Hamburger Menu Button
Thermo Fisher Scientific Logo
登录
没有账号?建立账号 注册
  • 产品
    • 抗体
    • 引物合成
    • GeneArt Gene Synthesis Instant Designer
    • TaqMan Assay and Array Search
    • PCR 设备和耗材
    • 色谱柱和纯化柱
    • 实验室离心机
    • 分子生物学试剂和试剂盒
    • 实验室塑料耗材及用品
    • 查看所有产品分类
  • 应用和技术
    • 色谱
    • 细胞转染和培养
    • 实时荧光定量PCR
    • 质谱
    • 实验室塑料耗材及用品
    • 电子显微镜
    • 蛋白质生物学
    • PCR
    • RNAi
    • 环境
    • 查看所有应用和技术
  • 服务
    • 定制服务
    • 企业级实验室信息化服务
    • 金融&租赁服务
    • 仪器服务
    • OEM和商业供应
    • 培训服务
    • 360° CDMO 和 CRO 服务
    • CDMO 服务
    • 临床试验 CRO 服务
    • Unity Lab Services
    • 查看所有帮助和支持
  • 帮助和支持
    • 学习中心
    • 联系我们
    • 更改国家或地区
    • 查看所有帮助和支持
  • 热门产品
    • TaqMan Real-Time PCR Assays
      TaqMan 实时荧光定量 PCR 试剂盒
    • Antibodies
      抗体
    • Oligos, Primers & Probes
      寡核苷酸、引物、探针
    • GeneArt Gene Synthesis
      GeneArt 基因合成
    • Cell Culture Plastics
      细胞培养耗材
  • Who We Serve
    • 抗体治疗解决方案
    • 细胞与基因治疗解决方案
    • 学术科研
    • 工业与应用
  • 联系我们
  • 货号直购
  • 订单查询
  • 查找文件&证书
Thermo Fisher Scientific Logo

Search

搜索全部或下列指定分类
Search button
          • 联系我们
          • 货号直购
          • 登录
            登录
            没有账号?建立账号 注册
            • 我的账号
            • 订单
            • 账单及发票查询
            • 定制产品及项目
          • Primary Antibodies ›
          • DNA-PK Antibodies

          Bioss

          DNAPK/PRKDC Polyclonal Antibody

          查看其他43个DNA-PK抗体

          {{$productOrderCtrl.translations['antibody.pdp.commerceCard.promotion.promotions']}}

          {{$productOrderCtrl.translations['antibody.pdp.commerceCard.promotion.viewpromo']}}

          {{$productOrderCtrl.translations['antibody.pdp.commerceCard.promotion.promocode']}}: {{promo.promoCode}} {{promo.promoTitle}} {{promo.promoDescription}}. {{$productOrderCtrl.translations['antibody.pdp.commerceCard.promotion.learnmore']}}

          说明书
          证书
          实验方案
          问题与答案
          技术支持
          说明书
          证书
          实验方案
          问题与答案
          技术支持
          说明书
          证书
          实验方案
          问题与答案
          技术支持

          Cite DNAPK/PRKDC Polyclonal Antibody

          Additional Information:
          {{banner.description}}
          {{$ctrl.isSkuNotesCollapsed ? 'View more' : 'View less'}}
          • 抗体检测数据 (1)
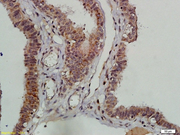
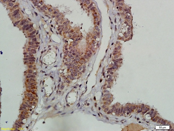
          DNAPK/PRKDC Antibody in Immunohistochemistry (Paraffin) (IHC (P))
          Group 53 Created with Sketch.
          DNAPK/PRKDC Antibody in Immunohistochemistry (Paraffin) (IHC (P))
          Group 53 Created with Sketch.

          图: 1 / 1

          {{ $ctrl.currentElement.advancedVerification.fullName }}
          {{ $ctrl.currentElement.advancedVerification.text }}

          DNAPK/PRKDC Antibody (BS-1359R) in IHC (P)

          Formalin-fixed and paraffin embedded human ovarian tissue labeled with Anti-DNAPK/PRKDC Polyclonal Antibody, Unconjugated (bs-1359R) followed by conjugation to the secondary antibody and DAB staining. {{ $ctrl.currentElement.advancedVerification.fullName }} 验证信息 View more
          已发表图片由___提供 benchsci-logo
          PMID: {{$ctrl.currentElement.benchSciPubmedId}}
          查看产品

          {{$ctrl.videoDesc}}

          {{$ctrl.videoLongDesc}}

          DNAPK/PRKDC Antibody in Immunohistochemistry (Paraffin) (IHC (P))
          DNAPK/PRKDC Polyclonal Antibody

          产品信息

          BS-1359R

          应用
          建议稀释比
          已发表文章

          免疫印迹 (WB)

          1:300-1:1,000
          -

          免疫组化(石蜡) (IHC (P))

          Assay-dependent
          -

          酶联免疫吸附实验 (ELISA)

          1:500-1:1,000
          -
          产品规格

          种属反应

          Human, Mouse, Rat

          宿主/亚型

          Rabbit / IgG

          分类

          Polyclonal

          类型

          Antibody

          抗原

          KLH conjugated synthetic peptide derived from human DNA PKcs, amino acids 151-300.
          查看免疫原

          偶联物

          Unconjugated Unconjugated Unconjugated

          形式

          Liquid

          浓度

          1 mg/mL

          规格

          100 µg

          纯化类型

          Protein A

          保存液

          0.01M TBS, pH 7.4, with 50% glycerol, 1% BSA

          内含物

          0.02% ProClin 300

          保存条件

          -20°C

          运输条件

          Ambient (domestic); Wet ice (international)

          靶标信息

          DNA-PK is a heterotrimeric, DNA-dependent protein kinase that initiates signaling cascades in response to DNA damage. DNA-PK is an atypical kinase, closely related to the PI3 kinases, and is often potently inhibited by small molecules designed to target PI3 kinases. DNA-PK encodes a component of the mediator complex, a transcriptional coactivator complex thought to be required for the expression of almost all genes. The mediator complex is recruited by transcriptional activators or nuclear receptors to induce gene expression, possibly by interacting with RNA polymerase II and promoting the formation of a transcriptional pre-initiation complex. Multiple transcript variants encoding different isoforms have been found for DNA-PK.

          仅用于科研。不用于诊断过程。未经明确授权不得转售。

          篇参考文献 (0)

          您是否在文献中引用过该产品?请点击下方按钮邮件告知我们。
          引用该产品

          生物信息学

          蛋白别名: DNA-activated protein kinase catalytic subunit; DNA-dependent protein kinase catalytic subunit; DNA-PK catalytic subunit; DNPK1; doxorubicin nephropathy; hyper-radiosensitivity of murine scid mutation, complementing 1; p460; protein kinase, DNA-activated, catalytic polypeptide; S473K; Ser-473 kinase; severe combined immunodeficiency; unnamed protein product

          查看更多 收起

          基因别名: AI326420; AU019811; DNA-PKC; DNA-PKcs; DNAPDcs; DNAPK; DNAPKc; DNPK1; DOXNPH; dxnph; HYRC; HYRC1; IMD26; p350; p460; PRKDC; S473K; scid; slip; XRCC7

          查看更多 收起

          UniProt ID: (Human) P78527, (Mouse) P97313

          查看更多 收起

          Entrez Gene ID: (Human) 5591, (Mouse) 19090, (Rat) 360748

          查看更多 收起

          功能
          nucleotide binding DNA binding double-stranded DNA binding RNA binding protein kinase activity protein serine/threonine kinase activity DNA-dependent protein kinase activity protein binding ATP binding kinase activity transferase activity enzyme binding protein domain specific binding U3 snoRNA binding histone H2AXS139 kinase activity RNA polymerase II sequence-specific DNA binding transcription factor binding protein serine kinase activity transcription factor binding transferase activity, transferring phosphorus-containing groups phosphotransferase activity, alcohol group as acceptor poly(A) RNA binding molecular_function non-receptor serine/threonine protein kinase protein modifying enzyme
          参与通路
          maturation of 5.8S rRNA telomere maintenance double-strand break repair via homologous recombination somitogenesis negative regulation of protein phosphorylation activation of innate immune response B cell lineage commitment immature B cell differentiation pro-B cell differentiation T cell lineage commitment immune system process DNA repair double-strand break repair double-strand break repair via nonhomologous end joining DNA recombination protein phosphorylation cellular response to DNA damage stimulus brain development heart development intrinsic apoptotic signaling pathway in response to DNA damage response to ionizing radiation response to gamma radiation telomere capping peptidyl-serine phosphorylation peptidyl-threonine phosphorylation lymphocyte differentiation replication fork processing mitotic G1 DNA damage checkpoint protein destabilization cellular response to insulin stimulus T cell differentiation in thymus V(D)J recombination immunoglobulin V(D)J recombination T cell receptor V(D)J recombination small-subunit processome assembly ectopic germ cell programmed cell death protein modification process ribosome biogenesis regulation of circadian rhythm positive regulation of apoptotic process negative regulation of apoptotic process innate immune response positive regulation of lymphocyte differentiation positive regulation of erythrocyte differentiation positive regulation of translation positive regulation of transcription from RNA polymerase II promoter rhythmic process regulation of smooth muscle cell proliferation regulation of epithelial cell proliferation protein localization to chromatin regulation of cellular response to stress double-strand break repair via alternative nonhomologous end joining DNA repair-dependent chromatin remodeling cGAS/STING signaling pathway negative regulation of cGAS/STING signaling pathway regulation of hematopoietic stem cell differentiation positive regulation of platelet formation positive regulation of double-strand break repair via nonhomologous end joining immunoglobulin production negative regulation of immunoglobulin production positive regulation of immune system process phosphorylation positive regulation of fibroblast proliferation spleen development thymus development positive regulation of developmental growth signal transduction involved in mitotic G1 DNA damage checkpoint negative regulation of cellular senescence negative regulation of response to gamma radiation response to activity
          It has to be done as per old AB suggested Products section.

          Disclaimer

          Close

          Clicking the images or links will redirect you to a website hosted by BenchSci that provides third-party scientific content. Neither the content nor the BenchSci technology and processes for selection have been evaluated by us; we are providing them as-is and without warranty of any kind, including for use or application of the Thermo Fisher Scientific products presented.

          guarantee_icon

          性能保障

          只要您发现Invitrogen抗体在实验中的表现与网站或说明书的所述内容不符,您即可享受免费退换货服务。*

          了解更多
          help_icon

          随时为您服务

          获取常见问题的专家解答,或者直接联系我们的技术专家,咨询应用、设备、常规产品使用问题。

          联系技术支持
          订购 Plus Icon Minus Icon
          • 订单状态查询
          • 订单支持
          • 货号直购
          • 现货供应中心
          • 电子采购
          支持 Plus Icon Minus Icon
          • 帮助&支持
          • 联系我们 - 400 820 8982
          • 技术支持中心
          • 查找文件&证书
          • 报告网站问题
          资源 Plus Icon Minus Icon
          • 学习中心
          • 促销
          • 活动&研讨会
          • 社交媒体
          关于赛默飞 Plus Icon Minus Icon
          • 关于我们
          • 招聘 招聘
          • 投资者关系 投资者关系
          • 新闻 新闻
          • 社会责任 社会责任
          • 商标
          • 政策和通知
          品牌 Plus Icon Minus Icon
          • Thermo Scientific
          • Applied Biosystems
          • Invitrogen
          • Gibco
          • Ion Torrent
          • Unity Lab Services
          • Patheon
          • PPD
          • 服务条款
          • 隐私政策
          • 定价和运输保险政策
          © 2006-2026 Thermo Fisher Scientific Inc. All rights reserved. All trademarks are the property of Thermo Fisher Scientific and its subsidiaries unless otherwise specified.
          China flag icon
          China
          本网站销售的所有产品均不得用于人类或动物之临床诊断或治疗,仅可用于工业或者科研等非医疗目的。
             电子营业执照 | 经营证照公示 | ICP备案号:沪ICP备11003924号 | 沪公网安备 31011502006935号

          Your items have has been added!


          Host server : magellan-search-blue-64dd947b88-fbg7s:80/100.66.79.246:80.
          git-commit: 0f46c0ba67a87c24f5ac662a3edafcaba07cd08c
          git-url: https://github.com/thermofisher/magellan-search
          git-branch: release/2.45.0-Offline