {{$ctrl.videoLongDesc}}

          DJ-1 Antibody in Immunocytochemistry (ICC/IF)
          DJ-1 Antibody in Immunocytochemistry (ICC/IF)
          DJ-1 Antibody in Immunocytochemistry (ICC/IF)
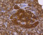
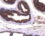
          DJ-1 Antibody in Immunohistochemistry (Paraffin) (IHC (P))
          DJ-1 Antibody in Immunohistochemistry (Paraffin) (IHC (P))
          DJ-1 Antibody in Immunohistochemistry (Paraffin) (IHC (P))
          DJ-1 Antibody in Immunohistochemistry (Paraffin) (IHC (P))
          DJ-1 Antibody in Immunohistochemistry (Paraffin) (IHC (P))
          DJ-1 Antibody in Western Blot (WB)
          DJ-1 Antibody in Western Blot (WB)
          DJ-1 Antibody in Western Blot (WB)
          DJ-1 Antibody in Western Blot (WB)
          DJ-1 Antibody in Western Blot (WB)
          DJ-1 Antibody in Flow Cytometry (Flow)
          DJ-1 Antibody
          DJ-1 Antibody
          DJ-1 Antibody
          DJ-1 Antibody
          DJ-1 Antibody
          DJ-1 Recombinant Rabbit Monoclonal Antibody (SN07-21)

          产品信息

          MA5-32297

          应用
          建议稀释比
          已发表文章

          免疫印迹 (WB)

          1:1,000-1:2,000
          -

          免疫组化(石蜡) (IHC (P))

          1:5,000
          -

          免疫细胞化学 (ICC/IF)

          1:200-1:500
          -

          流式细胞分析 (Flow)

          1:50-1:100
          -
          产品规格

          种属反应

          Human, Mouse, Rat

          宿主/亚型

          Rabbit / IgG

          Expression System

          HEK293 cells

          分类

          Recombinant Monoclonal

          类型

          Antibody

          克隆号

          SN07-21

          抗原

          Synthetic peptide within Human PARK7 aa 11-60.
          3D表位/免疫原

          偶联物

          Unconjugated Unconjugated Unconjugated

          形式

          Liquid

          浓度

          1 mg/mL

          规格

          100 µg

          纯化类型

          Protein A

          保存液

          TBS, pH 7.4, with 40% Glycerol, 0.05% BSA

          内含物

          0.05% sodium azide

          保存条件

          Store at 4°C short term. For long term storage, store at -20°C, avoiding freeze/thaw cycles.

          运输条件

          Ambient (domestic); Wet ice (international)

          RRID

          AB_2809582

          产品详细信息

          Recombinant rabbit monoclonal antibodies are produced using in vitro expression systems. The expression systems are developed by cloning in the specific antibody DNA sequences from immunoreactive rabbits. Then, individual clones are screened to select the best candidates for production. The advantages of using recombinant rabbit monoclonal antibodies include: better specificity and sensitivity, lot-to-lot consistency, animal origin-free formulations, and broader immunoreactivity to diverse targets due to larger rabbit immune repertoire.

          靶标信息

          The product of this gene belongs to the peptidase C56 family of proteins. It acts as a positive regulator of androgen receptor-dependent transcription. It may also function as a redox-sensitive chaperone, as a sensor for oxidative stress, and it apparently protects neurons against oxidative stress and cell death. Defects in this gene are the cause of autosomal recessive early-onset Parkinson disease 7. Two transcript variants encoding the same protein have been identified for this gene.

          仅用于科研。不用于诊断过程。未经明确授权不得转售。

          篇参考文献 (0)

          您是否在文献中引用过该产品?请点击下方按钮邮件告知我们。
          引用该产品

          生物信息学

          蛋白别名: Contraception-associated protein 1; CTA-215D11.1; DJ-1; early onset 7; epididymis secretory sperm binding protein Li 67p; Fertility protein SP22; FLJ27376; FLJ34360; FLJ92274; Maillard deglycase; Oncogene DJ1; OTTHUMP00000001350; OTTHUMP00000001351; PARK7 GENE; PARK7/DJ1; Parkinson disease (autosomal recessive, early onset) 7; Parkinson disease protein 7; Parkinson disease protein 7 homolog; parkinson protein 7; Parkinsonism-associated deglycase; Protein CAP1; protein deglycase DJ-1; Protein DJ-1; Protein/nucleic acid deglycase DJ-1; RNA-binding protein regulatory subunit; unnamed protein product

          查看更多 收起

          基因别名: CAP1; DJ-1; DJ1; GATD2; HEL-S-67p; PARK7; SP22

          查看更多 收起

          UniProt ID: (Human) Q99497, (Rat) O88767, (Mouse) Q99LX0

          查看更多 收起

          Entrez Gene ID: (Human) 11315, (Rat) 117287, (Mouse) 57320

          查看更多 收起

          功能
          core promoter sequence-specific DNA binding double-stranded DNA binding single-stranded DNA binding transcription coactivator activity RNA binding mRNA binding receptor binding copper ion binding protein binding enzyme activator activity peptidase activity superoxide dismutase copper chaperone activity oxidoreductase activity, acting on peroxide as acceptor hydrolase activity oxygen sensor activity enzyme binding kinase binding cytokine binding peptidase inhibitor activity receptor activator activity tyrosine 3-monooxygenase activator activity L-dopa decarboxylase activator activity protein deglycase activity identical protein binding protein homodimerization activity small protein activating enzyme binding ubiquitin-like protein conjugating enzyme binding cadherin binding mercury ion binding androgen receptor binding peroxiredoxin activity ubiquitin-protein transferase inhibitor activity scaffold protein binding DNA-binding transcription factor binding cupric ion binding cuprous ion binding ubiquitin-specific protease binding glyoxalase (glycolic acid-forming) activity molecular_function transcription factor binding glyoxalase III activity repressing transcription factor binding histone deacetylase activity protein-N-terminal asparagine amidohydrolase activity UDP-3-O-[3-hydroxymyristoyl] N-acetylglucosamine deacetylase activity CoA hydrolase activity iprodione amidohydrolase activity (3,5-dichlorophenylurea)acetate amidohydrolase activity 4'-(2-hydroxyisopropyl)phenylurea amidohydrolase activity didemethylisoproturon amidohydrolase activity N-isopropylacetanilide amidohydrolase activity N-cyclohexylformamide amidohydrolase activity 2-oxoglutaryl-CoA thioesterase activity 2,4,4-trimethyl-3-oxopentanoyl-CoA thioesterase activity isonicotinic acid hydrazide hydrolase activity cis-aconitamide amidase activity gamma-N-formylaminovinylacetate hydrolase activity 3-isopropylbut-3-enoyl-CoA thioesterase activity N2-acetyl-L-lysine deacetylase activity O-succinylbenzoate synthase activity indoleacetamide hydrolase activity N-acetylcitrulline deacetylase activity glutaryl-CoA hydrolase activity N-acetylgalactosamine-6-phosphate deacetylase activity acyl-CoA hydrolase activity diacetylchitobiose deacetylase activity chitooligosaccharide deacetylase activity
          参与通路
          negative regulation of protein phosphorylation synaptic transmission, dopaminergic negative regulation of protein kinase activity proteolysis protein deglycosylation autophagy inflammatory response response to oxidative stress mitochondrion organization single fertilization adult locomotory behavior fertilization detoxification of copper ion negative regulation of gene expression methylglyoxal catabolic process to D-lactate via S-lactoyl-glutathione lactate biosynthetic process negative regulation of protein ubiquitination negative regulation of protein binding negative regulation of proteasomal ubiquitin-dependent protein catabolic process positive regulation of interleukin-8 production positive regulation of peptidyl-serine phosphorylation negative regulation of protein sumoylation cellular response to oxidative stress cellular response to reactive oxygen species cellular response to glyoxal response to drug response to hydrogen peroxide hydrogen peroxide metabolic process negative regulation of apoptotic process regulation of neuron apoptotic process negative regulation of neuron apoptotic process regulation of TRAIL receptor biosynthetic process positive regulation of transcription from RNA polymerase II promoter glycolate biosynthetic process negative regulation of protein export from nucleus regulation of inflammatory response detoxification of mercury ion protein stabilization positive regulation of sequence-specific DNA binding transcription factor activity negative regulation of ubiquitin-protein transferase activity dopamine uptake involved in synaptic transmission regulation of mitochondrial membrane potential membrane depolarization oxidation-reduction process membrane hyperpolarization negative regulation of cell death regulation of androgen receptor signaling pathway cellular response to hydrogen peroxide positive regulation of protein homodimerization activity positive regulation of protein localization to nucleus negative regulation of neuron death positive regulation of superoxide dismutase activity negative regulation of protein acetylation positive regulation of oxidative stress-induced intrinsic apoptotic signaling pathway negative regulation of endoplasmic reticulum stress-induced intrinsic apoptotic signaling pathway positive regulation of mitochondrial electron transport, NADH to ubiquinone negative regulation of protein K48-linked deubiquitination negative regulation of TRAIL-activated apoptotic signaling pathway positive regulation of pyrroline-5-carboxylate reductase activity positive regulation of tyrosine 3-monooxygenase activity positive regulation of dopamine biosynthetic process glyoxal catabolic process positive regulation of L-dopa biosynthetic process positive regulation of L-dopa decarboxylase activity negative regulation of oxidative stress-induced cell death negative regulation of hydrogen peroxide-induced cell death negative regulation of hydrogen peroxide-induced neuron death negative regulation of oxidative stress-induced neuron intrinsic apoptotic signaling pathway negative regulation of hydrogen peroxide-induced neuron intrinsic apoptotic signaling pathway positive regulation of reactive oxygen species biosynthetic process negative regulation of ubiquitin-specific protease activity positive regulation of oxidative phosphorylation uncoupler activity positive regulation of transcription regulatory region DNA binding positive regulation of androgen receptor activity negative regulation of extrinsic apoptotic signaling pathway negative regulation of cysteine-type endopeptidase activity involved in apoptotic signaling pathway cell proliferation positive regulation of gene expression enzyme active site formation via L-cysteine sulfinic acid negative regulation of protein catabolic process negative regulation of oxidative stress-induced neuron death positive regulation of acute inflammatory response to antigenic stimulus DNA repair cellular response to DNA damage stimulus Ras protein signal transduction methylglyoxal metabolic process removal of superoxide radicals insulin secretion protein repair androgen receptor signaling pathway positive regulation of protein complex assembly regulation of TRAIL production glucose homeostasis positive regulation of protein kinase B signaling detoxification of hydrogen peroxide methylglyoxal catabolic process to lactate detection of oxidative stress guanine deglycation guanine deglycation, methylglyoxal removal guanine deglycation, glyoxal removal cellular detoxification of aldehyde cellular detoxification of methylglyoxal regulation of synaptic vesicle endocytosis negative regulation of oxidative stress-induced intrinsic apoptotic signaling pathway regulation of fibril organization negative regulation of death-inducing signaling complex assembly glyoxal metabolic process regulation of oxidative stress-induced neuron intrinsic apoptotic signaling pathway negative regulation of reactive oxygen species biosynthetic process positive regulation of mitophagy negative regulation of intrinsic apoptotic signaling pathway in response to hydrogen peroxide negative regulation of nitrosative stress-induced intrinsic apoptotic signaling pathway positive regulation of reactive oxygen species metabolic process
          It has to be done as per old AB suggested Products section.

          Disclaimer

          Close

          Clicking the images or links will redirect you to a website hosted by BenchSci that provides third-party scientific content. Neither the content nor the BenchSci technology and processes for selection have been evaluated by us; we are providing them as-is and without warranty of any kind, including for use or application of the Thermo Fisher Scientific products presented.

          guarantee_icon

          性能保障

          只要您发现Invitrogen抗体在实验中的表现与网站或说明书的所述内容不符,您即可享受免费退换货服务。*

          了解更多
          help_icon

          随时为您服务

          获取常见问题的专家解答,或者直接联系我们的技术专家,咨询应用、设备、常规产品使用问题。

          联系技术支持
          订购 Plus Icon Minus Icon
          • 订单状态查询
          • 订单支持
          • 货号直购
          • 现货供应中心
          • 电子采购
          支持 Plus Icon Minus Icon
          • 帮助&支持
          • 联系我们 - 400 820 8982
          • 技术支持中心
          • 查找文件&证书
          • 报告网站问题
          资源 Plus Icon Minus Icon
          • 学习中心
          • 促销
          • 活动&研讨会
          • 社交媒体
          关于赛默飞 Plus Icon Minus Icon
          • 关于我们
          • 招聘 招聘
          • 投资者关系 投资者关系
          • 新闻 新闻
          • 社会责任 社会责任
          • 商标
          • 政策和通知
          品牌 Plus Icon Minus Icon
          • Thermo Scientific
          • Applied Biosystems
          • Invitrogen
          • Gibco
          • Ion Torrent
          • Unity Lab Services
          • Patheon
          • PPD
          • 服务条款
          • 隐私政策
          • 定价和运输保险政策
          © 2006-2026 Thermo Fisher Scientific Inc. All rights reserved. All trademarks are the property of Thermo Fisher Scientific and its subsidiaries unless otherwise specified.
          China flag icon
          China
          本网站销售的所有产品均不得用于人类或动物之临床诊断或治疗,仅可用于工业或者科研等非医疗目的。
             电子营业执照 | 经营证照公示 | ICP备案号:沪ICP备11003924号 | 沪公网安备 31011502006935号

          Your items have has been added!


          Host server : magellan-search-green-6479c7f679-v472f:80/100.66.78.195:80.
          git-commit: b70c0dceb888abc3b0dcebb5bc3a5b8753e7e816
          git-url: https://github.com/thermofisher/magellan-search
          git-branch: release/2.50.0-Offline